What is a Pneumothorax?
Pneumothorax

What is a tension Pneumothorax?
Emergency when a functional valve lets air enter the pleural space during inspiration, but not leave during expiration

What is the Epidemiolgoy of pneumothorax?
What is the aetiology of spontaneous pneumothorax?
Spontaneous, associated with risk factors
What are secondary pneumothorax?
What are traumatic oneumothorax?
Due to trumatic injury
e-g- rib # or Iatrogenic

Why is a tension-pneumothorax petentially life-threatening?
collpas of ipsilateral, compression of contralateral lung, trachea, heart, SVC –> reduced resp. Function + reduced venous return –> reduced CO –> hypoxia/haemodynamic instability
What are the risk factors for development of a Pneumothorax?
Collagen disorders (e.g. Marfans, Elhlers danlos syndrom etc.), for spontaneous
What are the symptoms of a pneumothorax?
Asymptomatic if small
Otherwise:
What are the symptoms of a tension pneumothorax?
Tension Pneumothorax
What are the signs of a pneumothorax on examination?
P-Thorax
+ possible subcuatenous emphysema
What are signs of a tension pneumothorax on examination?
Signs of severe pneumothorax +
What are possible differentials for a Pnemothorax?
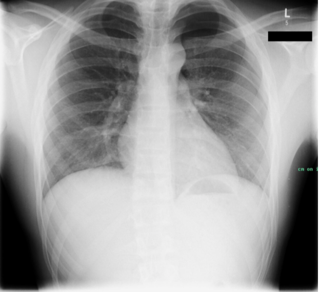
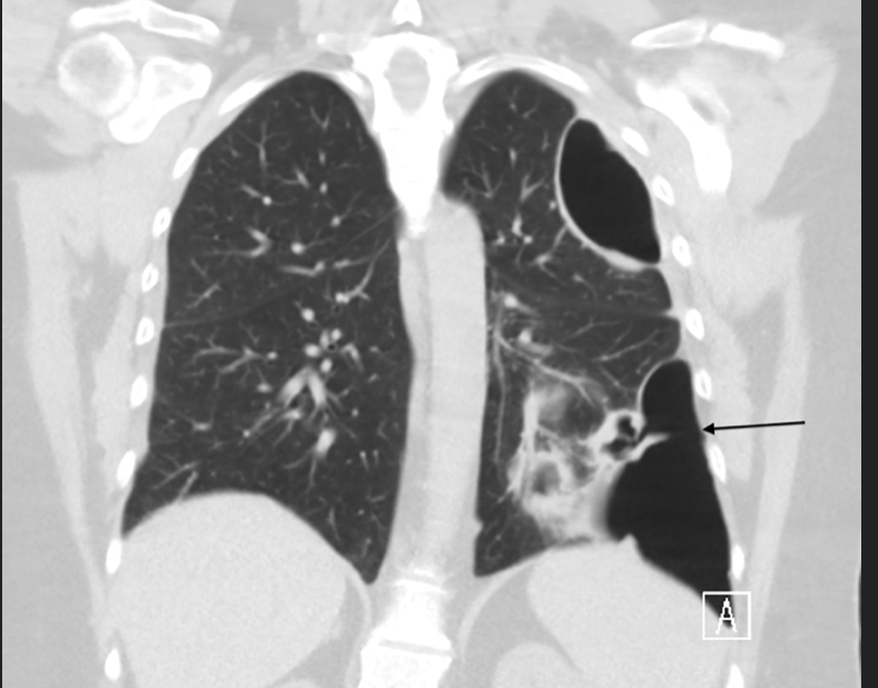
What are findings of a pneumothorax on a CXR?

Which investigations would you do in a patient with possible Pneumothorax?
CXR
ABG: determine severity of pneumothorax/ resp distress
What is the management of a tension pneumothorax?
What is a small pneumothorax?
What is it’s management?
What is the management of a medium Pneumothorax, or a small pneumothorax with clinical compromise?
Moderate Pneumothorax (>2cm lung-pleural margin)
Aspiration of air
Chest drain with water seal
What could you consider in a patient with reoccuring pneumothorax/ patient who wants to dive?
Pleurectomy
What do patients with pneumothorax need to avoid?
What are complications of Pneumothorax?
What is a bronchopleural fistula?
Abnormal passage way between bronchi and pleural space

What is the prognosis of a pneumothorax?
20% reocurrence after spontaneous pneumothorax (increaseing with repeated pneumothoraces)