
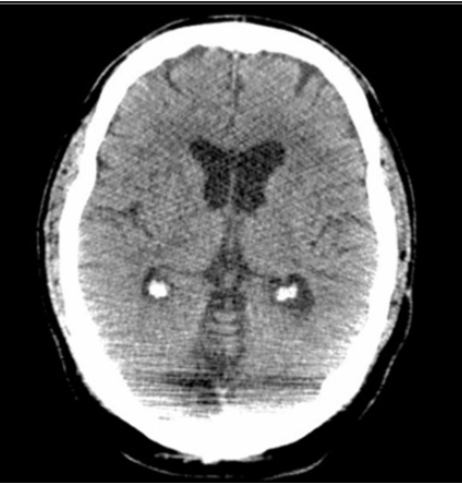
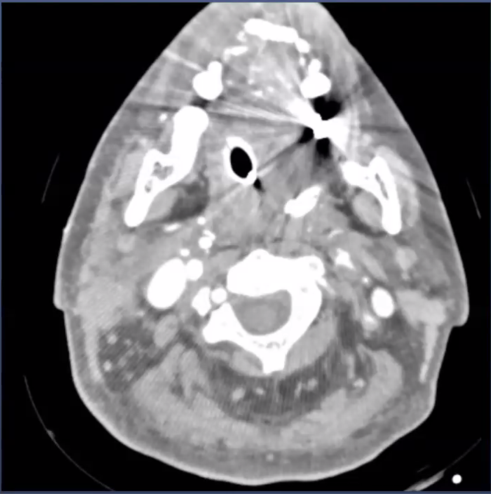
The streak artifact in this case is caused by the arms of the patient being in above the head position and outside the scan FOV.
When anatomy or anything else somewhat dense (IV bags, monitoring equipment) is outside the scan FOV, it will only be seen by the scanner on some projections (incomplete projection artifact) and cause errors in the reconstruction, resulting in streaking. The geometry of the streak artifact converges outside the FOV and not at the calvarium and thus cannot be beam hardening artifact, which would be more pronounced at lower kVp settings.

beam hardening due to contrast


cupping artifact on left, post correct on right.
X rays passing through the middle portion of a uniform cylindrical phantom are hardened more than those passing though the edges because they are passing though more material. As the beam becomes harder, the rate at which it is attenuated decreases, so the beam is more intense when it reaches the detectors than would be expected if it had not been hardened. Therefore, the resultant attenuation profile differs from the ideal profile that would be obtained without beam hardening (Fig 2). A profile of the CT numbers across the phantom displays a characteristic cupped shape

how do you fix beam hardening?


To limit image noise, ______________ can be generated by adding together several thin sections.
To limit image noise, thicker sections can be generated by adding together several thin sections.

partial volume artifact

how do you decrease windmill artifact?
thicker slices

metal artifact
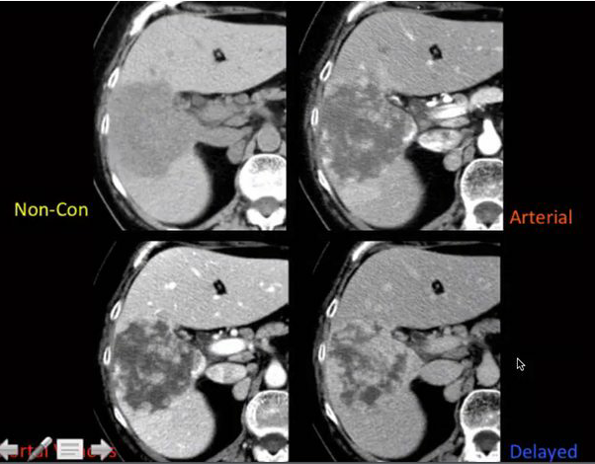
CT tech calls you to the scanner to console a pt who the tech just told has a horrible liver cancer. What is your next step?

get delayed images (10-20 min). this is most likely a cavernous hemangioma

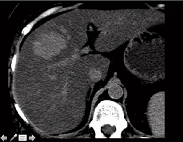
You think that the following is a hemangioma in a fatty liver, but the mid-level provider doesn’t believe you. The patient has abandoned pacer leads and can’t get an MRI. What is your next step?

Tagged RBC scan to look for hemangiomas


tagged RBC scan demonstrating hemangiomas in the liver

FNH
hot on sulfur colloid
retains eovist on delayed MR scan
FNH