Section 5 Flashcards

(84 cards)

1
Q

An 80-year-old gentleman presents for an elective repair of an 8 cm
infrarenal abdominal aortic aneurysm. You have been asked by surgeons to
review this patient in the preassessment clinic.
summarise the case.

A

This 80-year-old patient presents as a high-risk patient with multiple comorbidities for high-risk surgery. He is elderly with significant cardiac
history, poorly controlled hypertension, pre-existing moderate chronic kidney disease, and significant restrictive lung disease. The size of his aortic aneurysm and his poor physiological status puts him at increased risk of perioperative cardiac and surgical complications, bleeding, and long-term severe renal dysfunction.
I would like to take a full history, examination, and review and consider additional investigations and ensure full optimisation of his comorbidities before considering his options with both the patient and his surgeon

How well did you know this?
1
Not at all
2
3
4
5
Perfectly
2
Q

This 80-year-old patient presents as a high-risk patient with multiple
comorbidities for high-risk surgery.
Discuss assessment of risk.

A
  • Abdominal aortic aneurysms are incidental findings in two thirds of patients.
  • Surgery is recommended when they reach 55 mm. At this stage there is less than 1% risk of spontaneous rupture. By 60 mm there is more than 17% risk of spontaneous rupture. We can see that simply the size of this gentleman’s aneurysm places him at high risk from rupture without surgical interventionIn terms of proceeding with surgery, risk assessment should be done taking
    into consideration the likelihood of a perioperative cardiovascular event.
  • original cardiovascular risk scoring systems include Goldman’s Criteria,
    Detsky’s, and Lee’s Revised Cardiac Index. The American College of
    Cardiology (ACC)/American Heart Association (AHA) guidelines for
    Perioperative evaluation of Non-Cardiac Surgery (2003) have been developed subsequently.
How well did you know this?
1
Not at all
2
3
4
5
Perfectly
3
Q

Patient Risk (cardiac risk by
patient comorbidities)

A

• Minor
° Age > 70
° Abnormal ECG
° Nonsinus rhythm
° Uncontrolled hypertension
° Stroke
• Moderate
° MI > 6 months
° Mild angina
° Compensated heart failure
° Diabetes
• Major
° MI < 6 months
° Unstable angina
° Decompensated heart failure
° Severe valvular heart disease
° Symptomatic arrhythmias

How well did you know this?
1
Not at all
2
3
4
5
Perfectly
4
Q

surgical Risk (cardiac risk by
type of surgery)

A

• Minor (< 1%)
° Endoscopy/cataract surgery
° Plastics/breast surgery
• Intermediate (1%–5%)
° Thoracic/head and neck surgery
° orthopaedic/minor vascular surgery
• Major (> 5%)
° Aortic/major vascular surgery
° Emergency surgery
° Prolonged surgery
From a surgical risk basis, this is aneurysm surgery in the high-risk category
and independently, cardiac risk is more than 5% for undergoing surgery
alone irrespective of comorbidities.
In recent times it is apparent that more comprehensive scoring systems
are needed to categorise patient risk. A system known as EuroSCoRE is
increasingly being used.

How well did you know this?
1
Not at all
2
3
4
5
Perfectly
5
Q

could you go through his
investigations and positive
findings?

A

Bloods
His blood tests reveal that he has chronic kidney disease.
ecG
• PR interval is at the upper limit of normal (200 msec)
• Tall R waves in lateral leads V5 and V6 with mild ST segment depression
suggests left ventricular hypertrophy
• rSR pattern in V1 with T wave inversion in V1–V3, suggestive of right
bundle branch block
cXR
CXR reveals evidence of his previous surgery and signs within his
existing lung.
It demonstrates marked volume loss of the left hemithorax with shift of
the mediastinum and elevation of the hemidiaphragm. Also the pleura is
calcified.
Lung function test
Lung function tests reveal severe restrictive disease and a very low DLCo.
DLCo is a measurement of carbon monoxide take-up per unit time. It
measures alveolar/capillary function. DLCo < 80% is associated with
increased pulmonary complications, and a DLCo < 30% is associated with
increased morbidity.
A full history together with an echocardiogram and baseline ABGs would
help assess him further.

How well did you know this?
1
Not at all
2
3
4
5
Perfectly
6
Q

What methods are there for assessing his functional capacity?

A
  • Functional capacity assesses patient response to increased physical
    demand.
  • I would like to ask about his exercise tolerance. This can be done
    by using the Duke Activity Status Index, which quantifies numbers of METs (metabolic equivalents), a measure of basal oxygen consumption (i.e. at rest).
  • one MET equates to 3.5 ml o2/kg/min.
    7–10 METs suggests good function (e.g. carrying shopping upstairs, cycling, jogging).
    4–7 METs suggests moderate function (e.g. climbing two flight of stairs without stopping).
    1–4 METs suggests impaired function (e.g. basic ADLs, eating, dressing,
    walking on flat surface).
  • tests of functional capacity
    exercise ecG (Bruce Protocol): Looking for evidence of ischaemia while walking on a treadmill which goes through intervals of walking on a flat surface to graduated inclines.
  • 6-minute walk test: To record the furthest distance walked at own pace back and forth along a 30 m walkway in 6 minutes on a flat surface.
  • incremental shuttle walk test: Externally paced, incremental distance walked back and forth, final result measured in this is the number of shuttles, which can help predict Vo2 max.
  • Pharmacology-induced stress testing: Dobutamine Stress Echo, thallium scan; echocardiographic or nuclear medicine imaging changes based on drug injected to look for any regional wall motion abnormality or cold spots depending on the test. This may be useful if unable to walk due to arthritis or other conditions.
    cardiopulmonary exercise testing (cPet)
  • This is usually done on a bicycle with assessment of both ECG and analysis of gases and is valuable in considering when the aerobic metabolism crosses over to anaerobic metabolism in a patient and assessing maximal
    oxygen consumption at peak exercise. It provides many other parameters that can help uniquely assess cardio respiratory risk in combination.
How well did you know this?
1
Not at all
2
3
4
5
Perfectly
7
Q

How is eVAR performed?

A

Endovascular repair of abdominal aortic aneurysms involves a joint
procedure performed by a radiologist in conjunction with a vascular surgeon.
An aortic stent graft is placed via femoral arteries to extend both above and
below the edges of the aneurysm. one or both groins may be used. Local
anaesthetic is used for the entry site, but regional or general anaesthesia
may also be given, though less frequently. Arterial blood pressure monitoring
is ideal. It is not suitable if there is significant peripheral vascular disease or
atherosclerotic plaques.

How well did you know this?
1
Not at all
2
3
4
5
Perfectly
8
Q

What are the benefits of eVAR
versus open surgery?

A

Mortality of EVAR versus open repair is quoted as 0.9% versus 4.3%
according to AAAQIP report from 2009–2010.
Advantages
• Shorter, less invasive procedure
• Less associated bleeding
• Early ambulation
• Reduced hospital stay
Disadvantages
• Costly
• Technically difficult
• Reasonable incidence of poor seating of the graft and therefore leak
around the graft

How well did you know this?
1
Not at all
2
3
4
5
Perfectly
9
Q

How will you discuss risk with the patient?

A
  • I would explain risk to the patient in terms of the patient’s comorbidities
    and the surgery they are undergoing. - I will need a full history and possible additional investigations in order to provide a more comprehensive
    picture. It is important to use terms that the patient can understand
    such as percentages or use of ‘common’ or ‘rare’.
  • The Royal College of Anaesthetists has produced guidance and a patient information leaflet relating to aortic surgery that I could give the patient.
  • In this case there is the risk of his age and comorbidities, which may lead him to a higher risk of a heart attack and chest infection around the time of his operation, the higher risk of bleeding given the size and length of operation, and the possibility of long-term dialysis. This should be balanced against his high risk of spontaneous rupture given the size of the aneurysm.
  • It is important that all concerns are addressed before proceeding from both the anaesthetic and surgical side.
How well did you know this?
1
Not at all
2
3
4
5
Perfectly
10
Q

Despite his high risk, how would
you anaesthetise him? 80 YEAR OLD FOR AAA

A

I would give him a general anaesthetic. Ensure he has taken all his regular
medications except an ACE inhibitor preoperatively.
Preinduction
• Full noninvasive monitoring
• Awake mid-thoracic epidural after informed consent under aseptic technique
• Invasive arterial monitoring
induction
• Intubation with the use of high-dose opiate and propofol intravenous
induction with use of a muscle relaxant
• Central venous line for assessment of fluid status and provision of
vasopressors, blood, and multiple drugs if needed
• Cardiac output monitoring would also be helpful
• Maintaining his mean arterial pressure within 15% of his baseline where
possible will help reduce risk of hypoperfusion to organs
• Optimal positioning
• Fluid and body warmers and temperature monitoring
• Nasogastric tube to empty the stomach

How well did you know this?
1
Not at all
2
3
4
5
Perfectly
11
Q

During the operation he has a
massive bleed when the clamp is
released. How will you manage
this?

A

This will require good communication within the theatre team to avoid
adverse sequelae. The clamp should be reinstated and then both medical
and surgical aspects managed.
From a surgical perspective, it is important that there is no ongoing surgical
site bleeding and this should be addressed. The bleeding may have in part
been related to haemodynamic changes associated with the release of
the clamp. This can be minimised by giving a fluid bolus and maintaining
vascular tone with vasopressors when clamp is next released. It is also
important to ensure that the current bleed has been dealt with and blood
and other products transfused appropriately if needed and haemodynamic
parameters restored before a repeat attempt at releasing the clamp

How well did you know this?
1
Not at all
2
3
4
5
Perfectly
12
Q

Define massive transfusion,
products available, and transfusion
triggers for each product.

A

Massive transfusion occurs when there is more than 50% blood volume
transfused in 4 hours or 10 units in 24 hours. Products available are red
cells, fresh frozen plasma, platelets, and cryoprecipitate. Adjuncts include
fibrinolytics, such as tranexamic acid, aprotinin, recombinant factor 7, and
prothrombin concentrate.
The main principles are to recognise it early, maintain tissue perfusion and
oxygenation by considering oxygen delivery, arrest the cause of bleeding
(surgical versus coagulopathy), and use blood products appropriately and
in a timely fashion. Until bleeding is controlled, it is recommended to give
products in a ratio of 1:1:1 (red cells:FFP:platelets).
transfusion triggers during ongoing bleeding
Hb < 10
APTT > 1.5 times normal
Platelets < 50 or < 75 with ongoing haemorrhage
Fibrinogen < 1.5
other goals to achieve
Temperature > 36 degrees
Ionised Ca2+ > 1.1
pH > 7.2

How well did you know this?
1
Not at all
2
3
4
5
Perfectly
13
Q

What are his options for analgesia?
AAA open

A

In view of his poor lung function and undergoing a laparotomy, I feel that
a thoracic epidural is in his best interests. I will discuss the procedure with
the patient and make appropriate plans for removal later given perioperative
heparin use. This should be performed awake preinduction and should
facilitate postoperative deep breathing and together with regular chest
physiotherapy help reduce the risk of postoperative respiratory infection.
The alternative would be to perhaps perform transversus abdominis plane
blocks and use a fentanyl/morphine PCA with regular paracetamol. It should
be borne in mind that due to his age he is likely to be opiate sensitive and
due to his additional risk of further renal impairment postoperatively he
may have difficulty clearing opiates, which may impair his recovery and
cooperation with physiotherapy.

How well did you know this?
1
Not at all
2
3
4
5
Perfectly
14
Q

What will decide the criteria
for extubation at the end of the
operation and where will he go
postoperatively?

A

Providing he has normal acid base, temperature, reasonably corrected
haematological and electrolyte parameters and is fully reversed, it would be
ideal to plan for an early wakening and extubation to assess neurology and
encourage early chest physiotherapy. With his comorbidities, intensive care
would be necessary in the first instance until both ventilation and kidney
function have been assessed as adequate.
Preoperative cardiopulmonary exercise testing (CPET) may have helped plan
postoperative care if he has undergone this

How well did you know this?
1
Not at all
2
3
4
5
Perfectly
15
Q

can you discuss relevance of CPET in more depth with respect to elective AAA surgery?

A
  • In recent years various studies have looked at the use of CPET to help
    stratify risk in patients undergoing aneurysm surgery.
  • In the UK the national vascular society has recommended the use of the AAAQIP (Abdominal Aortic
    Aneurysm Quality Improvement Project) preoperative care bundle (2011), which incorporates the following:
    • Preoperative assessment and risk scoring
    • CT angiography to aid decision making between open repair or EVAR
    • Assessment by a vascular anaesthetist
    • Case reviewed at an MDT meeting involving both surgeon and radiologist
    • Patient to be given evidence-based written information CPET has become a routine part of preassessment for elective aneurysm surgery and helps plan postoperative care. Some variables of significance
    are as follows.
  • VO2 max of 15 ml/kg/min is thought to be equivalent to four METs and hence predictive of poor functional capacity below this value. A value of at least 20 ml/kg/min is desirable for abdominal aortic aneurysm surgery.
  • AT, or anaerobic threshold, denotes the VO2 value when there is a switch from aerobic to anaerobic metabolism and therefore when oxygen demand is greater than supply. An AT of 11 ml/kg/min is thought to be needed to undergo significant surgery, and below this there may be a need for
    postoperative critical care. In addition, below this value on a case-by-case basis there may be a preference for EVAR instead of an open procedure.
  • A low-peak Vo2, AT, and ventilatory equivalent for Co2 have been shown to be associated with poor outcomes after this surgery.
How well did you know this?
1
Not at all
2
3
4
5
Perfectly
16
Q

A 19-year-old male who is normally fit and well has been booked for
repair of a fractured mandible. When you go to see him in the ward, you notice
that his breath smells strongly of alcohol.
What are your concerns?

A

• Mode of injury
• Loss of consciousness and current GCS
• Airway involvement
• Associated head and neck injuries
• Intoxication – alcohol, drugs
• Starvation status

How well did you know this?
1
Not at all
2
3
4
5
Perfectly
17
Q

How would you assess
the airway? facial trauma

A

Patients with facial trauma often pose the greatest airway challenges to the
anaesthetist.
For this patient with isolated facial trauma, preoperative airway evaluation
must be detailed and thorough.
• Particular attention should be focused on jaw opening, mask fit, neck
mobility, maxillary protrusion, macroglossia, dental pathology, nasal
patency, and the existence of any intraoral lesion or debris.
• Trismus is often caused by pain and can disappear on induction of
anaesthesia. However, it may persist for mechanical reasons and this
needs to be discussed with the surgical team.
• Preoperative imaging should be reviewed. X-ray of the mandible (AP,
lateral oblique, or panoramic) and neck (AP, lateral), CT if possible.

How well did you know this?
1
Not at all
2
3
4
5
Perfectly
18
Q

What are the possible associated
injuries?

A

• Cervical vertebrae fracture
• Head injury
• Airway: soft tissue injury with risk of oedema and obstruction, tracheal
injury
• Other facial fractures (i.e. nose, maxilla Le Fort fracture type I horizontal,
type II pyramidal, type III transverse)

How well did you know this?
1
Not at all
2
3
4
5
Perfectly
19
Q

What are Le Fort fractures? see Figure 5.3.

A

They are midfacial fractures caused by anteriorly directed force.
- In Le Fort I fractures, a horizontal fracture line separates the inferior portion of the maxilla from the superior two-thirds of the face, which remain associated with the skull. The entire maxillary dental arch may be mobile or wedged in a pathologic position.
- In Le Fort II fractures, the pyramidal mid-face is separated from the rest of the facial skeleton and skull base.
- In Le Fort III fractures, the face is essentially separated along the base of the skull due to force directed at the level of the orbit.

How well did you know this?
1
Not at all
2
3
4
5
Perfectly
20
Q

When are you happy to anaesthetise this patient? Facial fractures with alcohol intoxication.

A
  • If the airway is not compromised and there is no associated head injury, I will anaesthetise him once he has sobered and achieved the starvation status.
  • There are no other associated injuries, and the chance of head injury has been ruled out. He is presented for isolated mandible fracture.
How well did you know this?
1
Not at all
2
3
4
5
Perfectly
21
Q

How would you anaesthetise him? Facial fractures

A

• Prepare for a potential difficult intubation (i.e. senior help, skilled assistant, difficult airway trolley).
• The route of repair also needs consideration, as it can be intraoral, subconjunctival, or via a scalp flap.
• Induction: If any forewarning sign of problems with mask ventilation or endotracheal intubation is observed, the airway should be secured prior to anaesthesia induction. This process may involve fibreoptic nasal or oral
intubation or tracheostomy.
• Different endotracheal tubes (ETT) may be used: In this patient, after discussing with the surgeon for options, my consideration would be to use a nasal tube as this gives room in the mouth for the surgeons to work in. Also this will be beneficial in patients with malocclusion or wedge fracture where insertion of an oral ETT would have been challenging.
• The need for a throat pack, postoperative intermaxillary fixation, and facial nerve monitoring should also be discussed.
Isolated mandible fractures usually do not make intubation more difficult.
- However, if it is associated with other facial injuries, the airway might be more difficult to manage. In these cases an inhalational induction might be considered.
- Remember the risk of an association with a fracture of the base of the skull in which case the nasal route has to be avoided.

How well did you know this?
1
Not at all
2
3
4
5
Perfectly
22
Q

What are the nice guidelines regarding head injuries?

A

Assessment
• In patients with GCS 15, assessment is done within 15 min.
GCS 9–14 needs immediate assessment.
GCS < 8: anaesthetist should be involved.
investigation
• Exclude brain injury with CT scan before blaming the depressed level of consciousness on intoxication.
transfer
• Transfer to a tertiary centre would benefit if the patient has a GCS < 8 regardless of the need for surgery.
• If transfer is not possible, ongoing liaison with neuro unit is done for advice on management

How well did you know this?
1
Not at all
2
3
4
5
Perfectly
23
Q

A 75-year-old female patient, suffering from severe Rheumatoid
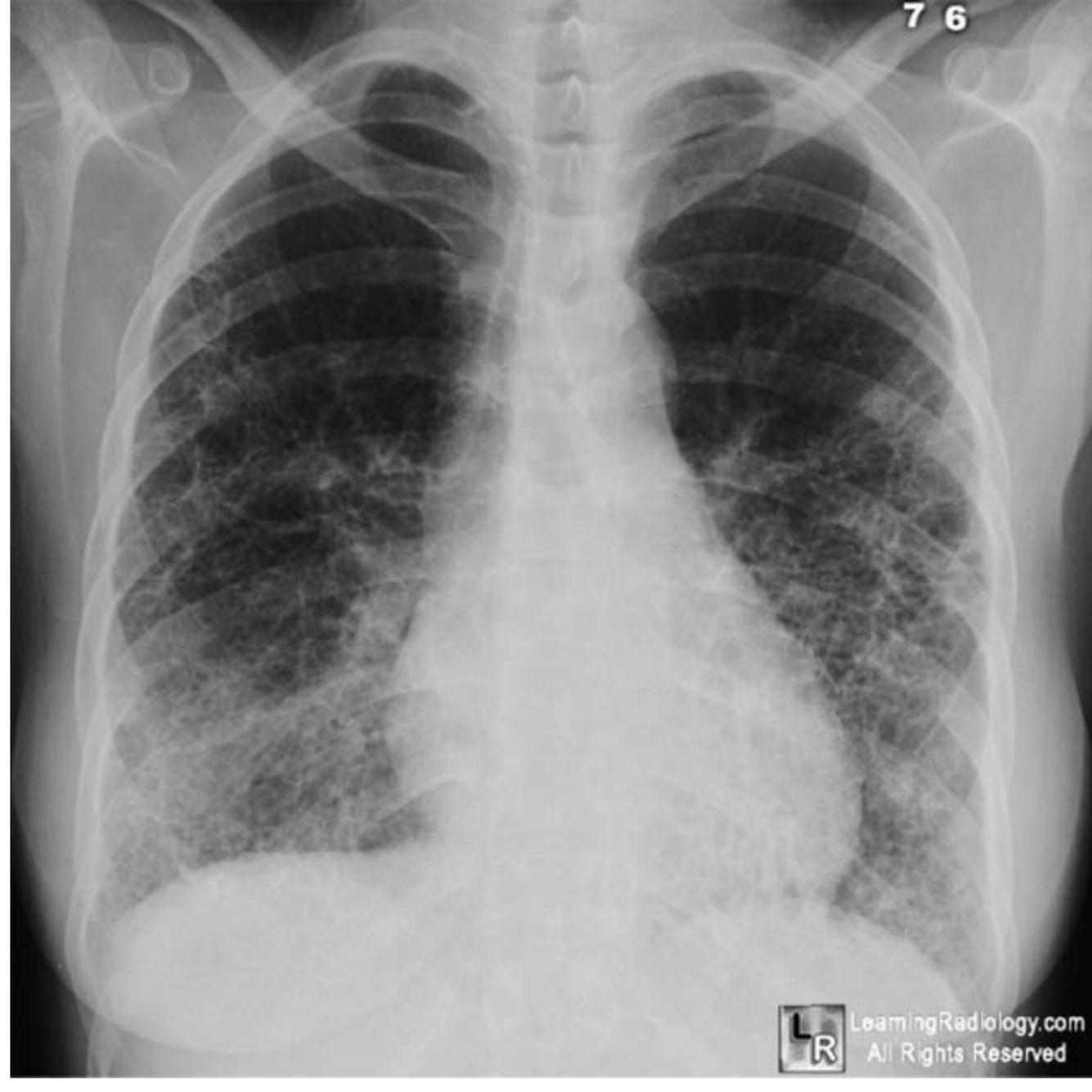
arthritis, is booked for a total knee replacement. Can you tell me the positive findings on her chest X-ray.

A

Bilateral airspace disease with:
• Extensive reticular change throughout both lungs
• Reduced volume
• Honeycomb pattern
• Shaggy heart border
Diagnosis: Pulmonary fibrosis. This can be because of the disease
progression or as a side effect of drugs for rheumatoid disease.

How well did you know this?
1
Not at all
2
3
4
5
Perfectly
24
Q

What does her c spine X-ray show? see Figure 5.5

A

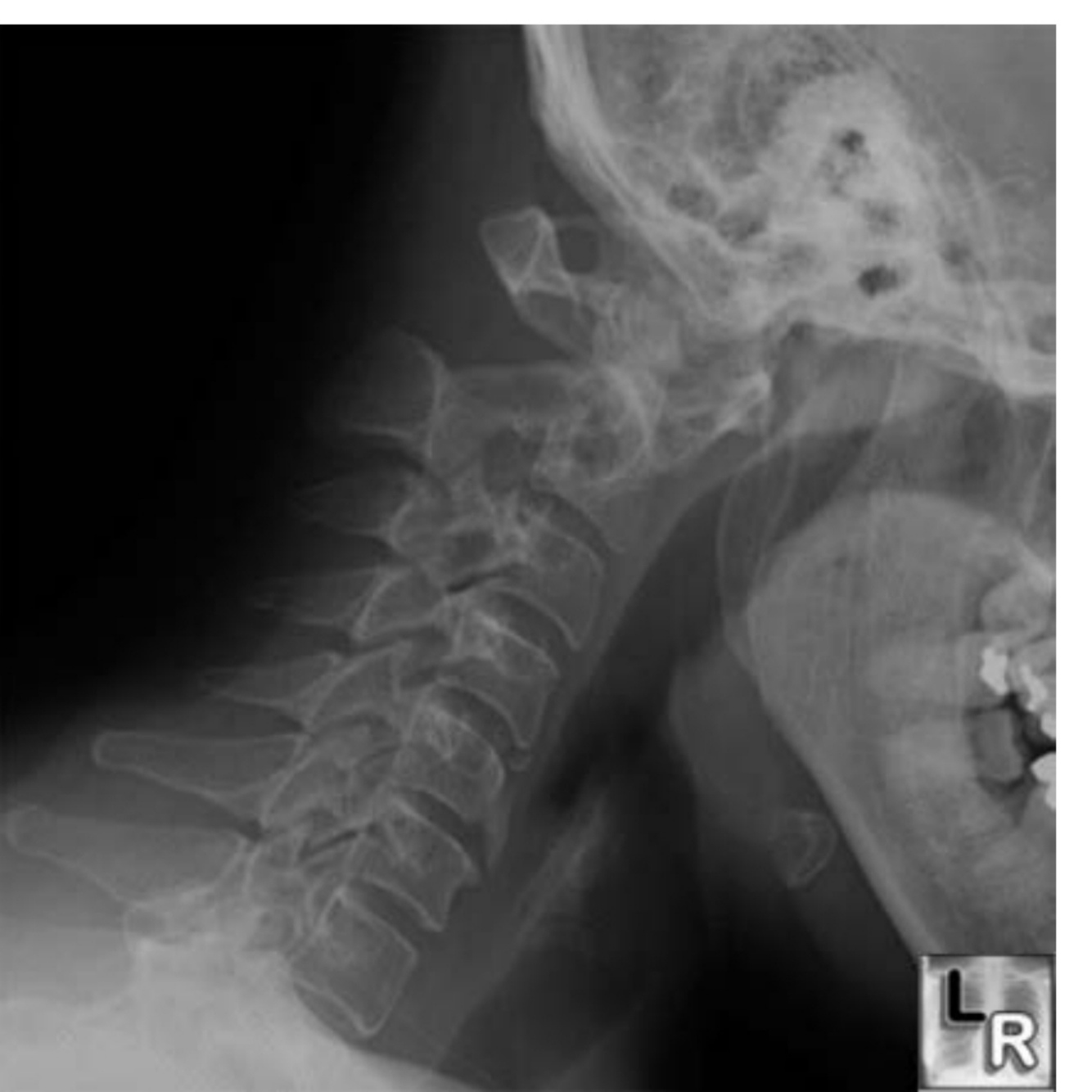
Lateral radiograph of the neck with the head in flexion shows an increased distance between the anterior border of the dens and the posterior border of the anterior tubercle of C1. This “pre-dentate space,” should be less than 3 mm in the adult. Also there is forward suluxation of C1 on C2.
Mainly two types of changes might be seen: Atlanto-axial subluxation and
sub-axial subluxation.
Atlanto-axial subluxation
• Anterior: Most common (80%) finding in rheumatoid arthritis involving the neck, where C1 vertebra is moved forward on body of C2 vertebra due to damage to transverse ligament and can cause spinal cord compression by odontoid peg. Subluxation occurs when distance between atlas and odontoid is > 4 mm in adults and > 3 mm in children.
It is best seen in lateral neck X-ray with neck flexion (which makes
subluxation worse).
• Posterior: occurs in 5% of the patients and is due to destruction of
odontoid peg, which causes backward movement of C1 vertebra over C2 vertebra. It is best seen in lateral X-ray with neck extension, which makes the condition much worse.
- sub-axial subluxation It is not very common, occurs below C2 level, and can cause fixed flexion Deformity due to ankylosis and osteoporosis.

How well did you know this?
1
Not at all
2
3
4
5
Perfectly
25
What is rheumatoid arthritis?
It is an autoimmune, systemic chronic inflammatory disease associated with: • Polyarthritis of joints with pannus formation • Synovitis of joints and tendon sheaths • Loss of articular cartilage and erosion of bone and joint destruction Women are affected more than men. Age group is 30–55 years. Seventy percent are HLA DR4 +ve & seropositive for rheumatoid factor.
26
What are the other system manifestations in rheumatoid arthritis?
Rs • Pulmonary fibrosis, vasculitis • Pulmonary hypertension, nodules cVs • Arteriosclerosis, MI, stroke • Mitral valve disease, pericardial effusion, conduction defects Blood • Anaemia nervous system • Peripheral neuropathy • Autonomic dysfunction • Compression neuropathy, myelopathy Renal • Amyloid, nephropathy Liver • Felty’s syndrome eye/skin • Episcleritis, rheumatoid nodules, thin papery skin Due to drugs • NSAIDS—renal and GI impairment • Methotrexate, gold, pencillamine—immunosuppression, pancytopenia, liver and renal dysfunction • Steroids—hypertension, osteoporosis Joints • Pain and morning stiffness due to inflammation of synovium • Reduced bone density, cartilage loss
27
should you be worried about this patient’s airway?
• Anterior or posterior subluxation and spinal cord compression • Sub-axial subluxation—fixed flexion deformity • TMJ involvement—reduced mouth opening • Cricoarytenoid involvement—stridor • Steroids—cause osteoporosis
28
How will you anaesthetise this patient? Rheumatoid athritis for TKR
Regional anaesthesia in form of spinal is the best for this patient, if there is no absolute contraindication. It is also ideal from the surgical (enhanced recovery pathway in major arthroplasty) point of view. Preassessment • Routine anaesthetic history and examination • Airway assessment—Mallampati assessment, thyromental distance, mouth opening, jaw protrusion, neck extension • Drug history and its effect on various organ systems investigations • FBC, renal, and liver function tests to assess type of anaemia and for a baseline function • Chest X-ray to look for pulmonary involvement • Because of the nature and effect of the disease on cervical spine, lateral C spine X-ray is deemed necessary both in neck extension and flexion view • Routine ECG and echocardiography if any significant cardiac symptoms investigations • FBC, renal, and liver function tests to assess type of anaemia and for a baseline function • Chest X-ray to look for pulmonary involvement • Because of the nature and effect of the disease on cervical spine, lateral C spine X-ray is deemed necessary both in neck extension and flexion view • Routine ECG and echocardiography if any significant cardiac symptoms intraoperative • Position during the procedure needs extra care and take precautions for pressure area to be protected to prevent any injury • Full asepsis is maintained, as a general measure and also due to the state of immunocompromise in this group of patients • Warming and fluid management to prevent any renal failure in the postoperative period • Steroid replacement during surgery • Good pain relief in postoperative period; exercise caution with the use of NSAIDs for fear of renal dysfunction and gastric ulcer • Patient control analgesia may not be appropriate if hand deformities are present Postoperative • ITU/HDU care in patients with severe respiratory disease • Early mobilisation and postoperative physiotherapy is useful in preventing postoperative respiratory and other complications
29
You are administering an epidural for labour analgesia in a 25-year-old primigravida, with a 16 G Tuohy needle when a wet tap occurs. What is your immediate course of management?
• Resite: Take the needle out and reinsert in an adjacent space (OR) • Spinal catheter: Insert the epidural catheter into the subarachnoid space • General: document, explain to patient, explain to team
30
state the advantages and disadvantages of both techniques? Reinserting epidural vs insertion of catheter into the subarachnoid space.
31
What special precautions would you take if you had inserted a spinal catheter?
• Labeling the catheter • Handover to the team • All top-ups given by the anaesthetist • Regular neurological observations • Aseptic precautions
32
What top-up would you give if you were inserting a spinal catheter?
2–3 mLs of the low dose mix (0.1% bupivacaine + 2mcg/mL fentanyl) or 1 mL of 0.25% Bupivacaine +/− fentanyl 15–25 mcg
33
What is the chance of this patient developing a post-dural puncture headache (PDPH)?
There is a 80% chance of her developing PDPH as the Tuohy needle is wide-bore needle • 16 G: 80% • 20 G: 40% • < 25 G: 1%–2%
34
What are the characteristics of PDPH?
• Fronto-occipital headache increasing in upright posture (due to higher CSF pressure in upright posture) • Nausea, vomiting, visual disturbances, general malaise • Presents in < 3 days and lasts for 14 days • Usually self-limiting
35
What are the risk factors that predispose one to the development of PDPH?
36
What is the mechanism of pain in PDPH?
CSF leakage leading to • Loss of buoyancy—sagging of brain causing traction on pain-sensitive meninges, nerves, and veins • Compensatory dilation of cerebral veins causing direct pressure on meninges You are called to see the same patient in the postnatal ward. She is Day 2 postpartum and is complaining of a headache.
37
How would you approach this patient? Headache after wet tap with touhy needle
• Obtain history • General examination • Neurological examination
38
What is the differential diagnosis of postpartum headache?
39
You have diagnosed PDPH in this patient. What is your management plan?
• Adequate hydration • Avoid abdominal binders as they are shown to be ineffective • Conventional analgesics—paracetamol, NSAIDS, codeine, opioids • Analgesic adjuvants—caffeine, sumatriptan, theophylline, ACTH • Gold standard treatment—homologous Epidural Blood Patch (EBP)
40
You have diagnosed PDPH in this patient. What is your management plan?
• Adequate hydration • Avoid abdominal binders as they are shown to be ineffective • Conventional analgesics—paracetamol, NSAIDS, codeine, opioids • Analgesic adjuvants—caffeine, sumatriptan, theophylline, ACTH • Gold standard treatment—homologous Epidural Blood Patch (EBP)
41
What is the mode of action of caffeine?
• Methyl xanthine analogue • Cerebral vasoconstrictor • 150–300 mgs oral every 6 to 8 hours • 500 mgs intravenous infusion over one hour. Repeat if needed. • Adverse effects (which are rare): Cardiac arrhythmias, seizures if dose > 300 mgs • Cerebral irritability in neonates
42
When is the suitable time to perform eBP?
24–48 hours. Not effective if performed in less than 24 hours.
43
How would you perform eBP after establishing the diagnosis and having assessed the suitability?
• Explain to patient • Two personnel with experience • Strict aseptic precautions • Locate epidural space as per usual technique—a space higher • 10–20 mls of homologous blood • Blood for culture, as per department policy—no consensus • STOP if pain/discomfort on injection • Supine—2 hours and no straining for 1–2 weeks to prevent patch blow-off • Follow-up
44
name any three complications of eBP.
• Back pain • Meningeal irritation • Radicular pain • Cranial nerve palsy • Infection
45
What is the success rate with eBP?
First attempt: 60% Subsequent attempts: up to 80%
46
What is your view regarding this?
EBP is not a contraindication for subsequent epidurals. She should inform the anaesthetist in the future pregnancies about PDPH so extreme care and expert advice (use of ultrasound guided epidural) would be sorted in case of dural puncture due to difficult procedure.
47
What are your analgesic options for a child who is booked for hypospadias surgery?
Multimodal analgesia (WHo ladder) • Simple analgesics • NSAIDS • Opioids—oral/IV • Wound infiltration • Nerve blocks—dorsal penile block/caudal block
48
What is the nerve supply of the scrotum and penis?
scrotum • Anterior 1/3—ilioinguinal nerve (L1) • Posterior 2/3—perineal nerve (S2) • Lateral—posterior cutaneous nerve of thigh (S3) Penis • Dorsal nerve of penis (S2,3,4) • Ilioinguinal nerve (L1)
49
What are the indications of caudal block?
It is the commonest regional technique in children and the first means of administering local anaesthetic in the epidural space dating back as early as 1901. Acute pain • Surgical: To cover area innervated by lower lumbar and sacral roots. In younger children, the caudal block effectively covers T10-S5, although only sacral roots are blocked in older children and adults. Caudal anaesthesia is also recommended for upper abdominal surgery, but higher doses are needed to attain a high block ° Elective: anorectal, genitourinary procedures—inguinal hernia, hypospadias, orchidopexy, circumcision ° Emergency: testicular torsion, strangulated hernia • Nonsurgical: To provide sympathetic block in vascular insufficiency of lower extremities secondary to vasospastic disease, unrelieved perineal pain in labour (historical) Chronic pain • Complex regional pain syndromes (CRPS) • Lumbar radiculopathy secondary to herniated discs and spinal stenosis • Backache with sciatica after failed conservative or surgical treatment • Coccydynia • Diabetic polyneuropathy Cancer pain • Primary genital, pelvic, and rectal malignancy • Bony metastasis to the pelvis
50
What are the advantages of caudal over lumbar epidural analgesia?
onset: The onset of perineal anaesthesia and muscle relaxation after caudal anaesthesia is rapid compared to epidural. Extent: It is good for ankle and foot surgery as it covers S1 reliably, whereas the lumbar epidural fails to block S1 in 10%–20% of patients. Indications: Can be performed where lumbar epidural cannot be done, especially after spinal surgeries. Complications: The incidence of postdural puncture headache (PDPH) is negligible. Caudal epidural uses a larger volume of local anaesthetic compared to the lumbar epidural, and there is a similar failure rate due to anatomical variation.
51
Describe the anatomy relevant to caudal anaesthesia.
Sacrum (Latin for sacred) is believed to have played a key part in ancient pagan sacrificial rites and also it was thought as the last bone of the body to decay and the body resurrects around it. It is a triangular bone ( ) composed of five fused sacral vertebrae forming a median crest. Sacral hiatus is a triangular defect in the lower part of the posterior wall of sacrum formed by the failure of the fifth sacral laminae to fuse in the midline. It is bounded above by the fused laminae of S4, laterally by the margins of the deficient laminae of S5, inferiorly by the posterior surface of the body of S5, and covered posteriorly by the dense sacrococcygeal ligament (formed from supraspinous ligament, interspinous ligament, and ligamentum flavum). It is about 5 cms above the tip of the coccyx. Sacral canal is the prismatic cavity running through the length of the sacrum following from the lumbar spinal canal and terminating at the sacral hiatus. The left and right lateral walls of the canal contain the four intervertebral foramina.
52
What are the contents of sacral canal?
• Terminal part of dural sac ending at S1–S3 • Sacral and coccygeal nerves making up cauda equina • Sacral epidural veins end at S4 but may extend throughout the canal • Filum terminale—final part of spinal cord, which does not contain nerves • Epidural fat—loose in children and fibrosed close-meshed texture in adults
53
Describe the technique of performing the block
Preparation: Informed consent, intravenous access, monitoring, resuscitation equipment, and equipment needed for the block. Full asepsis: Similar to any central neuraxial block. Personnel: Trained anaesthetist and skilled assistant. Calculation: Calculate the local anaesthetic dose using the Armitage regimen. • Drug: 0.25% L—Bupivacaine • Dose: Infraumbilical operation – 0.5 mL/kg - Lower thoracic operation – 1 mL/kg - Higher thoracic operation – 1.25 mL/kg • In our patient: 0.5 mL/kg of 0.25% L—Bupivacaine Position: The lateral position is efficacious in paediatrics because it permits easy access to the airway when general anaesthesia has been administered. Prone position is preferable in adults, as the caudal space is made prominent by internal rotation of the ankles. Landmarks: Locate the sacral hiatus. • The sacral hiatus forms the apex of an equilateral triangle drawn joining posterior superior iliac spines. • When the curve of the sacrum is followed in the midline with the tip of the finger from the tip of the coccyx, the sacral hiatus is felt as a depression. Procedure: A 22 G short beveled cannula is inserted at 45 degrees until a ‘click’ is felt, indicating the sacrococcygeal ligament has been pierced. Then the needle is directed cephalad at the angle approaching the long axis of sacral canal. Careful aspiration for blood or CSF should be performed before injection of local anaesthetic although negative aspiration does not always exclude intravascular or intrathecal placement. For this reason, the cannula is left in place whilst the drugs are being drawn, thus giving adequate time for the passive flow of CSF/blood with any inadvertent puncture. After confirming position, drugs are injected slowly. Test to confirm: Introduction of small amounts of air would produce subcutaneous emphysema if the needle were superficial. A ‘whoosh’ sound is heard when a stethoscope is placed further up the lumbar spine in successful blocks.
54
What are the additive drugs that can be used along with the local anaesthetics whilst performing a caudal block?
Preservative-free additives are used to prolong the duration of analgesia, improve the quality of the block, and reduce the unwanted side effects. Opioids—fentanyl, morphine, and diamorphine: Injection of opioids enables provision of analgesia due to a local action of the opioid at the spinal cord level rather than due to systemic absorption. It increases the duration of the block by up to 24 hours, but at the expense of nausea, pruritus, urinary retention, and late respiratory depression. The use of opioids has been replaced by clonidine and ketamine as they significantly prolong the duration of ‘single-shot’ caudal injections with minimal risk of side effects. The addition of clonidine to plain bupivacaine 0.25% can extend the duration of postoperative analgesia by 4 h, whereas ketamine and bupivacaine are even more effective, providing analgesia for up to 12 h. The main side effects of epidurally administered clonidine are hypotension, bradycardia, and sedation Clonidine (1–2 mcg/kg): α2 adrenoceptor agonist. It acts by stimulating the descending noradrenergic medullospinal pathway, thereby inhibiting the release of nociceptive neurotransmitters in the dorsal horn of spinal cord. S(+)Ketamine (0.5–1 mg/kg): NMDA receptor antagonist that binds to a subset of glutamate receptor and decreases the activity of dorsal horn neurons.
55
What are the complications of this block?
Serious or catastrophic complications are rare and can be related to the procedure or the drug injected. • Absent/patchy block • Subcutaneous injection • Hypotension • Urinary retention • Intravenous or intraosseous injection—seizures and cardiac arrest • Dural puncture—resulting in total spinal block if not recognised • Rectal perforation • Sepsis • Haematoma
56
What are the differences in the anatomy of the caudal epidural space between adults and children?
57
How do you define preeclampsia?
Preeclampsia is described as hypertension (> 140/90 mmHg) and significant proteinuria* that develops after 20 weeks of gestation; although preeclampsia can develop without proteinuria and eclamptic fits can occur with a minimally elevated blood pressure. oedema is no longer part of the definition although it is often present. *Significant proteinuria: • Urine Protein: Creatinine (PCR) > 30 mg/mmol (oR) • Total protein excretion ≥ 300 mg per 24-hr collection of urine (oR) • Two specimens of urine collected ≥ 4 hours apart with ≥ 2+ on the protein reagent strip. 24-hour proteinuria is difficult to measure and has been replaced by PCR (protein creatinine ratio). What is important is the fact that preeclampsia is linked to eclampsia, HELLP (haemolysis, elevated liver enzymes, and low platelet count) and most probably AFLP (acute fatty liver disease of pregnancy). some statistics • Preeclampsia occurring before 30 weeks of pregnancy is associated with severe morbidity • Up to 30% can occur after delivery (up to 6 weeks post-delivery) • Occurs in 5%–6% of pregnancies overall and up to 25% of hypertensive mothers • 1%–2% women with PET will develop eclampsia
58
could you explain the pathophysiology?
A two-stage process into the pathogenesis has been explained. An abnormal placentation along with endothelial dysfunction gives rise to the spectrum of the disease. Preeclampsia is linked to a failure of placentation, which occurs early in pregnancy and results in the placenta becoming hypoxic. This leads to an immune reaction with secretion of upregulated inflammatory mediators from the placenta causing vascular endothelial cell damage and dysfunction
59
What is the phathogenesis of peeclamsia and description of its stages of development?
- Stage i Abnormal placentation and vascular remodeling decreased placental perfusion Maternal factors • Genetic • Behavioral • Environmental - Stage ii Maternal syndrome of preeclampsia with endothelial dysfunction Resulting endothelial dysfunction produces an imbalance of pro- and anti-angiogenic factors, with an increase in anti-angiogenic factors. It should be noted that these biomarkers do not have sufficiently high positive predictive value when used alone. - The maternal syndrome of preeclampsia is characterised by decreased perfusion due to vasospasm and activation of coagulation cascade with microthrombi formation and end organ damage. • Fluid shift: Leaky capillaries together with a low oncotic pressure result in a low intravascular volume and fluid shift into the interstitial compartment • Vasoconstriction: The generalised vasoconstriction will mean increased systemic vascular resistance and in severe preeclampsia increased pulmonary pressure; also renal, hepatic, and pancreatic dysfunction. Vasospasm in the cerebral vasculature causes seizures and intracerebral bleeds. • Decreased placental blood flow: The compromised placental blood flow will result in IUGR (intrauterine growth retardation), fetal distress, and the high blood pressure increases the risk of placental abruption
60
Describe the maternal syndrome of pre-eclampsia.
- The maternal syndrome of preeclampsia is characterised by decreased perfusion due to vasospasm and activation of coagulation cascade with microthrombi formation and end organ damage. • Fluid shift: Leaky capillaries together with a low oncotic pressure result in a low intravascular volume and fluid shift into the interstitial compartment • Vasoconstriction: The generalised vasoconstriction will mean increased systemic vascular resistance and in severe preeclampsia increased pulmonary pressure; also renal, hepatic, and pancreatic dysfunction. Vasospasm in the cerebral vasculature causes seizures and intracerebral bleeds. • Decreased placental blood flow: The compromised placental blood flow will result in IUGR (intrauterine growth retardation), fetal distress, and the high blood pressure increases the risk of placental abruption
61
What risk factors are associated with the development of preeclampsia?
62
How would you manage a preeclamptic woman?
- Preeclampsia requires multidisciplinary team management, and effective communication with midwives and obstetrician is crucial. - The mother should be reviewed regularly by the whole team and the treatment plan clearly written in the notes. Aim - The aim is to stabilise the blood pressure until the decision to deliver is taken whilst monitoring for signs of severe preeclampsia. Before 34 weeks, two doses of steroids are given to the mother to improve fetal lung maturity. Monitoring • BP, RR, SpO2, urine output recorded on a MEoWS chart • Strict input/output chart (fluid balance) • Fetal monitoring in the form of cardiotocography Vigilance Clinical examination looking for photophobia, headache, epigastric pain, hyperreflexia and other signs and symptoms of eclampsia treatment • Control of hypertension • Prevention and control of eclamptic seizures - The Royal College of obstetricians and Gynaecologists (Green top guideline 0A) and National Institute for Health and Care Excellence (NICE CG 107) have produced guidelines setting specific criteria for the treatment of preeclampsia including the method for measuring blood pressure.
63
Discuss the medical management of hypertension in pregnancy
- The evidence base for treatment of mild to moderate chronic hypertension in pregnancy resides in maternal benefit rather than clear evidence of an enhanced perinatal outcome for the baby. NICE suggests treating only moderate and severe hypertension (BP > 150 mmHg systolic and 100 mmHg diastolic pressure) and recommends Labetalol as the first line. • Labetalol Route and dose: Oral—200–1600 mg in divided doses; IV—50 mg bolus followed by titrated infusion Mode of action: Combined specific α1 and nonspecific β adrenoceptor antagonist. The ratio of α:β blocking effects depend on the route of administration—1:3 for oral and 1:7 for intravenous Side effects: Bradycardia, fatigue, bronchospasm, gastrointestinal disturbances Contraindication and caution: Asthma, cardiac disease, phaeochromocytoma • Methyldopa Route and dose: Oral only—250 mg–3 g/day in divided doses Mode of action: Acts as false neurotransmitter to norepinephrine Side effects: Postural hypotension, bradycardia, headache, haemolytic anaemia Contraindication and caution: Liver disease, risk of postnatal depression • Nifedipine Route and dose: Oral only—20–90 mg od (Avoid sublingual route) Mode of action: Calcium channel antagonist. Blocks the entry of calcium ions through the L-type channels. Side effects: Headache, tachycardia, flushing, and visual disturbances Contraindication and caution: Aortic stenosis, liver disease • Hydralazine Route and dose: IV only 5 mg slow bolus followed by 5 mg/hr Mode of action: Activation of guanylate cyclase and increase in intracellular cyclic GMP leading to decrease in intracellular calcium, causing vasodilatation Side effects: Fluid retention, flushing, palpitations, headache, dizziness, tachycardia, systemic lupus-like syndrome, peripheral neuropathy Contraindication and caution: Severe tachycardia • α Blockers (Prazosin/Doxazosin) Mode of action: Highly selective α1 adrenoceptor blocker Side effects: Syncope, headache, postural hypotension Contraindication and caution: No true evidence of teratogenicity but use only if benefit outweighs risk. • β Blockers Mode of action: β adrenoceptor antagonists Side effects: Bradycardia, neonatal hypoglycaemia Contraindication and caution: May cause IUGR; avoid in pregnancy • Diuretics Mode of action: Various sites of nephron; only use in pulmonary oedema Side effects: Neonatal thrombocytopenia Contraindication and caution: Do not cause fetal malformations; generally avoided in pregnancy as its use might prevent the physiologic volume expansion in normal pregnancy. • Magnesium Sulphate Route and dose: IV only—4 g bolus over 10 min followed by 1 g/hr infusion for 24 hours or 0.5 g/hr if oliguric. (Further bolus of 2–4g over 10 min if seizures recur.) Mode of action: ° Antagonist at calcium channels reducing systemic and cerebral vasospasm ° N-methyl D-aspartate receptor antagonist—anticonvulsant action ° Increased production of endothelial prostacyclin may restore thromboxane—prostacyclin imbalance Caution: Due to its vasodilatory effects, it increases blood loss and, if given prior to general anaesthetic, will also increase the duration of neuromuscular blocking agents. Care when using along with Nifedipine as they may interact synergistically. Magnesium crosses the placenta leading to neonatal hypotonia and respiratory depression.
64
When the decision is made to deliver the baby, what anaesthetic technique would you use?
The decision to deliver is made by the consultant obstetrician and usually depends largely on the maternal rather than the fetal well-being as delivery improves the maternal disease. The mother’s safety is paramount, and the blood pressure has to be under control to avoid complications. The choice between general anaesthesia (GA) and regional technique will be guided by: • Platelets level (> 80 × 109/L on a recent blood result) • Blood pressure control • CTG And also influenced by: • Mother’s anaesthetic history • Airway assessment • BMI The choice is between spinal anaesthetic and GA. There is no evidence that an epidural technique confers more cardiovascular stability than a spinal. Providing there are no contraindications (i.e. low platelets or fetal bradycardia), a regional technique is the preferred option
65
What are the indications for magnesium?
The MAGPIE trial in 2002 has shown that magnesium is effective in reducing the incidence of eclampsia. The Collaborative Eclampsia Trial in 1995 has proved it to be more efficient in treating eclamptic seizures than diazepam or phenytoin. The loading dose is 4 g over 10 to15 min followed by 1 g/hr infusion for 24 hours or 0.5 g/hr if oliguric. A further bolus of 2–4 g over 10 min is repeated if seizures recur.
66
How and why is the magnesium level monitored? What are the side effects of hypermagnesaemia?
- Higher magnesium levels in the blood lead to undesirable and life-threatening complications, and hence the level should be monitored. - The adequacy of treatment is assessed by regular checking of deep tendon reflexes and by blood levels. The therapeutic range is 2–4 mmol/L. • Loss of deep tendon reflexes, blurred vision > 5 mmol/L • Respiratory depression > 7 mmol/L • Cardiac conduction defects > 7.5 mmol/L • Cardiorespiratory arrest >10 mmol/L - Loss of patellar reflexes should prompt a blood level and the stopping of the infusion. - Toxicity is more likely to occur if renal impairment is present.
67
How is magnesium-induced cardiac arrest treated?
In the case of cardiac arrest: • Stop infusion • Start CPR • Give 10 ml of 10% calcium gluconate intravenously • Send blood for magnesium levels to lab immediately • Employ further symptomatic treatment
68
What are the features of a tricyclic antidepressant (tcA) drug poisoning?
Cardiovascular • Palpitations, chest pain, tachycardia, hypotension • ECG changes include non-specific ST or T wave changes, prolongation of QT, PR and QRS interval, right bundle branch block, right axis deviation, atrioventricular block, Brugada wave (ST elevation in V1–V3 and right bundle branch block) central nervous system • Agitation, hallucinations, blurred vision, convulsions, hyperreflexia, myoclonus, and coma in severe cases Peripheral autonomic system • Dry mouth, dry skin, urinary retention, and pyrexia
69
What are the features of a tricyclic antidepressant (tcA) drug poisoning?
cardiovascular • Palpitations, chest pain, tachycardia, hypotension • ECG changes include nonspecific ST or T wave changes, prolongation of QT, PR and QRS interval, right bundle branch block, right axis deviation, atrioventricular block, Brugada wave (ST elevation in V1–V3 and right bundle branch block) central nervous system • Agitation, hallucinations, blurred vision, convulsions, hyperreflexia, myoclonus, and coma in severe cases Peripheral autonomic system • Dry mouth, dry skin, urinary retention, and pyrexia
70
What is the mechanism of action of TCA drugs?
The pharmacological effects of tricyclic antidepressant drugs at therapeutic doses are complex and include: • Anticholinergic effects • Competitive antagonism of H1 and H2 receptors • Blockade of presynaptic uptake of amines (norepinephrine, dopamine, and serotonin) • Antagonism of α1 adrenergic receptors • Blockade of the cardiac fast sodium channel • Blockade of the cardiac delayed rectifier potassium channel
71
Describe the pharmacokinetics of TCA drugs.
1. Absorption: TCA drugs are well absorbed from the gastrointestinal tract, and peak plasma levels occur 2 to 4 hours after ingestion. 2. Distribution: The large volume of distribution reflects high concentrations in tissues. Less than 10% of TCA circulates as free drug; the rest is bound to circulating proteins (albumin and α1 acid glycoprotein) or dissolved in circulating free fatty acids. 3. Metabolism: TCA drugs are metabolised in the liver by hydroxylation and methylation. Many TCAs have active metabolites. Both the parent drug and the active metabolites may undergo enterohepatic circulation. 4. Excretion: Renal excretion is low and is usually less than 10%.
72
Why do TCA drugs cause arrhythmias and hypotension?
- Tricyclic antidepressants slow phase 0 of cardiac depolarisation by inhibiting sodium channels. The resulting delay in propagation of depolarisation in the atrioventricular node, His-Purkinje fibres, and ventricular myocardium leads to prolongation of the PR and QRS interval. Abnormal atrial and ventricular repolarisation may give rise to ECG changes mimicking myocardial infarction (ST segment elevation and T wave inversion). - The blood pressure may be elevated in the early stages after overdose, presumably due to the inhibition of norepinephrine uptake. Subsequently, the blood pressure is reduced, often to very low levels and may be due to a number of causes. TCAs themselves can cause direct myocardial depression or it relates to relative volume depletion and α receptor blockade induced vasodilatation. Thus, it usually responds rapidly to intravenous fluids.
73
What is the management of acute TCA overdose?
ABC approach specific measures • Preventing gastric absorption with activated charcoal • Induced alkalemia with sodium bicarbonate as this reduces the amount of free drug in circulation • Treatment of arrhythmias: Ventricular tachyarrhythmias are treated with blockade and severe bradyarrhythmias may need pacing • Treatment of seizures with benzodiazepines Supportive care in a HDU/ICU setting. Ventilation may be required for a low GCS. ECG monitoring is recommended for the first 24 hours
74
What is osmosis?
The process of net movement of water molecules due to diffusion between areas of different concentration separated by a semipermeable membrane
75
What is osmotic pressure?
The pressure exerted within a sealed system of solution in response to the presence of osmotically active particles on one side of a semipermeable membrane (kPa).
76
Define osmolarity and osmolality
• Osmolarity is the number of osmoles of solute per litre of solution • Expressed as osm/L and is influenced by temperature - Volume of solution changes with the amount of solute added and the changes in temperature and pressure, making it difficult to determine. • Osmolality is the number of osmoles per kilogram of solution and is not dependent on temperature • Expressed in osm/kg - Amount of the solvent would not change with temperature and pressure changes, and for this property, osmolality is easier to evaluate.
77
What is an osmole?
An osmole is a unit of measurement that describes the number of moles of a compound that contribute to the osmotic pressure of a chemical solution [number of particles equal to Avogadro’s number (6 × 10²³)] and that would depress the freezing point of the solvent by 1.86 Kelvin.
78
What is used clinically: osmolarity or osmolality and why?
The two terms refer to similar concepts; however, osmolality is the preferred term. When temperature changes, volumes will change but mass remains the same. Under most physiological conditions, temperature is fairly constant and the two are functionally very similar but technically different. osmolality is used in clinical practice to remove a source of error.
79
What is the formula for calculation of estimated osmolarity?
Formula for calculated osmolarity = 2 Na + 2 K + Urea + Glucose - Sodium and potassium: Sodium and potassium along with chloride are the most abundant ions in the body and are hence used in the equation. - As chloride normally tags along sodium and potassium, they are multiplied by a factor of two to account for the chloride in the body fluids. - Urea: Urea is added for a historical reason as it does decrease the freezing point, although it is not osmotically active. - Glucose: This makes a big difference to osmolarity especially in diabetics. - Proteins are NoT used in the calculation as they are not ionic although osmotically active.
80
How is it measured in the lab?
osmometers utilise the colligative properties of the osmotically active substances. The most commonly used osmometers work on the freezing point depression technique as they are quick, easy, and measure the volatile alcohol along with the other solutes
81
What are colligative properties?
The properties of a solution that vary according to the osmolarity of the solution. • Depression of the freezing point: Depressed by 1.86 K per osmole of solute per kilogram of solvent • Reduction of vapour pressure (Raoult’s Law) by 0.3 mmHg The depression of freezing point or reduction of the vapour pressure of a solvent is proportional to the molar concentration of the solute. • Elevation of the boiling point by 0.52°C • Increase in osmotic pressure by 17 000 mmHg
82
Why is there a difference between the estimated and the calculated osmolarity?
osmolar gap is the difference between measured and calculated osmolarity, which is a measure of an osmotically active particle that is not normally found in the plasma (e.g. ethanol).
83
What are some conditions that affect osmolarity?
SIADH: defined by the nonosmotic release of ADH with consequent water retention and hypotonicity (ADH: osmoreceptors in the supraoptic nuclei of the hypothalamus has a threshold of 289+/–2.3 mosmol/kg. Above this plasma level, ADH is released) Diabetes insipidus: neurogenic (deficiency of ADH synthesis or impaired release), nephrogenic (renal resistance of action of ADH); massive diuresis and hypovolaemia TUR syndrome: excessive absorption of irrigating fluid Water intoxication: Self-inflicted, or excess glucose solution Hyperosmolar states: Hyperglycaemic nonketotic hyperosmolar coma
84
What is oncotic pressure (colloid osmotic pressure)?
osmolality measures the total number of solute particles within a solution, but tonicity is only influenced by those solute particles that are not able to cross the membrane separating two solutions. Urea and glucose freely permeate and therefore are not included in the calculation of tonicity. (A very dry question with lots of definitions; however, a recurring favourite in the viva)