What is COPD?
Chronic Obstructive Pulmonary Disease
reatable( but not curable) chronic condition that is characterised by persistent resp symptoms and air flow restriction
What is the epidemiology of COPD?
What is the Aetiology of COPD?
What are the risk factors for the development of COPD?
How does choronic airway irritation lead to airway damage in COPD?
Leads to

Which parts of the airway are affected by COPD?
What does chronic Bronchitis in COPD lead to?
What does Small airway fibrosis in COPD lead to?
What does emphysema in COPD lead to?
What are the presenting symptoms of COPD?
What are signs of COPD on examination?
What are the investigations you would do in a Patient with suspected COPD ?
What are the findings of Spirometry you would expect in a patient with COPD?
What is a typical ECG of a pateint with Cor Pulmonale?

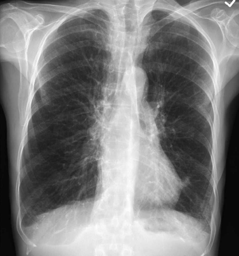
Which findings would you expect on a CXR from a COPD patient?

What are possible complications of a patient with COPD?
What is the conservative management for COPD patients?
What is the medical management of Patients with COPD?
When would you consider specialist referral for a Patient with COPD?
What is the prognosis of a patient with COPD?

What are worse prognostic factors in COPD patients?
What are the effects of LAMAs in COPD?
= Long acting muscarenic antagonis
