Tooth wear tutorial Flashcards

(38 cards)

1
Q

What are the 5 aetiologies of tooth wear?

A
  • Attrition
  • Erosion
  • Abrasion
  • Combination
  • Unknown
How well did you know this?
1
Not at all
2
3
4
5
Perfectly
2
Q

Why is it important to take a history to gather information of the aetiology of toothwear?

A
  • Attempt to reduce further wear
  • Allow signposting if any medical or wellbeing issues are encountered
  • Determine prognosis
  • Enhance consent
  • Diagnosis and treatment planning
How well did you know this?
1
Not at all
2
3
4
5
Perfectly
3
Q

Define attrition

A

The physiological wearing away of tooth structure as a result of tooth to tooth contact

How well did you know this?
1
Not at all
2
3
4
5
Perfectly
4
Q

What are the ends of attrition spectrum?

A

Physiological wear <—> Bruxist

How well did you know this?
1
Not at all
2
3
4
5
Perfectly
5
Q

What are 5 modifying factors of attrittion?

A
  • Lack of posterior teeth
  • Erosion and abrasion
  • Occlusion
  • Restorations
  • Stress and anxiety
How well did you know this?
1
Not at all
2
3
4
5
Perfectly
6
Q

Give 5 common features of bruxism ?

A
  • Significant wear throughout the dentition
  • Repeated restoration failure
  • Root fractures
  • Often onset in early adulthood
  • Progressive
How well did you know this?
1
Not at all
2
3
4
5
Perfectly
7
Q

Common features of physiological toothwear

A
  • Wear that you would expect to see given the age of the patient
How well did you know this?
1
Not at all
2
3
4
5
Perfectly
8
Q

What are the common features of attrition due to lack of posterior support?

A
  • More extensive tooth-wear
  • Rapid progression
How well did you know this?
1
Not at all
2
3
4
5
Perfectly
9
Q

What kind of toothwear would you see in a patient with a deep overbite?

A
  • Lower incisors toothwear
How well did you know this?
1
Not at all
2
3
4
5
Perfectly
10
Q

What kind of toothwear would you see in a patient with edge to edge occlusion?

A

Localised anterior toothwear

How well did you know this?
1
Not at all
2
3
4
5
Perfectly
11
Q

What may make toothwear due occlusion worse?

A

Parafunctional habits

How well did you know this?
1
Not at all
2
3
4
5
Perfectly
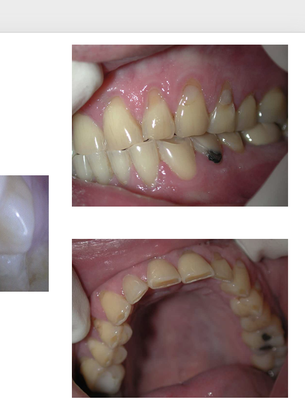
12
Q

What is the cause of this ?

A

Upper restorations (porcelain)

How well did you know this?
1
Not at all
2
3
4
5
Perfectly
13
Q

Other than toothwear, give 3 other indicators in the patient mouth for parafunction?

A
  • Multiple cusp fracture
  • Root fractures in unrestored teeth
  • Multiple cracks around restorations
How well did you know this?
1
Not at all
2
3
4
5
Perfectly
14
Q

Define erosion

A

The loss of tooth surface due to a chemical process that does not involve bacterial action

How well did you know this?
1
Not at all
2
3
4
5
Perfectly
15
Q

What are the modifying factors of erosion?

A
  • Lifestyle
  • Level of control
  • Psychosocial
  • Amount and frequency of acid attacks
How well did you know this?
1
Not at all
2
3
4
5
Perfectly
16
Q

5 extrinsic causes of Erosion?

A
  • Carbonated drinks
  • Sports drinks
  • Alcoholic acidic drinks
  • Citrus drinks
  • Pickles
17
Q

4 intrinsic causes of erosion?

A
  • Eating disorders
  • GORD
  • Hiatus hernia
18
Q

What are the common features of someone who drinks carbonated drinks?

A
  • Incisal erosion on upper centrals
  • Cupping on lower molars
  • Palatal erosion on upper incisors
  • Sensitivity
  • Inter-proximal caries and buccal white spot/brown spot caries
19
Q

What are 5 common features of eating disorders erosion?

A
  • Palatal erosion on upper teeth
  • Polished restorations
  • Erosion around restorations
  • Sensitivity
  • Caries
  • Halitosis
  • Altered taste
20
Q

What is abrasion?

A

The physical wearing away of tooth substance through an abnormal mechanical process independent of the occlusion

21
Q

4 examples of abrasive behaviour other than tooth brush abrasion?

A
  • Oral self-harm
  • Tongue studs
  • Occupational
  • Unusual habits
22
Q

4 questions you would ask a patient presenting with abrasive toothwear?

A
  • Ask about toothbrushing habits?
  • Do you use manual or electric toothbrush?
  • Investigate eating disorders
  • Are you stressed? ask about occupation?
23
Q

Patient present with erosion, attrition and abrasion , give 3 things that may contribute to the aetiology?

A
  • Alcoholism and drug abuse
  • Eating disorders
24
Q

Patient present with erosion and attrition , what might be the cause ?

A

Bruxist with poor diet

25
A patient present with erosion and attrition, what might be the cause?
* Bruxism, poor diet and GORD
26
Define abfraction?
The loss of hard tissue from eccentric occlusal forces leading to compressive and tensile stresses at the cervical fulcrum areas of the tooth
27
What are the two theories involved in abfraction?
* Abfraction is the basic cause is the basic cause of all non-carious cervical * Abfraction has a multifactorial aetiology (combination of occlusal stress, attrition, erosion)
28
5 things you may uncover in the history of toothwear?
* eating disorders * undiagnosed diabetes * Mental health issues * GI issues * Abuse and harm
29
How would your preventive advice include for a tooth-wear patient?
* Fluoride - high dose toothpaste, alcohol free mouthwash * Dietary modification - Frequency and quantity, method of delivery, elimination and addition * Remineralisation - tooth mousse * Sugar free gum
30
4 interventions you can do to control the aetiology of toothwear?
* Toothbrushing instructions * Splint therapy * Signposting to CBT and hypnotherapy * Referral to GMP , psychiatrist and social services
31
Which technique is the technique of choice for managing anterior toothwear?
* composite additions using the DAHL technique
32
Why is the DAHL technique the technique for choice for managing anterior toothwear?
* They are effective over a 10 year period with some maintenance. But this cannot be confirmed for full mouth reconstruction
33
Define the Dahl technique?
* It is a method of gaining space in cases of localised tooth wear * Originally a CoCr anterior bite plane but now use composite additions to incisors and canines * This results in disclusion on posterior teeth and increase in OVD of 2-3mm (need at least 2mm for composite thickness) * Over a period of 3-6 months posteriors erupt into occlusion and anteriors intrude
34
What are 2 advantages of DAHL technique?
* Better aesthetics * Immediate result
35
What are 2 disadvantages of DAHL technique?
* Technically demanding * Time comsuming
36
4 contraindications of DAHL technique?
* Active periodontal disease * Post orthodontics * TMD * Bisphosphonate patients * Implants * Fixed bridges
37
What are 6 things you need for DAHL technique?
* Impressions and facebow * Mounted articulated casts on semi-adjustable articulator * Interocclusal record * Diagnostic wax ups * Stents and mock up * Temporary denture * clinical photographs * Radiographs
38
Which material would you use for interocclusal record for casts of DAHL technique?
Alminax