What does ARDS stand for?
Acute Respiratory Distress syndrome
What is ARDS?
It is an acute, severe inflammary recation of the lungs to pulmonary damage
What is the aetiology of ARDS?
Most commonly caused by sepsis
But might also be caused by
What are risk factors for developin ARDS?
What happens during ARDS?
Might lead to
What are clinical symptoms of ARDS?
Based on clinicl criteria
What are the presenting sign on examination of ARDS?
What are the clinial criterial for diganosisng ARDS?
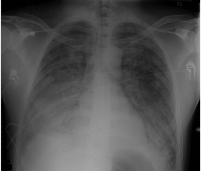
Which investigations would you do in a patient with suspected ARDS?

What is the epidemiology of ARDS?
How does tissue damage (intra or extra-pulmonary) can lead to ARDS?
Release of inflammatory Mediators –> Attraction of Neutrophils into alveoli –> Excessive release of inflammatory mediators (e.g. cytokines, proteases) –> Damage to endothelial cells and alveolar capillaries –> Diffuse alveolar Damage (DAD –> also damge to tight junctions that prevent fluid from enterin air space)
What does inflammatory damage to endothelial and alveolar capillary cells in ARDS lead to?
Might later lead to interstitial fibrosis
