TEP Flashcards

(6 cards)

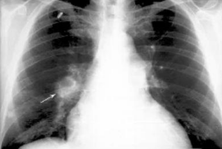
1
Q

RX

A
  • Joroba de Hampton: atelectasia basal por necrosis del tejido
  • Sx western marc: se observa oscuro
  • Dilatación de la arteria pulmonar
How well did you know this?
1
Not at all
2
3
4
5
Perfectly
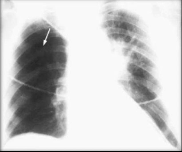
2
Q
A

Signo de Western Mark:
Hiperlucencia periférica por oligoemia

How well did you know this?
1
Not at all
2
3
4
5
Perfectly
3
Q
A

Dilatación de la arteria pulmonar

How well did you know this?
1
Not at all
2
3
4
5
Perfectly
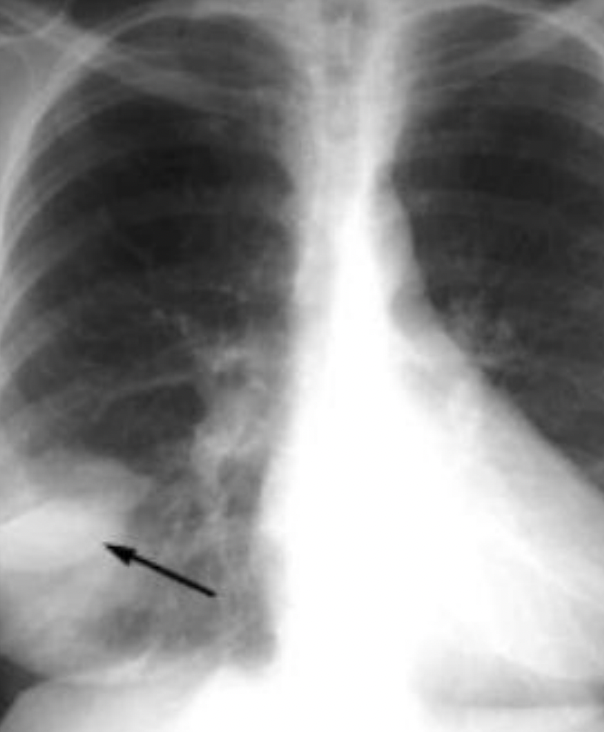
4
Q
A

Joroba de Hampton:
Osificación pleural en domo secundaria a hemorragia e infarto

How well did you know this?
1
Not at all
2
3
4
5
Perfectly
5
Q
A

Joroba de Hampton

How well did you know this?
1
Not at all
2
3
4
5
Perfectly
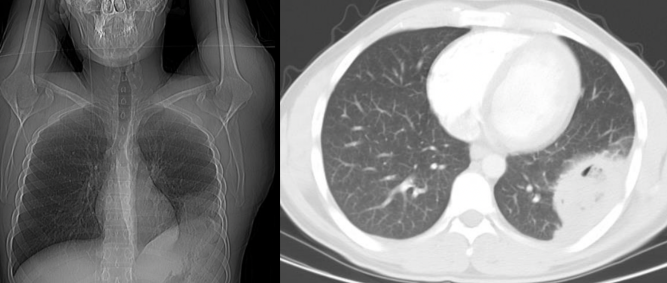
6
Q

Diagnóstico

A

TC contrastada

How well did you know this?
1
Not at all
2
3
4
5
Perfectly