TCE Flashcards

(33 cards)

1
Q

Definición

A

Lesión cerebral de causa traumática de cualquier índole (penetrante o no penetrante)

How well did you know this?
1
Not at all
2
3
4
5
Perfectly
2
Q

En MX, TCE constituye _ causa de muerte violentas y por accidentes

A

Cuarta
Gran parte de los casos están relacionados con accidentes de tránsito

How well did you know this?
1
Not at all
2
3
4
5
Perfectly
3
Q

Mayor prevalencia en

A

Hombres 3:1

How well did you know this?
1
Not at all
2
3
4
5
Perfectly
4
Q

Edad presentación

A

21 y 40 años

How well did you know this?
1
Not at all
2
3
4
5
Perfectly
5
Q

Complicaciones TCE

A
How well did you know this?
1
Not at all
2
3
4
5
Perfectly
6
Q

Mayor parte de los TCE son

A

Leves, por lo que la mayoría no acudirán a urgencias

How well did you know this?
1
Not at all
2
3
4
5
Perfectly
7
Q
A

3er par craneal: anisocoria

How well did you know this?
1
Not at all
2
3
4
5
Perfectly
8
Q

Principio de Monro-Kelly

A

Flujo sanguíneo cerebral: 40 a 60 mL/100gr de tejido cerebral / minuto
Presión de perfusión 50 a 70 mmHg
Presión intracraneal menor a 15mmHg

Si uno aumenta los demás tienden a disminuir su volumen

Doctrina Monro-Kellie en relación con la compensación por una masa expansiva. El volumen total del contenido intracraneal
permanece constante. Si la adición de una masa como un hematoma comprime un volumen igual de LCR y de sangre venosa, la PIC se
mantiene normal. Sin embargo, cuando este mecanismo compensatorio se agota, la PIC se incrementa exponencialmente aún con pequeños
incrementos adicionales en el volumen del hematoma

How well did you know this?
1
Not at all
2
3
4
5
Perfectly
9
Q

Cálculo de presión de perfusión cerebral

A

RESISTENCIA DE LA SANGRE AL PASAR POR LOS VASOS QUE PERMITE QUE CEREBRO ESTÉ BIEN PERFUNDIDO

PPC: PAM-PIC

How well did you know this?
1
Not at all
2
3
4
5
Perfectly
10
Q

Fenómeno de silencio eléctrico (con viabilidad neuronal)

A

Cuando la presión de perfusion baja a 15-18 ml /100gr de tejido cerebral por minuto.

How well did you know this?
1
Not at all
2
3
4
5
Perfectly
11
Q

Zona de penumbra isquémica (circulación colateral)

A

10-15mL/100gr de tejido cerebral minuto

How well did you know this?
1
Not at all
2
3
4
5
Perfectly
12
Q

Muerte neuronal

A

Menos de 10ml/100gr/min

How well did you know this?
1
Not at all
2
3
4
5
Perfectly
13
Q

Disminución del estado de despierto

A

25-40mL/100gr de tejido cerebral minuto (caída en puntaje de glasgow)

How well did you know this?
1
Not at all
2
3
4
5
Perfectly
14
Q

Clasificación TCE

(otra foto))
A

Aprender glasgow

How well did you know this?
1
Not at all
2
3
4
5
Perfectly
15
Q

Escala Coma Glasgow

A
How well did you know this?
1
Not at all
2
3
4
5
Perfectly
16
Q

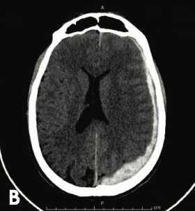
Estudios de imagen: Hematoma subdural

A

Forma de semiluna o plátano
Origen venoso
Evolución lento
Por debajo de la dura madre y por encima de la aracnoides
Puede atravesar subduras
Presencia de lesión parenquimatosa concomitantes

17
Q

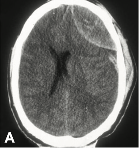
Hematoma epidural

A

Forma de balón de americano
Lesión no puede atravesar subduras, por eso toman esa forma.
Origen arterial
Evolución más rápida, deterioro veloz
Desgarro arteria meníngea media en fractura (más común)
Lucidez a deterioro

18
Q

Edema cerebral

19
Q

Clasificación tomográfica de TCE

20
Q

Clasificación de lesiones cerebrales

A

Primaria: Daño directo ocasionado por trauma (contusión, laceración, desgarro dural, venoso)
Secundaria: Consecuencia de lesión primaria (hematoma intracraneal, edema cerebral, hipoxia, hipoperfusión, neuroinfección)
Terciaria: Expansión tardía de los daños progresivos o no ocasionados por lesión primaria con necrosis o apoptosis (neurodegeneración)

21
Q

Tratamiento en urgencias

A
  1. Atención A, B, C, D, E
  2. ID lesiones que requieren tx qx
  3. Traslado del paciente sin retraso a centro de trauma
  4. Valoración neuroquirúrgica
22
Q

Objetivos de tratamiento

A
  • Evitar lesiones secundarias
  • Evitar aumento PIC
  • Acortar estancia en UCI
  • Disminuir secuelas
23
Q

Medidas de neuroprotección

24
Q

Manejo avanzado de la vía aérea

A
  • INTUBACIÓN OROTRAQUEAL EN AQUELLOS PACIENTES CON PUNTAJE DE 8 O MENOR EN GLASGOW
  • INICIO DE VENTILACIÓN MECÁNICA
  • SE PRETENDE DISMINUIR LA INCIDENCIA DE AUMENTO DE LA PRESIÓN IC O ASINCRONÍAS CON LA VENTILACIÓN
25
Analgésicos, anestésicos y sedantes
* Indispensable sedación y analgesia adecuadas en el paciente con TCE * Con adecuada sedación y buen bloqueo NM, se evitan incrementos de la PIC Primero sedación, liuego bloqueo NM
26
Una vez el paciente intubado
Tensión arterial y oxigenación 1.⁠ ⁠Monitoreo de la presión sanguínea; debe evitarse una presión sistólica menor de 90 mmHg. 2.⁠ ⁠Debe monitorizarse la oxigenación y debe evitarse la hipoxia (p02 > 60 y SO2 > 90%).
27
Monitoreo de PIC
La PIC se debe monitorizar en todo paciente rescatable con trauma de cráneo grave (puntaje de escala de coma de Glasgow de 3 a 8 después de la resucitación) y una tomografía de cráneo anormal.
28
Edema cerebral: cómo reducirlo
Solución hipertónica/terapia hiperosmolar * Entre 3% y 23.4% . * Ventaja en pacientes hipotensos. * Debe vigilarse estado electrolítico y pH (acidosis hiperclorémica-más dificil de tratar porque se debe de bajar si o si el cloro). * Mielinolisis pontina.
29
Monitoreo de la oxigenación cerebral
La saturación venosa yugular (<50%) es una meta de tratamiento, ya que es un indicador de la perfusión del tejido cerebral. Dependiendo de cuanta sangre le saca el cerebro a la sangre es la saturación venosa yugular
30
Terapia anticonvulsiva
Los anticomiciales están indicados para el tratamiento de las crisis postraumaticas tempranas (en los primeros 7 días después del traumatismo). De cualquier modo, la presencia de crisis convulsivas tempranas no se asocian con resultados adversos. SOLO PACIENTES CON TCE QUE HAYAN CONVULSIONADO. NO SE DAN EN AUSENCIA DE CRISIS
31
Hiperventilación
No se recomienda la hiperventilación profiláctica (PaCO2 de 25 mmHg o menor). La hiperventilación se utiliza como medida temporal para la reducción de la PIC, pero ocasiona isquemia grave del cerebro si se usa por tiempo prolongado
32
Hernias
Hernia del uncus Hernia de amígdala Parahipocámpica Se detecta en TC/RMN
33
ESTEROIDE
NO