Section 7 Flashcards

(87 cards)

1
Q

A 4-year-old boy with a past medical history of birth asphyxia,
developmental delay, and poorly controlled epilepsy is scheduled for a Nissen’s
fundoplication due to chronic reflux.
He suffers from gastro-oesophageal reflux disease and gets recurrent chest
infections; roughly three admissions per year. The child had to be admitted to the
paediatric intensive care unit 4 months ago with chest infection.
Medication Lamotrigine and Sodium valproate
on examination Weight: 12 kg
Afebrile
Heart rate: 140/min; regular
Heart sounds: normal
Respiratory rate: 32/min
Crackles right base
Blood investigations Hb 10 g/dL (13–16)
Haematocrit 0.45 (0.38–0.56)
WCC 21.1 × 109/L (4–11)
Platelets 221 × 109/L (140–400)
MCV 70 femtolitres (80–100)
Na 128 mmol/L (137–145)
K 4.8 mmol/L (3.6–5.0)
Urea 6.1 mmol/L (1.7–8.3)
Creat 72 μmol/L (62–124)
summarise the case.

A

A 4-year-old child for elective major surgery, probably laparoscopic with
multiple comorbidities, exhibits:
• Poorly controlled epilepsy
• Significant chest infection
• Anaemia and hyponatremia
• Small stature for his age
These need to be optimised before going ahead with surgery

How well did you know this?
1
Not at all
2
3
4
5
Perfectly
2
Q

Why do you think he is small for his age? What would be his ideal weight?

A

○ The commonly used formula to calculate weight from age is
Weight = 2 (age + 4)
○ This means the ideal weight of this child should be 16 kg.
○ The Luscombe and owens formula [Weight = (3 × age) + 7] probably reflects the actual weight in this country.
• It can be used over a larger age range (from one year to puberty) and allows a safe and more accurate estimate of the weight of children today and prevents underestimation and hence under-resuscitation.
○ The main reason for poor weight gain in this child might be the gastro-oesophageal reflux disease (GoRD) and chronic chest infection.
○ Malnutrition secondary to poor feeding as he has bulbar palsy

How well did you know this?
1
Not at all
2
3
4
5
Perfectly
3
Q

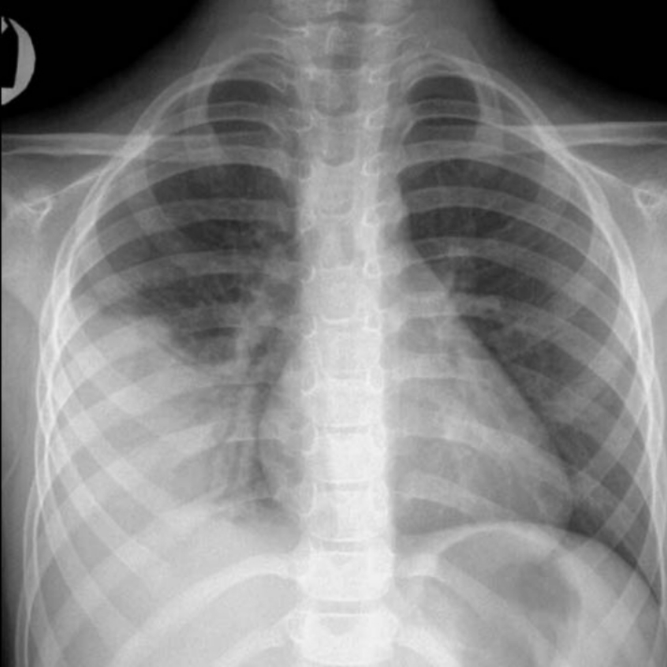
Describe the blood and CXR results.
Hb 10 g/dL (13–16)
Haematocrit 0.45 (0.38–0.56)
WCC 21.1 × 109/L (4–11)
Platelets 221 × 109/L (140–400)
MCV 70 femtolitres (80–100)
Na 128 mmol/L (137–145)
K 4.8 mmol/L (3.6–5.0)
Urea 6.1 mmol/L (1.7–8.3)
Creat 72 μmol/L (62–124)

A

Blood: Microcytic anaemia, raised WCC, and low sodium
CXR: Frontal chest radiograph shows right lower lobe consolidation and the silhouette sign—the adjacent diaphragm is obscured, the right cardiac silhouette, anterior to the consolidation, is preserved.
Diagnosis: Right lower lobe pneumonia.

How well did you know this?
1
Not at all
2
3
4
5
Perfectly
4
Q

What are the causes of anaemia?

A

The causes of anaemia can be broadly grouped as:
1. Etiological classification
a) Impaired RBC production
b) Excessive destruction
c) Blood loss
2. Morphological classification
a) Macrocytic anaemia
b) Microcytic hypochromic anaemia
c) Normochromic normocytic anaemia

How well did you know this?
1
Not at all
2
3
4
5
Perfectly
5
Q

etiological classification of anemia

A

impaired RBc production
1. Abnormal bone marrow
a) Aplastic anaemia
b) Myelofibrosis
2. Essential factors deficiency
a) Iron deficiency anaemia
b) B12 deficiency
c) Folate deficiency
d) Erythropoietin deficiency, as in renal disease
3. Stimulation factor deficiency
a) Anaemia in chronic disease
b) Anaemia in hypothyroidism
c) Anaemia in hypopituitarism
excessive destruction
1. Intracorpuscular defect
a) Membrane: hereditary spherocytosis
b) Enzyme: G-6 PD deficiency
c) Haemoglobin: thalassemia, haemoglobinopathies
2. Extracorpuscular defect
a) Mechanical: microangiopathic haemolytic anaemia
b) Infective: Clostridium tetani
c) Antibodies: SLE
d) Hypersplenism
Blood loss
1. Acute: trauma, acute GI bleed
2. Chronic: parasitic infestation, chronic NSAIDS

How well did you know this?
1
Not at all
2
3
4
5
Perfectly
6
Q

Morphological classification

A

MCV – mean corpuscular volume; MCHC – mean corpuscular
Hb concentration
Macrocytic/megaloblastic anaemia
MCV > 94; MCHC > 31
• Vitamin B12 deficiency: Pernicious anaemia
• Folate deficiency: Nutritional megaloblastic anaemia
• Drug-induced abnormal DNA synthesis: anticonvulsant, chemotherapy
agents, etc.
Microcytic hypochromic anaemia
MCV < 80; MCHC < 31
• Iron deficiency anaemia: chronic blood loss, dietary inadequacy,
malabsorption, increased demand, etc.
• Abnormal globin synthesis: thalassemia
normocytic normochromic anaemia
MCV 82–92; MCHC > 30
• Blood loss
• Increased plasma volume
• Hypoplastic marrow
• Endocrine: hypothyroidism, adrenal insufficiency
• Renal and liver disease

How well did you know this?
1
Not at all
2
3
4
5
Perfectly
7
Q

Why do you think the patient’s
sodium is low?

A

○ Sodium valproate can cause this.
○ Hyponatremia is the most common electrolyte disturbance in hospitalised
children. This is usually due to hypotonic intravenous fluids. It can be due to renal causes or rarely because of poor dietary intake

How well did you know this?
1
Not at all
2
3
4
5
Perfectly
8
Q

Would you anaesthetise him now?

A

No. He needs optimisation with paediatric and neurology reviews for
• Treatment of chest infection with antibiotics and physiotherapy
• Further investigation and correction of low sodium
• Further investigation and treatment of anaemia
• Optimisation of the epilepsy medications
○ Also one should bear in mind that these cannot be corrected to normal, as
his nutrition is not going to improve without surgery due to his underlying
problem resulting in recurrent chest infections.

How well did you know this?
1
Not at all
2
3
4
5
Perfectly
9
Q

What do you know about this
surgery? Fundoplication

A

○ Nissen’s fundoplication is the most common operation to stop reflux.
○ More than half the patients presenting for this procedure are neurologically
impaired, have cerebral palsy, epilepsy, or chronic pulmonary aspiration.
○ The operation is usually done by laparoscopic route and involves the
tightening of the lower oesophageal sphincter by wrapping the fundus of
stomach around it.
○ Complications include chest infection, port site hernia, and adhesions.
○ Failure rate for surgery is 5%–10%.
○ The child now comes back after a month having been seen by the paediatric team in view of treatment of chest infection and optimisation of epileptic medication.

How well did you know this?
1
Not at all
2
3
4
5
Perfectly
10
Q

Discuss your anaesthetic management child with CP for fundoplication.

A

Preoperative assessment
• Careful airway evaluation as patient needs rapid sequence induction and there might be difficulties due to congenital deformities.
• History of previous anaesthetics, allergies, and fasting status should be established.
• Parental anxieties should be addressed carefully, and detailed discussion about the perioperative care should be discussed.
• Premedication in the form of antacids and topical local anaesthetic cream to aid cannulation should be prescribed.
• Preoperative pulmonary assessment to identify risk factors for postoperative respiratory compromise.
conduct of anaesthesia
• Mode of induction: Intravenous mode is preferred due to need for rapid sequence induction, but small child with recurrent hospital admissions might be a challenge!
• Drugs: Thiopentone 5 mg/kg (60 mg) and Suxamethonium 2 mg/kg
(25 mg). A nondepolarising muscle relaxant (Atracurium 0.5 mg/kg) is added once the effect of suxamethonium wears off.
• Tube: 5 mm cuffed tube due to risk of reflux and laparoscopic surgery.
• Maintenance: Oxygen in air with inhalational agent is the routine.
Nitrous oxide is generally not used, as it can cause bowel distension and increase nausea and vomiting. Total intravenous anaesthesia using propofol and remifentanil infusion can also be safely employed.
• Analgesia: See below.
• Antiemetics: Ondansetron 0.1 mg/kg (max 4 mg) is given routinely to prevent retching.
• Monitoring: Routine monitoring of ECG, pulse oximetry, noninvasive blood pressure and temperature along with capnography and gas measurement. An arterial line might be useful in this case due to poor premorbid condition

How well did you know this?
1
Not at all
2
3
4
5
Perfectly
11
Q

How will you manage intravenous
cannulation?

A

At preassessment
• Building rapport with the child and the parents.
• Premedication and topical anaesthesia
a) Premedication: oral midazolam (0.5 mg/kg) is widely used.
°Ketamine and temazepam are alternatives.
b) Topical: EMLA cream 5% emulsion—eutectic mixture of 2.5% lidocaine and 2.5% prilocaine in 1:1 ratio.
○ Applied 45 min before and lasts for 60 min.
○ Ametop—4% gel formulation of amethocaine. Onset in 30 min and lasts for 4 hours. Usually causes vasodilation and higher chance of allergy.
in anaesthetic room
• Distraction technique—distraction of child’s attention by the parent
and nurse/play specialist, hiding the needle, and asking to cough while
cannulating are some of the various techniques used.
○ During the operation, patient develops bradycardia

How well did you know this?
1
Not at all
2
3
4
5
Perfectly
12
Q

What are the causes of bradycardia pedia5ric patient under GA and how will you manage this?

A

○ Heart rate < 60 per min is bradycardia in age group 2 to 10 years.
• Anaesthetic factors: hypoxia, deep plane of anaesthesia
• Surgical factors: surgical stimulation leading to parasympathetic activation
• Drugs: suxamethonium, remifentanil, clonidine, neostigmine, and β blockers
• Patient factors: congenital cardiac problems
Common causes during this operation are hypoxia and reflux bradycardia due to handling and traction of abdominal contents.
Management includes:
• Correction of hypoxia if present
• Lightening/deepening the level of anaesthesia as required
• Asking the surgeons to stop traction
• Treating with atropine (20 mcg/kg) if bradycardia is sustained and
compromising the blood pressure

How well did you know this?
1
Not at all
2
3
4
5
Perfectly
13
Q

if patient is hypoxic, what is your
management?

A

• Administer 100% oxygen.
• Call for help.
• Ask the surgeons to stop.
• Release pneumoperitoneum if possible.
• Check tube position—exclude accidental extubation or endobronchial
intubation
• Check the circuit for disconnection, kink, or obstruction.
• Hand ventilation with 100% oxygen might be needed if ventilation is
inadequate.
• Endotracheal suctioning of secretions obstructing the bronchi, trachea,
and ET tube which may cause hypoxia.

How well did you know this?
1
Not at all
2
3
4
5
Perfectly
14
Q

What is your plan for pain control child for fundoplication?

A

Multimodal analgesia tailored to the needs of the patient and procedure.
intraoperative
• IV paracetamol (15 mg/kg), diclofenac (1 mg/kg), and morphine
(0.1–0.3 mg/kg). Remifentanil infusion is useful.
• Local infiltration with bupivacaine (maximum 2mg/kg) will reduce the
morphine requirement. If it is an open procedure, thoracic epidural might
be useful in this patient, especially because of his respiratory comorbidity.
Postoperative
• Paracetamol 20 mg/kg 6 hourly and ibuprofen 5–10 mg/kg 8 hourly
• Morphine oral 0.3–0.5 mg/kg 4 hourly. Morphine NCA (nurse-controlled
analgesia) in open procedures.
There is marked difference in analgesic requirements between open and
laparoscopic Nissen’s fundoplication. With the open procedure, the need
for an intensive care unit bed on account of respiratory complications is
significant, but is less so with epidural infusion compared to morphine
infusion.

How well did you know this?
1
Not at all
2
3
4
5
Perfectly
15
Q

the procedure fundoplication is now complete and was successful laparoscopically. Would you extubate this patient?

A

○ This decision depends on the condition of the patient.
○ If the child had pre-existing chronic lung disease and had poor gas exchange during the operation, he would benefit from postoperative ventilation in ITU.
○ If there were no significant issues and if the surgery was uneventful, he can be
extubated and warded.
Reasons for mechanical ventilation postoperatively:
• Need for airway control
• Abnormal lung function
• Assurance of stability during the immediate postoperative period
• Due to neurological concerns or residual anaesthesia
○ Mechanical ventilation is continued until there is adequate haemostasis, the
heart rate and rhythm are stable, cardiac output is adequate with minimal
inotropic support, oxygen saturation is adequate, lung function is close to
normal, and the patient is awake enough to have adequate respiratory drive
and airway protective reflexes.
○In order to facilitate successful extubation, the patient must have the following: a patent airway, return of muscle strength, ability to cough and protect the airway, spontaneous respiratory drive, adequate blood oxygenation, and cardiovascular stability with minimal support.

How well did you know this?
1
Not at all
2
3
4
5
Perfectly
16
Q

Paediatric formulae

A

General
• Estimated weight (kg) = 2 × (Age + 4)
Respiratory
• Endotracheal tube inner diameter (mm) = (> 1 year) = Age/4 + 4
• Oral Endotracheal tube length (cm): age/2 + 12
• Nasal Endotracheal tube length (cm): age/2 + 15
• LMA size
Size 1 for < 5 kg; size 1.5 for 5–10 kg; size 2 for 10–20 kg;
size 2.5 for 20–30 kg; size 3 for 30–50 kg
circulation
• Systolic BP = (Age × 2) + 80
• Adrenaline: 10 mcg/kg (0.1 ml/kg of 1:10,000 solution)
• Atropine: 20 mcg/kg
• Blood volume: 75 mL/kg
• Defibrillation: 4 J/kg
Fluids
• Crystalloid: 20 ml/kg for resuscitation (4:2:1 for maintenance)
• RBC units: 10 ml/kg
• Platelets: 10 ml/kg
• FFP: 15 ml/kg
• Cryoprecipitate: 5 ml/kg
• Glucose: 2 mls/kg of 10% dextrose
Drugs
• Propofol: 4 mg/kg
• Thiopentone: 3–6 mg/kg
• Suxamethonium: 2 mg/kg
• Rocuronium: 0.5–1 mg/kg
• Atracurium: 0.5–1 mg/kg

How well did you know this?
1
Not at all
2
3
4
5
Perfectly
17
Q

You are asked to see a 67-year-old patient 8 hours after having a cystectomy under general anaesthetic and an epidural block. The nurses in the ward are concerned that she is unable to move her legs since admission postoperatively.
What are the causes of nonreceding motor block after epidural anaesthesia?

A

Factors related to neuraxial block
• Use of large volume of high concentration local anaesthetic
• Inadvertent subarachnoid placement
• Migration of the catheter into the subdural/subarachnoid space
• Direct nerve trauma
• Epidural haematoma
• Epidural abscess
Factors unrelated to neuraxial block
• Pregnancy, surgical, etc.
• Disc herniation
• Tumours
• Transverse myelitis
• Vascular and neurological disease
• Meningitis

How well did you know this?
1
Not at all
2
3
4
5
Perfectly
18
Q

How can you prevent epidural abscess?

A

• Basic precautions—surgical scrubbing and donning of gloves and
mask. operating department practitioner also wears a mask.
• Skin disinfectant—chlorhexidine (0.5%) in ethanol (70%) being
fully bactericidal in 15 seconds.
• Catheter dressing—opsite spray, semipermeable clear dressing.
• Infusion systems—large volume reservoirs better than repeated
changing of syringes; avoiding disconnection.
• Epidural filters.
• Identifying high-risk patients.

How well did you know this?
1
Not at all
2
3
4
5
Perfectly
19
Q

How can you prevent epidural abscess?

A

• Basic precautions—surgical scrubbing and donning of gloves and
mask. operating department practitioner also wears a mask.
• Skin disinfectant—chlorhexidine (0.5%) in ethanol (70%) being
fully bactericidal in 15 seconds.
• Catheter dressing—opsite spray, semipermeable clear dressing.
• Infusion systems—large volume reservoirs better than repeated
changing of syringes; avoiding disconnection.
• Epidural filters.
• Identifying high-risk patients.

How well did you know this?
1
Not at all
2
3
4
5
Perfectly
20
Q

What is the incidence of epidural abscess?

A

• Rare complication; different incidence in different studies
• 0.2–1.2/10 000 hospital admissions/year (not necessarily intervention related)
• 1:100 000–1:500 000 in one study
• 1:45 000 of all neuraxial blocks according to NAP 3
Currently 2,5-5:10000

How well did you know this?
1
Not at all
2
3
4
5
Perfectly
21
Q

What are the risk factors for the
development of epidural abscess?

A

• Compromised immunity—diabetes, HIV, intake of alcohol,
steroids, and immunosuppressants
• Disruption of spinal column—trauma, intervention, and surgery
• Source of infection—respiratory, urinary, etc., prolonged duration
of catheterisation

How well did you know this?
1
Not at all
2
3
4
5
Perfectly
22
Q

What are the signs and symptoms?

A

• Back pain 90%
• Feeling unwell and fever
• Neurological deficits
• Signs of meningism
• Localised pain and temperature

How well did you know this?
1
Not at all
2
3
4
5
Perfectly
23
Q

What are the most common causative organisms for epidural abscess ?

A

• Gram +ve cocci—Staphylococcus aureus and epidermidis, Streptococcus pneumonia
• Gram –ve rods—pyogenes
• Aspergillus and mycobacterium

How well did you know this?
1
Not at all
2
3
4
5
Perfectly
24
Q

How would you manage epidural abscess?

A

○ Diagnosis by clinical suspicion
• Blood tests and cultures—inflammatory markers and antibiotic sensitivity
• MRI—90% sensitivity
○ Management
• ABC approach
• Early surgical decompression
• Prolonged antibiotics (6–12 weeks)
• Conservative management only in cases without neurological complications

How well did you know this?
1
Not at all
2
3
4
5
Perfectly
25
Describe the epidural filter.
• It is disc-shaped with hydrophilic supported membrane. • Filter pore size is usually 0.22 microns. • It filters viruses, bacteria, and foreign bodies
26
What others filters do you know that you use every day at work?
Heat and Moisture exchanger/Filter (HMeF) • Hygroscopic membrane pleated to decrease the dead space • Mode of action—mechanical filters or electrostatic filters • 0.2 microns pore size [relative size of organisms—HIV (0.14 μm), HCV (0.06 μm), and M. tuberculosis (0.4 μm)] • 60%–70% relative humidity and adds up to 100 mls dead space • Can increase positive end expiratory pressure Filter needles • Prevents particulate and organism contamination • Size: 0.2 microns Fluid filter • 15 microns to prevent particulate contamination Blood filter • I generation: 170–250 microns; for whole blood • II generation: 20–50 microns; 70%–80% of leucocytes depleted • III generation: electrostatic filters (100% leucodepletion) Filters used in renal haemofiltration
27
A 36-year-old man is scheduled for elective nasal polypectomy. The nurse in the preoperative assessment unit tells you that he has got a murmur loudest at the sternal edge. He had been informed of the murmur many years ago, when he fainted as a teenager on a hot summer day. But he had remained asymptomatic and never been investigated. How would you proceed?
It is wise to attend preassessment to see the patient. • History—about the fainting incident, family history, and current medical history focusing on cardiac symptoms of exertional dyspnoea, fatigue, angina, syncope • Examination—thorough systemic examination with particular emphasis to the cardiovascular system • Investigations—to assess the cause and pathology of the murmur
28
What investigations would you do pathological murmur?
The various investigations that might be necessary are 12 lead ECG, ECHo, cardiac catheterisation, and radionuclide imaging to study associated coronary artery disease. MRI is increasingly used nowadays
29
comment on the ecG shown in Figure 7.2.
• Voltage criteria for left ventricular hypertrophy (LVH). • Deep narrow Q waves < 40 ms wide in the lateral leads I, aVL, and V4–6 These two features are suggestive of LVH with an old lateral infarct. • In an asymptomatic young patient, this ECG raises suspicion of an alternate pathology and not ‘prior lateral infarction’. ○ An ECG that meets LVH criteria in a young person with suspected syncope, think “Hypertrophic Cardiomyopathy”!
30
What is the differential diagnosis murmur+ecg ?
• Aortic valve stenosis • Mitral valve insufficiency • Hypertrophic Cardiomyopathy (HCM) • Glycogen storage diseases—Pompe’s disease • Lysosomal storage disease—Fabry’s diseas
31
What are the ecHo findings of HcM?
○ Asymmetric septal hypertrophy and nondilated left ventricular cavity. Echo confirms the size of the heart, the pattern of ventricular hypertrophy, contractile function of heart, and severity of outflow tract obstruction. ○ Two-dimensional (2-D) echocardiography is diagnostic for hypertrophic cardiomyopathy. ○ The common findings are abnormal systolic anterior leaflet motion (SAM) of the mitral valve, LV hypertrophy, left atrial enlargement, small ventricular chamber size, septal hypertrophy, mitral valve prolapse, and mitral regurgitation. ○ A narrowing of the LV outflow tract occurs in many patients with HCM, contributing to the creation of a pressure gradient. ○ Cardiac magnetic resonance imaging (MRI) is very useful in the diagnosis and assessment of hypertrophic cardiomyopathy, particularly apical hypertrophy
32
What is HcM?
○ HCM is an intrinsic myocardial disorder characterised by unexplained LVH that is inappropriate and often asymmetrical and occurs in the absence of an obvious hypertrophic stimulus such as pressure overload or storage/infiltrative disease. ○ It is classified as the most common purely genetic cardiovascular disease causing sudden death in young people with a prevalence of 1:500 and affecting twice as many men as women
33
What is primary and secondary cardiomyopathy?
○ Primary cardiomyopathy (intrinsic) is due to weakness in the myocardium due to intrinsic cause. • Genetic: HCM, arrythmogenic right ventricular cardiomyopathy (ARVC) • Mixed: dilated and restrictive cardiomyopathy • Acquired: peripartum cardiomyopathy ○ Secondary cardiomyopathy (extrinsic) is where the primary pathology is outside the myocardium. • Ischemia: coronary artery disease • Metabolic: amyloidosis, haemochromatosis • Endocrine: diabetic, acromegaly • Toxicity: alcohol, chemotherapy • Inflammatory: viral myocarditis • Neuromuscular: muscular dystrophy
34
What is the inheritance of HcM?
○ It is a genetic disorder that is typically inherited in an autosomal dominant fashion with variable penetrance and variable expressivity. ○ It is attributed to mutations of genes that encode for sarcomere proteins such as myosin heavy chain, actin, and tropomyosin
35
What is the clinical presentation of HCM?
• Can be asymptomatic in many patients and diagnosed during a routine examination or investigation. • Dizziness, fainting, chest pain, and shortness of breath after exercise, blackouts, fatigue, and palpitations are present when symptomatic. • Signs include hypotension, low-volume pulse, left ventricular heave, ejection systolic murmur, and a mitral regurgitation murmur. • Dysrhythmias and heart failure can present in some patients. • Sudden collapse and death. The major risk factors for sudden cardiac death are: • Family history of sudden death • Extreme hypertrophy of the left ventricular wall (> 30 mm) • Unexplained syncope • Nonsustained ventricular tachycardia
36
explain the pathophysiology of HCM
The pathophysiology involves these interrelated processes. • Ventricular hypertrophy with poor ventricular compliance and diastolic dysfunction characterised by impaired left ventricular filling with subsequent raised LV filling pressures. • Hypertrophy of septum with left ventricular outflow tract (LVOT) obstruction in 20% of cases. • Mitral regurgitation due to anterior motion of the mitral valve in systole. • Familial hypertrophy occurs due to defects in sarcomeric proteins. This leads to myofibril disarray and fibrosis. This can be pro-arrythmogenic and leads to ventricular arrhythmias. • Myocardial ischaemia.
37
What is the mechanism leading to ischaemia in patientswith HCM?
Decreased supply • Abnormally small partially obliterated intramural coronary arteries as a result of hypertrophy. • Inadequate number of capillaries for the degree of LV mass. • Diastolic dysfunction leads to an increase in end-diastolic pressure and decrease in the coronary perfusion pressure. • Any decrease in systemic vascular resistance can lead to a further reduction in coronary blood flow. Increased demand • In addition, the hypertrophied muscle, with a higher oxygen demand, makes the ventricle prone to ischaemia. ○ In summary, myocardial ischaemia is due to septal/ventricular wall hypertrophy, elevated diastolic pressures, and increased o2 demand.
38
Why do they get outflow obstruction in HCM?
HCM can be obstructive or nonobstructive. ○ obstructive HCM is due to midsystolic obstruction of flow through the LVoT. The two main reasons for this are: • Prominent hypertrophy of the interventricular septum causing a dynamic LVoT in the subaortic region. • The velocity of blood in the outflow tract draws the anterior mitral valve leaflet towards the interventricular septum (Venturi effect), thereby resulting in complete obstruction of the outflow tract.
39
What are the treatment options?
The main goals of treatment include: • Decreasing ventricular contractility • Increasing ventricular volume • Increasing ventricular compliance and LVOT dimensions • Vasoconstriction • Prevention of arrhythmias General • Screening echocardiography/genetic counseling of first-degree relatives Medical therapy • β blockers • Calcium channel blockers • β disopyramide • Diuretics • Amiodarone nonresponders to medical therapy • Surgery to relieve obstruction—myotomy/myectomy with mitral valve replacement • Internal cardio-defibrillator (ICD)—in patients with high risk of sudden death • Dual chamber pacemaker—may favorably alter diastolic function and can also cause LVH regression • Septal ablation—controlled myocardial infarction of the basal ventricular septum • Heart transplant
40
What are the main anaesthetic considerations?
Preoperative period • Good preoperative workup and adequate preoptimisation with drug therapy • Premedication to reduce sympathetic activity • Adequate hydration to maintain preload intraoperative period • Induction ° Invasive arterial monitoring prior to induction. ° Choice of anaesthetic agents—minimise the decrease in SVR, prevent tachycardia or sympathetic surges. ° Regional anaesthesia is relatively contraindicated as it can cause a decrease in systemic vascular resistance and potentially lead to outflow obstruction. But it has been successfully used in selective patients. • Maintenance ° Ventilation through frequent and small tidal volumes—minimise reduction in venous return. ° Appropriate monitoring—transoesophageal echocardiography to monitor the adequacy of left ventricular filling and development of LVoT obstruction. ° The application of external defibrillator pads is recommended before induction of anaesthesia to effectively treat intraoperative arrhythmias. ° Adequate analgesia and anaesthesia to prevent sympathetic activity. ° Hypotension should be treated with judicious volume resuscitation and α agonists such as phenylephrine. The use of agents with inotropic or chronotropic actions can increase myocardial oxygen demand and should be avoided. ° Hypertension should be treated with β blockade rather than vasodilator agents such as GTN Postoperative period • Avoid sympathetic stimulation by providing good pain control and avoidance of hypothermia. • In the case of cardiac arrest, the use of inotropic agents is contraindicated if the arrest is thought to be due to LVoT obstruction, as this will only increase the obstruction. α agonists, IV fluids, and rapid correction of arrhythmias are more appropriate measures. Key points ○ Preload: Normal/high normal ○ Contractility: slight negative inotropy is beneficial ○ Heart rate: around 60–80/min; avoid tachycardia ○ Afterload: normal/high normal Avoid ○ Increased sympathetic activity and contractility, tachycardia, and reduced afterload. ○ Drugs – digoxin and nitrates as they decrease preload; β1 agonists as they increase inotropy and chronotropy. ○ Arrhythmias, hypovolemia, hypothermia.
41
Inteprete the Ecg
• High precordial voltages. • Deep T wave inversions in the precordial and lateral leads. • There is also evidence of left atrial enlargement (P mitrale). ○ ECG in HoCM does not have any distinct pattern. ○ However, the most common abnormality includes deep S waves in V2 and V3, ST depression, T wave inversion and pathological Q waves, left bundle branch block and left axis deviation. • Left ventricular hypertrophy results in increased precordial voltages and nonspecific ST segment and T-wave abnormalities. • Asymmetrical septal hypertrophy produces deep, narrow (‘dagger-like’) Q waves in the lateral (V5–6, I, aVL) and inferior (II, III, aVF) leads. These may mimic prior myocardial infarction, although the Q-wave morphology is different: Infarction Q waves are typically > 40 ms duration, while septal Q waves in HoCM are < 40 ms. Lateral Q waves are more common than inferior Q waves in HCM. • Apical hypertrophy leads to giant T wave inversion in the precordial leads. • Left ventricular diastolic dysfunction may lead to compensatory left atrial hypertrophy, with signs of left atrial enlargement (P mitrale) on the ECG. • Atrial fibrillation and supraventricular tachycardias are common. Ventricular dysrhythmias (e.g. VT) also occur and may be a cause of sudden death
42
A 26-year-old male is brought in by ambulance to A&E with a history of a fall from the eighth floor. The neck is immobilised with collar and sandbags.
Most cervical spine fractures happen at C2 (one third of the cases) and C6/C7 (half the cases). Most fatal injuries occur at C1 or C2.
43
How would the patients with nonfatal cervical injury present?
symptoms • Limited range of movement associated with pain • Weakness, numbness, and paraesthesia along affected nerve roots signs • Loss of diaphragm function in C1/2 injuries Spinal shock ° Flaccidity ° Areflexia ° Loss of sphincter tone ° Priapism Neurogenic shock ° Hypotension ° Paradoxical bradycardia ° Warm and flushed skin Autonomic dysfunction ° Ileus ° Urinary retention
44
How would you manage an acute c3/4 spinal cord injury?
• ATLS approach and ABCDE protocol. • Stabilise and immobilise the spine. • Airway and breathing: Indications for intubation are acute respiratory failure, decreased GCS, increased pCo2, and decreased tidal volumes. In this patient with C3/4 injury, intubation and ventilation are often required. • Circulation: Treat any associated haemorrhagic shock or spinal shock with careful fluid replacement. • Steroids: High dose of methylprednisolone (30 mg/kg bolus over 15 min followed by an infusion at 5.4 mg/kg/hr for 23 hours) when given within 8 hours of injury decreases inflammation by suppressing the migration of polymorphonuclear leucocytes and reversing increased capillary permeability. The benefit of steroids remains an institutional preference. • Immediate referral to a neurosurgical centre for further management.
45
This patient suffered a complete C3/4 cord transection and is listed for debridement of ankle pressure sore 8 months later. He suffers from significant reflux. What are your main anaesthetic concerns?
• Risk of aspiration • Risk of hyperkalaemia with suxamethonium • Autonomic hyperreflexia • Choice of anaesthetic: GA or spinal? Any sensation on wound site? • Difficult airway secondary to tracheostomy and spine fixation • Latex sensitivity secondary to prolonged use of gloves during urinary catheterisation in a neurogenic bladder
46
What is autonomic hyperreflexia?
○ Autonomic hyperreflexia develops in individuals with a spinal cord injury above the T6 vertebral level. ○ It is a medical emergency with complications resulting from sustained severe peripheral hypertension. ○ A strong stimulus caused by bladder distension, urinary tract infection, bowel impaction, and various surgical procedures triggers this condition. ○ A stimulus below the level of injury causes a peripheral sympathetic response through the spinal nerves resulting in vasoconstriction below the level of injury. ○ The central nervous system, being not able to detect the stimuli below the cord due to lack of continuity, detects only sympathetic response and then sends inhibitory response down the spinal cord. ○ This reaches only until the level of injury and does not cause a desired response in the sympathetic fibres below the injury, leaving the hypertension unchecked. ○ Above the level of injury: Predominant unopposed parasympathetic response leading to flushing and sweating, pupillary constriction and nasal congestion, and bradycardia. ○ Below the level of injury: Sympathetic overactivity giving a pale, cool skin.
47
Why T6? Autonomic dysreflexia
○ The level depicts the autonomic supply to the biggest reservoir of blood, the splanchnic circulation. ○ The greater splanchnic nerve arises at T5–9, and any lesions above T6 allow the strong uninhibited sympathetic tone to constrict the splanchnic bed, causing systemic hypertension. ○ Lesions below T6 results in a good parasympathetic inhibitory control and prevents hypertension.
48
What is the physiological explanation for this autonomic hyperreflexia response?
○ Not fully known. one theory is that the peripheral alpha adrenergic receptors associated with the blood vessels become hyper-responsive below the level of spinal cord injury due to the low resting catecholamine levels. ○ These ‘orphaned’ receptors have a decreased threshold to react to adrenergic stimuli with an increased responsiveness. ○ It has also been postulated that the loss of descending inhibition is responsible for this mechanism
49
How would you tailor your anaesthetic for this patient and minimise risk of hyperreflexia?
• Seek senior help • Use of general or regional anaesthesia +/– sedation Regional anaesthesia • Difficult positioning • Prepare vasopressors General anaesthesia • Prepare vasopressors and atropine (excessive hypotension on induction) • May need RSI because of reflux—avoid suxamethonium (increase in K+!) • Possible difficult intubation due to positioning • Adequate anaesthesia and remifentanil to reduce stimulus others • Careful temperature control due to altered temperature regulation • Arterial line in severe cases • Ensure bladder is not distended
50
What drugs can be given if dysreflexia happens with severe hypertension?
• Short-acting antihypertensives, such as nifedipine or nitrates • Remifentanil or other short-acting opioids • Deepening of anaesthesia
51
Describe the anatomy of the pleura.
○ Pleurae refer to the serous membranes covering the lung, mediastinum, diaphragm, and the inside of the chest wall. ○ Two layers, visceral and parietal membranes, meet at the lung hilum. • Visceral: attached closely and adheres to the whole surface of the lung, enveloping the interlobar fissures. • Parietal: the outer layer, which is attached to the chest wall and the diaphragm and named as mediastinal, diaphragmatic, costal and cervical pleura, as per the association with the adjacent structures. ° The potential space between the two layers is called pleural space and is filled with a small amount of fluid amounting to around 0.2 mL/kg (5–10 mL). ° This is determined by the net result of opposing Starling’s hydrostatic and oncotic forces and lymphatic drainage. °Pleural fluid as little as 1 mL serves as a lubricant and decreases friction between the pleurae during respiration.
52
What are the constituents of pleural fluid?
• Clear ultrafiltrate of plasma • Quantity: 0.2 mL/kg (8.4+/– 4.3 mL) • Cellular contents: 75% macrophages, 25% lymphocytes • Biochemistry: Compared to plasma, the pleural fluid is alkaline (pH @ 7.6) and has higher albumin content but lower sodium, chloride, and LDH contents
53
What is the blood supply of pleura?
• Visceral pleura is supplied by the bronchial arteries and drains into the pulmonary veins. • Parietal pleura gets its supply from systemic capillaries including intercostal, pericardiophrenic, musculophrenic, and internal mammary vessels. ○ Venous drainage is via the intercostal veins and azygos veins, finally draining into the SVC and IVC.
54
How is pleura innervated?
○ The visceral pleura do not have pain fibres and is supplied by the pulmonary branch of vagus nerve and the sympathetic trunk. ○ The parietal pleura receives an extensive innervation from the somatic intercostal and phrenic nerves.
55
Explain the starling’s forces and describe the pathogenesis of pleural effusion.
○ The movement of pleural fluid between the pleural capillaries and the pleural space is governed by Starling’s law of transcapillary exchange. Net filtration = Kf [(Pc − Pi) − σ(πc − πi)] Kf: filtration coefficient and is dependent on the area of the capillary walls and the permeability to water. σ: reflection coefficient and is the ability of the membrane to restrict passage of proteins. Pc and Pi: Hydrostatic pressure in capillary and interstitium respectively. πc and πi: osmotic pressure in capillary and interstitium respectively
56
Pathogenesis of pleural effusion
increased formation • Increased interstitial fluid in the lung: LVF, PE, ARDS • Increased pressure in capillaries: LVF/RVF, SVC syndrome, pericardial effusion • Increased interstitial pressure: para pneumonic effusion • Decreased pleural pressure: lung atelectasis • Increased fluid in peritoneal cavity: ascites, peritoneal dialysis Decreased reabsorption • Obstruction of lymphatics: pleural malignancy • Increased systemic vascular pressures: SVC syndrome and RVF ○ Light’s criteria differentiates an exudate from transudate. The pleural fluid is an exudate if one or more of the following criteria are met: • Pleural fluid: serum protein > 0.5 • Pleural fluid: serum LDH > 0.6 • Pleural fluid LDH more than two-thirds the upper limits of normal serum LDH
57
What drugs are known to cause pleural effusions?
• Amiodarone • Phenytoin • Methotrexate • Carbamazepine • Propylthiouracil • Penicillamine • Cyclophosphamide • Bromocriptine
58
What are the effects of pneumothorax on pleural pressure?
Basic concepts 1. At FRC, due to the tendency of the lung to collapse and the chest wall to expand, the pleural pressure is maintained negative. This negative pressure holds the alveoli open. 2. Also due to gravity, the pleural pressure at the base of the lung is higher than that at the apex (more negative at the apex). ○ If chest wall is pierced (open pneumothorax) or the visceral pleura is breached (closed pneumothorax), air leaks into the pleural cavity causing a pneumothorax until the pressure gradient no longer exists. Because the thoracic cavity is below its resting volume and lung above its resting volume, with a pneumothorax, the thoracic cavity enlarges and the lung becomes smaller and hence collapses. ○ The pleural pressure is same throughout the entire pleural space, as per point (2), with the upper lobe being more affected than the lower lobe. ○ In tension pneumothorax, air enters into the pleural cavity with inspiration but cannot leave due to a flap of tissue acting as a one-way valve. ○ The developed pressure collapses the affected lung and if high enough can cause a mediastinal shift.
59
What are the indications of intercostal drain in pneumothorax and pleural effusions?
Pneumothorax • In any ventilated patient • Tension pneumothorax after initial decompression • Persistent or recurrent pneumothorax Pleural effusion • Large and symptomatic effusion • Malignant pleural effusion, chylothorax • Traumatic haemo pneumothorax • Empyema • Postoperative, for example, thoracotomy, oesophagectomy, cardiac surgery
60
What is the role of ultrasound in chest drain insertion?
Pleural procedures and thoracic ultrasound: British Thoracic Society Pleural disease guideline 2010. Ultrasound-guided pleural aspiration is strongly recommended to increase success rates and reduce the risk of complications, particularly pneumothoraces and inadvertent organ puncture, and may not decrease the incidence of laceration of the intercostal vessels. The evidence concludes that site selection for all pleural aspiration should be ultrasound-guided, with more emphasis when aspirating small or loculated pleural effusions or when a clinically guided attempt has been unsuccessful.
61
Describe the anatomy relevant to the insertion of chest drain.
Site ○ Safe triangle is bounded by the pectoralis major anteriorly, latissimus dorsi laterally, and fifth intercostal space inferiorly. The base of the axilla forms the apex of the triangle. ○ This area is considered safe as it minimises risk to the underlying viscera, muscles, and internal mammary artery. ○ Also the diaphragm rises to the fifth rib on expiration, and thus chest drains should be placed above this leve ○ occasionally the second intercostal space in the mid-clavicular line is chosen especially for apical pneumothorax, but its routine use is not recommended because of damage to internal mammary vessels. ○ If the drain is to be inserted into a loculated pleural collection, the site of puncture will be determined by imaging. Intercostal space ○ The neurovascular bundle is situated between the internal and innermost intercostal muscles at the lower border of the rib. So to avoid the vessels, the needle is inserted in the space just above the rib. Direction of the drain ○ Ideally the tip of the tube should be aimed apically to drain air and basally for fluid, but successful drainage can still be achieved when the drain is not placed in an ideal position. Chest drainage system ○ Chest drain is connected to a drainage system containing a valve mechanism to prevent fluid or air from entering the pleural cavity. ○ This is usually achieved by a Heimlich valve or underwater seal system. ○ In patients breathing spontaneously, the air/fluid is expelled during expiration whilst in IPPV the air/fluid exits in inspiration. one-bottle system ○ Used in drainage of simple pneumothoraces. ○ When patient inspires, water in the bottle is drawn up the tube to a height equal to the negative intrathoracic pressure. So the collection bottle is placed at least 100 cm below the patient’s chest to prevent water from being sucked back up. ○ The length of the tube under water should be limited to 2–3 cm to reduce any resistance to air drainage. See Figure 7.4. two-bottle system ○ In chest drains inserted for pleural effusion, the draining fluid might increase the depth in the bottle and increase the resistance to air flow. ○ The first stage acts as a fluid drainage bottle, and the second stage then functions as an underwater seal that is not affected by the amount of fluid collecting in the first chamber. See Figure 7.5 three-bottle system ○ If suction is required in case of persistent pneumothorax, this is provided by the use of underwater seal at the level of 10–20 cm H2o or the application of a low-pressure suction adapter. ○ The depth of the fluid in the third bottle determines the amount of negative pressure that can be transmitted to the chest. ○ To obtain a suction of 20 cm H2o, the tip of the tube should be 20 cm below the surface of fluid. ○ There is very little evidence to suggest the use or nonuse of suction in improving the resolution and altering the outcome. See Figure 7.6
62
A 65-year-old man is listed on the emergency list for incision and drainage of perianal abscess. He gives history of a heart transplant 3 years ago. Where does the heart get its nerve supply?
Autonomic innervation • Sympathetic—T1–4 segment of the spinal cord—postganglionic cardio accelerator fibres form a cardiac plexus • Parasympathetic—branches of the Vagus
63
What is the effect of sympathetic stimulation on the heart?
• Positive chronotropy – increased heart rate • Positive inotropy – increased contractility • Positive dromotropy – increased electrical conductivity across atrioventricular node
64
What are the indications a heart transplant is in order?
The indication is end stage heart disease not remediable by conservative measures. The primary disease could be any of the following: • End stage cardiac failure • Cardiomyopathy • Congenital defects • Valvular heart disease According to the UK guidelines for referral and assessment of adults for heart transplantation, the conventional criteria for heart transplantation are as follows • Impaired LV systolic function • NYHA III/IV symptoms • Receiving optimal medical treatment (beta blockers, ACE inhibitors/ angiotensin receptor blocker and aldosterone antagonists) • Resynchronisation and/or defibrillator implanted (if indicated) • Evidence of a poor prognosis, defined as: ° Vo2 max <12 ml/kg/min if on β-blockade, <14 ml/kg/min if not on β-blockade, ensuring respiratory quotient ≥1.05 ° Elevated B-type natriuretic peptide levels despite full medical treatment ° A poor prognosis indicated by the Heart Failure Survival Score (HFSS) or Seattle Heart Failure Model (SHFM) The contraindications are listed below • Significant pulmonary hypertension (pulmonary arterial pressure > 60 mmHg). • Severe, irreversible end organ damage—lung (FEV1< 50%), liver (bilirubin > 43 μmol/L), kidney (eGFR < 40 mL/min/1.73m2). • Diabetes mellitus with end organ damage. • Active smoking, alcohol and other substance misuse
65
Explain the physiology of a denervated (transplanted) heart.
• Absent sympathetic and parasympathetic innervation ° Loss of vagal tone—resting heart rate at 90–100/min. ° No response to direct autonomic influence or drugs that act via autononomic nervous system (atropine). ° Absent rate response to baroreceptors, valsalva, carotid sinus stimulation, hypovolaemia, light anaesthesia. ° Stimulated only through directly acting agents such as catecholamines. ° Lack of catecholamine stores in myocardial neurons and loss of response to laryngoscopy/intubation. • Absent sensory innervation ° Increased incidence of silent myocardial ischaemia; hence the need for routine regular angiogram. • Dependent on intrinsic regulation of cardiac output ° Stroke volume is preload dependent; hence the need to maintain ventricular filling pressures. Sympathetic neuronal reinnervation commences within 12 months after the transplant but the parasympathetic innervation is less extensive
66
How does a denervated heart respond to direct and indirect sympathomimetics?
Direct sympathomimetics (adrenaline, noradrenaline, isoprenaline, dobutamine) • Inotropic effects of adrenaline and noradrenaline are augmented; dobutamine and isoprenaline have normal response. indirect sympathomimetics (ephedrine) • There is no catecholamine store in the myocardial neurones, so there is a decreased response
67
What effect does atropine have on transplanted heart?
○ Atropine and glycopyrollate (and digoxin) have no effect on the transplanted heart due to absence of vagal connection. ○ Its use is still warranted as a neuromuscular reversal agent along with neostigmine to counteract the peripheral muscarinic effects such as miosis, nausea, bronchospasm, increased bronchial secretions, sweating and salivation
68
What are the concerns when you are anaesthetising a patient with a heart transplant for a noncardiac surgery?
• Problems with physiology of denervation – as above. • Related to progressive primary disease. • Presence of defibrillator or pacemaker. • Complications of transplant procedure such as leaky valves and conduction defects. • Problems with rejection. • Problems due to immune suppressants— nephrotoxicity, hepatotoxicity, hypertension, electrolyte imbalance, enhanced cytochrome P450. • Infection - Cytomegalvirus, Pneumocystis carinii, fungal and protozoal opportunistic infections. ° Need for meticulous aseptic technique. ° Routine prophylactic antibiotics. ° Use of irradiated, leucocyte depleted, CMV negative blood products if indicated. • Difficult venous and arterial access— avoid right internal jugular venous annulation as this is the recommended route for endomyocardial biopsy. • Need for extensive preoperative investigations and intraoperative monitoring. ° Preoperative— ECG: beware of a double ‘P’ wave. Coronary angiogram might be indicated to rule out ischaemic heart disease. ° Intraoperative— 5 lead ECG to monitor ischaemia and arrhythmias, cardiac output monitoring to evaluate cardiac function, volume status and aid fluid resuscitation, and peripheral nerve stimulator to assess the neuromuscular function. ○ Both general and regional anaesthesia have been used successfully in these patients and in the absence of significant cardiorespiratory, hepatic or renal dysfunction, there is no absolute contraindication to any anaesthetic technique. Titration of anaesthetic agents to avoid drastic reduction in preload and afterload is necessary due to the changes to normal physiological responses.
69
What are the problems with rejection?
○ Acute rejection: This is a cellular or antibody mediated response characterised by arrhythmias, fluid retention, dyspnoea, and pyrexia and happens in the first 3 months after transplant. ° Surveillance is by endomyocardial biopsy and the treatment is by augmenting the maintenance dose of immunosuppressants, high dose steroids and occasionally plasmapheresis and total lymphoid tissue irradiation. ○ Chronic rejection: otherwise termed as allograft vasculopathy, it is immune- mediated and leads to an accelerated concentric intimal proliferation of the donor coronary vessels. ° It is a leading cause of late death in transplant recipient. ° Surveillance is by routine invasive angiogram and there is no specific treatment but the incidence is reduced by regular statin use.
70
What are the implications of the patient’s immunosuppressant therapy for perioperative care?
In addition, all the drugs increase the incidence of skin and lympho-proliferative malignancy and propensity to infections. The implications of immunosuppressant therapy are: • Need for continuation intraoperatively to maintain the plasma levels. • Steroid requires supplementation to account for stress response. • Preoperative blood tests to rule out haematological, renal, and electrolyte impairment • Strict asepsis and appropriate antibiotic prophylaxis as these patients are at risk of infections—bacterial, viral, fungal, and protozoal. • Careful positioning due to presence of steroid induced osteoporosis and skin fragility. • Drug interactions: ° Cyclosporin enhances and azathioprine reduces aminosteroid neuromuscular blocking action. ° Cytochrome P450 interactions of anaesthetic drugs ° Avoid nephrotoxic drugs such as non-steroidal anti-inflammatory drugs and aminoglycoside
71
What are the issues associated with anaesthetising a lung transplant patient for subsequent surgery?
The control of breathing is usually preserved and hence there is little or no change in the pattern of breathing. Also the response to ventilation to Co2 is normal. The goal is to maintain oxygenation with minimal airway pressures, optimal PEEP and Fio2. • Complete transection of nerve supply with absent or very little reinnervation— loss of cough reflex and neurally mediated changes in bronchomotor tone. • Decreased mucociliary clearance— in the presence of impaired cough and immunosuppression, there is increased risk of perioperative chest infection. Strict asepsis, prophylactic antibiotics, incentive spirometry and physiotherapy in the immediate postoperative period is necessary. • Interruption of lymphatic drainage increases the susceptibility of pulmonary oedema stressing the importance of judicious fluid administration. • Drug-induced muscle weakness (steroid myopathy) can affect the muscles of respiration; hence the need for careful titration and monitoring of neuromuscular blocking drugs. • In single lung transplants, knowledge of underlying lung disease is important. In restrictive diseases of the native lung, increased airway pressures might be required to ventilate them, which can cause barotrauma and volutrauma in the transplant lung. • Hypoxic pulmonary vasoconstriction (HPV) response is intact in native and grafted lung. Positive pressure ventilation improves oxygenation to the native lung and obliterates HPV. This sudden increase in blood flow to the native lung can result in haemodynamic instability and problems with gas exchange. Also in case of allograft rejection blood flow to the transplant lung is reduced.
72
When would you decrease the blood pressure to induce hypotension intraoperatively?
○ Induced hypotension is the deliberate lowering of blood pressure by more than 30% of its resting value. Its use is highly controversial and is associated with dramatic consequences due to organ ischaemia and dysfunction of all vital organs. Anaesthetic indications • Nil • Might be used in the preservation of blood in patients who are Jehovah’s Witnesses surgical indications • Types of surgery where the procedure might be hindered by bleeding, e.g. middle ear and neurosurgery
73
How would you decrease blood pressure during anaesthesia?
BP = Stroke volume (SV) × Heart rate (HR) × Systemic vascular resistance (SVR) Mechanisms that decrease any of the above contributing factors can decrease blood pressure. Non pharmacological • Head-up positioning • Use of intermittent positive pressure ventilation and preventing hypercarbia Pharmacological • Drugs with effect on heart rate ° Beta blockers • Drugs with effect on venous return ° Neuraxial blockade ° Venodilators • Drugs with effect on myocardial contractility ° Inhalational agents • Drugs with effect on SVR ° Vasodilators ° Inhalational and intravenous anaesthetic agents ° Neuraxial blockade
74
What drugs are commonly used for hypotensive anaesthesia?
𝛃 adrenoceptor blockers Decreases heart rate and also inhibits the renin angiotensin system • Esmolol—selective β1 antagonist • Labetolol—most commonly used α and β antagonist (1:7) resulting in decreased SVR without reflex tachycardia Vasodilators • Glyceryl trinitrate (GTN) ° Venodilator via cyclic GMP pathway resulting in decreased intracellular Ca2+ ° Decreases venous return and stroke volume • Sodium nitroprusside ° Similar action to GTN but causes both arterial and venous dilatation, giving rise to hypotension and reflex tachycardia • Hydralazine ° Similar action to GTN and also a weak α inhibitory effect ° Causes more arteriolar dilatation than venous and causes reflex tachycardia 𝛂 adrenoceptor blockers • Phentolamine ° Nonselective α antagonist with weak β agonist action Ganglion-blocking drugs • Trimetaphan ° Antagonists at acetyl choline nicotinic receptors at the autonomic ganglia ° Direct vasodilator effects on peripheral vessels
75
What are the problems with hypotensive anaesthesia?
• Need for invasive arterial monitoring • CNS ° Impaired cerebral perfusion, depending on associated comorbidities ° Need for cerebral function monitors in ‘at-risk’ patients • CVS ° Hypotension can be useful by decreasing oxygen consumption, but in patients with ischaemic heart disease, it is detrimental because the coronary perfusion is pressure-dependent. ° ECG monitoring is not helpful. • Renal ° Induced hypotension can impair renal perfusion especially in ‘at-risk’ patients
76
Alternative answer: Drugs to treat hypertension can also be classified as
centrally acting drugs • Methyl dopa • Clonidine • Dexmedetomidine Ganglion-blocking agents • Trimetaphan Adrenergic neuron blockade • Guanethidine Drugs affecting renin-angiotensin-aldosterone system • ACE inhibitors • Angiotensin II receptor blockers 𝛃 blockers • Atenolol and others Diuretics • Loop diuretics • Thiazides Vasodilators • GTN • Sodium nitroprusside • Potassium channel activators—nicorandil • Calcium channel blockers—verapamil, nifedipine, diltiazem
77
What level of mean arterial pressure (MAP) are you satisfied with intraoperatively in a patient who is normotensive?
○ Safe level of hypotension is no lower than about two-thirds of the resting blood pressure before inducing hypotension. ○ This number is obtained by various cerebral perfusion and EEG studies. ○ The cerebral blood flow decreases to 60% normal with two-thirds MAP, with clinical manifestations of yawning, and inability to concentrate and carry out simple commands. ○ With further decrease in MAP and cerebral blood flow, the slowing and flattening of EEG occurs with ischaemic irreversible brain damage ensuing. ○ Do not forget that the blood pressure decreases 2 mmHg for every 2.5 cm height above the point of measurement. So, mean arterial pressure in brain in a reclining or sitting patient under anaesthesia is about 12–16 mmHg lower than that measured at the upper arm.
78
Discuss sodium nitroprusside.
○ It is a vasodilator available as a reddish-brown powder that is reconstituted in 5% dextrose. ○ The reconstituted solution is covered in an aluminium foil as it turns dark brown or blue on exposure to sunlight due to the production of cyanide ions. ○ Dose: 0.5–6 μg/kg/min and titrated to effect ○ Onset: 3 minutes and the effects are short-lived ○ Mechanism of action: Vasodilatation happens due to the production of No, which activates the enzyme guanylate cyclase, leading to increased levels of intracellular cyclic GMP. This increases the uptake of Ca2+ into the endoplasmic reticulum, and hence the cytoplasmic calcium concentration falls, resulting in vasodilatation. Pharmacodynamics: CVS: Arteriolar and venous dilatation, decreased preload and reflex tachycardia RS: Inhibition of hypoxic pulmonary vasoconstriction and increase of shunt Cerebral: Cerebral vasodilatation and increased ICP others: • Tachyphylaxis • Toxicity due to thiocyanate (less toxic) and mainly cyanide ions, which bind to cytochrome oxidase and impair aerobic metabolism, causing a metabolic acidosis and histotoxic hypoxia. Treat cyanide toxicity with oxygen, chelating agents, sodium thiosulphate (provide additional sulphydryl groups to aid conversion of cyanide to thiocyanate) and nitrites (converts oxyhaemoglobin to methaemoglobin and cyanide ions bind more avidly to methaemoglobin than cytochrome oxidase)
79
What are the advantages of remifentanil in mastoidectomy?
Advantages of remifentanil in mastoidectomy Intraoperative • Controlled ventilation without neuromuscular blocking agents, thus permitting unimpeded facial nerve monitoring. • Remifentanil provides a titratable degree of hypotension while maintaining a stable heart rate and provides superior operating conditions. • Provides excellent analgesia and reduces the need for intraoperative morphine. Postoperative • Prevents airway irritation and coughing and provides smooth emergence. • Rapid clearance of remifentanil due to metabolism by nonspecific plasma esterases results in a uniform and predictable onset and duration of action despite changes in the duration of infusion. • Better recovery profiles – lesser pain, shivering, and PONV
80
What are the ecG features of high potassium?
Rate and rhythm • Bradycardia • Asystole • Ventricular tachycardia and fibrillation • Sine wave appearance Waves • Absent P waves • Wide QRS • Peaked T waves Intervals and segments • Slurring of ST segments
81
How would you treat this hyperkalaemia?
immediate measures to prevent cardiac arrest (especially if potassium > 6.5 mmol/L) • Calcium: 5–10 mmol intravenously; repeated if necessary. ECG changes are reversed within 1 to 3 min. • Insulin to push the potassium into intracellular compartment. • Nebulised salbutamol increases cellular uptake of potassium. • Sodium bicarbonate: 50 mls of 8.4% intravenously in the presence of acidosis (exchanges potassium for hydrogen ions across cell membranes). • Diuretics if renal function is adequate. • Calcium resonium: polystyrene sulphonate resins orally or rectally. It might take 6 hours to achieve full effect. Delayed measures depending on the cause of hyperkalaemia • Aimed at correcting the disease and preventing further increase in plasma potassium
82
When would you institute renal replacement therapy (RRt)?
The indications of RRT can be • Acute kidney injury with ° K > 6.5 mmol/L ° Metabolic acidosis (pH < 7.1) ° Deteriorating renal parameters (urea > 30 mmol/L) ° Signs of fluid overload with oliguria/anuria • Drug poisoning ° Water-soluble and non-protein-bound drugs (e.g. salicylates) • Severe sepsis ° To remove inflammatory mediators
83
What types of RRt are being used?
Depending on the mechanism of solute removal and the duration of treatment, RRT can be classified as: • Intermittent haemodialysis (IHD) • Continuous renal replacement therapy (CRRT) ° Continuous venovenous haemofiltration (CVVH) ° Continuous venovenous haemodialysis (CVVHD) ° Continuous venovenous haemodiafiltration (CVVHDF) ° Continuous arteriovenous haemofiltration (CAVHF) • Peritoneal dialysis • Sustained low-efficiency dialysis Haemofiltration (filtration) This method involves the use of a semipermeable membrane for ultrafiltration in an extracorporeal system. Blood is pumped through, and the hydrostatic pressure that is created on the blood-side of the filter drives plasma water across the membrane. Molecules that are small enough to pass through the membrane (< 50,000 Daltons) are dragged across the membrane with the water by the process of convection. The filtered fluid (ultrafiltrate) is discarded, and a replacement fluid is added in an adjustable fashion according to the desired fluid balance. Haemodialysis (diffusion) ○ Blood is pumped through an extracorporeal system that has a dialyser, where blood is separated from a crystalloid solution (dialysate) by a semipermeable membrane. ○ Solutes move across the membrane along their concentration gradient from one compartment to the other, obeying Fick’s laws of diffusion. In order to maintain concentration gradients and therefore enhance the efficiency of the system, the dialysate flows counter-current to the flow of blood. Haemodiafiltration ○ It is a combination of filtration and dialysis. ○ It has the benefits of both techniques but to a lesser extent than when the individual techniques are used on their own. Peritoneal dialysis ○ Same principle as haemodialysis, but peritoneum acts as the membrane. ○ 2 L of sterile dialysate is placed in the peritoneal cavity via a catheter. ○ The electrolyte movement is by osmosis, and the fluid is drained out at frequent intervals. sustained low-efficiency dialysis (sLeD) ○ It is a hybrid therapy that aims to combine the logistic and cost advantages of IHD with the cardiovascular stability of CRRT. ○ Treatments are intermittent but usually daily and with longer-session durations than conventional IHD. ○ Solute and fluid removal are slower than IHD but faster than CRRT.
84
How would you determine the type of RRt to use?
This depends on: • The size of particles to be removed from plasma ° Urea, creatinine, K+ < 500 Daltons Dialysis and Filtration ° Large drugs 500–5000 D Filtration ° Cytokines, complement 5000–50000 D Filtration ° Water 18 D Filtration • Patient’s cardiovascular status ° Continuous RRT is better than IHD. • Clinician experience • Availability of resources ° CRRT is labour intensive and expensive
85
What are the complications of RRt?
Anticoagulation related • Bleeding • Heparin-induced thrombocytopenia catheter related • Sepsis • Thrombosis • Arterio-venous fistulae • Arrhythmia • Pneumothorax Procedure related • Hypothermia • Anaemia • Hypovolaemia • Hypotension • Electrolyte abnormalities (hypophosphataemia, hypokalaemia) Drug related • Altered pharmacokinetics
86
Do you know of any trials comparing different methods of renal replacement therapy?
• The Randomised Evaluation of Normal versus Augmented Level (RENAL) of renal replacement therapy in ICU study randomised 1400 critically ill patients with acute kidney injury to intensive (35 ml/kg/hr) or nonintensive (20 ml/kg/hr) CRRT and no difference in mortality was seen in the two groups at 90 days. • The Acute Renal Failure Trial Network (ATN) study compared intensive or less-intensive dosing strategies for patients undergoing CRRT, IHD, and SLED. The recovery of renal function and the mortality at 60 days were the same in both arms of the trial. • HEMODIAFE study—multicentre RCT, randomised 184 patients to intermittent haemodialysis (IHD) and 175 patients to continuous veno-venous haemodiafiltration (CVVHDF) and concluded that CVVHDF and IHD may be used interchangeably for the critically ill patient in acute renal failure.
87
What is the role of RRt in sepsis?
○ The mediators involved in the inflammatory response such as tumour necrosis factor, interleukins (IL-1, IL-6, IL-8), platelet activating factor and complement are water-soluble middle-sized compounds. ○ These compounds can be eliminated through the highly porous synthetic membranes used for convective filtration in CVVH with a high flow rate.