what are the majority of cells in NS?
glial cells
what do glial cells do in PNS? & CNS?
PNS
what are the arterires like in the brain?
what type of cell is this?

astrocyte
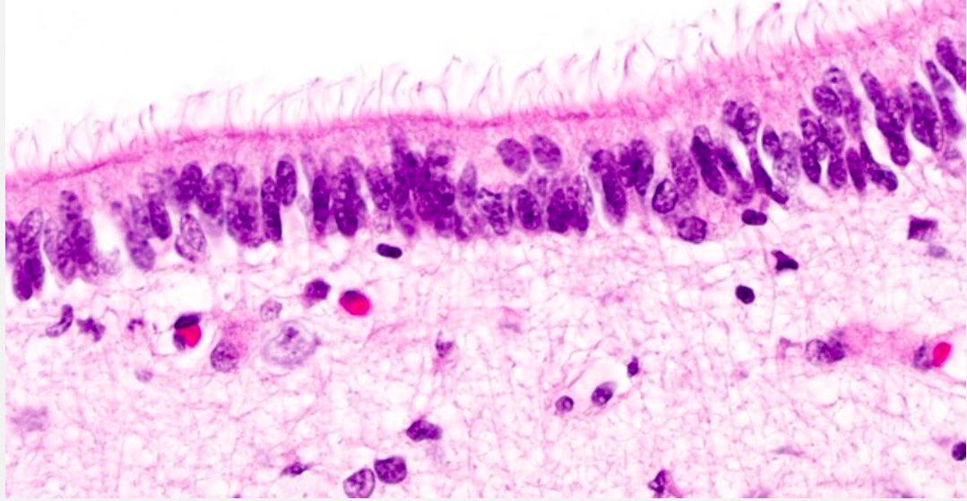
which is this?
role?
where?

ependymal cells


which parts of the brain code for the following?
3. coordination of complex movement: cerebellum
where is the starting point of cranial nerves?
how many pairs of cranial nerves are there?
which cranial nerves exit and enter the answer to 1.? what are there functions?1
what is the reticular formation?
where?

which cranial nerves DONT come from brain stem?
Cranial Nerve 1: Olfactory Nerve
Cranial Nerve 2: Optic Nerve
role of each?
Parasympathetic Nervous System
where does brain stem end / spinal cord start?
where does spinal cord end?
whats after spinal cord?
what do spinal cord white matter tracks code for?
ascending tracts:
a) pain, temp, position,
descending tracts:
what is brown colour in brown adipose tissue samples from?
what is cartilage made from?
is it vascular ?
cells: chondrocytes, ECM = 95%.
contains:
how is cartilage made? (2)
2 mechanisms for formation of cartilage:
a) Interstitial growth - chondrocytes grow and divide and lay down more matrix inside the existing cartilage f
b) appositional growth: undiff. cells at the surface of the cartilage (perichondrium)
where do you find hyaline, fibro and elastic cartilage?
Hyaline - most common, found in the ribs, nose, larynx, trachea. Is a precursor of bone.
Fibro- is found in invertebral discs, joint capsules, ligaments.
Elastic - is found in the external ear, epiglottis and larynx.
which type of collagen is found in fibrocartilage?
type I collagen. 3
which type of cartilage doesnt have a perichondrium?
fibrocartilage
what are the three archictetural patterns of bone?
what supplies blood to bones?
what connects ^?
1. circumferential outer layer
also have:
what are the three mane types of bone cells?
describe the intra and extracellular ion concentrations that sets up the cells resting membrane potential.
- Na+ greater outside cell
- K+ greater inside cell
= creates a resting membreane potential: +ve outside, -ve inside = -70mV