Week 5 Flashcards

(33 cards)

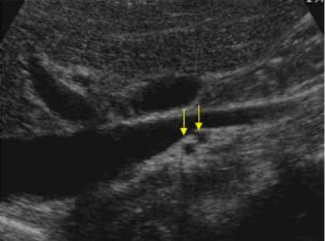
1
Q

what plane is this image taken in? arrows are pointing to what vessels?

A

2 right renal arteries

How well did you know this?
1
Not at all
2
3
4
5
Perfectly
2
Q

The portal venous system carries _________ and _________ from the _______ and abdominal organs to the _______ for _________ and _____________

A

Carries blood and nutrients from the bowel and abdominal organs
to the liver for metabolism and detoxification

How well did you know this?
1
Not at all
2
3
4
5
Perfectly
3
Q

The portal venous system includes all …

what is the exception?

A

Includes all veins that drain blood from the spleen, pancreas,
gallbladder, and gastrointestinal tract,

with the exception of the
lower rectum

How well did you know this?
1
Not at all
2
3
4
5
Perfectly
4
Q

What is the location of the portal system?

A

Main portal vein (MPV)

How well did you know this?
1
Not at all
2
3
4
5
Perfectly
5
Q

Main portal vein (MPV)

formed by…

anterior to…

courses….

A

◦ Formed by SPL V and SMV posterior to the pancreas neck

◦ Anterior to IVC

◦ Courses superior and posterior up to the hilum of the liver

How well did you know this?
1
Not at all
2
3
4
5
Perfectly
6
Q

The porta hepatic is located where?

what vessels enter and exit here?

A

located at hilum of liver

MPV and HA enter here

CBD not only enters but also exits here

How well did you know this?
1
Not at all
2
3
4
5
Perfectly
7
Q

What vessels are involved in the portal venous system?

A
  • Superior mesenteric vein
  • Splenic vein
  • Inferior mesenteric vein
  • Main portal vein
  • Right portal vein
  • Left portal vein
How well did you know this?
1
Not at all
2
3
4
5
Perfectly
8
Q

the main portal vein is formed by…

courses…

A

◦ Formed by union of the splenic vein and superior mesenteric vein
posterior to the neck of the pancreas

◦ Courses superiorly approximately 5-6 cm, then divides into the
intrahepatic right and left branches

How well did you know this?
1
Not at all
2
3
4
5
Perfectly
9
Q

Smaller veins also empty into the _________ with considerable
variation as to where they join the portal venous system, including __________, __________, and ____________

A

Smaller veins also empty into the main portal vein with considerable
variation as to where they join the portal venous system, including
- left and right gastric veins,
- pancreaticoduodenal veins,
- and gastroepiploic veins

How well did you know this?
1
Not at all
2
3
4
5
Perfectly
10
Q

◦ Longer and smaller than right
◦ Courses horizontally to the left
◦ Branches medial and lateral
◦ Feeds caudate and left lobe of the liver
◦ Posterior to ligamentum teres

A

LPV

How well did you know this?
1
Not at all
2
3
4
5
Perfectly
11
Q

◦ Branches into anterior and posterior branches
◦ Feeds right lobe of the liver

A

RPV

How well did you know this?
1
Not at all
2
3
4
5
Perfectly
12
Q

LPV

size?

courses?

branches?

feeds?

posterior to?

A

◦ Longer and smaller than right
◦ Courses horizontally to the left
◦ Branches medial and lateral
◦ Feeds caudate and left lobe of the liver
◦ Posterior to ligamentum teres

How well did you know this?
1
Not at all
2
3
4
5
Perfectly
13
Q

RPV

branches?

feeds?

A

◦ Branches into anterior and posterior branches
◦ Feeds right lobe of the liver

How well did you know this?
1
Not at all
2
3
4
5
Perfectly
14
Q

◦ Courses from inferior to superior as it drains the large intestine via
several smaller branches
◦ Joins the splenic vein to form the main portal vein

A

Superior mesenteric vein

How well did you know this?
1
Not at all
2
3
4
5
Perfectly
15
Q

◦ Courses laterally from the spleen and then medially, directly posterior
to the pancreas neck
◦ Joins the superior mesenteric vein to form the main portal vein

A

Splenic vein

How well did you know this?
1
Not at all
2
3
4
5
Perfectly
16
Q

Superior mesenteric vein

courses?

joins?

A

◦ Courses from inferior to superior as it drains the large intestine via
several smaller branches

◦ Joins the splenic vein to form the main portal vein

17
Q

splenic vein

courses?

joins?

A

◦ Courses laterally from the spleen and then medially, directly posterior
to the pancreas neck

◦ Joins the superior mesenteric vein to form the main portal vein

18
Q

◦ Courses from inferior to superior
◦ Drains the large intestine via several smaller branches
◦ Usually joins the splenic vein but can vary widely as to where it
actually joins the portal venous system

A

Inferior mesenteric vein

19
Q

Inferior mesenteric vein

courses?

drains?

usually joins?

A

◦ Usually joins the splenic vein but can vary widely as to where it
actually joins the portal venous system

20
Q

Size of Main portal vein

Diameter?

Length before dividing into L and R portal veins

A

◦ Approximately 13mm in diameter

◦ About 5-6cm long before it divides into right and left
portal veins

21
Q

Blood is filtered twice, 1st by… and 2nd by….

A

◦ 1st – by pancreas, spleen, gallbladder and gastrointestinal
tract

◦ 2nd – by liver

22
Q

Blood drains from liver sinusoids into

A

HVs then to IVC

23
Q

blood from the portal veins terminates in

A

liver sinusoids

24
Q

INTRAHEPATIC

A

Within the liver

25
EXTRA HEPATIC
Outside of the liver
26
◦ Enclosed by liver tissue ◦ Travel in TRIADS ◦ Arteries, bile ducts and PV’s ◦ Throughout liver lobes and segments ◦ +++Hyperechoic walls ◦ Anechoic lumen
INTRAHEPATIC
27
INTRAHEPATIC enclosed in? travel in?
◦ Enclosed by liver tissue ◦ Travel in TRIADS ◦ Arteries, bile ducts and PV’s ◦ Throughout liver lobes and segments ◦ +++Hyperechoic walls ◦ Anechoic lumen
28
Portal vein walls appear... why?
Portal vein walls appear distinctively brighter because of their high collagen content and sheath covering
29
Normal diameter of the main portal vein should not exceed...
1.3cm
30
In transverse the portal splenic confluence is posterior to...
pancreas neck
31
portal splenic confluence is the confluence of what vessels?
SMV and SPL V
32
Generally, laboratory values _________ indicate portal vein pathology
do not directly
33
A _____, or _____ however, will produce various laboratory and clinical data that could point to portal vein involvement
A tumor, or cirrhosis of the liver