Test 1: bone plates Flashcards

(28 cards)

1
Q

bone plates counteract what forces

A

bending, rotation, tension, compression and shear

How well did you know this?
1
Not at all
2
3
4
5
Perfectly
2
Q

advantages of bone plate

A

allows early return to function
less rechecks than other methods
avoids bandage morbidity

How well did you know this?
1
Not at all
2
3
4
5
Perfectly
3
Q

what kind of fractures can not be healed with bone plating

A

physeal
high grade open fracture

How well did you know this?
1
Not at all
2
3
4
5
Perfectly
4
Q

disadvantages of bone plating

A

Open reduction and stabilization
* Disrupts soft tissues and blood supply

Expense of equipment and supplies

Training and experience necessary

How well did you know this?
1
Not at all
2
3
4
5
Perfectly
5
Q

what are bone plates made of

A

316L stainless steel
titanium alloy

1.1-4.5 mm

How well did you know this?
1
Not at all
2
3
4
5
Perfectly
6
Q

anatomic vs biological fixation

A

anatomic- put all the pieces back together, rigid stabilization, direct bone healing, used for simple and articular fractures

biological- allow bone to heal by indirect bone healing, just line up the joints and leave middle alone

How well did you know this?
1
Not at all
2
3
4
5
Perfectly
7
Q

what is load sharing for anatomic reconstruction

A

bone is reconstructed in a way that weight of animal is distributed between bone and the implant- can use weaker implant

have rigid stabilization- direct bone healing

How well did you know this?
1
Not at all
2
3
4
5
Perfectly
8
Q

when to use anatomic reconstruction

A

simple fracture (only 2 pieces)

articular or per-articular fracture (joint surface)

How well did you know this?
1
Not at all
2
3
4
5
Perfectly
9
Q
A

army navy retractor

How well did you know this?
1
Not at all
2
3
4
5
Perfectly
10
Q

goal of biological fixation

A

restore joint alignment and limb length

do not put all the pieces back together, work by indirect bone healing

less invasive then anatomic reconstruction

How well did you know this?
1
Not at all
2
3
4
5
Perfectly
11
Q

name 3 bridging implants used for biological fixation

A

plate-rod
locking plate
double plate

How well did you know this?
1
Not at all
2
3
4
5
Perfectly
12
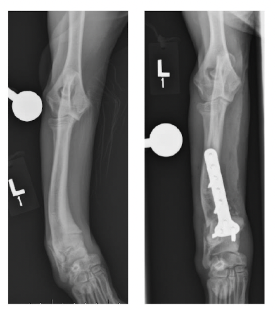
Q

plate screws

A

hold the plate to the bone

may serve as lag or position screws depending on how they were placed

How well did you know this?
1
Not at all
2
3
4
5
Perfectly
13
Q

— screw hold fragments in place

A

position screw

no compression

thread hole drilled in each fragment

How well did you know this?
1
Not at all
2
3
4
5
Perfectly
14
Q

how does lag screw work

A

drill hole as big as thread= glide hole

second piece has thread hole which is slightly smaller then screw shaft

second piece is then pulled toward the first

used for fragment reduction= applies compression across fracture line

How well did you know this?
1
Not at all
2
3
4
5
Perfectly
15
Q

— screws are used for fragment reduction. Applies — to fracture line

A

lag

compression (pulls pieces together)

How well did you know this?
1
Not at all
2
3
4
5
Perfectly
16
Q

lag screws are placed — to the fracture line

A

perpendicular

17
Q

how does non-locking plate work

A

Plate must be in contact with the bone

Screws must be tight

Friction between plate and bone= stability

2-4 screws per fragment

plate same length as bone

18
Q
A

compression plating

non-locking plate

as you advance screw it shifts to the side= compression

19
Q

compression plate should be positioned on which side of the bone

A

tension surface

20
Q

neutralization plating

A

used for oblique fractures

fix fracture with cerclage wire or lag screw, then plate added to share the load

used for anatomic reconstruction

21
Q

bridging plating

A

bone does not share the load

try to fix bone alignment and length, allow for secondary/indirect healing

22
Q

when to use bridging plating

A

comminuted diaphyseal fracture (mid shaft many pieces)

mal-union/angular limb deformity- opening wedge osteotomy

23
Q

locking plate vs non-locking plate

A

locking plate= screw locks into plate, plate does not touch bone

non-locking= plate and bone need to touch

24
Q

what type of plate can use monocortical screws

A

locking plate

better to use bicortical screw, because stronger but not needed

plate should be same length as bone and as close to bone as possible, but does not have to touch to work

25
how to place locking plate
fracture must be reduced before placement very specific on how screws have to be placed place standard screw first (bone next to plate)
26
advantages of locking plates
no need to contour plate to bone- does not need to touch to work can use monocortical screws less likely to fail in weak or thin bones
27
post op care of bone plating
early return to function restrict activity until union monitor with Xrays
28
bone plating complications
infection nonunion implant failure stress protection- implant to strong