MIH Flashcards

(30 cards)

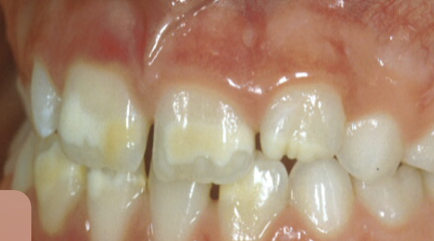
1
Q
A
How well did you know this?
1
Not at all
2
3
4
5
Perfectly
2
Q

What is molar incisor hypomineralisation?

A

Hypo-mineralisation of systemic origin of 1-4 permanent molars frequently associated with affected incisors

How well did you know this?
1
Not at all
2
3
4
5
Perfectly
3
Q

How would you describe teeth affected by MIH?

A
  • Hypomineralised
  • Hypoplastic
How well did you know this?
1
Not at all
2
3
4
5
Perfectly
4
Q

Define hypomineralised?

A

Disturbance of enamel formation resulting in a reduced mineral content

How well did you know this?
1
Not at all
2
3
4
5
Perfectly
5
Q

Define hypoplastic?

A

reduced bulk or thickness of enamel

How well did you know this?
1
Not at all
2
3
4
5
Perfectly
6
Q

What is increased in the pulp horn in hypominarlised enamel?

A
  • Significant increases in neural density in the pulp horn and subodontoblastic region - more sensitive to neural stimuli
  • Increases in immune cell accumulation - more inflammation
  • Significant increase in vascularity - more blood supply meaning more responsive to pain
How well did you know this?
1
Not at all
2
3
4
5
Perfectly
7
Q

3 ways of pain mechanisms related to MIH?

A
  • Dentine hypersensitivity
  • Peripheral sensitisation
  • Central sensitisation
How well did you know this?
1
Not at all
2
3
4
5
Perfectly
8
Q

Explain Dentine hypersensitivity in MIH?

A

Porous enamel or exposed dentine facilitates fluid flow within dentine tubules to activate A delta fibres (hydrodynamic theory)

How well did you know this?
1
Not at all
2
3
4
5
Perfectly
9
Q

Explain peripheral sensitisation in MIH?

A

underlying pulpal inflammation leads to sensitisations of C-fibres

How well did you know this?
1
Not at all
2
3
4
5
Perfectly
10
Q

Explain central sensitisation in MIH?

A

from continued nociceptive input

How well did you know this?
1
Not at all
2
3
4
5
Perfectly
11
Q

How would you describe MIH lesions?

A

Demarcated

How well did you know this?
1
Not at all
2
3
4
5
Perfectly
12
Q

4 reasons why it is difficult to determine the aetiology of MIH?

A
  • most parents cannot remember what happened before 10 years
  • Unclear diagnostic criteria
  • Study populations are small
How well did you know this?
1
Not at all
2
3
4
5
Perfectly
13
Q

What is the agreed critical period that may affect the aetiology of MIH and why?

A
  • First year of life
  • Enamel matrix of crown of FPM is complete by one year
How well did you know this?
1
Not at all
2
3
4
5
Perfectly
14
Q

What 3 periods you need to enquire about for MIH?

A
  • Pre-natal
  • Natal
  • Post-natal
How well did you know this?
1
Not at all
2
3
4
5
Perfectly
15
Q

What would you ask mother about prenatal period?

A
  • General health in 3rd trimester for example Pre-eclampsia or gestational diabetes
How well did you know this?
1
Not at all
2
3
4
5
Perfectly
16
Q

What 3 things would you ask mother about in perinatal period?

A
  • Birth trauma or anoxia
  • Hypocalcaemia
  • Pre term birth
17
Q

What 5 things you would ask mother about in postnatal period?

A
  • Prolonged breast feeding - Dioxins in breast milk
  • Fever and medications (childhood infections)
  • Socioeconomic status
18
Q

3 childhood infections that may contribute to MIH?

A
  • Measles
  • Rubella
  • Chicken pox
19
Q

What is the incubation period of measles

A

10-14 days
Duration of illness 7-10 days

20
Q

4 symptoms of measles?

A
  • Fever
  • Rash
  • Koplik’s spots
  • Cough
21
Q

How may the secondary infection of measles present? (4)

A
  • Otitis media
  • Bronchopeumonia
  • Stomatitis
  • Corneal ulcers
22
Q

Duration of rubella?

23
Q

4 Signs/Symptoms of rubella?

A
  • Mild fever
  • Rash
  • Malaise
  • Arthritis
24
Q

Duration of illness in chicken pox?

25
3 signs and symptoms of chicken pox?
* Low grade fever * Rash * Crops of spots progressing from macule-papule then vesicle
26
According to fagrell et al. What three things increased the odds of SDO (severe demarcated opacities) in MIH?
* Breast feeding more than 6 months * Gruel late into of more than 6 months * Late introduction of infant formula of more than 6 months
27
According to Balmar al , what was the aetiology of MIH?
* Prevalence of 15.9% * Associated with first 4 deprivation quintiles * no difference between fluoridated and non fluoridated areas
28
3 clinical problems associated with MIH?
* Loss of tooth substance - breakdown of enamel, toothwear, secondary caries * Sensitivity * Appearance
29
4 treatment options for MIH?
* Composite and GIC restorations * Stainless steel crowns * Adhesively retained copings * XLA between 8.5 and 9.5 yrs
30