Test 2: 26 bone tumor Flashcards

(27 cards)

1
Q

— is the most common bone tumor in dogs

A

osteosarcoma

How well did you know this?
1
Not at all
2
3
4
5
Perfectly
2
Q

osteosarcoma is generally found where

A

75% on limbs
25 % axial: maxillary, spine, cranium, pelvis

How well did you know this?
1
Not at all
2
3
4
5
Perfectly
3
Q

what age dogs get osteosarcoma

A

bimodal
peak at 1-2 and 7-9 years old

How well did you know this?
1
Not at all
2
3
4
5
Perfectly
4
Q

clinical signs of OSA

A

lameness
progressive
painful firm swelling

How well did you know this?
1
Not at all
2
3
4
5
Perfectly
5
Q

what joints get OSA

A

away from the elbow, toward the knee

Nearly always metaphyseal

forelimb more common: distal radius and proximal humerus

How well did you know this?
1
Not at all
2
3
4
5
Perfectly
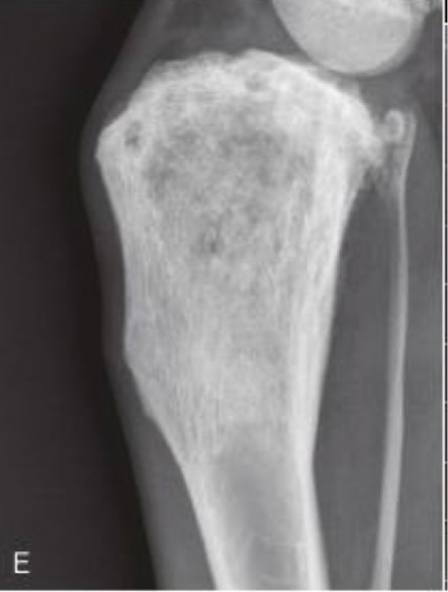
6
Q

xray of OSA will show

A

cortical destruction

lysis- moth eaten or permeative

periosteal proliferation: codman’s triangle

medium to long zone of transition

rarely crosses joint

How well did you know this?
1
Not at all
2
3
4
5
Perfectly
7
Q

true or false. OSA will cross joints

A

false

rarely crosses a joint

How well did you know this?
1
Not at all
2
3
4
5
Perfectly
8
Q

differentials for metaphyseal bone lesions

A

OSA

osteomyelitis (fungal or bacteria infection)

How well did you know this?
1
Not at all
2
3
4
5
Perfectly
9
Q

where can you find chondrosarcoma

A

usually axial
slow to metastasize
surgery can be curative

5-10 % of bone tumors

How well did you know this?
1
Not at all
2
3
4
5
Perfectly
10
Q

can surgery cure OSA

A

no
high mets, poor prognosis

How well did you know this?
1
Not at all
2
3
4
5
Perfectly
11
Q

can surgery cure chondrosarcoma

A

yes
usually axial tumor and slow to metastasize

How well did you know this?
1
Not at all
2
3
4
5
Perfectly
12
Q

fibrosarcomas are common in the —

A

mouth/oral cavity

surgery can be curative

How well did you know this?
1
Not at all
2
3
4
5
Perfectly
13
Q

Multilobular chondrosarcoma (MLO) are tumors of the —

A

calvarium

complete excision can be curative

How well did you know this?
1
Not at all
2
3
4
5
Perfectly
14
Q

tumor on diaphyseal of bone is usually

A

metastatic lesion from carcinoma and hemangiosarcoma from somewhere else in the body

How well did you know this?
1
Not at all
2
3
4
5
Perfectly
15
Q

bone marrow neoplasia is usually caused by

A

multiple myeloma, lymphoma

How well did you know this?
1
Not at all
2
3
4
5
Perfectly
16
Q

how to diagnose OSA

A

fine needle aspirate

biopsy

17
Q

what to use for core biopsy of OSA

A

Jamshidi needle

92% for dx neoplasia
82% accurate- tumor type

18
Q

staging of OSA

A

met to lungs, lymph nodes and bone

19
Q

what lab test if elevated is indicative of OSA

A

elevated ALP

with tumor at proximal humerus

20
Q

prognosis of OSA

A

3-12 months depending on treatment

pain management, surgery, chemo

21
Q

surgery for OSA

A

amputation

forelimb: forequarter: whole arm and scapula

hind limb: coxofemoral disarticulation, hemipelvectomy, mid- femoral amputation

22
Q

how does limb sparing surgery for OSA work

A

works on distal radial OSA

resect tumor and replace with allograft, or endoprosthesis

23
Q

palliative radiation therapy for OSA is by

A

coarse fractionation

higher dose, fewer treatments

main goal- pain relief

used when amputation not an option

24
Q

stereotactic radiotherapy for OSA

A

single very large dose delivered to tumor

can result in high fracture rate

25
chemo for OSA will prolong time to ---
metastasis usually tolerated well ## Footnote doxorubicin, carboplatin, cisplatin
26
osteosarcoma in cats is more common in
diaphyseal pelvic limbs 56-57% are on limbs can live 2-4 years post amputation
27
where is osteosarcoma in dog vs cat
**dog**: appendicular (75%), metaphyseal, forelimb, 3-12 months survival **cat:** appendicular (55-65%) diaphyseal hind limbs, 2-4 years survival