EM Flashcards

(7 cards)

1
Q

Enfermedad inc más común en adultos jóvenes

A

EM

How well did you know this?
1
Not at all
2
3
4
5
Perfectly
2
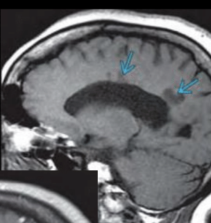
Q

Imagen

A

RM
DEDOS DE DAWSON
HIPERINTENSIDADES CALLOSEPTALES EN T2 Y FLAIR

How well did you know this?
1
Not at all
2
3
4
5
Perfectly
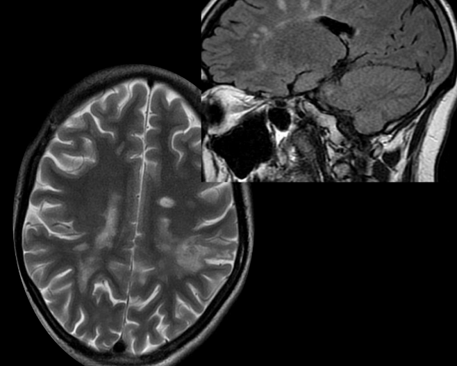
3
Q

T1

A

Hipointensas
Black hones: crónicas

How well did you know this?
1
Not at all
2
3
4
5
Perfectly
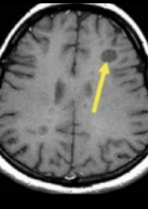
4
Q

T1 GD

A

Captación: aguda: activa

How well did you know this?
1
Not at all
2
3
4
5
Perfectly
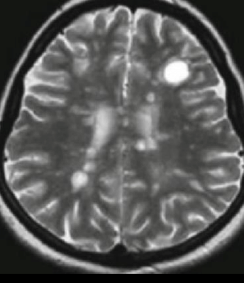
5
Q
A

T2
Dedos de dawson
activa

How well did you know this?
1
Not at all
2
3
4
5
Perfectly
6
Q
A

Black hole: crónica

How well did you know this?
1
Not at all
2
3
4
5
Perfectly
7
Q
A

T1 GD
ACTIVA capta

How well did you know this?
1
Not at all
2
3
4
5
Perfectly