Section 4 Flashcards

(75 cards)

1
Q

You are asked to review a 13-year-old male by the paediatric team.
He has been an inpatient for 10 days and was admitted with lethargy, unsteady feet, slurred speech, and general unwellness. Over the past 24 hours he has developed weakness in all four limbs and has started to drool saliva. His parents are Jehovah’s Witnesses.
summarise the case.

A

• Complex critically ill paediatric patient
• Severe neurological pathology with threatened airway and failure of
ventilation needing urgent multidisciplinary input from senior clinicians
• Parents are Jehovah’s Witnesses

How well did you know this?
1
Not at all
2
3
4
5
Perfectly
2
Q

What abnormality do you note
in the blood results?

A

• Normocytic anaemia
• Platelets are high, depicting inflammation
• Low magnesium

How well did you know this?
1
Not at all
2
3
4
5
Perfectly
3
Q

What are the causes of normocytic anaemia?

A

• Decreased production of normal-sized red blood cells (e.g. anaemia of
chronic disease, aplastic anaemia)
• Increased production of HbS as seen in sickle cell disease
• Increased destruction or loss of red blood cells (e.g. haemolysis,
post-haemorrhagic anaemia)
• An uncompensated increase in plasma volume (e.g. pregnancy, fluid
overload)
• B2 (riboflavin) and B6 (pyridoxine) deficiency

How well did you know this?
1
Not at all
2
3
4
5
Perfectly
4
Q

What are the causes of
hypomagnesaemia?

A

• Decreased magnesium intake
° Starvation
° Alcohol dependence
° Total parenteral nutrition
• Redistribution of magnesium from extracellular to intracellular space
° Treatment of diabetic ketoacidosis
° Alcohol withdrawal syndrome
° Refeeding syndrome
° Acute pancreatitis
• Gastrointestinal magnesium loss
° Diarrhoea, vomiting, and nasogastric suction
° Hypomagnesaemia with secondary hypocalcaemia (HSH)
• Renal magnesium loss
° Renal tubular defects

How well did you know this?
1
Not at all
2
3
4
5
Perfectly
5
Q

interpret the arterial blood gas.

A

• Compensated respiratory acidosis
• Type 2 respiratory failure
• Normal glucose and lactate
• Anion gap 21

How well did you know this?
1
Not at all
2
3
4
5
Perfectly
6
Q

What is anion gap? How do you
calculate it?

A

• Anion gap is the difference in the measured cations and the anions in
serum.
° Measured cations: Na+, K+, Ca2+, and Mg2+
° Unmeasured cations: serum proteins (normal) and paraproteins
(abnormal)
° Measured anions: Cl−, H2Po4
−, HCo3

° Unmeasured anions: sulphates and some serum proteins
• Used to determine the cause of metabolic acidosis
• Expressed as mEq/L
• Anion gap = (Na + K) − (Cl + HCo3)

How well did you know this?
1
Not at all
2
3
4
5
Perfectly
7
Q

What are the reasons for an
increased anion gap?

A

• Lactic acidosis/ketoacidosis/alcohol abuse
• Toxins: methanol/aspirin/cyanide
• Renal failure causes high anion gap acidosis by decreased acid excretion
and decreased HCo3
− reabsorption. Accumulation of sulphates,
phosphates, urate, and hippurate accounts for the high anion gap.

How well did you know this?
1
Not at all
2
3
4
5
Perfectly
8
Q

What is the significance of a high anion gap?

A

• The anion gap is affected by changes in unmeasured ions.
- A high anion gap indicates acidosis (e.g. in uncontrolled diabetes, there is an increase in ketoacids i.e. an increase in unmeasured anions) and a resulting increase in the anion gap.
• Bicarbonate concentrations decrease in response to the need to buffer
the increased presence of acids (as a result of the underlying condition).
-The bicarbonate is consumed by the unmeasured anion (via its action as
a
buffer), resulting in a high anion gap.

How well did you know this?
1
Not at all
2
3
4
5
Perfectly
9
Q

comment on the csF analysis.

A

Increase protein in the absence of organisms is called albumin cytological dissociation

How well did you know this?
1
Not at all
2
3
4
5
Perfectly
10
Q

Why is there increase in csF protein?

A

The increase in CSF protein is due to widespread inflammation of the nerve roots.

How well did you know this?
1
Not at all
2
3
4
5
Perfectly
11
Q

What would you expect the csF
glucose to be?

A

Normal—i.e. approx. 2/3 of plasma glucose

How well did you know this?
1
Not at all
2
3
4
5
Perfectly
12
Q

What is the differential
diagnosis?

A

• Guillain Barre Syndrome (GBS)
• Myasthenia Gravis
• Multiple Sclerosis
• Transverse myelitis
• Encephalitis
• Meningitis
• Space-occupying lesion
• Sepsis

How well did you know this?
1
Not at all
2
3
4
5
Perfectly
13
Q

What is the likely diagnosis?
What is the pathogenesis?

A

My diagnosis is Guillain Barre Syndrome.
- The history of prodromal infection and the course of presentation favour my diagnosis.
- There is often history of campylobacter or cytomegalovirus infections or vaccinations (influenza, polio, rabies, and rubella).
- It is postulated that the immune responses directed towards the infecting
organisms cross-react with neural tissues resulting in widespread segmental
demyelination of peripheral nerves

How well did you know this?
1
Not at all
2
3
4
5
Perfectly
14
Q

How will you differentiate this from myasthenia gravis?

A

Differences in Myasthenia (the following are features of myasthenia):
• Early involvement of muscle groups including extra-ocular, levator,
pharyngeal jaw, neck, and respiratory muscles. Sometimes presents
without limb weakness
• Excessive fatigability and variation of symptoms and signs throughout the day are common
• Reflexes are preserved and sensory features, dysautonomia, and bladder dysfunction are absent
• Electrophysiological study shows normal nerve conduction and presence
of decremental response to repetitive nerve stimulation
• EMG shows abnormal jitter and blocking
• Edrophonium test is normally positive

How well did you know this?
1
Not at all
2
3
4
5
Perfectly
15
Q

How will you manage this case guillien barre?

A

General—icU care
• ABC approach: 30% cases require ventilation
• Temperature control
• VTE prophylaxis
• Pain relief
• Feeding
specific
• Steroids
• Immunoglobulin G (IgG)
• Plasma exchange
• CSF filtration

How well did you know this?
1
Not at all
2
3
4
5
Perfectly
16
Q

Discuss autonomic dysfunction in these patients with Guillan B syndrome.

A

• Autonomic dysfunction is a major cause of morbidity and mortality,
particularly in ventilated patients
• May cause refractory orthostatic hypotension, paroxysmal hypertension, bradycardia, ventricular tachyarrhythmias, ileus and urinary retention
• Autonomic dysfunction is of particular importance at the induction of anaesthesia. Careful consideration should be given to the use of suxamethonium and inotropic and vasopressor agents may produce markedly atypical responses in heart rate and blood pressure. Even tracheal suction may lead to significant cardiovascular instability

How well did you know this?
1
Not at all
2
3
4
5
Perfectly
17
Q

How do you decide when to
intubate this patient?

A

• Intubation should be performed on patients who develop any
degree of respiratory failure
• Clinical indicators for intubation include hypoxia, rapidly
declining respiratory function, poor or weak cough, and
suspected aspiration
• Typically, intubation is indicated when the FVC is less than
15 mL/kg

How well did you know this?
1
Not at all
2
3
4
5
Perfectly
18
Q

How would you intubate
this child?

A

• Avoid suxamethonium
• Size 7 cuffed tube (Age/2 +12 cm at lips)

How well did you know this?
1
Not at all
2
3
4
5
Perfectly
19
Q

What are the specific treatment options for guillien Barre syndrome?

A

• Plasma exchange: removes auto antibodies, immune complexes, etc., and has shown to halve the recovery time
• Immunoglobulins: easier and safer than, and equally effective as plasma exchange. Useful in unstable patients
• Steroids: ineffective as monotherapy
• Complement inhibitors: e.g. Eculizumab has been trialed.
• CSF filtration

How well did you know this?
1
Not at all
2
3
4
5
Perfectly
20
Q

What is the problem with igG
use in this patient?

A

• Jehovah’s parents may refuse this.

How well did you know this?
1
Not at all
2
3
4
5
Perfectly
21
Q

How do you deal with this
situation?

A

• Assess the child’s capacity—Gillick competence.
• Involve hospitals Jehovah liaison group/legal service/social
services.
This child is now transferred to ICU

How well did you know this?
1
Not at all
2
3
4
5
Perfectly
22
Q

What are the problems encountered during his ICU stay? Gillian B

A

This condition needs long-term care and ventilatory support. This makes
way for the usual and common ICU-related problems on top of the
pathology-related complications.
Non-pathology-related
• Infections—lines, chest, UTI, septicaemia, etc.
• DVT, pressure sores, and contractures
• Nutritional deficits
• Psychological
Pathology-related
• Autonomic neuropathy
• Pain
The ICU team has tried to do an early percutaneous tracheostomy, which
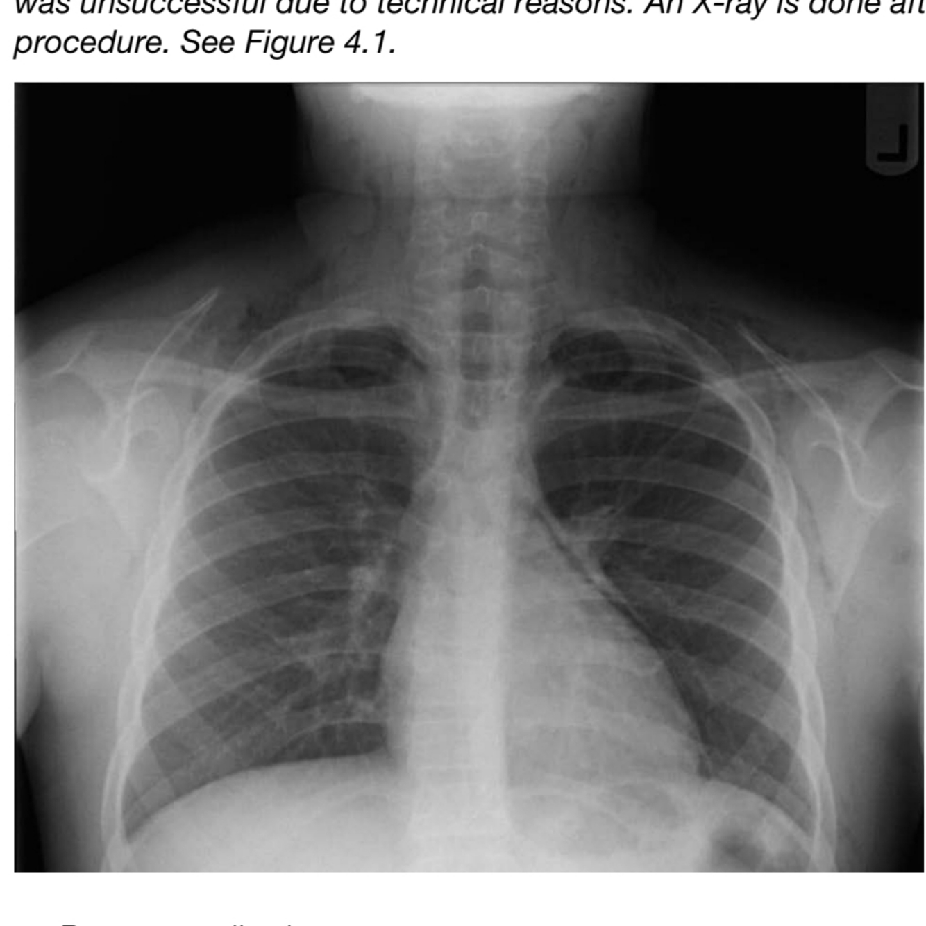
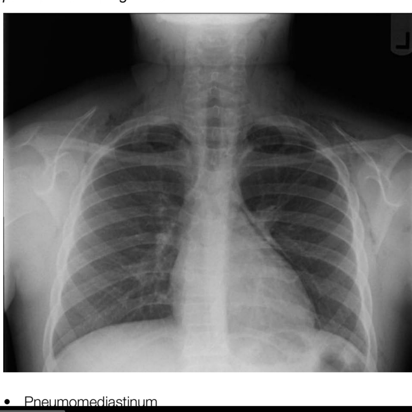
was unsuccessful due to technical reasons. An X-ray is done after the
procedure. See Figure 4.1

How well did you know this?
1
Not at all
2
3
4
5
Perfectly
23
Q

comment on the chest X-ray

A

• Pneumomediastinum
Cause of pneumomediastinum: Traumatic intubation or tracheostomy/NG
insertion as children have fragile soft tissue in trachea and oesophagus

How well did you know this?
1
Not at all
2
3
4
5
Perfectly
24
Q

should a percutaneous
tracheostomy procedure be
followed by X-ray to look for
complications?

A

Immediate CXR after uncomplicated percutaneous tracheostomy performed
under bronchoscopic guidance rarely reveals unexpected radiological
abnormalities. The role of CXR appears to be restricted to those patients
undergoing technically difficult and complicated procedures.

How well did you know this?
1
Not at all
2
3
4
5
Perfectly
25
You are the anaesthetic registrar on call in the labour ward. You are asked to review a 29-year-old female who is 28 weeks pregnant, gravida 4, para 3. She has presented to the labour ward with decreased fetal movement for the past 5 days. Subsequently after doing an ultrasound, the obstetricians have confirmed intrauterine fetal death. She is about to be induced. The midwives ask you to see patient and offer advice on subsequent pain management What would you do?
• Full history and examination, especially looking for associated problems (e.g. preeclampsia, haemorrhage, abruption, chorioamnionitis, DIC) • Sensitive approach as likely to be upset • Plan analgesia in a stepwise fashion with multi-modal approach ° Regular paracetamol +/− codeine, progressing to opiates if required. ° PCA analgesia (diamorphine/morphine preferable to pethidine), some units also have protocols for remifentanil PCAs. ° Epidural analgesia: Good analgesia but risk of clotting abnormality (DIC), increasing risk of epidural haematoma and subarachnoid haemorrhage. Also increased risk of epidural abscess if raised temperature, signs of sepsis especially in intrauterine fetal death
26
What investigations will you do and why? IUFD
• FBC (may be anaemic if had antepartum haemorrhage, may have raised WCC associated with sepsis) • U&E (may have multi-organ failure associated with haemorrhage or infection) • Coagulation profile (risk of DIC) • Blood cultures (maternal sepsis possible cause of fetal death) • Group and save (as at risk of haemorrhage) • 12-lead ECG (risk of arrhythmias with metabolic disturbance)
27
What is your immediate management Septic shock?
• Sepsis management as per surviving sepsis campaign (fluid resuscitation with crystalloid, early antibiotics, lactate measurement, close monitoring) • Haematology involvement with regards to DIC and correction with blood products as necessary • Nurse in obstetric HDU
28
Which antibiotic would you choose to give this patient and why? IUFD with septic shock
Broad-spectrum antibiotics (including anti-chlamydial) like clindamycin. This is decided after discussion with the microbiologist.
29
What do you think of a creatinine of 90 µmol/L in a pregnant woman?
It falls within the normal range of creatinine for women, but creatinine is generally very low in pregnancy. Therefore, taken in context of this case, it could represent early renal dysfunction secondary to sepsis.
30
What is the incidence of intrauterine fetal death?
CMACE define intrauterine death as those babies with no signs of life in utero. (Stillbirth: baby born with no signs of life after 24/40.) one in 200 babies are born dead, and the overall adjusted stillbirth rate is 3.9 per 1000
31
What are the causes of intrauterine fetal death?
No specific cause is found in 50% of stillbirths. The causes can be multiple and are as follows: Maternal causes • Preeclampsia • Chrioamnionitis • Placental abruption • Antepartum haemorrhage • Maternal disease (e.g. Diabetes Mellitus) Fetal causes • Cord prolapse • Idiopathic hypoxia-acidosis • Congenital malformations • Congenital fetal infections
32
A 50-year-old man is admitted for urgent fixation of fracture neck of femur following an accidental fall. He is known to have Down’s syndrome, VSD at birth with occasional ‘blue spells’ What is the association of VsD with ‘blue spells’?
VSD is an acyanotic heart disease, but in the presence of increased right heart pressures causes a right-to-left shunt leading to cyanotic spells. This is called Eisenmenger’s syndrome.
33
What is eisenmenger’s syndrome?
- Eisenmenger’s syndrome (after German physician Dr Viktor Eisenmenger, 1897) is an untreated congenital heart defect with intracardiac communication that causes pulmonary hypertension, reversal of flow, and cyanosis. - The initial cardiac defects could be VSD, PDA, or less commonly, ASD. other causes include AV septal defect, double-outlet right ventricle, tetralogy of Fallot, transposition of great vessels, and truncus arteriosus. - (Eisenmenger’s syndrome secondary to VSD is called Eisenmenger’s Complex.)
34
What are cyanotic heart diseases? How is eisenmenger’s syndrome different from them?
Cyanotic heart diseases are congenital cardiac defects where deoxygenated blood is shunted to systemic circulation. Examples are: • Tetralogy of Fallot • Total anomalous pulmonary venous connection • Hypoplastic left heart syndrome • Transposition of great vessels • Truncus arteriosus • Tricuspid atresia Eisenmenger’s syndrome causes cyanosis at a later age. The congenital cardiac defect is not cyanotic, but secondary to the development of pulmonary hypertension the previous left-to-right shunt is converted to a right-to-left shunt.
35
What is the pathophysiology of eisenmenger’s syndrome?
Systemic to pulmonary connection Left-to-right shunting Increased pulmonary flow Irreversible pulmonary vascular injury Increased pulmonary vascular resistance Right-to-left shunting Hypoxia and erythrocytosis Initially the communication between right and left sides of chambers allows blood flow from left to right, as SVR (1000 dynes.sec/cm5) is much higher than PVR (150 dynes.sec/cm5). Increased blood flow in the right heart increases blood flow through the pulmonary artery and produces shear forces in pulmonary microvasculature. This with volume overload causes increase in PVR. Gradually PVR becomes equal or higher than SVR over years. Thus the shunt becomes bidirectional, and later, when reversal occurs, deoxygenated blood flows from right to left causing cyanosis and chronic hypoxaemia. This stage with right-to-left shunt and cyanosis is termed Eisenmenger’s syndrome.
36
What are the signs and symptoms of Eisenmenger syndrome
- Eisenmenger’s syndrome is an insidious disease process. In patientswith left-to-right shunt, only 11% develop reversal of shunt and Eisenmenger’s syndrome. - Main symptoms include dyspnoea on exertion, palpitations, syncope, fatigue, angina, and haemoptysis. - Important signs are cyanosis, clubbing of fingers, dysrhythmias on ECG, polycythaemia, signs of congestive cardiac failure, hyperviscosity, and endocarditis. - It also causes cholelithiasis, renal dysfunction, gout, and haematological abnormalities. The quality of life is poor, and exercise tolerance is limited.
37
What are the implications of anaesthetising this patient Downs syndrome with Eisenmenger syndrome?
• Anaesthesia in patients with Down’s syndrome is not discussed here. The theoretical risks of anaesthesia in these patients are considerable. The cornerstone of safe anaesthesia in such patients is maintenance of preoperative levels of systemic vascular resistance and to reduce the amount of right-to-left shunt during the perioperative period. - Avoid any increase in PVR: By reducing anxiety with premedication, good analgesia, avoiding acidosis, hypoxia, and hypercarbia. - Avoid any reduction in SVR: Titration of induction and inhalational agents, avoiding regional techniques, and use of alpha agonists to maintain SVR. • Careful premedication with a benzodiazepine may be useful. • For IV access, it is crucial to avoid any small air bubbles entering the circulation as this can cross to the arterial side and cause stroke and ischaemia to vital organs (paradoxical air embolus). • General anaesthesia is better tolerated than spinal anaesthesia. - Ketamine maintains SVR, while the other agents reduce it. - Inhalational agents also reduce SVR, but their dose-dependent reduction in PVR might be useful. • Controlled ventilation is recommended. - Hyperoxemia and low CO2 reduce PVR and shunt. • Adequate analgesia is vital as pain causes increase in PVR, SVR, and cardiac oxygen requirements. • Invasive monitoring is recommended and postoperative HDU or ITU care might be needed. -In general, avoid • Increase in PVR • Decrease in SVR • Air in IV line • Hypoxia and hypercarbia
38
Will you consider regional anaesthesia in this case downs syndrome with Eisenmenger syndrome?
Advantages of regional technique • Avoidance of cardiac effects of anaesthetic agents • Avoidance of the need for airway management (possibly difficult in Down’s syndrome) • Good postoperative analgesia Disadvantages • Significant and uncontrolled drop in SVR caused by spinal can be detrimental. • Also in a patient with learning difficulties, an awake procedure can be challenging and sedation can cause Co2 retention and worsening of right-to-left shunt. • Epidural and incremental spinal (with spinal catheter) with invasive monitoring and use of fluids and vasopressors to avoid fall in SVR have been described in the literature.
39
You are asked to preassess a 32-year-old man with myotonic dystrophy, booked for wisdom tooth removal. What is the definition of myotonic dystrophy?
Progressive, hereditary neuromuscular disorder characterised by • Myotonia (prolonged contraction/delayed relaxation of the skeletal muscles after voluntary stimulation) • Dystrophy (progressive weakness and muscular atrophy) Autosomal dominant disorder with an incidence of 2.4–5.5 cases per 100 000 in the UK.
40
What is the pathophysiology of myotonic dystrophy?
- Locus for myotonic dystrophy is found on chromosome 19. - The underlying pathophysiology is related to abnormal sodium or chloride channels, which results in the muscle being in an abnormal hyperexcitable state. - This leads to repetitive action potentials and sustained muscle contraction, manifesting in the inability to relax.
41
What are the complications and system manifestations of this disease?
Facial feature • Frontal balding, muscle wasting, ptosis, cataracts Cardiac • Conduction defects (heart block, bundle branch block, wide QRS, increased QTc, PR intervals) • Heart failure • Cardiomyopathy • Mitral valve prolapse Respiratory • Respiratory muscle weakness • OSA • Decreased hypercapnic drive, hypoxaemia, cor pulmonale • Mucus/sputum retention, poor cough, risk of respiratory infection Neurological • Bulbar palsy, dysphagia • Intellectual impairment - complex sleep disorder Endocrine • Hypothyroidism • Diabetes Gi • Delayed gastric emptying, constipation • Aspiration
42
How could you preoptimise him Myotonia?
He would require a thorough preoperative assessment including a full history and examination looking for the multisystem involvement as listed above, with special mention of: • Bulbar problems: dysphagia, slurred speech (aspiration risk) • Cardiac abnormalities: conduction defects (may need pacing) • Respiratory muscle fatigue: poor cough (risk of chest infection), OSA (need for NIV/overnight ventilation) • Endocrine: presence of diabetes/hypothyroidism investigations • 12-lead ECG (check for conduction abnormalities and consider need for pacing intraoperatively) • FBC, U&Es, Blood glucose (may have anaemia of chronic disease, polycythaemia associated with lung disease, hyperkalaemia due to muscle dysfunction, raised blood glucose secondary to associated diabetes mellitus) • Pulmonary function tests (to look for restrictive lung disease) • ABGs (may have chronic hypoxaemia) • CXR (may have evidence of aspiration pneumonitis, evidence of cardiac failure) • Echocardiogram (to exclude structural abnormality, e.g. mitral valve prolapse) Precounseling • Local versus general anaesthesia (see below) • Discussion regarding factors that precipitate myotonia • Risk of deterioration of disease with anaesthesia and need for overnight stay He states that anything in his mouth precipitates his myotonia and that he might bite the surgeon’s fingers off (if done under local anaesthesia).
43
How could you prevent masseter spasm?
• Sedation may be an option but has a risk of inducing severe respiratory depression • Local anaesthetic infiltration of the masseter has been shown to reduce myotonia
44
How would you proceed with regard to giving a general anaesthetic myotonia?
Preoperative • Ensure preoperative optimisation (as above), take a good history, and explain potential complications • Premedication: Avoid respiratory depressants and give antacids intraoperative • Full monitoring as per AAGBI guidelines, consider invasive monitoring if history of cardiomyopathy or arrhythmias. Have pacing capability available • Avoid precipitation of myotonias: hypothermia, shivering, mechanical and electrical stimulation. Use warming blankets, warm fluid, monitor temperature • Induction: Etomidate, thiopentone, and propofol have all been shown to be safe, though propofol is associated with less postoperative ventilation • Muscle relaxation: Depolarizing neuromuscular blocking agents (suxamethonium) may induce generalized muscular contractures and are therefore not recommended. Non depolarizing neuromuscular blocking agents are not associated with myotonia, but the use of anticholinesterases may precipitate contractures, due to increased sensitivity of acetylcholine • Maintenance: Avoid volatiles as they may induce shivering, and therefore myotonia, at high concentrations. Propofol and remifentanil total intravenous anaesthesia has been shown to be very effective and avoids the need for muscle relaxation • Airway: Will require intubation as significant risk of aspiration and possibly nasal route to facilitate surgical access • Emergence: Avoid anticholinesterase agents (precipitate myotonia), extubated with care to prevent aspiration Postoperative • Consider need for prolonged ventilation, at high risk of delayed onset apnoea and should have ECG and oxygen saturations monitored for 24 hours postop • Consider need for ICU/HDU. Try to avoid depressant analgesics. May require chest physiotherapy postoperatively depending on prior lung function
45
What other muscular dystrophies are you aware of and how do they differ?
Duchene Muscular Dystrophy - It is most common in childhood affecting males and is inherited as X linked recessive disorder. - It is characterized by proximal muscle wasting and weakness associated with contractures, scoliosis, restrictive lung disease, and cardiomyopathy. - Death occurs usually in second or third decade from cardiorespiratory failure. - The causative factor is shown to be the lack of dystrophin (protein that anchors muscle to extracellular matrix). Becker’s Muscular Dystrophy - It is a milder form of muscular dystrophy affecting 1 in 30,000 men. - In this condition, dystrophin is only partially absent. - It presents in teenage years and has a protracted course, and death happens at fourth or fifth decade from cardiorespiratory failure
46
What is mediastinum?
• The mediastinum lies between the right and left pleurae • It extends from the sternum in front to the vertebral column behind, and it contains all the thoracic viscera excepting the lungs • superior mediastinum ° Located above the manubriosternal angle ° Bounded posteriorly by T1-4; above it is continuous with the neck; below it is continuous with both anterior and posterior mediastina organs: Thymus, oesophagus, thoracic duct, trachea and bronchi Vessels: Aorta (arch) and brachiocephalic trunk, SVC and both brachiocephalic veins, left common carotid artery, left subclavian artery Nerves: Both phrenic nerves and vagi, left recurrent laryngeal nerve • Anterior mediastinum ° Between sternum anteriorly and the pericardial sac posteriorly ° Contains the sternopericardial ligament, fat, and lymph nodes • Middle mediastinum ° Between anterior and posterior mediastinum ° Structures include the pericardium, heart, phrenic nerves, pericardioacophrenic vessels, and origin of great vessels • Posterior mediastinum ° Between pericardial sac and anterior surface of the vertebral bodies ° Structures include descending aorta, oesophagus, azygous system of veins, vagus nerve, thoracic duct, lymph nodes, and thoracic splanchnic nerves
47
What is the nerve that traverses through the neck/chest and abdomen?
Vagus nerve
48
Where does vagus lie in the neck, chest, and abdomen?
• Neck: within carotid sheath along the tracheo oesophageal groove • Chest ° Right: passes behind the right brachiocephalic vein, crosses right subclavian artery, is crossed by azygos vein, and travels posterior to the hilum of right lung ° Left: behind left brachiocephalic vein, crosses aortic arch, and travels posterior to the hilum of left lung • Abdomen ° Right: enters abdomen via the oesophageal hiatus of the diaphragm, right and posterior to the oesophagus, runs along left gastric artery to the coeliac plexus ° Left: is left and anterior to the oesophagus in the hiatus, lesser curvature of the stomach and pylorus
49
Where does the oesophagus start and how long is it?
• At C6 and it is 25 cm long
50
Why is the oesophagus important to anaesthetists?
• Mode of feeding—so placement of NG tube • Mode of monitoring—doppler/ TOE/temp • Inadvertent injury—bougie, tracheostomy • Air into stomach especially in children—regurgitation risk • Inadvertent oesophageal intubation
51
How would you anaesthetise for food bolus removal or ingested foreign body?
Eighty percent of ingested foreign bodies will pass without the need for intervention. implications • Risks of impaction, with obstruction or perforation depending on the type of the foreign body • Risk of aspiration depending on the location of the foreign body • Usually (not necessarily) paediatric population • All issues relating to a shared airway • Underlying oesophageal motility disorder causing impaction Management • History, examination, and investigations to ascertain the type and location of the foreign body timing of intervention • Emergency intervention in patients with esophageal obstruction or ingestion of sharp objects leading to perforation or batteries leading to liquefaction necrosis and perforation • Nonurgent: Coins in the esophagus may be observed for 12−24 hours in an asymptomatic patient Airway control • The most acceptable technique to remove a gastrointestinal foreign body remains controversial. Initial management includes assessment of the patient’s ventilatory status and an airway evaluation. GA with endotracheal intubation a. Patients unable to manage their secretions (high aspiration risk) b. Cases of proximal oesophageal foreign body ingestion c. objects that are difficult to remove d. When rigid oesophagoscopy is needed e. Pediatric population conscious sedation With midazolam in other patient groups
52
During which surgeries is cerebral circulation likely to be affected?
• Surgeries performed in the head-up position; e.g. posterior fossa craniectomy, cervical laminectomy, and sometimes thyroid operations • Beach chair position; e.g. shoulder surgery • Trendelenburg position; e.g. in laparoscopic colorectal surgery, gynaecological operations • Surgery needing cardiopulmonary bypass, as aortic cannulation can lead to cerebral embolism
53
Describe the cerebral arterial supply.
This can be divided into the anterior and posterior cerebral circulations that are connected via the anterior and posterior communicating arteries forming the Circle of Willis. Two thirds of the cerebral arterial supply is via the internal carotid arteries and one third via the vertebral arteries. See Figure 4.2 • The anterior cerebral artery supplies the medial portion of the frontal lobe and the superior medial parietal lobe • The middle cerebral artery supplies the lateral cerebral cortex. It also supplies the anterior temporal lobe and the insular cortices • The posterior cerebral artery supplies the occipital lobe and medial side of temporal lobe
54
What factors affect cerebral blood flow?
• Arterial pCO2: Hypercapnia increases blood flow whereas hypocapnia decreases it • Arterial pO2: Does not affect it until the po2 reaches 6.7 kPa. The cerebral blood flow increases below this • Cerebral metabolic rate of oxygen (CMRO2): There is a linear correlation between cerebral blood flow and CMRo2 • Cerebral perfusion pressure: Autoregulation occurs between a MAP of 60 and 160 mmHg. The mean arterial pressure at which autoregulation occurs in hypertensive population is in a higher range and is impaired in pathology (e.g. traumatic brain injury) • Drugs used in anaesthesia: Intravenous induction agents except ketamine decrease cerebral blood flow. Inhalational anaesthetic agents and nitrous oxide increase cerebral blood flow as they cause vasodilatation. opiates cause very little change in blood flow • Temperature: Decrease in temperature decreases cerebral blood flow
55
What is the mechanism of cerebral autoregulation?
The autoregulatory vessel caliber changes are mediated by interplay between myogenic, neurogenic, and metabolic mechanisms. • Metabolic control: balance between demand and supply of oxygen (i.e. between cerebral metabolism and oxygen delivery mediated by vasoactive substances such as No, H+, etc.) • Myogenic control: sensing mechanisms in smooth muscle of the arterioles detect changes in transmural pressure. The calibers of vessels are changed to maintain blood flow • Neurogenic control: The vascular smooth muscle resistance is controlled via autonomic innervations
56
What is the management of raised intracranial pressure (icP)?
Raised ICP may be due to an increase in any compartment of the brain (i.e. blood, brain tissue, or CSF). The treatment of raised ICP involves the reduction in any of them and may be achieved in the following ways: Blood • The cerebral blood flow can be decreased by hyperventilation and thus a decrease in PaCo2. Attention should be paid to not affect venous drainage by nursing the patient in a head-up position and avoiding compressing the jugular veins by not tying endotracheal tubes too tight. Coughing should be avoided, and adequate muscle relaxation and sedation must be used • Therapeutic hypothermia to decrease CBF • Use of barbiturate infusions (e.g. thiopentone to decrease CBF and CMRO2) Brain tissue • Osmotic diuretics such as mannitol and hypertonic saline draw out water from the extracellular and intracellular spaces • Surgery (e.g. frontal lobectomies and removal of tumours) csF • Drainage via shunts and catheters
57
outline the production and metabolism of serotonin
- Production: Serotonin (5-Hydroxytryptamine) is produced by hydroxylation and decarboxylation of tryptophan, an essential amino acid. - Metabolism: Reuptake and inactivation by monoamine oxidase (MAo) to produce 5-hydroxyindoleacetic acid, which is renally excreted
58
Where is serotonin found?
• Platelets • Gastrointestinal tract (primarily in enterochromaffin cells) • Brain (the hypothalamus, limbic system, spinal cord, retina, and cerebellum)
59
What are the types of receptors you know of, and what are the functions of serotonin?
Seven families have been identified (5-HT1 through to 5-HT7). Most of the receptors are coupled to G proteins and produce an effect via adenyl cyclase or phospholipase C. The one exception is 5HT3, an ion channel. - The effect of serotonin varies with each receptor. - 5-HT2 receptors mediate platelet aggregation and smooth muscle contraction. - 5-HT3 receptors are concentrated in the GI tract and the area postrema and are involved in vomiting. - 5-HT6 and 7 receptors are involved in limbic function.
60
What is serotonin syndrome?
Serotonin syndrome (SS), or serotonin toxicity, was first described in the 1950s. It is a spectrum of clinical findings due to excess of serotonin in the CNS. Classical triad of symptoms • Change in mental status • Autonomic dysfunction • Neuromuscular excitability
61
What are the signs and symptoms of serotonin syndrome?
• Change in mental status: agitation, delirium, disorientation, anxiety, lethargy, seizures, and hallucinations • Autonomic dysfunction: diaphoresis, hypertension, hyperthermia, vomiting, tachycardia, dilated pupils, diarrhoea, and abdominal pain • Neuromuscular changes: tremors, muscle rigidity, hyperreflexia, nystagmus • Others: rhabdomyolysis, acute renal failure, disseminated intravascular coagulation, and circulatory failure - Clinical features are highly variable but usually correlate with degree of toxicity, and the onset can be dramatic or insidious in nature
62
How is serotonin syndrome diagnosed?
- The diagnosis is purely clinical. - Most validated diagnostic criteria—Hunter Criteria—84% sensitive and 97% specific. - The Hunter Criteria for Serotonin syndrome are fulfilled if the patient has taken a serotonergic agent and has a combination of one or more of the following: • Spontaneous or inducible clonus • Ocular clonus • Agitation • Diaphoresis • Tremor • Hyperreflexia • Hypertonia • Temperature > 38°C - History should concentrate on prescription and other medications, illicit substance abuse, alternative medications, and any recent changes to medications. - Laboratory investigations are of very little use in the diagnosis. Serum serotonin levels do not correlate with toxicity, and other findings are generally nonspecific. - There may be an elevated white cell count and increased CK.
63
outline the principles of treatment of serotonin syndrome.
• Stopping all drugs acting on serotonin • Supportive care such as supplemental oxygen, intravenous fluids, and cardiac monitoring. • Benzodiazepines for agitation and BP control • Management of autonomic instability—can use short-acting agents such as esmolol • Controlling hyperthermia • Considering serotonin antagonists if available (Cyproheptadine is the serotonin antagonist that has been used.)
64
Which drugs can precipitate serotonin syndrome?
Co-administration of two serotonergic agents, usually monoamine oxidase inhibitors (MAoI) and selective serotonin reuptake inhibitors (SSRIs) • Increased serotonin formation: L-tryptophan • Increased serotonin release: Cocaine, ecstasy, amphetamines, alcohol • Reduced serotonin reuptake: SSRIs, TCAs, pethidine, tramadol, fentanyl, ondansetron, St. John’s wort, etc. • Inhibits serotonin metabolism: MAoIs, serotonin agonists, LSD • Increases sensitivity of receptor: Lithium
65
What are the anaesthetic implications for serotonin syndrome?
- Serotonin syndrome is uncommon but is often undiagnosed in milder cases. - Drugs that alter serotonin are given routinely in anaesthetic practice. - Patients already on one drug are being prescribed a second serotonergic agent such as alcohol, tramadol, or ondansetron. Serotonin syndrome can be prevented by • Understanding individual patient’s triggers, symptom patterns, and preferred therapies • Continuing preventative medication • Minimising variations in arterial blood pressure, temperature, and arterial Co2
66
You are asked to preassess a 14-year-old boy who is booked for thoracic scoliosis correction surgery. What are your perioperative concerns?
Scoliosis is a spinal deformity associated with lateral curvature of the spine, rotation of vertebral body, and thoracic cage deformity. The main concerns in anaesthetising this particular case are as follows: Patient factors • Paediatric age group • Coexisting neuromuscular disorders—muscular dystrophy, cerebral palsy, and increased incidence of malignant hyperthermia • Associated comorbidities—respiratory and cardiac compromise • Difficult airway—depending on the level of scoliosis surgical factors • Difficult positioning—prone or lateral • Potential for excessive blood loss • Risks of prolonged surgery—hypothermia and thromboembolic risks • Need for intraoperative neurophysiological monitoring (IONM) • Need for insertion of double lumen tube in certain approaches
67
What are the two main system involvements in patients with scoliosis?
• Respiratory system - Thoracic curvature decreases the mechanical efficiency of the chest wall causing a restrictive pulmonary picture with decreased lung volumes and compliance, but preservation of FEV1/FVC ratio. In severe cases, restricted ventilation may lead to alveolar hypoventilation, arteriovenous shunting, and V/Q mismatch. - A thorough assessment of functional impairment and optimisation of any reversible cause of pulmonary dysfunction such as chest infection with antibiotics, bronchodilators, and physiotherapy. • Cardiovascular system - Patients with high-degree spinal curvature are at risk of developing corpulmonale. Hypoxic pulmonary vasoconstriction develops in the face of arterial hypoxaemia, and the resulting pulmonary hypertension leads to right heart failure
68
What investigations would you consider necessary in this patient for scoliosis repair?
• Full blood count, urea and electrolytes, clotting screen, cross-matching of blood and blood products • Plain CXR for respiratory and cardiac assessment • 12-lead ECG to assess cardiac function • Echocardiogram in patients with long-standing and severe scoliosis • Lung function tests: Preoperative vital capacity of < 35% is associated with increased postoperative respiratory morbidity and is considered a relative contraindication for surgery • In cases where difficult airway is suspected, flexion and extension radiographs and CT/MRI of cervical spines are recommended From this first question the viva can go to different areas: • One-lung anaesthesia and double lumen tubes • Positioning for spinal surgery • Spinal cord blood supply and spinal cord ischaemia • Monitoring of the spinal cord
69
Describe the blood supply of the spinal cord. Which part of the spinal cord is most at risk of ischaemia?
- The anterior spinal artery supplies the anterior two-thirds of the spinal cord, and the posterior spinal arteries supply posterior third. In addition, radicular branches from local arteries feed into the spinal arteries, including the artery of Adamkiewicz at the lower thoracic/upper lumbar level. This segmental blood supply results in the formation of watershed areas. - The areas of the spinal cord, which are the most at risk of ischaemia, are T3–5 and T12–L1.
70
How can you monitor the neurological function during scoliosis surgery?
Given the risk of spinal cord ischaemia during surgery, methods of detection of spinal cord compromise are essential for preservation of function. IoNM of evoked potentials provides information about the functional integrity of neural pathways in anaesthetised patients. The most commonly used techniques include: • transcranial Motor evoked Potentials (tc-MePs): Significant changes in muscle MEP during scoliosis surgery bears a strong correlation to cord injury. This involves monitoring of the descending anterior and lateral corticospinal tracts by transcranial electrical stimulation of excitable regions in the cortex producing segmental muscle contraction. • somato sensory evoked Potentials (ssePs): Electrical impulses are delivered to a peripheral nerve via surface electrodes, which reach the primary sensory cortex through the dorsal column; this electrical activity is recorded via scalp electrodes. Changes in the SSEP waveforms reflect loss of integrity of the dorsal column sensory pathways. • spontaneous and triggered electromyographic (eMG) responses: Detects peripheral nerve injury quickly and easily. • stagnara wake-up test: Despite limitations, this method still remains ‘gold standard’ for assessment of motor function. The test involves lessening the level of anaesthesia until the patient is able to follow commands, allowing for a gross assessment of motor function. In many studies the advantage of using multimodal monitoring has been suggested.
71
How do anaesthetic drugs affect these techniques?
• iV induction agents: The use of bolus doses of i.v. induction agents reduces the amplitude of evoked potential responses, and in particular, cortical responses, but these effects do not prevent useful intraoperative recording of SSEPs and MEPs. • inhalational agents: There is a dose-dependent reduction in SSEP and MEP amplitude. Muscle relaxants do not affect SSEPs, but MEPs are affected with moderate doses. When myogenic motor evoked responses are to be recorded, stable level of muscle relaxation as reflected by one or two twitches on train of four (ToF) should be maintained. • opioids: Small effect on waveform amplitude and latency. • Hypothermia: Decreases nerve conduction and decreases the amplitude of SSEP waveform. • Hypotension: SSEPs are lost and ischaemic injury can occur when MAP < 60 mm Hg.
72
What problems exist with patient positioning for this procedure? scoliosis surgery
- Different approaches call for different modes of positioning: knee-to-chest, prone, or lateral. - Ensure optimal position to aid free excursion of chest wall to promote adequate ventilation; in the presence of restrictive pattern, this could otherwise be detrimental to the respiratory function. Also prevent increased intra-abdominal pressure to avoid engorgement of epidural venous plexus and increased surgical site bleeding
73
What can you do to decrease blood loss during surgery?
Typical blood loss may exceed 50% of patient’s blood volume and is related to the duration and extent of surgery, anaesthetic factors such as induced hypotension, optimal positioning, and use of antifibrinolytic agents.
74
What determines the need for postoperative ventilation scoliosis surgery?
Patient factors • Presence of pre-existing neuromuscular disorder • Severe restrictive pulmonary disease (< 35% vital capacity) • Associated cardiac involvement and right heart failure • Obesity surgical factors • Duration and extent of surgery • Invasion of thoracic cavity • Blood loss > 30 mL/kg • Presence of complications such as pneumothorax and haemothorax
75
What are the analgesic options? for scoliosis surgery
- The surgery involves a large incision over several dermatomes, and significant postoperative pain can be expected. - A multimodal analgesic technique involving the combination of simple analgesics, opioids, and regional blocks is chosen. Nonsteroidal anti-inflammatory drugs are generally avoided for the fear of increased bleeding and renal failure because of the high incidence of intraoperative hypotension and hypovolemia. - Various regional techniques: spinal and epidural catheters inserted intraoperatively by the surgeon; paravertebral and intrapleural infusion of local anaesthetics are used variedly in the UK. Key points • Scoliosis surgery poses significant challenges • Preoperative lung function determines postoperative respiratory morbidity • IONM has shown to effectively predict the adverse outcomes of nerve injury • Anaesthetic technique is tailored to suit the use of IONM and to prevent blood loss