Partial dentures Flashcards

(45 cards)

1
Q

3 advantages of partial dentures?

A
  • improve aesthetics
  • improve function - speech and mastication
  • prevention of toothwear and drifting
How well did you know this?
1
Not at all
2
3
4
5
Perfectly
2
Q

5 disadvantages of partial dentures?

A
  • increase in plaque accumulation
  • periodontal disease risk
  • increased caries rate
  • damage to underlying soft tissue
  • damage to remaining teeth
  • gingival stripping
How well did you know this?
1
Not at all
2
3
4
5
Perfectly
3
Q

4 things to include in assessment for designing a partial denture?

A
  • Current denture assessment
  • Oral health and risk factors
  • Assessment of occlusion
  • Assessment of index teeth
How well did you know this?
1
Not at all
2
3
4
5
Perfectly
4
Q

What is kennedy class 1

A

bilateral free end saddle

How well did you know this?
1
Not at all
2
3
4
5
Perfectly
5
Q

What is kennedy class 2?

A

Unilateral free end saddle

How well did you know this?
1
Not at all
2
3
4
5
Perfectly
6
Q

What is kennedy class 3

A

Unilateral bounded saddle

How well did you know this?
1
Not at all
2
3
4
5
Perfectly
7
Q

What is kennedy class 4?

A

Anterior bounded saddle that crosses the midline

How well did you know this?
1
Not at all
2
3
4
5
Perfectly
8
Q

KENNEDY CLASS?

A

CLASS II MOD 1

How well did you know this?
1
Not at all
2
3
4
5
Perfectly
9
Q

KENNEDY CLASS?

A

CLASS II MOD 2

How well did you know this?
1
Not at all
2
3
4
5
Perfectly
10
Q

3 reasons why to Survey casts?

A
  • determine the path of insertion
  • determine the position and depth of undercuts
  • determine the presence of guide planes
How well did you know this?
1
Not at all
2
3
4
5
Perfectly
11
Q

What is the path of displacement?

A

the direction in which the prosthesis tends to be dislodges during function

How well did you know this?
1
Not at all
2
3
4
5
Perfectly
12
Q

If the path of insertion and the path of displacement are the same this will increase retention, True or False?

A

False , if they are different the retention is better

How well did you know this?
1
Not at all
2
3
4
5
Perfectly
13
Q

3 Advantages of CoCr partial denture over acrylic?

A
  • Stronger
  • less bulky
  • Better tolerated
How well did you know this?
1
Not at all
2
3
4
5
Perfectly
14
Q

2 Disadvantages of Cocr compared to acrylic?

A
  • more expensive
  • difficult to add to
How well did you know this?
1
Not at all
2
3
4
5
Perfectly
15
Q

2 advantages of acrylic over CoCr partial denture?

A
  • Cheaper
  • easier to add to
How well did you know this?
1
Not at all
2
3
4
5
Perfectly
16
Q

3 disadvantages of acrylic compared to CoCr?

A
  • Weaker
  • Thicker (bulky)
  • less well tolerated
How well did you know this?
1
Not at all
2
3
4
5
Perfectly
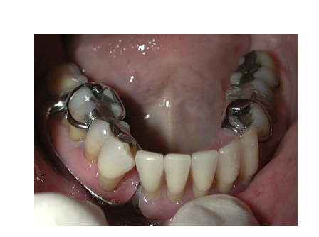
17
Q

Which connector?

A

Buccal bar due to lingually tilted teeth

How well did you know this?
1
Not at all
2
3
4
5
Perfectly
18
Q

which connector?

A

Lingual bar provides clearance for cleaning and more comfortable to the patient

How well did you know this?
1
Not at all
2
3
4
5
Perfectly
19
Q

Which connector?

A

Lingual plate

20
Q

Which connector ?

A

posterior palatal bar

21
Q

Which connector?

A

Mid palatal bar

22
Q

Which connector?

23
Q

What modifications to teeth to do if there are insufficient undercuts?

A
  • Guide planes
  • Create undercuts using composite
24
Q

What depth of undercut for CoCr clasp?

25
What depth of undercut for Gold Clasp?
0.5 mm
26
What depth of undercut for SS clasp?
0.75mm
27
What are clasps used for in Partial denture?
Retention - resistance to movement away from the teeth
28
When would indirect retention be indicated?
When we do not have quadrilateral retainers (clasps)
29
What is indirect retention
Resistant to rotational displacement of the denture
30
What is support?
Resistance of movement towards the teeth and tissues by rests
31
What is the best type of support?
Quadrilateral opposed rests
32
What is bracing?
* Resistance to horizontal movement of the denture
33
How can bracing be achieved?
By using soft tissues
34
What is the benefit of having a high arched palate?
Better bracing aka resistance to horizontal movement of the denture
35
What is the RPI system?
stress relieving system on last abutment tooth * mesial occlusal rest * distal guiding plate * I-shaped retentive clasp Used for free end saddles
36
How does the RPI work?
When the saddle is loaded the denture rotate at an area close to the mesial rest this leads to the plate and I-bar to move towards the gingivae which reduce the stress on the last abutment tooth
37
In what cases would you use RPI?
Kennedy class 1 and Kennedy class 2
38
Examples of gingivally aproaching clasp?
T or I bar clasp
39
Most 3 common dental issues of partial dentured?
* Denture stomatitis * Subgingival calculus * Caries
40
You deliver a partial denture to a patient , What 5 advice would you give a patient?
* Remove dentures at night * Brush dentures with soap and water using a soft brush * You can immerse in chemical cleaner ( follow manufacturer instructions) * Store overnight in cold water * Brush your teeth with the dentures out
41
What are 4 types of denture cleaners?
* Alkaline peroxides * Alkaline hypochlorites * Enzymes * Abrasive cleaners
42
What are 2 disadvantages of Enzymes denture cleaning solutions?
* Expensive * Bleaches acrylic
43
When would you advise on using an abrasive denture cleaning solution?
In smokers
44
What advice would you give a patient who wears an CoCr partial denture when using alkaline hypochlorite cleaner?
Only soak for 10 minutes
45
What is the disadvantage of alkaline peroxides denture cleaners?
Hardens soft lining