2020 Flashcards

(155 cards)

1
Q

List four problems that can occur when instrumenting a tooth with curved roots using only stainless steel ISO handfiles? and give reasons for each of the problems?

A
  • Ledges - internal transportation of the canal due to working short of the working length and due to less flexibility of file
  • Perforation - excessive force is applied when using the instrument
  • Apical Zipping - due to the tendency of the instrument to straighten in a curved canal
  • Blockage of the canal - dentine debris getting packed in the apical portion of the root
How well did you know this?
1
Not at all
2
3
4
5
Perfectly
2
Q

Describe the process of canal shaping and cleansing (not obturation) using ProTaper Universal instrumentation of root canals. Assume that straight line access has been achieved and working length has been determined with a size 10 stainless steel hand file. Your apical finishing size should be 0.25mm

A
  • Assuming that dental dam has been placed and EWL determined and straight line access is achieved
  • Size 15-K file to enlarge the glide path to facilitate instrumentation
  • Use S1 to 2/3 of working length
  • Coronal flaring using Sx file to prepare the coronal third to 2/3 of EWL
  • Take radiograph to determine CWL
  • Use size 10 and 15 K-files for patency to CWL
  • Use S1 , S2 , F1 , F2 in order to correct working length to prepare the apical third of the canal using balanced force
  • Irrigate with sodium hypochlorite between each file to flush out debris
  • After preparation the irrigation potocol is 17% EDTA for 1 minute then 3% of NaOCl for 10 minutes injecting slowly using thumb
How well did you know this?
1
Not at all
2
3
4
5
Perfectly
3
Q

With regards to “non-Y2 amalgam”

Give 2 advantages in terms of performance of a non Y2 amalgam?

A
  • less creep
  • Higher mechanical strength
  • More corrosion resistant
How well did you know this?
1
Not at all
2
3
4
5
Perfectly
4
Q

How does the manufacturer reduce Y2 from the structure of amalgam?

A

Addition of Silver copper particles which reacts with silver tin particles , making tin less available for the y2 production

How well did you know this?
1
Not at all
2
3
4
5
Perfectly
5
Q

With regard to zinc free amalgam , why was it necessary for manufacturers to add zinc to amalgam?

A

Acts as a scavenger molecule which oxidises rather than the other consistuents

How well did you know this?
1
Not at all
2
3
4
5
Perfectly
6
Q

What effect could occur in a freshly placed amalgam restoration as a result of the presence of zinc in the amalgam alloy?

A
  • Delayed expansion as a result of contamination with moisture
How well did you know this?
1
Not at all
2
3
4
5
Perfectly
7
Q

Explain the mechanism of this effect ( slag formation)

A

Zinc can react with saliva or blood to form ZnO and produce hydrogen gas
* hydrogen increases pressure which may cause the restoration to rise leading to a higher chance of deformation under occlusal load and cause trauma to pulp

How well did you know this?
1
Not at all
2
3
4
5
Perfectly
8
Q

What is the main symptoms that the patient feels when slag forms from zinc in amalgam?

A
  • Pain
How well did you know this?
1
Not at all
2
3
4
5
Perfectly
9
Q

A 33-year-old patient presents with a discoloured upper left central incisor tooth. The patient has no caries or restorations of any kind in any teeth and is fit and healthy. The discolouration, first noticed two years ago, has been getting steadily worse. There are no symptoms, and the patient is concerned with the appearance. He recalls a blow to the tooth when playing sport a few years previously.

Determine how you would determine the aetiology of the discolouration?

A
  • Full history of trauma
  • TTP
  • Radiographs ( Periapical of 22)
  • Sensibility testing of 22 and 21
How well did you know this?
1
Not at all
2
3
4
5
Perfectly
10
Q

A 33-year-old patient presents with a discoloured upper left central incisor tooth. The patient has no caries or restorations of any kind in any teeth and is fit and healthy. The discolouration, first noticed two years ago, has been getting steadily worse. There are no symptoms, and the patient is concerned with the appearance. He recalls a blow to the tooth when playing sport a few years previously.

State 3 sequale of dental trauma that may influence your treatment planning for this tooth ?

A
  • Pulp health
  • Mobility - excessive, ankylosis
  • Root resorption
How well did you know this?
1
Not at all
2
3
4
5
Perfectly
11
Q

A 33-year-old patient presents with a discoloured upper left central incisor tooth. The patient has no caries or restorations of any kind in any teeth and is fit and healthy. The discolouration, first noticed two years ago, has been getting steadily worse. There are no symptoms, and the patient is concerned with the appearance. He recalls a blow to the tooth when playing sport a few years previously.

List and describe two restorative procedures you may carry out to improve the aesthetics of this tooth?

A
  • External vital bleaching using hydrogen peroxide which is applied to the tooth after placing dental dam and petroleum jelly on the gingivae to protect it , which can be applied for up to 5 times until desired colour is achieved
  • Porcelain veneer - by taking impressions of the tooth with or without preparing it depending on the operator judgement and sending it to the lab for the fabrication of a veneer which is then bonded to the tooth using a composite resin luting cement with silane coupling agent
How well did you know this?
1
Not at all
2
3
4
5
Perfectly
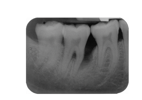
12
Q

Describe 2 patterns of bone loss evident in this radiograph?

A
  • Horizontal and vertical
How well did you know this?
1
Not at all
2
3
4
5
Perfectly
13
Q

What explains the development of bone loss on the mesial aspect of the lower right second premolar?

A
  • Presence of plaque accumulation (scalloping) in the distal aspect of the tooth , the canal curvature may have acted as a plaque trap
How well did you know this?
1
Not at all
2
3
4
5
Perfectly
14
Q

How can interproximal bone defects be classified in general

A

According the walls involved - 1,2,3 wall defects

How well did you know this?
1
Not at all
2
3
4
5
Perfectly
15
Q

Following hygiene phase therapy this patient’s oral hygiene was excellent but pockets of >6mm persisted in the lower right quadrant. Open flap debridement was performed

What feature of this patient’s disease which is on the radiograph is most likely to limit the success of this treatment and why?

A

Fucration involvement due to bone loss making access for cleaning difficult leading to poor prognosis of tooth

How well did you know this?
1
Not at all
2
3
4
5
Perfectly
16
Q

List the best possible outcome clinical and radiographic outcomes for this type of treatment in terms of the healed situation?

A
  • Pocket depths less than 4mm
  • Bleeding on probing less than 10%
  • Plaque scores less than 15%
How well did you know this?
1
Not at all
2
3
4
5
Perfectly
17
Q

Give two other treatment options for managing the lower right second molar ?

A
  • Guided tissue regeneration
  • Tunneling - Furcation
How well did you know this?
1
Not at all
2
3
4
5
Perfectly
18
Q

A patient comes in with a fractured MCC crown with core fractured inside the crown, patient has no pain and the tooth is not root treated

What 4 features of the remaining tooth tissue of the central incisor might indicate wither it can be successfuly restored or not?

A
  • Quality of tooth tissue remaining
  • Amount of tooth tissue remaining (ferrule should be 1.5 in height and width)
  • Type of fracture (if the pulp is involved)
  • Mobility and health of periodontal tissue
How well did you know this?
1
Not at all
2
3
4
5
Perfectly
19
Q

A middle-aged gentleman attended your surgery with the metal ceramic crown from his upper right central incisor in his hand. He has no pain. You notice that the dentine core has fractured off inside the crown. There is no history of previous root canal therapy.

The tooth is restorable , list and describe 3 ways in which the space can be restored in the short term ?

A
  • Rebond Fractured MCC crown using a temporary cement
  • Overdenture with a single acrylic tooth- on the remaining tooth structure
  • Vacuum formed splint with the fractured MCC crown or with an acrylic tooth crown
  • A temporary crown using a prefabricated tooth matrix done chair-side using temporary resin material
How well did you know this?
1
Not at all
2
3
4
5
Perfectly
20
Q

A patient has the following missing teeth: 38, 37, 36, 35, 45 and 46. You decide to provide a definitive removable partial denture. The patient has a well maintained mouth with no active disease and you can assume has suitable survey lines.

What supporting components would you use? list the type and surface?

A
  • 34 mesial rest - part of RPI system
  • 44 distal rest
  • 47 mesial rest
How well did you know this?
1
Not at all
2
3
4
5
Perfectly
21
Q

A patient has the following missing teeth: 38, 37, 36, 35, 45 and 46. You decide to provide a definitive removable partial denture. The patient has a well maintained mouth with no active disease and you can assume has suitable survey lines.

List the retentive components that you would use, indicate component name , FDI and position

A
  • 34 - gingivally approaching I-bar clasp with guide plate ( Part of RPI system)
  • 44 - Gingivally approaching I-bar clasp
  • 47 - Circumferential ring clasp
  • 43 - mesial rest for indirect retention
How well did you know this?
1
Not at all
2
3
4
5
Perfectly
22
Q

A patient has the following missing teeth: 38, 37, 36, 35, 45 and 46. You decide to provide a definitive removable partial denture. The patient has a well maintained mouth with no active disease and you can assume has suitable survey lines.

Name the major connectors and state the reasons for your choice including the choice of material

A
  • Lingual bar - CoCr - as it can provide good clearance for the patient to clean and is more comfortable in the mouth ( it need 8mm clearance on the lingual aspect)
How well did you know this?
1
Not at all
2
3
4
5
Perfectly
23
Q

A patient has the following missing teeth: 38, 37, 36, 35, 45 and 46. You decide to provide a definitive removable partial denture. The patient has a well maintained mouth with no active disease and you can assume has suitable survey lines.

Which feature of your design would provide indirect retention?

A

cingulum rest on 43
Major connector

How well did you know this?
1
Not at all
2
3
4
5
Perfectly
24
Q

The illustration is of an upper edentulous ridge , please identify the anatomical landmarks indicated ?

A

A - incisive papilla
B - Maxillary tuberosity
C - Palatine fovea

How well did you know this?
1
Not at all
2
3
4
5
Perfectly
25
In terms of complete dentures what is meant by stability?
Resistance of the denture to lateral movement
26
In terms of complete dentures what is meant by retention?
Resistance of the denture to vertical displacement ( away from the gingivae)
27
How do you achieve adequate retention in a conventional complete upper denture?
* Ensure denture have a good peripheral seal insuring good extensions * Accurate post dam placement * Maximise palatal coverage of the denture base * Ensure to have a balanced occlusion with opposing arch
28
In terms of biometric principles where are denture teeth located on ?
* Upper - buccal to the alveolar ridge * Lower - on the alveolar ridge
29
A fit and healthy 32 year-old patient requires surgical removal of his lower left wisdom tooth. He is very anxious about the surgery and has opted to have the treatment carried out under intravenous sedation. Why is written consent required in advance of the treatment day in sedation?
* So the patient can take their time to consider the information provided and allow a timeframe for the patient to decide thoroughly
30
A fit and healthy 32 year-old patient requires surgical removal of his lower left wisdom tooth. He is very anxious about the surgery and has opted to have the treatment carried out under intravenous sedation. What drug would a UK trained dentist select to sedate the patient intravenously? What preparation should be used?
* Midazolam 5mg/5ml - 2mg bolus titrated in 1mg increments every minute
31
A fit and healthy 32 year-old patient requires surgical removal of his lower left wisdom tooth. He is very anxious about the surgery and has opted to have the treatment carried out under intravenous sedation. What vital signs would you monitor and record before, during and after procedure?
* Heart rate * Blood pressure * Oxygen saturation * BMI (height and weight)
32
What is the antidote for midazolam?
Flumazenil 500mcg in 5 ml
33
A fit and healthy 32 year-old patient requires surgical removal of his lower left wisdom tooth. He is very anxious about the surgery and has opted to have the treatment carried out under intravenous sedation. List 3 instructions that the patient should follow post sedation for a minimum of 12 hours after he is discharged from your care ?
* Do not make important decision * Do not drive or operate heavy machinery * Rest
34
Your patient has sustained a displaced fracture of the right body of the mandible. Other than pain, bruising and swelling , name 6 clinical signs or symptoms commonly described in such injury?
* Bleeding * Facial asymmetry * Occlusal derangement * Trismus * Mobile teeth * Numbness in the chin and lower lips on the side of injury
35
Your patient has sustained a displaced fracture of the right body of the mandible. * What are two radiographic views appropriate to help in establishing the diagnosis of a mandibular fracture?
* OPT * PA mandible
36
Your patient has sustained a displaced fracture of the right body of the mandible. List three factors that may cause displacement of the fracture?
* Direction of fracture line * Magnitude of force applied * Attachment of muscles in the fracture site
37
List 3 treatment options for a fractured mandible?
* Leave and monitor * Open reduction with internal fixation * Intermaxillary fixation (IMF)
38
A 35-year-old male presents with pain, swelling and pus discharge around a partially erupted lower right wisdom tooth. He feels slightly unwell and has some mild facial swelling. Describe 6 features you would specifically consider, relating to the patient's history, extraoral examination or investigations?
* Is the airway compromised * Palpate swelling for tenderness, temprature * Ask patient of when did the swelling start and has it changes in size * Ask the patient if this pain happened before and frequency * Check mouth opening - note if limited * When did he start feeling unwell * Pain history * Take OPT * Source of infection and check opposing tooth * If the patient is allergic to antibiotics
39
A 35-year-old male presents with pain, swelling and pus discharge around a partially erupted lower right wisdom tooth. He feels slightly unwell and has some mild facial swelling. What is the appropriate immediate management of this patient?
* Check if airway is compromised - if compromised refer for emergency management * Reassure patient and gain consent * Incise and drain abscess under LA * Prescribe analgesia * Prescribe antibiotics as patient with systemic symptoms * Advise patient on CHX mouthwash * Consider extraction of wisdom tooth if recurrent pericoronitis * Adjust opposing occlusion to relieve area if trauma is from opposing tooth
40
What are the two main branches at risk of damage during removal lower wisdom teeth and which structures would be affected in the event of such damage?
* Lingual nerve - sensation of the anterior 2/3 of tongue * Inferior alveolar nerve - lower lips and chin
41
Give a differential diagnosis of this lesion?
* Condyloma acuminata * Squamous cell carcinoma * Squamous cell papilloma
42
If you suspected that the lesion is malignant , name three histological features that need to be identified in the biopsy?
* Mitotic activity * Cellular and Neuclear atypia * Architectural changes in the epithelium such as dysplasia
43
List 3 different clinical presentation of oral squamous cell carcinoma?
* Exophytic lesion * Ulceration * Leukoplakia or Erythroplakia
44
The pathology report comes back stating that the lesion is benign , what do you think have cause this growth to appear? and how you would confirm this ? how would you confirm this?
HPV - by detecting the HPV DNA through a PCR test
45
A patient present with evidence of bony expansion of their maxilla The patient is elderly and has a high alkaline phosphate level What condition might have caused this?
Paget's disease
46
A patient present with evidence of bony expansion of their maxilla The patient has a raised serum calcium level What condition might have caused this?
Hyperparathyroidism
47
A patient present with evidence of bony expansion of their maxilla The patient is 15 years old and has bilateral maxillary expansion What condition might have caused this?
Cherubism
48
A patient present with evidence of bony expansion of their maxilla Radiography shows a radiolucency with generalised loss of lamina dura What condition might have caused this?
Paget's disease
49
A patient present with evidence of bony expansion of their maxilla The patient has pigmented spots on their skin and has precocious puberty What condition might have caused this?
Albright's syndrome
50
A patient presents with pain in their face. Which condition would be the most likely diagnosis in the following scenarios 1. middle-ages female patient with constant burning sensation affecting the palate and tongue, with erythema of the mucosa 2. male patient with a recent onset dull throbbing pain over the maxilla worsened by bending over to tie his shoes 3. Young, adult female patient with episodic unilateral peri-orbital pain lasting 20 minutes with nasal congestion , the pain being brought on by shaking of the head 4. Elderly female patient with sharp, shooting pain over the right cheek brought on by eating and associated with lacrimation 5. Elderly female patient with unilateral , throbbing temporal pain and loss of muscular power around the shoulders
1. burning mouth syndrome 2. maxillary sinusitis 3. chronic paroxysmal hemicranias 4. trigeminal neuralgia 5. temporal arteritis
51
A patient is referred to the Oral Medicine clinic for evaluation of her dry mouth Sjogren's syndrome can be part of the spectrum of autoimmune characteristic features are often seen in salivary gland biopsies in this condition, from which part of the orofacial structures is it the most common to take a salivary gland biopsy as part of the investigation of suspected Sjogren's?
Labial gland
52
List two features on the histological examination of a labial gland biopsy that would be compatible with Sjogren's syndrome?
* Collection of more than 50 lymphocytes around a duct - lymphocytic foci * Acinar atrophy
53
Focal swelling in the major salivary glands is usually associated with salivary malignancy. What feature in relation to a parotid gland lump may suggest a malignant rather than a benign tumour?
* Asymmetrical * Causes obstruction * Causes pain and facial palsey
54
What is the most common salivary gland tumour in the parotid gland?
Pleomorphic adenoma
55
What is the most common salivary gland tumour in the salivary glands of the upper lip?
Adenoid cystic carcinoma
56
What is the most common salivary gland tumour of the salivary glands in the soft palate?
Mucoepidermoid carcinoma
57
List two ways that the skeletal base relationship may be assessed clinically in the anteroposterior plane.
* Visually with the patient Frankfort plane parallel to the floor * Palpate skeletal bases using Kettles method
58
Cephalometric analysis reveals that a patient has an ANB angle of 8 degrees. What does this suggest about their skeletal pattern?
The maxilla is more than 3mm anterior to the mandible meaning they have moderate skeletal class 2
59
List two ways that the skeletal pattern can be assessed clinically in the vertical plane?
* FMPA angle * Upper anterior face height to lower anterior face height
60
What is meant by a class III incisor relationship?
* The mandibular incisors lie anterior to the cingulum plateau of the maxillary incisors * with reduced or reversed overjet
61
What is a balancing extraction and why might you consider a balancing extraction?
* When the same tooth on the opposite side of the same arch is also extracted , used to prevent midline shift
62
A child presents with the upper left permanent central incisor in crossbite , when is the ideal time to treat this type of malocclusion?
As soon as the problem has been detected
63
List 3 features of an anterior crossbite that would make it favourable for treatment with a removable appliance?
* Palatally tipped tooth in crossbite * Space is present * Good overbite to aid retention
64
What active component can be used for correcting an anterior crossbite?
Z- spring 0.5mm HSSW on palatal aspect of tooth
65
What retentive components to use to correct an anterior crossbite in a child?
* Adams crib on the 6s - 0.7mm HSSW * Adams crib on the primary 4s - 0.6mm HSSW
66
What anchorage considerations to correct an anterior crossbite in a child in one tooth?
Present as only moving on tooth
67
What baseplate modifications to correct an anterior crossbite in a child in one tooth?
Self-cure PMMA with flat posterior bite plane
68
What other than z-spring can be used to correct an anterior crossbite?
* Palatal finger spring 0.5mm HSSW on the tooth
69
A 13-year-old female patient with discoloured upper incisors is very upset by the appearance of these teeth. It is affecting her at school and she won’t smile. Apart from the discolouration she is clinically symptom free and the teeth are vital. What baseline information or special tests would you undertake pre-treatment?
* Shade * Clinical photographs * Informed consent which is written and signed * Sensibility testing * Full history * Radiographs if indicated * Diagram of defect
70
You decide to provide a course of microabrasion using 18% hydrochloric acid with pumice , outline the eight stages in the treatment?
* PPE for the dental team and patient * Clean all teeth affected with pumice and water * Apply petrolium jelly to protect the gingivae * Place dry dam and wedjets + sodium bicarbonate gaurd behind the teeth * Apply HCL pumice slurry to teeth using a slow rotating rubber cup for 5 seconds for a maximum of 10 applications * Wash teeth with aspiration after every 5 second application and review color and shape and reapply sodium bicarbonate * Once to desired result , apply Fluoride Varnish (Profluorid) * polish with finest sand disc paper and toothpaste
71
What information would you give a patient that has just finished microabrasion treatment?
Warn patient to avoid eating or drinking high coloured foor for the next 24h to avoid staining , review in 4-6 weeks
72
You decide to provide a course of vital bleaching following microabrasion , what bleaching agent will you use and at what strength?
* Carbamide peroxide 10%
73
A 12-year-old girl presents to you with developmentally absent upper lateral incisors, second premolars and third molars. What clinical term describes this condition?
Hypodontia
74
A 12-year-old girl presents to you with developmentally absent upper lateral incisors, second premolars and third molars. The girl is very concerned about the aesthetics of her upper anterior teeth. Outline two potential treatment options.
* Restorative options - bridges or RPD * Orthodontic treatment - space closure (simple or space closure plus)
75
List 2 syndromes associated with missing teeth?
* Cleft lip and palate * Down's syndrome
76
A 12-year-old girl presents to you with developmentally absent upper lateral incisors, second premolars and third molars. You decide to refer the girl to a multidisciplinary team. List 3 of the specialities that should Ideally be represented on the team?
* Restorative dentistry * Paediatric dentist * Orthodontist
77
Percentage of people having a missing primary teeth? and percentage having a missing permanent teeth?
Primary - less than 1% Permanent - less than 6%
78
A 3-year-old child is brought to your surgery following trauma to his upper left central incisor. Suggest four aspects of the presentation and history which should make you suspect non-accidental injury?
* Injury in the triangle of safety * Injury do not match explanation given * Delay in seeking help * Multiple injuries with different healing rates
79
List two possible sequelae to the primary dentition following the trauma?
* Discolouration of tooth * Delayed exfoliation
80
A 3-year-old child is brought to your surgery following trauma to his upper left central incisor. List 4 possible sequale to the permanent dentition following the trauma?
* Delayed eruption * Resorption of the tooth * Ectopic position of the tooth * Change in crown/root morphology
81
This is an extract from an advertisement in a dental magazine State the research question using the PICO framework?
Population - smokers Intervention - shiny sheen Comparison - brand market leader Outcomes - preventing tooth staining
82
What kind of study is this?
Randomised control trial
83
What two steps have been taken to minimise bias in this study?
* Blinding * Random allocation
84
Explain why random allocation and inclusion and exclusion criteria minimise bias?
* Both groups are randomly allocated reducing the selection bias * Blinding ensures that the assessor does not influence the outcome of the treatment
85
How would you communicate the risk ratio (RR) to a colleague
The results of this study suggests that there is 9% reduction in the risk of Shiny Sheen causing tooth staining, than the brand market leader
86
Is there sufficient evidence that Shiny Sheen is effective at preventing tooth staining in the population of smokers? and why?
NO , the confidence interval overlaps 1 which means that the results are statistically insignificant
87
List four additional pieces of information you would wish to know before drawing firm conclusions on whether or not you would consider recommending Shiny Sheen as a smokers’ toothpaste.
* Information about smoking habit frequency and duration * Oral health of participants at baseline * Information of compliance of participants with using the intervention * Information on any side effects the participants experienced due to the intervention * Any follow up input from participants after the 1 month period and participant satisfaction
88
A 27-year-old male with congenitally absent maxillary lateral incisors attends your practice. He has been wearing an upper acrylic denture to replace his missing teeth for the past 10-years and now wishes to discuss alternative treatment options. After discussion with the patient, you decide to restore the spaces with bridgework. Which type of bridgework design would be most suitable for this case? and which teeth would you choose as an abutement?
Cantilever resin retained bridge , tooth 11 and 21
89
What clinical records would you obtain from the patient to allow dental technician to manufacture a resin retained bridge?
* Master Impression of the patient mouth after preparation of abutements * Tooth shade * Bite registration * Occlusal records - OVD , RFH , FWS
90
Other than bridgework, what alternatives are there to replace missing space?
* Implants * RPD
91
What are the advantages of resin modified glass ionomer cement ?
Has resin particles * Higher mechanical strength * Lower solubility than GIC * Sets on command with light * Chemically bonds to tooth * Has fluoride release
92
Why is using conventional glass ionomer cement as a luting cement is wrong?
* May absorb moisture * Weak mechanically - prone to caries ingression
93
What luting cement would you to cement a metal post and core?
GIC
94
which luting cement would you use to cement a porcelain veneer?
light cure composite resin luting cement with silane coupling agent
95
What would you use to cement a fibre post?
Dual cure composite luting cement
96
Patient attends with severe toothache associated with tooth 37 which is tender to percussion What 3 questions would you ask this patient that may lead you to a diagnosis of the cause?
* When did the pain start? and decribe the character of it? * Is there any factors that helped relieve the pain or make it worse? and how? Did analgesics work? * Are you stressed?
97
From the photograph and radiograph, list 3 findings that are relevant to the patient symptoms of pain from 37?
* Secondary caries under amalgam restoration on 37 (distal) * Fractured distobuccal cusp on 37 * Defective restoration margins on MOD amalgam on the 37 with discolouration
98
What is the apical diagnosis of tooth 37 ? TTP positive and pain
Symptomatic Apical periodontitis
99
Which immediate pain relief treatment options will you offer your patient on completion of your assessment of tooth 37?
* LA * Remove restoration and caries , pulp extirpation and temporary restoration or XLA
100
Give four reasons why non-surgical therapy may fail to eliminate bacteria from periodontal pockets?
* Pockets may be blocked (healed over calculus) * Pockets may be too deep that instruments cannot reach the bacteria * Patient poor compliance with OHI leads to persistent bacteria * Clinician may lack instrumentation skills
101
List three potential problems that limit the usefulness of oral antibiotics in the treatment of periodontitis.
* Antibiotics may not be able to penetrate the biofilm * Antibiotics may not reach sites of periodontal bacteria * Due to antibiotic resistance
102
You are seeing a patient with a lateral periodontal abscess in tooth 22, they have accompanying systemic symptoms. The patient is keen to keep the tooth, describe how you should manage this as a dentist?
* Incise and drain abscess or drain through pocket ( LA if needed) * Supra and sub-gingival PMPR short of the base of the pocket to avoid spread of infection or traumatising the pocket * Prescribe antibiotics to the patient due to systemic symptoms ( check allergies) *Prescribe CHX mouthwash * Advise patient on analgesia and OHI
103
A 53 year old female patient requests new complete dentures. She has worn the present set for 15 years and they are now becoming loose. Her medical history is clear. The photograph shows her upper arch with the dentures removed. The palatal denture-bearing mucosa is red. Which organism is most likely to have proliferated in the denture bearing area?
Candida albicans
104
A 53 year old female patient requests new complete dentures. She has worn the present set for 15 years and they are now becoming loose. Her medical history is clear. The photograph shows her upper arch with the dentures removed. The palatal denture-bearing mucosa is red. Give 3 most likely contributing factors to this infection?
* Poor denture hygiene * ill fitting denture * Wearing the denture all the time and not taking them off at night
105
List 4 interventions which would form a good treatment plan for a patient presenting with denture induced stomatitis?
* Denture hygiene instructions * Denture wearing instructions * Oral hygiene instructions * Antifungal medication/ CHX mouthwash * Denture adjustment if ill fitting
106
What might have happened to the occluding surfaces of the denture teeth after 15 years (1 mark) and can anything be done to the existing dentures to rectify this in the short term (1 mark)?
Wear , autopolymerising resin added to build the teeth back
107
You have just completed surgical removal of tooth 37 which fractured during an attempted forceps extraction. Your patient is a 21-year-old male with poorly controlled asthma. You intend to prescribe analgesia for the patient. Name a suitable analgesic for this patient that you are allowed to prescribe on an NHS prescription?
* Paracetamol
108
You have just completed surgical removal of tooth 37 which fractured during an attempted forceps extraction. Your patient is a 21-year-old male with poorly controlled asthma. You intend to prescribe analgesia for the patient. Which group of analgesics would you avoid in this patient?
NSAIDS
109
List all the essential information that you should include when you are writing an NHS prescription.
* Patient details - name, address , age , date of birth and CHI * Prescriber details : name, address and contact number of practice * Drug name * Drug preparation and dose * Duration of treatment * Frequency of drug * Instructions on how to take the drug * Prescriber signature * Date of prescription and cross out any free space
110
Where would you refer to for the dose and possible complications if a drug you are prescribing?
BNF
111
How long is an NHS prescription for a non controlled drug valid
6 months from the date of prescription
112
A 48-year-old female presents complaining of fluid escape from her nose when she drinks. She had tooth 27 extracted 6 months ago. This was a difficult extraction and she says she has been aware of a ‘hole in her gum’ ever since. You examine her and find a communication between the oral cavity and maxillary sinus. What is the correct clinical term for this problem?
* Oro-antral fistula
113
A 48-year-old female presents complaining of fluid escape from her nose when she drinks. She had tooth 27 extracted 6 months ago. This was a difficult extraction and she says she has been aware of a ‘hole in her gum’ ever since. You examine her and find a communication between the oral cavity and maxillary sinus. Other than fluid escape from the nose when drinking, list 5 patient symptoms that may be elicited on taking the history?
* Xerostomia * Difficulty eating and speaking * Whistle sound when breathing * Halitosis and bad smell * Unable play sound instruments or smoke * Change in taste
114
Briefly describe the operative procedure to treat OAF, assuming appropriate anaesthesia has been achieved
* Remove any necrotic tissue and irrigate * If less than 2mm , encourage bleeding and suture margin to achieve haemostasis * If more than 2mm - carry out a buccal advancement flap and suture
115
On examination there were creamy-white plaques on the oral mucosa, which could be easily removed to leave an erythematous base. What is the most likely clinical diagnosis?
Oral pseudomembranous candidosis
116
two conditions which might be associated with development of pseudomembranous candidosis
* Diabetes (poorly controlled) * HIV (immunocompromised)
117
What is one advantage and disadvantage of mouth swab?
* Site specific * Can be painful
118
What is one advantage and disadvantage of oral rinse?
* More comfortable to the patient * Not site specific so includes microbes which may not be relevant to the diagnosis
119
What should the clinician request the laboratory to do with the microbiology sample?
To identify the microbiological culture and microscopic examination and susceptibility to antifungals.
120
The patient’s condition is sensitive to Fluconazole. Drug interactions may be important with this medication. Name two medicines with which fluconazole may interact and the consequence of the drug interaction
* Warfarin - increase warfarin concentration in the blood therefore increase the risk of bleeding * Statins (simvastatin) - increase the risk of statin side effects such as myopathy and hepatoxicity
121
Why does herpes simplex becomes recurrent?
* Due to its ability to establish latency in the host after initial infection at young age , where it stays dormant in the trigeminal ganglion , reactivation to the virus happens due to triggers such as stress and immune suppression causing the virus to replicate and lead the clinical presentation
122
Give a topical preparation suitable for treating Herpes labialis, including drug name, preparation strength and instructions to be given to the patient
Aciclovir cream 5% Send = 2g Label = Apply to lesion every 4 hours (5 times daily) for 5 days
123
If a patient with herpes labialis , with persistent lesions that do not respond to aciclovir cream , what other preparation would you give to the patient?
Aciclovir tablets 200mg 25 tablets, 5 tablets daily for 5 days
124
Name 3 known triggers for recurrent herpes simplex?
* Illness or fever (weakened immune system) * Stress * UV light exposure (sun exposure)
125
A fit, healthy 24-year-old female presents with recurrent oral ulceration affecting the buccal mucosa which arise in crops of 2 - 10 and last for 10 days before healing without scarring. She has always had the occasional mouth ulcer but for the past three months she is getting several ulcers at a time with only a short break between one episode and the next. What is the clinical diagnosis?
Recurrent apthous stomatitis
126
A fit, healthy 24-year-old female presents with recurrent oral ulceration affecting the buccal mucosa which arise in crops of 2 - 10 and last for 10 days before healing without scarring. She has always had the occasional mouth ulcer but for the past three months she is getting several ulcers at a time with only a short break between one episode and the next. What blood investigations appropriate for this patient?
* Coeliac disease screening test * Haematinics (iron, folate and vitamin b12) * FCB
127
What is the likely diagnosis based on these blood tests?
* Microcytic anaemia
128
Give 2 possible causes for microcytic anaemia?
* Iron deficiency * Thalassemia
129
give three topical therapies which could be offered for control of the symptoms of oral ulceration?
* Chlorhexidine mouthwash * Benzydamine mouthwash * Betamethasone mouthwash
130
What is a supernumerary tooth?
* An additional tooth or toothlike entity to the normal number in the dentition
131
In which part of the mouth do most supernumerary teeth occur?
Upper anterior ( between 11 and 12)
132
Supernumerary teeth can be classified according to their position or shape. List and describe four different morphological types of supernumerary teeth you know?
* Conical - peg shaped * Tuberculate - barrel shape and usually in a pair * Supplemental - same morphology as original tooth * Odontome - can be complex of compound made out of dentine, pulp and enamel tissue
133
What 4 effects can supernumerary teeth have upon the permanent dentition?
* Delayed or failed eruption * Crowding * Diastemas * Ectopic path of eruption * Impaction
134
A 9-year-old presents and you discover that they have a persistent thumb sucking habit. What occlusal changes might you see?
* Proclined uppers incisors * Retroclines lower incisors * Anterior open bite * Unilateral posterior crossbite * Narrow upper arch
135
What is the BSI definition of class 2 division 1?
Lower incisors edge occludes posterior to the cingulum plateau of the upper incisors with the upper incisors proclined of average inclincation * overjet is increased
136
A patient wears a Twin-block appliance for 9 months and their overjet is reduced from 10mm to 2mm. List six possible changes that functional appliances can produce to allow this.
* Tipping of teeth - retroclined upper incisors proclined lower incisors * Dentoalveolar compensation Maxillary incisors move towards palate (posteriorly) Mandibular incisors move anteriorly towards lips * Restrict maxillary growth * Promotes mandibular growth
137
You have conducted a clinical and radiographic examination of a 6 year old child. You have decided to provide a primary molar pulpotomy on tooth 55. 4 indications for a pulpotomy on a primary molar?
* Medical history precludes extraction * Pulpal exposure more than 1mm * The primary tooth should be maintained as successor is absent * Good patient co-operation * Caries into 2/3rds of dentine
138
Describe the stages involved in the primary molar pulpotomy?
* LA + dam + caries removal if present and remove pulp chamber and access the pulp * Remove coronal necrotic pulp tissue 2-3mm using high speed and irrigate until healthy pulp is achieved * Achieve haemostasis by CW soaked in saline in the pulp chamber for 2 minutes , once achieved * Then restore tooth by placing CoOH and GI then SCC * Give post operative instructions
139
When factors during a pulpotomy influence the decision of proceeding to pulpectomy?
* Hyperaemic pulp or no bleeding (haemostasis is not achieved) * Extent of infection is beyond coronal pulp
140
A 9-year-old child with Down Syndrome attends your clinic for the first time for routine care. Name 4 associated medical conditions that down syndrome children have an increased chance of presenting with during their childhood?
* Congenital heart defects * Hearing loss (deafness) * Leukaemia * Epilepsy
141
What are four classical presenting extra oral features involving the head and neck of a child with down syndrome?
* Flat nasal bridge * Widely spaced almond shaped eyes * Small low-setting ears * Class 3 skeletal base profile * Brush-field spots on iris
142
Name 6 possible intra-oral manifestations of down's syndrome?
* Microdontia * Hypodontia * Macroglossia * Fissured tongue * Anterior open bite * Increased risk of caries and periodontal disease * Malocclusion
143
Discuss the impact of the patient’s condition of down's syndrome on the preventive care and treatment that will be provided? Give six examples.
The patient is at high caries risk so enhanced prevention is necessary due to the higher risk of developing caries and periodontal disease , the patient may require the following in their prevention: * High fluoride toothpaste 1500ppm as the child is 10 years old * Brushing and oral hygiene instruction with demonstration , chairside at every dental visit * Education about their high risk of caries and making sure they understand the impact of the condition on their dentition * Fluoride varnish 4 times a year * Fissure seal all pits and fissures using GIC due to poor moisture control * Diet diary and diet advice to avoid sugary drinks and snacks and replace them with healthy options * Take radiographs (bitewings) every 6 months to detect any early lesions * Increase number of recall appointments * Consent capability and if they investigate who is the legal guardian * Advice on the use of CHX mouthwash
144
You have started work in a new practice and an 11 year old patient attends for a check-up. In her notes you see that she sustained a lateral luxation injury to tooth 11 around 18 months ago. Suggest six clinical assessments or investigations you would carry out as part of the patient’s trauma review. (3 marks)
* Colour * Mobility * TTP * Sinus - tenderness in sulcus * Sensibility testing - EPT and ECT * Radiographs of the tooth (Periapicals)
145
What type of resorption is affecting tooth 11? What makes it progress and what is the treatment plan?
* External inflammatory root resorption * Infection of bacteria due to pulp necrosis following trauma makes it progress * Remove cause , root canal treatment
146
You warn the patient and parent that the long term prognosis for the tooth is poor if the resorption fails to stop. What would you tell them about immediate, intermediate and long-term treatment options should the resorption continue?
* Immediate - manage pain with analgesia * Intermediate - monitor the tooth clinically and radiographically to detect ant changes * Long term - extract the tooth and maintain space for definitive restoration such as implant, resin retained bridge or removable partial denture
147
List three side effects directly associated with the chronic use of the drug Cocaine on the structures of the head and neck and oral tissues
* Oral ulceration * Wear due to bruxism * Perforation of the nasal septum
148
List two complications that may arise in the dental surgery if local anaesthetic with adrenaline is administered to a patient who has recently abused cocaine?
* Hypertensive crisis * Cardiac arryhthmia * Severe mood swings
149
List 4 negative side effects of opiate abuse?
* Addiction * Vomiting and nausea * Drowsiness * Headaches * Respiratory depression * Death
150
What chemical class of drugs does methadone belong to ?
* Synthetic Opioids
151
Methadone can be taken orally. Two formulas exist, one which contains sugar and an alternative formula which is sugar-free. List two environmental or lifestyle factors which increase the risk of dental caries for an individual who is prescribed methadone ?
* Poor oral hygiene * Low socioeconomic status * High sugar diet
152
Methadone can be taken orally. Two formulas exist, one which contains sugar and an alternative formula which is sugar-free. Name one negative aspect associated with the prescribing of sugar free methadone which may lead to harm ?
Sugar free methadone lacks chloroform therefore the patient can inject this increasing the risk of adverse effects such as HIV transmission of disease through needle use
153
Give 4 reasons for cleaning surgical instruments?
* Remove gross contamination * Remove any restorative material from the instrument * Aid disinfection process of instrument * Ensures that equipment is functioning optimally
154
Why is testing of washer disinfector and sterilisers so important?
* It is a medical legal requirement and ensure it is working optimally , effectively and efficiently
155
What are the five stages of the washer disinfector and explain why each stage is important ?
* Flush - remove gross debris * Wash - mechanical (water) and chemical (detergent) and heat removes any debris to aid disinfection and prevent debris from sticking to instrument during disinfection * Rinse - to remove any residue of detergent by rinsing the instruments by water * Disinfection - steam helps kills microorganisms * Dry - removes moisture the instruments are dry after the process