Apendicitis Flashcards

(9 cards)

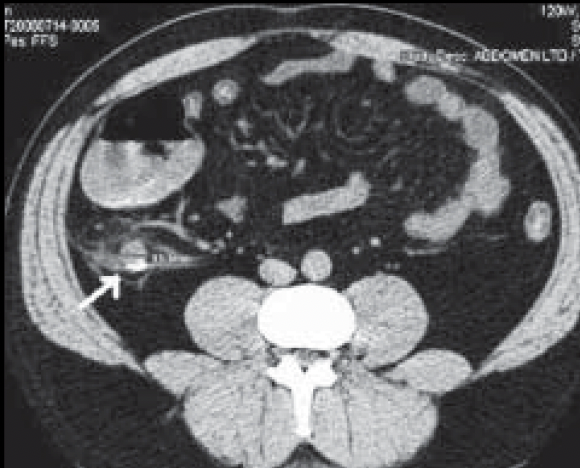
1
Q

RX

A

A: Apendicolito
B: Borramiento psoas
C: Asa centinela
D: HiperDensidad de articulación sacroiliaca o FID derecha
E: Curvatura antiálgica

How well did you know this?
1
Not at all
2
3
4
5
Perfectly
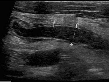
2
Q
A

hd articulación sacroiliaca

How well did you know this?
1
Not at all
2
3
4
5
Perfectly
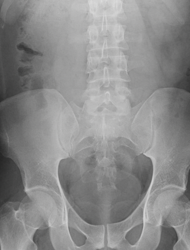
3
Q
A

Fecalito

How well did you know this?
1
Not at all
2
3
4
5
Perfectly
4
Q
A

ASA FIJA

How well did you know this?
1
Not at all
2
3
4
5
Perfectly
5
Q

MEJOR MÉTODO DX NIÑOS

A

USG MAYOR 6 MM
EN DEDO DE GUANTE O SIGNO DE DIANA

How well did you know this?
1
Not at all
2
3
4
5
Perfectly
6
Q
A

DEDO EN GUANTE

How well did you know this?
1
Not at all
2
3
4
5
Perfectly
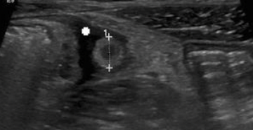
7
Q
A

Diana

How well did you know this?
1
Not at all
2
3
4
5
Perfectly
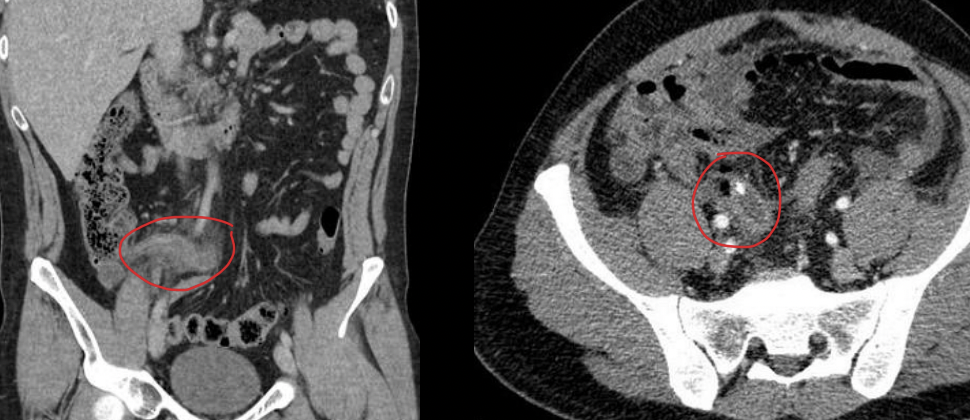
8
Q

Mejor método dx adultos

A

TC
APENDICE RETROCECAL
SE VE GRASA SUCIA, APENDICOLITO, REALCE CON CONTRASTE

How well did you know this?
1
Not at all
2
3
4
5
Perfectly
9
Q
A

Apendicitis

How well did you know this?
1
Not at all
2
3
4
5
Perfectly