Test 2: 15 Flashcards

(29 cards)

1
Q

bone will have a high or low Z

A

high due to Ca and P
Z=atomic number

How well did you know this?
1
Not at all
2
3
4
5
Perfectly
2
Q

what is a stress projection

A

try to show instability of a joint by stressing/pushing on a joint while getting an xray

How well did you know this?
1
Not at all
2
3
4
5
Perfectly
3
Q

what to include in xray if looking at bone

A

joint above and below

2 views

How well did you know this?
1
Not at all
2
3
4
5
Perfectly
4
Q

what to include in xray for joint

A

1/2 of bones above and below joint
joint centered on image

How well did you know this?
1
Not at all
2
3
4
5
Perfectly
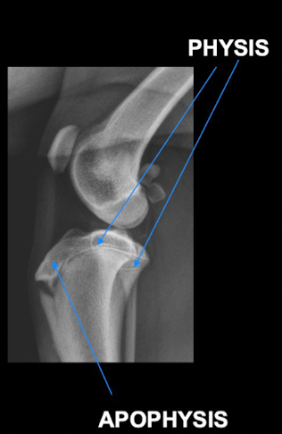
5
Q

— is an ossification center of a bony outgrowth such as a tuberosity

A

apophysis

How well did you know this?
1
Not at all
2
3
4
5
Perfectly
6
Q

what is cut back zone

A

normal growth of bones
looks like loss of bone

carpus
How well did you know this?
1
Not at all
2
3
4
5
Perfectly
7
Q
A
How well did you know this?
1
Not at all
2
3
4
5
Perfectly
8
Q
A
How well did you know this?
1
Not at all
2
3
4
5
Perfectly
9
Q

diffuse bone issues are caused by —

A

metabolic disease: juvenile osteofibrosis
nutritional disease

How well did you know this?
1
Not at all
2
3
4
5
Perfectly
10
Q

monostotic lesions are caused by

A

trauma
infection
primary neoplasia

primary osseous neoplasia-osteosarcoma
How well did you know this?
1
Not at all
2
3
4
5
Perfectly
11
Q

polyostotic lesions are caused by —

A

cancer (metastatic or round cell)
infections

multiple myeloma
How well did you know this?
1
Not at all
2
3
4
5
Perfectly
12
Q

what are the characteristics of aggressiveness of osseous lesions

A
How well did you know this?
1
Not at all
2
3
4
5
Perfectly
13
Q

is a sunburst lesion more or less aggressive than an onion skin lesion?

A
How well did you know this?
1
Not at all
2
3
4
5
Perfectly
14
Q

is geographic osteolysis more or less aggressive then permeative osteolysis

A

geographic- localized can be a cyst

moth eaten and permeative: usually from neoplasia

How well did you know this?
1
Not at all
2
3
4
5
Perfectly
15
Q

what kind of osteolysis

A

geographic

localized to one area

How well did you know this?
1
Not at all
2
3
4
5
Perfectly
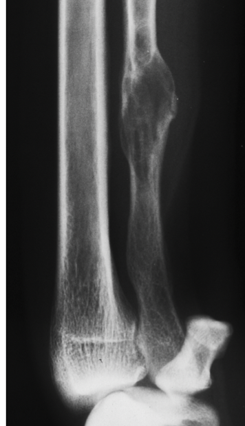
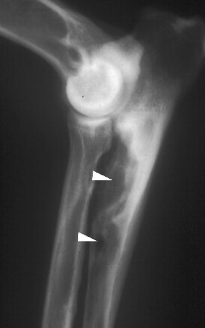
16
Q

what kind of osteolysis

17
Q

what kind of osteolysis

A

permeative

secondary to osteosarcoma

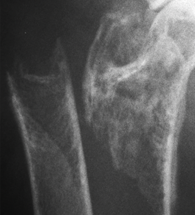
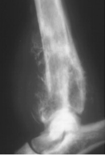
18
Q

describe transitional zone of this lesion

A

short well defined: less aggressive

has geographic osteolysis- cyst but normal bone is clear and close by

19
Q

describe the transitional zone of this lesion

A

long and poorly defined= more aggressive

can’t tell will healthy bone ends and sick bone starts

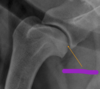
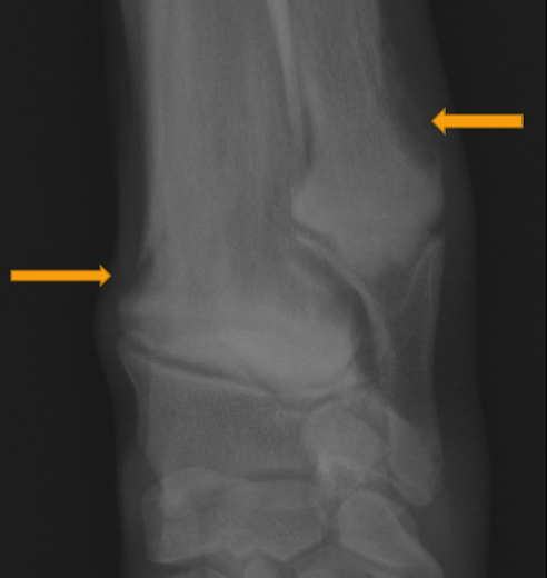
22
Q
A

yellow= articular space
blue= sub chondral bone
red= peri-articular bone

can not see articular cartilage in plain xray

23
Q

how to see cartilage on xray

A

use contrast
can see outline of cartilage

24
Q

an aggressive joint lesion will have — bone destruction and — bone production.

A

subchondral

Irregular, heterogeneous, interrupted intra- or peri-articular bone production

25
aggressive joint lesions will have --- of the articular space and --- of soft tissue
narrowing marked swelling
26
how to see joint effusion in stifle?
fat pad will be squished
27
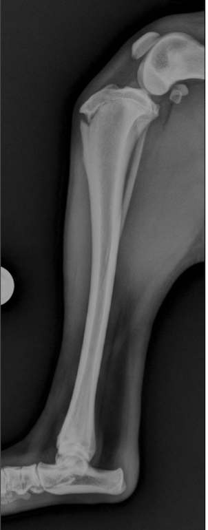
normal or abnormal?
abnormal on the right * joint effusion: fat pad is squished * Osteoarthritis (Degenerative Joint Disease – DJD) * Sub-chondral bone sclerosis * Osteophytes
28
what are some clinical signs of a non-agressive joint lesion
* Osteoarthritis (Degenerative Joint Disease – DJD) * Sub-chondral bone sclerosis * Osteophytes * joint effusion
29
non-aggressive joint lesion