Trauma ÖNH Flashcards

(13 cards)

1
Q

För nödtrack/koniotomi
Vart går vi in?

A

Membrana krikothyroidea!

How well did you know this?
1
Not at all
2
3
4
5
Perfectly
2
Q

Larynxfraktur

  • Två frakturer iaf, framåt och bakåt vänster
  • Det blöder troligen, risken är att det orsakar svullnad

Inte säkert vi kan intubera, så vad bör vi göra?

A

Trakeotomi

How well did you know this?
1
Not at all
2
3
4
5
Perfectly
3
Q

Kapsyl
Kan denna personen andas tror du?

A

Kan inte komma ner i trakea (förmodligen kan de andas ju)

How well did you know this?
1
Not at all
2
3
4
5
Perfectly
4
Q

Perifer fascialisskada, måste fungera efter trauma, sy inom rimlig tid, hur lång tid ungefär som mest? Hur ska vi tänka kring fascialis efter trauma gällande dokumentation?

A

Ett par dygn
Skriv om fascialis fungerar efter trauma

How well did you know this?
1
Not at all
2
3
4
5
Perfectly
5
Q

Del av ytterörat (övre del) försvunnit vid trauma. Vad göra?

A

Plastprotes

How well did you know this?
1
Not at all
2
3
4
5
Perfectly
6
Q

Blomkålsöra

o Fibrotiserad hud ovanpå brosket
o Infektionsrisk

Vad göra?

A

Skicka till öronläkare så att blodet kan tömmas

How well did you know this?
1
Not at all
2
3
4
5
Perfectly
7
Q

Hematotympanon, benfraktur genom temporalbenet. Som gått in i mellanörat och fyller ut med blod ex. Dålig hörsel. Vad har temporalfrakturen orsakat för effekter, nerver från innerörat till hjärnstam, fascialis, hörsel, balansnerv (övre och undre) – akut yr om någon av dessa är comprimized

Hur ska tänka kring tvärfraktur och längsmedfraktur på temporalbenet?

A

Större risk att nerver som ex fascialis är skadad vid tvärsfraktur (jämfört med längsmed)

How well did you know this?
1
Not at all
2
3
4
5
Perfectly
8
Q

Hur ska trumhinnan se ut?

A

Den ska puta inåt

  • Trumhinnan kan börja puta ut vid frakturer på småbenen
How well did you know this?
1
Not at all
2
3
4
5
Perfectly
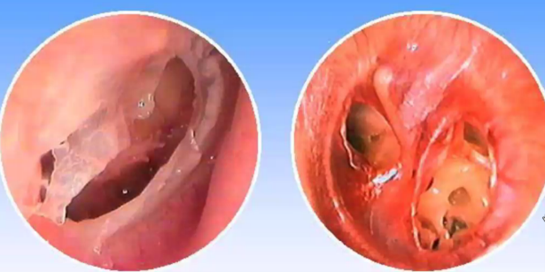
9
Q

Vad ser vi här? Vad ska vi göra?

A

Trumhinneperforation, remiss ÖNH! Läker oftast men måste tittas på.

How well did you know this?
1
Not at all
2
3
4
5
Perfectly
10
Q

Hur ska vi tänka kring en näsfraktur gällande tidsperspektiv?

A

Inte så bråttom, 2-3 dagar minst. För in långt föremål i näsan, rätta till (benet (os nasale) sitter ju högre upp). 10-14 dagar utan våld är det tillrättat

How well did you know this?
1
Not at all
2
3
4
5
Perfectly
11
Q

Vad ser vi på bilden? Vad göra?

A

Septumskada. Blödning som gör att nässkiljevägg putar ut åt sidorna, helt tätt. Akutremiss samma dag ÖNH

How well did you know this?
1
Not at all
2
3
4
5
Perfectly
12
Q

o 5 infästningar
o Effekter kan bli: asymmetri, hak margo infraorbitale, hak crista infrazygomatica, nedsatt ögonrörlighet – diplopi, enopthalmus (injunket öga), känselbortfall, nedsatt gapförmåga

Vilken fraktur handlar det om?

A

Os zygomatocusfraktur

How well did you know this?
1
Not at all
2
3
4
5
Perfectly
13
Q

Okej, det kommer in en patient efter trauma och röntgenbilden visar att ett ben är snett i ansiktet och enligt skolboken bör den reponeras. Det är väl bara att börja jobba eller?

A

Jämföra med gamla bilder! Så vi inte missar gamla skador och försöker åtgärda dem som om de vore nya!

How well did you know this?
1
Not at all
2
3
4
5
Perfectly