Cause la plus fréquente d’hypoglycémie tumorale de l’adulte =
Insulinome
Caractéristiques cliniques des hypoglycémie organiques :
La plupart des hypoglycémies organiques surviennent à distance des repas.
Définition des hypoglycémies fonctionnelles :
Les « hypoglycémies » dites fonctionnelles = manifestations neurovégétatives en l’absence d’hypoglycémie, éventuellement rythmées par la prise alimentaire
=> restent un diagnostic incertain, qu’on ne devrait pas évoquer en l’absence d’hypoglycémie veineuse documentée.
Diagnostic de l’hypoglycémie =
• la constatation simultanée (une glycémie basse isolée ne suffit pas à porter le diagnostic) :
– de signes de neuroglucopénie ;
– et d’une glycémie veineuse (et non capillaire) basse ;
• ainsi que sur la correction des symptômes lors de la normalisation de la glycémie.
= C’est la triade de Whipple.
Seuils d’hypoglycémie chez le diabétique et le non diabétique = en g/L et mmol/L
Seuils de glycémie normale : (a jeun et après le repas)
en g/L et mmol/L
= entre 0,60 et 0,90 g/l [3,3 à 5,0 mmol/l] à jeun
=> Lors d’un jeûne prolongé, la glycémie baisse et le cerveau utilise d’autres substrats, essentiellement les corps cétoniques.
Principales hormones abaissant la glycémie = (3)
Principales hormones de contre régulation ayant un effet hyperglycémique = (5)
=> Lors d’une hyperglycémie : le glucagon, l’adrénaline et l’hormone de croissance sont sécrétés, puis enfin le cortisol ;
Seuil de la glycémie entrainant des symptômes =
< 0,55 g/L
Seul de la glycémie entrainant des troubles cognitifs =
< 0,35 g/L
Causes d’hypoglycémie :
– d’un défaut de sécrétion d’une des hormones de contre-régulation, en particulier le cortisol ;
– d’un déficit de néoglucogenèse (insuffisance hépatique ou rénale sévère) ;
– d’un défaut de substrat (cachexie).
Signes neuroglucopéniques (7)=
=> Ces symptômes témoignent obligatoirement d’une cause organique d’hypoglycémie.
Caractéristiques cliniques d’un coma hypoglycémique (4) =
=> Chez tout patient présentant des troubles de conscience de quelque profondeur que ce soit, il est de règle de mesurer immédiatement la glycémie.
Signes adrénergiques de l’hypoglycémie (8)=
2 principales causes d’hypoglycémie :
- Insulinomes = première cause tumorale d’hypoglycémie (+++).
Causes d’hypoglycémie évidente à éliminer avant de faire une épreuve de jeune pour rechercher un insolinome :
Étapes du diagnostic d’une hypoglycémie.
=> Figure 11.1
Les chiffres 1, 2 et 3 indiquent le profil biologique attendu pour l’insulinémie et le peptide C pour les différentes causes d’hypoglycémie.

Caractéristiques de l’insulinome =
Signes cliniques de l’insulinome = (4)
L’insulinome entraîne des épisodes d’hypoglycémie, parfois très épisodiques, chez des adultes souvent jeunes et bien portants.
La symptomatologie est souvent dominée par les manifestations adrénergiques.
Les signes de neuroglucopénie sont rarement au premier plan et souvent mal rapportés par le patient.
Les épisodes d’hypoglycémie surviennent plus volontiers à jeun ou à l’effort, même s’il ne s’agit pas d’un critère absolu (possibilité de véritables insulinomes avec hypoglycémie déclenchée par la prise alimentaire) ;
+ la répétition des épisodes peut s’accompagner d’une prise de poids chez 30 % des patients.
=> Tableau 1.11

Diagnostic de l’insulinome =
Le diagnostic positif d’insulinome repose uniquement sur la mise en évidence biologique d’une sécrétion inappropriée d’insuline et de peptide C en présence d’une glycémie veineuse basse.
=> Il est parfois possible de faire le diagnostic avec ces trois paramètres en raison d’une hypoglycémie spontanée (hypoglycémies matinales fréquentes, par exemple).
Mais dans le cas contraire, il faut chercher à reproduire cette hypoglycémie en réalisant une épreuve de jeûne de 72 heures, lors d’une hospitalisation
Critères biologies de l’insulinome :
Lors d’une épreuve de jeun :
+ La concentration de pro-insuline plasmatique est également inappropriée alors que la concentration des béta-hydroxybutyrates plasmatiques normalement produits en cas de jeûne est basse en raison de l’action puissamment anticétogène de l’insuline.

Diagnostic différentiel de l’insulinome = (4)
+ critères biologiques
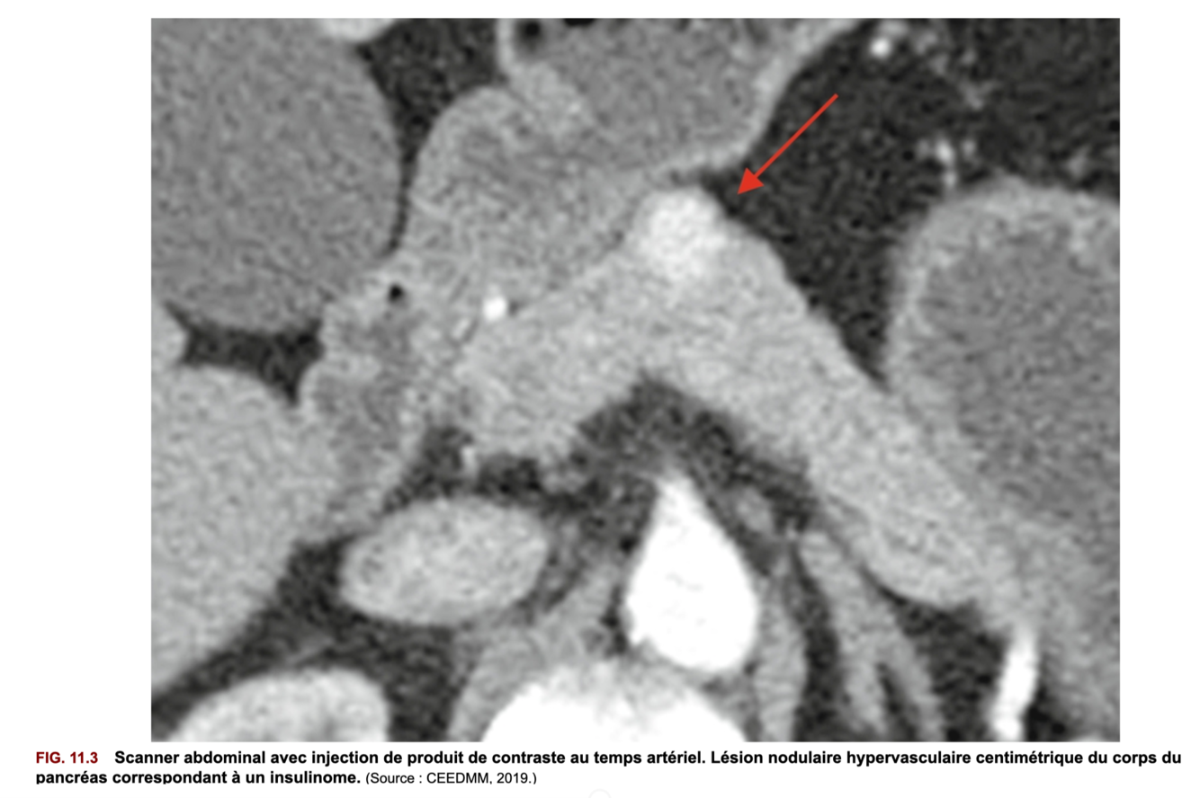
CAT après diagnostic d’un insulinome pour le diagnostic topographique :
+ IRM pancréatique si insulinome non visible sur les 2 autres examens.
=> Figure 11.3 + 11.4

Ttt de l’insulinome =
Le traitement de l’insulinome repose sur l’exérèse chirurgicale de la tumeur.
En attendant la chirurgie, des traitements médicamenteux peuvent permettre de normaliser la glycémie.
=> Le médicament le plus prescrit en première intention dans cette indication est le diazoxide. Ce médicament bloque la sécrétion d’insuline via l’ouverture des canaux potassiques des cellules β-pancréatiques.