Paeds Tutorials Flashcards

(103 cards)

1
Q
  • 10 year old patient
  • unhappy with front teeth appearance
  • Sensitivity while brushing
  • Asthamtic
  • brushes twice daily with 1450ppm

What is your diagnosis? (4)

A
  • MIH in upper and lower molars permanent molars
  • Anterior tooth wear (NCTSL)
  • Upper moderate crowding
  • Lower mild crowding
How well did you know this?
1
Not at all
2
3
4
5
Perfectly
2
Q
  • 10 year old patient
  • unhappy with front teeth appearance
  • Sensitivity while brushing
  • Asthamtic
  • brushes twice daily with 1450ppm

What is their caries risk assessment? and what further investigations would you do ? (2)

A
  • High risk due to
    Asthma = xerostomia
  • Diet diary to analyse diet and assess risk
  • Ask about asthma inhalers ; nature of asthma and triggers , medications
How well did you know this?
1
Not at all
2
3
4
5
Perfectly
3
Q
  • 10 year old patient
  • unhappy with front teeth appearance
  • Sensitivity while brushing
  • Asthamtic
  • brushes twice daily with 1450ppm

What are the favourable signs of extraction of permanent first molars? (4)

A
  • Patient age is 8-10
  • Calcification of the bifurcation of the 7s
  • Calcification of the 8s
  • Class I incisor relationship
How well did you know this?
1
Not at all
2
3
4
5
Perfectly
4
Q
  • 10 year old patient
  • unhappy with front teeth appearance
  • Sensitivity while brushing
  • Asthamtic
  • brushes twice daily with 1450ppm

When would you compensate an extraction of a permanent first molar?

A
  • when the upper 6 will by unopposed for a long time - to avoid over eruption
  • when there is a clear occlusal requirement ( not aligned teeth interfering with the occlusion)
How well did you know this?
1
Not at all
2
3
4
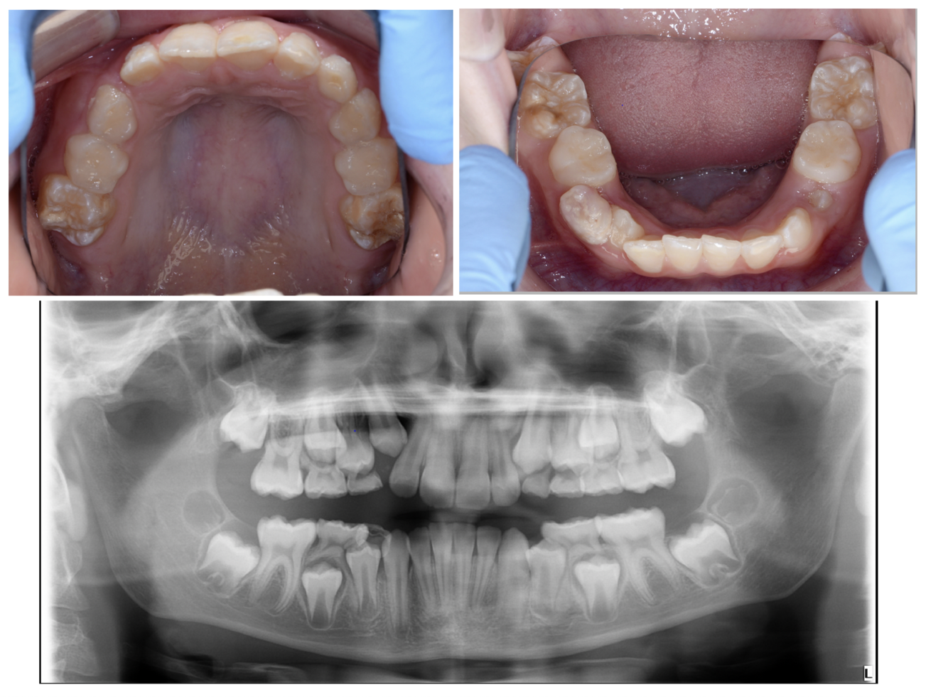
5
Perfectly
5
Q

What is molar incisor hypo-mineralisation?

A

Hypo-mineralisation of systemic origin affecting 1-4 permanent molars usually associated with affected molars.

How well did you know this?
1
Not at all
2
3
4
5
Perfectly
6
Q

What is the suggested etiological factors of MIH? (pre-natal)

A
  • Pre-eclampsia
  • gestational diabetes
  • general health in 3rd trimester
How well did you know this?
1
Not at all
2
3
4
5
Perfectly
7
Q

What is the suggested etiological factors in MIH? (natal)

A
  • Prolonged delivery ( may cause trauma during birth
  • Early delivery ( immature)
How well did you know this?
1
Not at all
2
3
4
5
Perfectly
8
Q

What is the suggested etiological factors in MIH? (post-natal)

A
  • Infections to child - measles , rubella , chicken pox
  • Prolonged breast feeding
  • Medications while breastfeeding (mother and child)
  • Socioeconomic status
    ( First year in the child’s life)
How well did you know this?
1
Not at all
2
3
4
5
Perfectly
9
Q

What are the symptoms of MIH? (2)

A
  • Tooth sensitivity
  • Aesthetic concerns
How well did you know this?
1
Not at all
2
3
4
5
Perfectly
10
Q

What are the signs of MIH? (4)

A
  • Demarcated opacities with varied translucency in enamel (molars ± incisors)
  • Tooth discolourations (brown/yellow)
  • Severe NCTSL
  • Secondary caries
How well did you know this?
1
Not at all
2
3
4
5
Perfectly
11
Q

What important medical history information should you gather for a child with asthma? (5)

A
  • Nature of asthma
  • History of hospital addmissions due to asthma
  • Triggers and exacerbating factors
  • Record FEV1 / PEFR values if known
  • Medication doses and frequency of use
How well did you know this?
1
Not at all
2
3
4
5
Perfectly
12
Q

What does FEV1 / PEFR values tell you about an asthmatic patient?

A
  • Measurements to assess lung function
  • Degree of airway obstruction and severity of asthma
  • important in monitoring asthma
How well did you know this?
1
Not at all
2
3
4
5
Perfectly
13
Q

What can suggest for a patient who is on high doses of corticosteroid for asthma for a prolonged time ?

A
  • consider steroid cover
How well did you know this?
1
Not at all
2
3
4
5
Perfectly
14
Q

What triggers can exacerbate asthma? (3)

A
  • Anxiety
  • Colophony
  • Local anaesthesia - sulphites (presevatives)
  • Dust/debris
How well did you know this?
1
Not at all
2
3
4
5
Perfectly
15
Q

How can the nature of asthma affect a child’s dental management plan? (7)

A
  • Educate patient about their increased risk of oral disease due to asthma
  • OHI for prevention and the use of FV (consider colophony free)
  • Diet advice - sugar free drinks
  • Rinse after inhaler use
  • Use spacer after inhaler use
  • Make appropriate referrals for the increased risk of erosion
  • There are many possible triggers of acute asthma attacks - try to minimise these
How well did you know this?
1
Not at all
2
3
4
5
Perfectly
16
Q

What can be the triggers of asthma in the dental setting? (6)

A
  • Colophony in fluoride varnish
  • Debris from enamel
  • Prolonged supine position
  • NSAIDs and Opiods
  • Anxiety
  • Aerosols
How well did you know this?
1
Not at all
2
3
4
5
Perfectly
17
Q

Where might you seek assistance from for the management of asthmatic patients?

A
  • Consult with patient GP or special care dentist
How well did you know this?
1
Not at all
2
3
4
5
Perfectly
18
Q
  • John 6 years old with dental anxiety
  • Intermittent pain (right side of mouth)
  • Mom wrote Cleft in MH form
  • Drinks juice throughout the day and does not like water
  • Today came for a clinical examination , OPT taken

What further information (excluding MH) would you want from john history? (3)

A
  • Social history - impact of CLP
  • Visits to hospital
  • Patient GP details
How well did you know this?
1
Not at all
2
3
4
5
Perfectly
19
Q

What medical history is important to gather for a CLP patient? (3)

A
  • Type of cleft condition
  • Cardiac conditions (defects?)
  • History of cleft-related surgery undertaken
How well did you know this?
1
Not at all
2
3
4
5
Perfectly
20
Q

What are the extra-oral findings in a cleft lip and palate patient? (3)

A
  • Class III skeletal presentation
  • Maxillary Hypoplasia ( or non if only palate)
  • Communication between upper lip and nostrils
How well did you know this?
1
Not at all
2
3
4
5
Perfectly
21
Q

What are the intraoral findings of a CLP patient? (9)

A
  • Hypodontia
  • Hypoplastic teeth
  • Hypomineralised teeth
  • Microdontia
  • Macrodontia
  • Crowding
  • Misaligned upper arch
  • Communication between nasal and oral cavity
  • Caries and periodontal involvement
How well did you know this?
1
Not at all
2
3
4
5
Perfectly
22
Q

Which practitioners are involved in the CLP patients management? (7)

A
  • Special cleft nurse
  • Orthodontist
  • Paediatric dentist
  • GP
  • GDP
  • Speech therapist
  • Psychologist
How well did you know this?
1
Not at all
2
3
4
5
Perfectly
23
Q

What is the treatment timeline for a CLP patient? (5)

A
  • 3-6 months - lip closure
  • 6-12 months - palate closure
  • 8-10 years - alveolar bone graft
  • 12-15 years - definitive orthodontics
  • 18-20 years - orthognathic surgery
How well did you know this?
1
Not at all
2
3
4
5
Perfectly
24
Q

What supportive resources are available for CLP patients and parents?

A

CLAPA ( cleft and lip palate association)

How well did you know this?
1
Not at all
2
3
4
5
Perfectly
25
What is the aetiology of CLP?
* Genetic - syndromes , family history or ethnicity * Environmental - smoking, alcohol, SIMD, antiepileptics, multivitamins
26
During what developmental period and week does CLP arise?
* Embryonic stage : 0-8 weeks
27
What other facial syndromes occur during embryonic stage of developnent (0-8 weeks )
* Foetal alcohol syndrome * Hemifacial microsomia * Treacher collins syndrome
28
What is the main system for classifying CLP patients?
LAHSHAL classification Describe type, size and extent of clefting
29
Give classifications of the following cleft presentations?
30
What is the most common missing tooth in CLP?
Upper lateral incisor
31
What is the most common skeletal base pattern in CLP?
Class III
32
What is the most common cause of CLP?
SIMD - low socioeconomic status
33
* New patient attends to practice with Haemophilia type A (mild) * NB . photos taken at a later date to radiograph What is the risks of tooth decay in haemophilic patients?
Increased risk of complications following invasive dental treatment ( prolonged bleeding and difficulty in achieving haemostasis) due to missing clotting factors (8,9)
34
What prevention advice would you provide for a haemophilic patient? (7)
* Education on regular attendance for early caries detection * Avoid invasive procedure * x4 FV per year * FS occlusal and palatal bits of D/E/FPM/SPM * Diet advice * OHI with hands on brushing at every visit * Consider community and home support
35
What dental treatment can be permitted for haemophilia patients? (5)
* LA techniques : buccal infiltration, intraligamentary and intra-papillary injections * Routine PMPR - supra and sub * Prosthodontics (moderate to severe cases in hospital setting with specialist) * Endodontics * Orthodontic treatment ( modified so not possible for soft tissue trauma)
36
What dental treatment required extra management steps for haemophiliacs ? (3)
* IDB * Lingual infiltration * XLA - contact haemophilia centre
37
How would you manage an emergency haemophilia patient presenting with ** dental pain ** ? (6)
* Assess cause of pain and take pain history * If spreading infection or systemic symptoms prescribe ABS * Analgesics - Avoid aspirin , discuss NSAIDs use with haemophilia centre * Take care with intra-oral x-ray films * Endodontics are permitted * Avoid XLA in primary care
38
How would you manage an emergency haemophilia patient presenting with ** Trauma ** ? (6)
* Assess need for invasive procedure based on trauma type and presentation * Endodontic treatment is permitted * Avoid XLA in primary care * Suture gingival lacerations * Provide factor replacement therapy if excessive bleeding
39
What is the minimum coagulation factor concentration allowing for invasive dental treatment to be undertaken?
50%
40
What platelet count is considered to be safe for dental treatment?
* Primary care - 100x10^9 / L * Secondary care - 50x 10^9 / L
41
What LA administration techniques require haemostatic cover in haemophilias?
IDB , lingual infiltration
42
What are recommended local haemostatic methods for surgical extraction for haemophiliacs ? (4)
* Apply pressure with damp gauze * LA with vasoconstrictor * Pack socket with surgicel * Suturing * Surgical splints ?? not sure
43
What are recommended systemic haemostatic methods for surgical extractions for hemophilias?
* Coagulation factor replacement * DDAVP (desmopressin) * Tranexamic acid
44
What clotting factor deficiency found in Haemophilia A?
8
45
What clotting factor deficiency found in Haemophilia B?
9
46
What clotting factor deficiency found in von willebrand's disease?
vW factor = 8
47
What are the clotting factor percentage found in different severities of haemophilia? (4)
* Carrier = >50% * Mild = 6-40% * Moderate = 2-5% * Severe = <1%
48
* New 12 year old patient with **down's syndrome and asthma ** * Difficulty brushing because he ** hates the taste of toothpaste ** * Takes salbutamol ( infrequently as doesn't need it) * Moderate learning difficulty * Cracked lower lip that sometimes bleed * What is down's syndrome?
It is a genetic disorder associated with trisomy of chromosome 21
49
What dental risk factors does a down syndrome child have? (3)
* Predisposition to periodontitis * NCTSL - due to bruxism * Orthodontic problems : hypodontia, malocclusion * High caries risk
50
What medical risk factors does down syndrome child have? (9)
* Learning disability High risk of : * Cardiac defects (ASD, VSD, PDA) * Immunosuppression * Vision problems * Hearing problems * Sleep apnea * Hypothyroidism * GORD * coeliac disease
51
What are the oral manifestations of down syndrome? (12)
* Hypodontia * Microdontia * Maxillary hypoplasia * Macroglossia * Fissured tongue * AOB * Class III malocclusion * NCTSL * High arched palate * Delayed development * Ectopic eruption * Impaction
52
* New 12 year old patient with **down's syndrome and asthma ** * Difficulty brushing because he ** hates the taste of toothpaste ** * Takes salbutamol ( infrequently as doesn't need it) * Moderate learning difficulty * lower lip that cracked sometimes and bleeds What is the likely cause of his lower lip issues? (4)
This can be due * Mouth breathing from anterior open bite * Class II malocclusion * Xerostomia from inhaler * Drooling
53
* New 12 year old patient with **down's syndrome and asthma ** * Difficulty brushing because he ** hates the taste of toothpaste ** * Takes salbutamol ( infrequently as doesn't need it) * Moderate learning difficulty * Cracked lower lip that sometimes bleed How can you manage his lower lip issue? (4)
* Educate parents about the cause and give advice * Suggest frequent sips of water * Suggest Salivary stimulants ( glycerine + lemon or sugar free gum) * Rehydrate lower lip with petroleum jelly or lip balm
54
* 4 year old sustained trauma , went to A&E, with no other injuries * Sent urgently to paediatrics dental department for review * Discomfort from his teeth and difficulty biting his teeth together * MH = Ventricular septal defect What is infective endocarditis?
Infective endocarditis is a serious infection of the inner lining of the heart chambers and heart valves. It is typically caused by bacteria.
55
What is the incidence of infective endocarditis in the general population?
* Incidence = less than 1/10,000 per year
56
Which patients are at risk of developing IE?
* Acquired valvular heart disease * Hypertrophic cardiomyopathy * Previous infective endocarditis * Congenital heart disease ( cyanotic or repaired with prosthetic material) * Prosthetic heart valve patients
57
What are the clinical features of a patient presenting with IE? (8)
* Fever > 38C * Night sweats and chills * Breathlessness * Weight loss * Fatigue * Muscle pain * Back pain * Joint pain
58
* 4 year old sustained trauma , went to A&E, with no other injuries * Sent urgently to paediatrics dental department for review * Discomfort from his teeth and difficulty biting his teeth together * MH = Ventricular septal defect Mathew patients think he may require ABs prophylaxis for IE management , who you must seek advice from to provide best treatment for this patient? (3)
* Patient's cardiology consultant * Cardiac surgeon * Local cardiology centre
59
What guidelines are available for IE management?
* NICE clinical guidelines 64 * SDCEP guidelines - Dental advice for patients at increased risk of infective endocarditis
60
What is the recommendations for IE management according to SDCEP and NICE?
* AB prophylaxis is not routinely given to patients at increased risk of infective endocarditis * Consult with patient cardiology consultant before invasive denture procedure
61
-
-
62
What are the features of a preventative plan for the management of a patient at risk of IE?
* Inform the patient about the risks of IE with invasive treatment ( 1 in 10,000 per year) * Effectiveness and risks of AB prophylaxis and current guidelines recommendations * Advice about the importance of maintaining good oral hygiene and regular visits to reduce the risk of invasive treatment * Reduce frequency of sugar intake * Risks of non medical procedures (pirecings and tattoos)
63
What would you say to a patient at high risk of developing endocarditis? (5)
* Endocarditis is an infection in the heart, its caused by bacteria entering from the outside of your body * Usually the risk is about 1 in 10,000 per year (rare), and you are at high risk of developing this * Dental procedure such as extractions increase the risk of bacteria to enter into your body * The guidelines do not recommend ABs prophylaxis for non invasive dental procedures for people at high risk * Good oral hygiene and regular dental visits are important in reducing oral bacteria
64
What would you tell a patient at high risk of IE when discussing ABs prophylaxis? (5)
* Dental procedures are not thought to be the main cause of infective endocarditis * It is unclear if antibiotic prophylaxis would prevent infective endocarditis and it may still occur with it * Antibiotics can cause side effects such as nausea, diarrhea, allergic reactions and rarely * Maintaining good oral hygiene and regular dental visits effectively reduce oral bacteria and prevent oral disease = less risk of invasive procedure * Reduce sugary drinks and snacks to prevent tooth decay
65
What are congenital cardiac defects?
A birth defect associated with the structure of the heart and the way it work.
66
What to prescribe if ABs prophylaxis indicated? (3)
* Amoxicillin 3g (oral powder) * Clindamycin Capsule 300mg) - 2 capsules * Azithromycin oral suspension 200mg/5l (500 mg dose) 1 hour before procedure
67
What are congenital cardiac defects?
A birth defect associated with the structure of the heart and the way it work
68
What are the categories of congenital cardiac defects?
Cyanotic and Non-cyanotic
69
Examples of Cyanotic heart defects? (right to left shunt)
* Tetralogy of fallot * Tricuspid Atresia | less oxygen in the blood
70
Examples of Acyanotic cardiac defects? (left to right shunt) -
* Atrial septal defect * Ventricular septal defect * Patent ductus arteriosus | normal levels of oxygen in the blood
71
What syndromes can be associated with congenital cardiac defects? (4)
* Down's syndrome * Turner syndrome * Hemifacial microsomia * Cleft lip and palate * William's syndrome
72
What is a ventricular septal defect?
* A cardiac birth defect associated with a connection between the ventricles, causing mixed blood to enter pulmonary circulation instead of deoxygenated blood.
73
What features of a VSD makes it more severe?
* Size of defect
74
How can VSD be managed? (2)
* Do nothing as may shrink by time * Open heart surgery + direct closure
75
What 2 types of primary intrusive luxation injuries exist? (2)
* Intrusive luxation into labial bone * Intrusive luxation into permanent tooth germ
76
What are the signs of favourable outcomes of primary intrusive luxation Trauma? (4)
* Root apex visible * Root appears shorter than contralateral * Displaced into the labial bone plate = tooth erupting * No significant Discolouration
77
What are unfavourable signs of primary intrusive luxation injuries (5)
* Root apex not visible * Root appears elongated - displaced into permanent tooth germ * Ankylosis * Severe discolouration * Peri-apical periodontitis
78
How do you manage primary intrusion injury? (4)
* Allow spontaneous re-eruption (6-12 months) * Suture gingival lacerations * Provide post-op instructions * Review
79
When would you review a primary tooth intrusion?
* 2 weeks , 6-8 weeks, 6 months, 1 year
80
What advice would you give to parent's who's child was just treated for primary intrusion? (3)
* Be careful when the child is eating to not further traumatise intruded tooth * Clean area with soft toothbrush * Use CHX mouthwash twice daily - 0.12% for 7 days * Review in 1 week
81
How to chart a supernumerary on a dental chart?
S
82
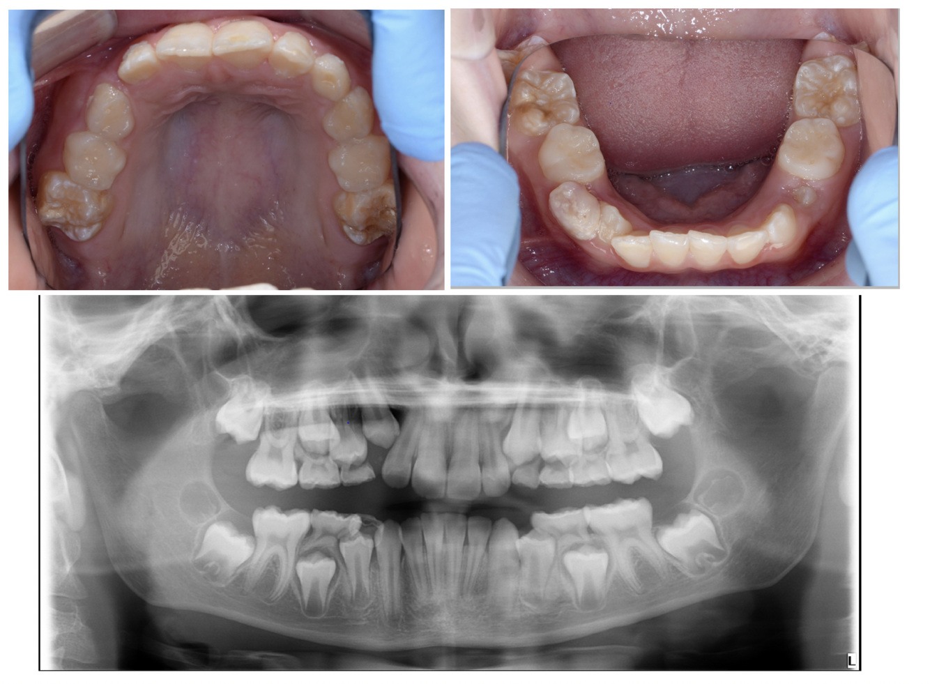
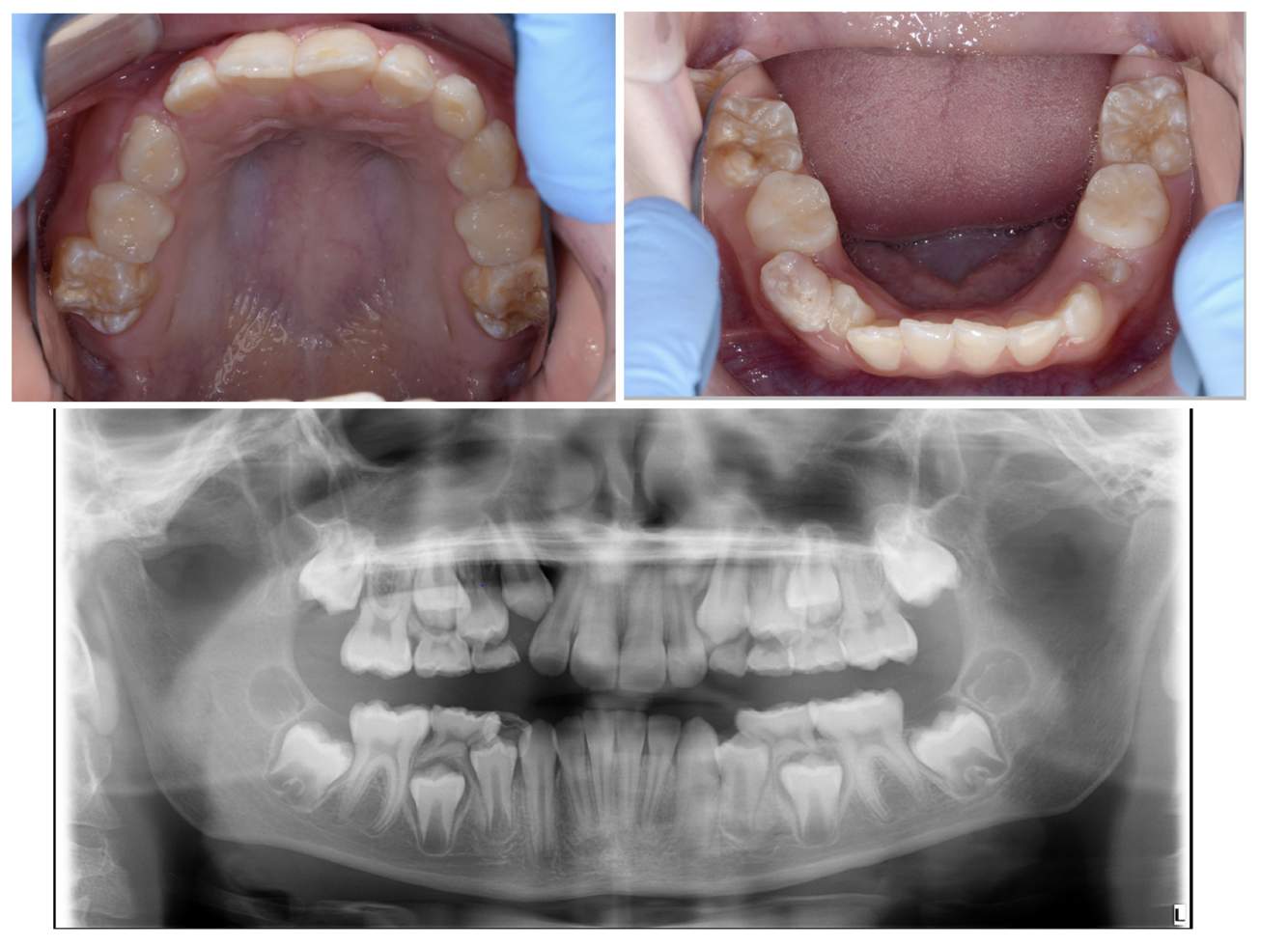
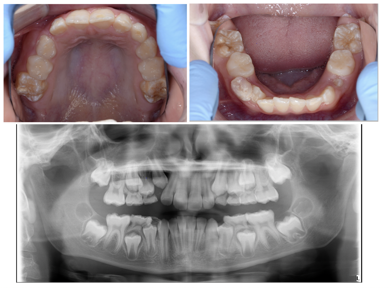
* 8 year old patient * Mom concerned about the extra tooth and child concerned about her teeth appearance * She has type 1 diabetes takes insulin injections (well controlled) From radiograph - caries present What management options can **you** provide for this patient? (4)
* Attempt caries removal for carious lesions on 55,54,64,74,85 and restore with composite, GI , RMGI (need compliance) * If not cooperative enough = SCC of 5's and 4's * If still not cooperative = SDF or non-restorative cavity control to make lesions cleansable * If not cooperative at all = Provide OHI and monitor or sedation under IS or GA
83
* 8 year old patient * Mom concerned about the extra tooth and child concerned about her teeth appearance * She has type 1 diabetes takes insulin injections (well controlled) From radiograph - caries present on primary teeth What treatment can you provide under LA?
* Selective caries removal (possible without)
84
* 8 year old patient * Mom concerned about the extra tooth and child concerned about her teeth appearance * She has type 1 diabetes takes insulin injections (well controlled) From radiograph - caries present What treatment options should be considered for GA?
* Surgical XLA of supernumeraries
85
* 8 year old patient * Mom concerned about the extra tooth and child concerned about her teeth appearance * She has type 1 diabetes takes insulin injections (well controlled) From radiograph - caries present What information would you provide to the mother if GA is indicated? (2)
* Risks associated with GA such anaphylaxis, brain damage, bladder problems, shivering and feeling cold, memory loss, confusion and vomiting * Advise that the first visit to the centre will be for assessment only and the final decision will be there
86
What is the pathology of type 1 diabetes?
* Autoimmune destruction of the beta cells in islets of Langerhans in the pancreas leading to less insulin secretion | Type 2 = insulin resistance leading due to genetic and environmental fac
87
What medication is taken for type 1 diabetes? and its MOA?
* Insulin injection * increase uptake of glucose be cells
88
What medication is taken for type 2 diabetes? and its MOA?
* Metformin (biguanide) * Enhances insulin sensitivity by cells
89
What does HbA1c present?
* Glycated haemoglobin
90
Give the average values of Hb1Ac in normal, pre-diabetes and diabetes patients?
* Normal - less than 6% (42mmol/mol) * Pre-diabetes - 6-6.4% ( 42-48 mmol/mol) * Diabetes- more than 6.5% 48mmol/mol
91
Give other 2 tests for diabetes apart from hb1AC and diagnostic values for diabetes?
* Random plasma glucose = >11.1 mmol/mol * Fasting plasma glucose = >7mmol/L
92
What is the main complication of uncontrolled hypoglycaemia in T1DM and how does it occur?
* Diabetic ketoacidosis (DKA) * Body cannot access glucose to metabolise it so metabolise fat instead which result in an acidic end product (ketones) resulting in an acidic blood PH.
93
What are the signs and symptoms of ketoacidosis?
* Nausea * Vomitting * Abdominal pain * Cerebral oerdema * Followed by coma * Followed by death
94
What is the ABCDE for acute hypoglycaemia?
A - initially talking B - initially increased C - initially increased D - initially alert E - irritable confused and pale
95
What is the management for a patient showing signs and symptoms of hypoglycaemia during dental treatment? (4)
* Stop treatment * Offer 15-20mg glucose in oral form (glucotabs, glucoguice) if conscious * If unconscious/impaired swallowing call 999 and put in recovery position, inject glucagon (1mg) intramuscular injection * Once conscious give oral glucose 15-20mg
96
What are possible reasons for delayed eruption of an upper central incisor? (4)
* Supernumerary teeth * Trauma * Ectopic teeth * Failure of development
97
When would be an appropriate time to investigate the delay eruption of a upper first incisor?
8 years old
98
What are the 4 types of supernumerary teeth? (4)
* Conical * Tuberculate * Supplemental * Odontome
99
Which supernumerary is the most common cause of failed/delayed eruption of an upper permanent central incisor?
* Tuberculate
100
What conditions are associated with supernumerary teeth? (4)
* CLP * Down's syndrome * Cleidocranial dysplasia * Gardner's syndrome
101
How would you manage an unerupted 11 in an 8 year old patient with immature permanent incisor? (3)
* Remove obstruction * Monitor for 12 months * If did not erupt by 12 months = surgical exposure and orthodontic traction using gold chain
102
How would you manage an unerupted 11 in a 10 year old patient with mature permanent incisors? (2)
* Remove obstruction * Surgical exposure and orthodontic traction using gold chain
103