What is the difference between Hodgekin’s and Non-Hodgkin’s lymphomas?
The presence of Reed-Sternberg cell if present:
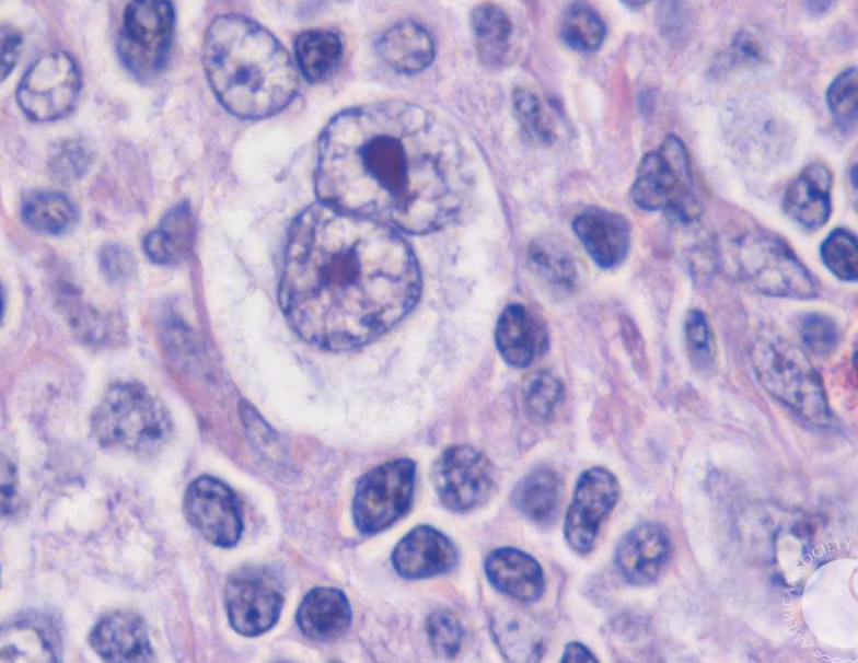
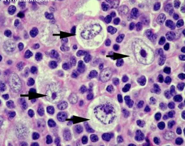
What is a Reed-Sternberg cell?
The defining type of cells for Hodgekin’s lymphoma

What are characteristics of Hodgekin’s lymphomas?
What is the normal time in which Hodgekin’s lymphomas arise?
Bimodal distribution

What are the main subgroups of Hodgekin’s lymphoma?
How many sub-types of Hodgekin’s lymphomas are there?
7 subtypes
What are B-symptoms?
What do they indicate?
Weith loss
Night Sweat and
Fever
–> common in leukemias and lymphomas
What are the characteristics of non-Hodgekin’s lymphomas?
Normally spread non-continously
What is a Hodgekin cell?
What is it characteristic of?
It is a large, mononuclear lymphocyte

What are presenting symptoms of a patient with Hodgekin lymphoma?
Normally present with
What are the presenting symptoms of a patient with non-Hodgekin lymphoma?
Very different presentation (involves over 30 conditions)
What are possible presenting signs in patient with non-hodgekin lymphomas?
What are possible signs of Hodgekin-lymphomas?
Palpation of all lymph nodes (cervical, inguinal, supraclavicular, axillary)
Hepato+splenomegaly
What is the aetiology of Hodgekin’s lymphomas?
What are risk factors for developing Hodgekin’s lymphomas?
What is the aetiology of non-Hodgekin lymphomas?
Associated with viral infection and immunosupression/ auto-immune conditions
What are apropriate investigations for suspected lymphomas?