Test 1: bone plating 2 Flashcards

(21 cards)

1
Q

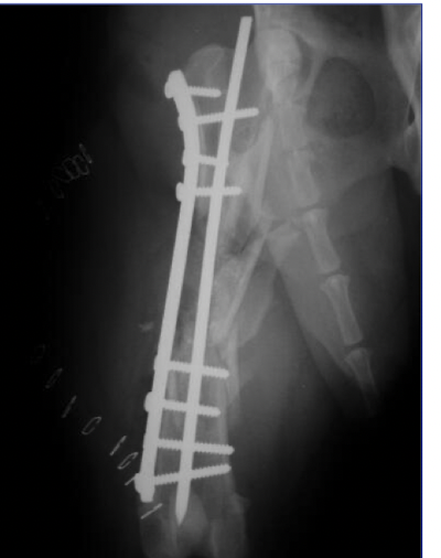
plate rod fixation is — with —

A

IM pin with bridging plate

the IM pin will help align bone and maintain bone length while increasing resistance to bending

How well did you know this?
1
Not at all
2
3
4
5
Perfectly
2
Q

plate/rod fixation will reduce strain on the plate by —. and will increase fatigue life of plate by —

A

2x
10x

IM pin and plate

How well did you know this?
1
Not at all
2
3
4
5
Perfectly
3
Q

how big of IM pin or plate/rod fixation

A

35-40% of medullary cavity

allow screw placement
avoids excessive rigidity

normograde insertion (top down)

How well did you know this?
1
Not at all
2
3
4
5
Perfectly
4
Q

how many screw for plate/rod fixation

A

4 cortices on each side of fracture at least

IM pin and plate, pin can get in the way and need to use monocortical screws

How well did you know this?
1
Not at all
2
3
4
5
Perfectly
5
Q

if there is a pelvic fracture then

A

there is usually at least 3 fractures

ilial fracture
sarcoiliac (SI) luxation
articular (acetabular)

How well did you know this?
1
Not at all
2
3
4
5
Perfectly
6
Q

3 criteria for fixation of pelvic fracture

A

on weight bearing axis

Ilial fractures
Sacroiliac (SI) luxations
Articular (Acetabular)

How well did you know this?
1
Not at all
2
3
4
5
Perfectly
7
Q

how to fix pelvic fracture

A

bone plating

used for ilial and acetabular fractures

can use lag screws for SI luxation

How well did you know this?
1
Not at all
2
3
4
5
Perfectly
8
Q

how to fix SI luxation

A

lag screw

How well did you know this?
1
Not at all
2
3
4
5
Perfectly
9
Q

peri-articular fractures are harder to fix because

A

less bone to work with

How well did you know this?
1
Not at all
2
3
4
5
Perfectly
10
Q

to fix peri-articular fractures you may need

A

more stringent post op restrictions

adjunct fixation: external coaptation (splint) and transarticular fixator (exfix)

need extra help to keep in place

How well did you know this?
1
Not at all
2
3
4
5
Perfectly
11
Q

three ways to fix peri-articular fracture

A

ex fix: circular or hybrid

cross pin fixation and coaptation(splint)

bone plating with specialty or locking plate or double plating

How well did you know this?
1
Not at all
2
3
4
5
Perfectly
12
Q

how to fix articular fracture

A
  1. Meticulous anatomic reconstruction
  2. Absolute stability- rigid fixation
  3. Preservation of blood supply
  4. Early and safe mobilization
How well did you know this?
1
Not at all
2
3
4
5
Perfectly
13
Q

— can be helpful to visualize a fracture

A

CT- gives 3D image

How well did you know this?
1
Not at all
2
3
4
5
Perfectly
14
Q

cartilage must be attached to — to survive

A

subchondral bone

How well did you know this?
1
Not at all
2
3
4
5
Perfectly
15
Q

arthrodesis

A

when too damaged to repair

fuse joint
remove cartilage
autogenous graft
rigid fixation

How well did you know this?
1
Not at all
2
3
4
5
Perfectly
16
Q

what to do if too damaged to repair

A

arthrodesis (fuse join)

amputation

17
Q

complications with articular fractures

A

OA

pain, lameness

misalignment of joint surface leading to cartilage damage

ankylosis- abnormal stiffening and immobility of a joint due to fusion of the bones.

18
Q

spinal fracture triage

A

assess other injuries
immobilize spine
neuro exam

no deep pain= not good

19
Q

how to fix spinal fracture

A

conservative: brace/ cage rest

surgical:
internal plates or composite fixation
ex fix

20
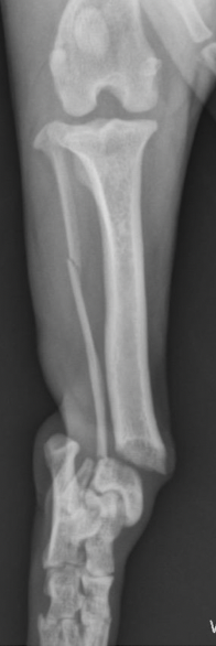
Q

— is a good fixation technique for comminuted diaphyseal fractures

A

Plate/rod

IM pin and plate

21
Q

Articular fractures must be repaired —

A

anatomically with rigid fixation