What is tuberculosis?
Granulomatous Disease causde by Mycobacterium tuberculosis.
What is primary TB?
What is Milliary TB?
Results when there is haematogenous dissemination.

What is post-primary TB?
Caused by reinfection or reactivation

What is the epidemiology of TB?

What kind of pathogen is Mycobacterium Tuberculosis?
Intracellular, aerobic organism (also known as acid-fast bacilli, AFB) which survives after being phagocytosed by macrophages

What does the primary infection with mycobacterium tuberculosis cause?
What are risk factors of tuberculosis?
What is the association between immunosupression and TB?
What are symptoms of primary Tuberculosis?
Mostly asymptomatic
What are signs and symptoms of milliary tuberculosis?
What are signs and symptoms of Post-primary Tuberculosis?

In which patient group is non-pulmonary TB particularly common?
What are non-pulmonary sites of TB infections?

Which investigations would you do in a patient with suspected Tuberculosis?
Explain the use and result of a Tuberculin test

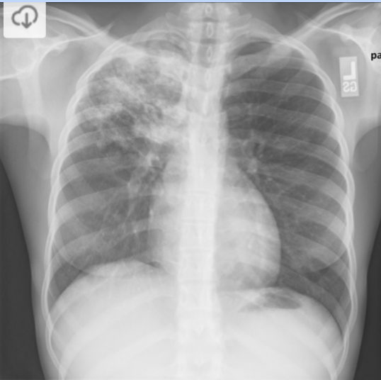
What are expected finding of a patient with TB on a CXR?
