Tuberculosis Flashcards

(5 cards)

1
Q

RX Y TC

A

Nódulo solitario: primoinfección
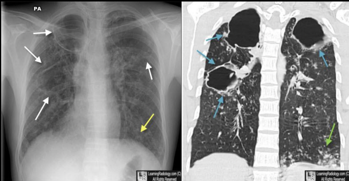
Consolidación parchada o cavitación: reactivación
Miliar: DESASTRE

How well did you know this?
1
Not at all
2
3
4
5
Perfectly
2
Q
A

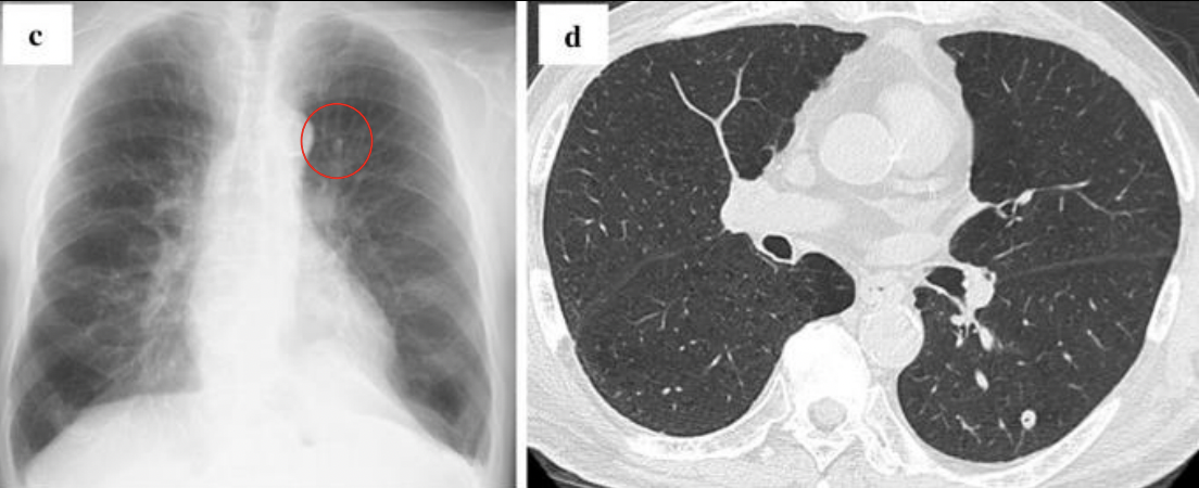
Primoinfección

How well did you know this?
1
Not at all
2
3
4
5
Perfectly
3
Q
A

Reactivación: consolidación o parchada o cavitación

How well did you know this?
1
Not at all
2
3
4
5
Perfectly
4
Q
A

Cavitación

How well did you know this?
1
Not at all
2
3
4
5
Perfectly
5
Q
A

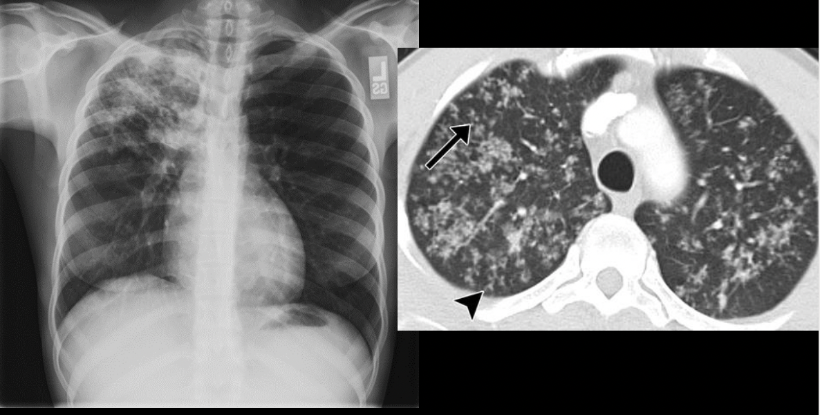
Miliar

How well did you know this?
1
Not at all
2
3
4
5
Perfectly