EPOC Flashcards

(13 cards)

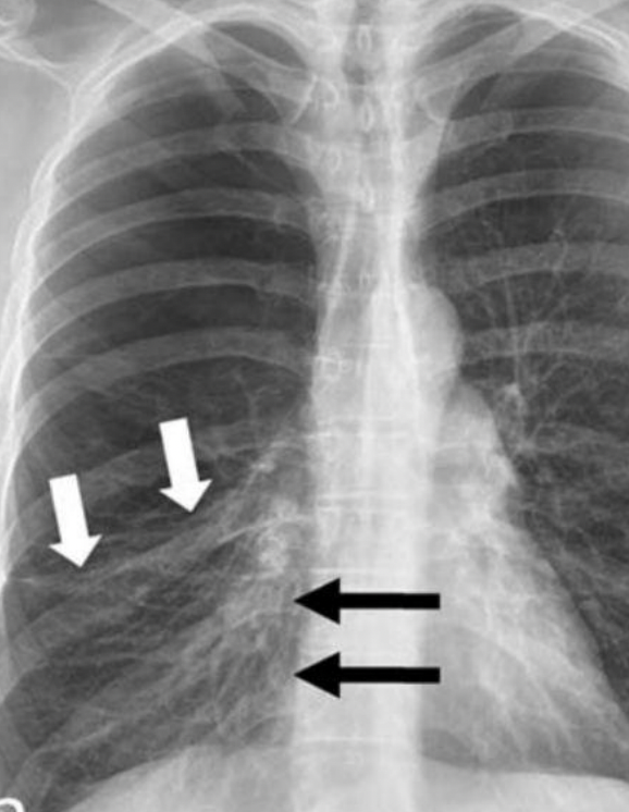
1
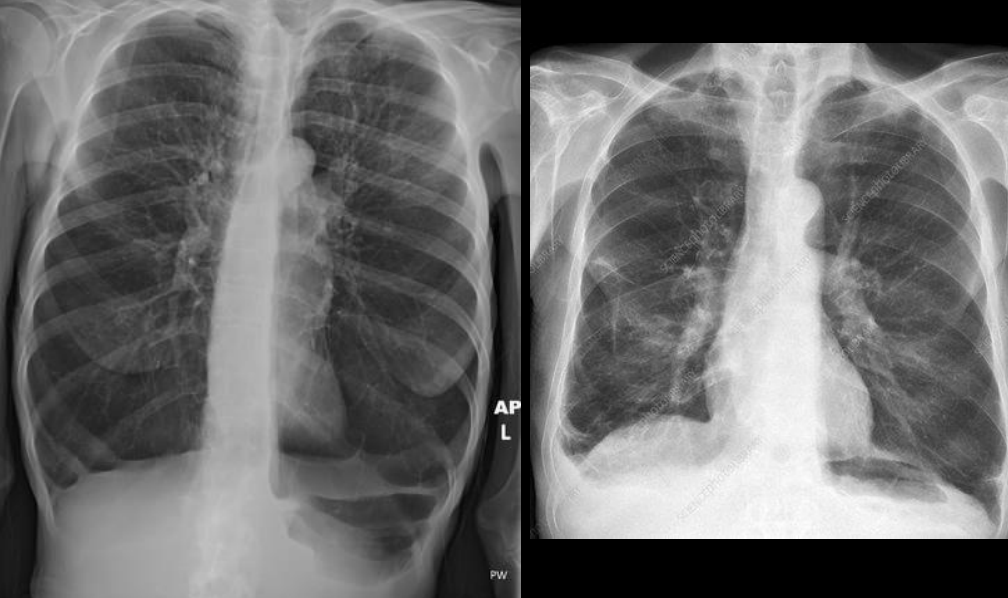
Q

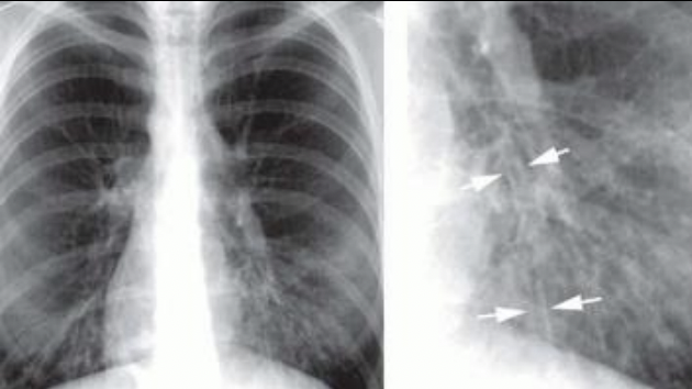
RX ENFISEMA

A

Aplamaniendo de diafragma: se alcanzan a ver las 12 costillas
Corazón en gota
Hiperinsuflación
Hiperlucidez pulmonar
Disminución de marcas broncovasculares periféricas

How well did you know this?
1
Not at all
2
3
4
5
Perfectly
2
Q
A
How well did you know this?
1
Not at all
2
3
4
5
Perfectly
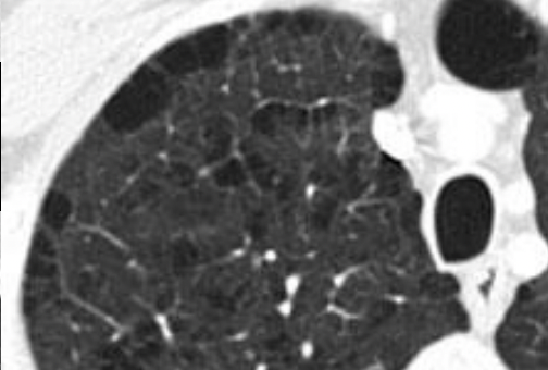
3
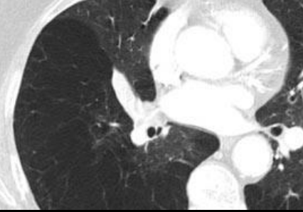
Q

TAC

A

Permite clasificar: centrolobulillar, panlobulillar, paraseptal

How well did you know this?
1
Not at all
2
3
4
5
Perfectly
4
Q
A

Centrolobulillar

How well did you know this?
1
Not at all
2
3
4
5
Perfectly
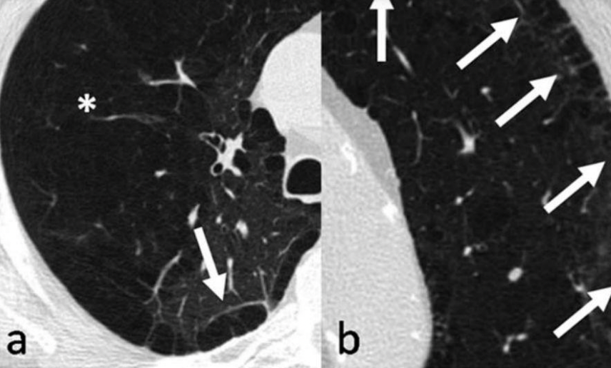
5
Q
A

Paraseptal

How well did you know this?
1
Not at all
2
3
4
5
Perfectly
6
Q
A
How well did you know this?
1
Not at all
2
3
4
5
Perfectly
7
Q
A

Centrolobulillar

How well did you know this?
1
Not at all
2
3
4
5
Perfectly
8
Q
A

Panlobulillar

How well did you know this?
1
Not at all
2
3
4
5
Perfectly
9
Q
A

Paraseptal

How well did you know this?
1
Not at all
2
3
4
5
Perfectly
10
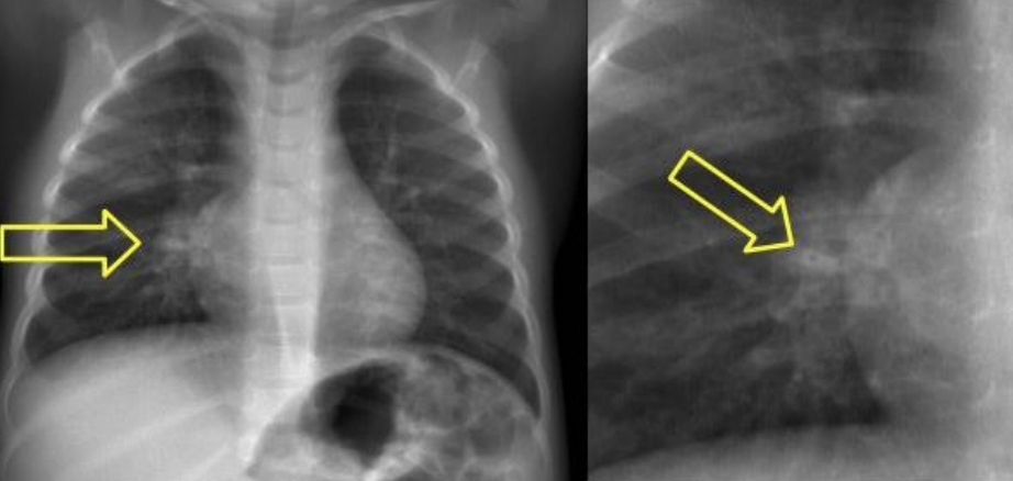
Q

Bronquitis crónica

RX y Tc

A

Patron intesticial grueso
Imágen en riel o tranvía: inflamación de pared bronquial
Manguitos peribronquiales: engrosamiento visto de frente

How well did you know this?
1
Not at all
2
3
4
5
Perfectly
11
Q
A

Bronquitis crónica

How well did you know this?
1
Not at all
2
3
4
5
Perfectly
12
Q
A

Manguitos peribronquiales: bronquitis crónica

How well did you know this?
1
Not at all
2
3
4
5
Perfectly
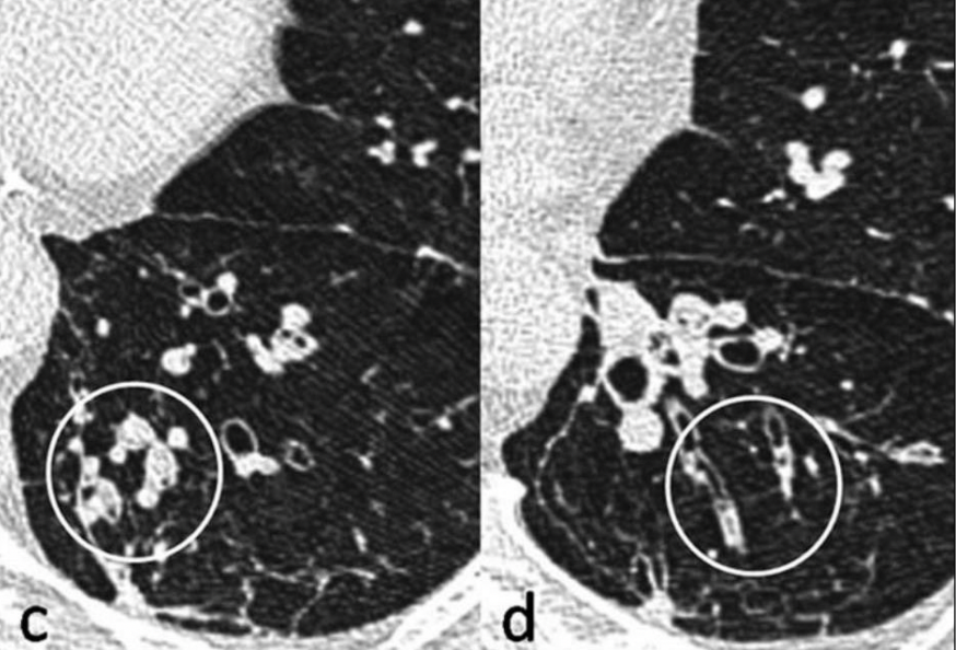
13
Q
A

Manguitos peribronquiales
Tranvía

How well did you know this?
1
Not at all
2
3
4
5
Perfectly