Heel effect is improved with
quality and quanity trivia
Increased target Z =
Increased kVp =
Increased mAs =
Increased Voltage Ripple =
Added Filtration =
Increased target Z = inceases quality and quantity
Increased kVp = increases quality and quantity
Increased mAs = increased quantity only, no effect to quality
Increased Voltage Ripple = decrease in quantity and quality
Added Filtration = increased quality, decreased quantity
Is the probability of compton scatter dependent on Z of the atom or density of the material?
DENSITY OF THE MATERIAL
probability of compton scatter does NOT depend on the Z of an atom
probabilty of the photoelectric effect with change in atomic number
probability of the photoelectric effect is proportional to the atomic number cubed
Z3

equation for the probability of photoelectric effect in matter
probability of the photoelectric effect is inversely proportioal to the incident photon energy cubed:
1/E3
what is the TVL?
TVL = 10th half value length
it is the thickness of a material that can attenuate an xray 90%
Contrast media is used to increase the likelihood of a photon interaction due to an increase in the probability of:
Photoelectric effect Contrast media is used to increase the likelihood of photoelectric absorption.
what is the difference between the two curves?

Characteristic peaks changed, which is how you know the TARGET marterial is changed.
The green curve is a lower Z element. K shell energy increases with Z

What determines highest energy Xray, and what determines the lowest energy Xray
Highest energy xray depends on the selected kVp
Lowest energy xray depends on the placement of the xray filter which filters out lower enregy xrays
Photon interactions with tissue in the diagnostic energy range are dominated by:
Compton scatter
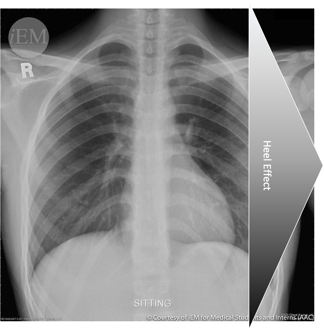
what happens to the heel effect as you increase the focus to film distance?
Larger focus to film distance = less heel effect
at shorter distances the heel effect is more pronounced
what is the effect on the bremsstrahlung spectrum if mAs is increased from 200 mAs to 400 mAs?

Coherent scattering is significant in diagnostic imaging because:
Coherent scatteringis significant in diagnostic imaging because it can degrade image quality. In coherent scattering reactions, no ionization occurs and no deposition of energy into the atom occurs. Coherent scattering events account for less than 5% of photon interaction in soft tissue at photon energies above 70 keV.

what is the apparent (effective) focal spot?
where the xrays land on the patient

Does compton scattering occur at higher or lower energies?
higher energies
In chest radiograhy, what is the orientation of the anode-cathode?
anode up cathode down, oriented vertically
Soft tissues incrase over the upper abdomen so you want the cathode side which has a more intense beam

How is Bremsstrahlung radiation generated?
Bremsstrahlung radiation is electromagnetic radiation emitted from the slowing down of electrons due to interactions between the negative charge of the electron and the positive charge of the nucleus. The energy of the bremsstrahlung photon is equal to the energy lost by the electron after it slowed compared to its initial energy.
Why are there are range of energies of Xrays given off from Bremststrahlung interactions?
as electrons slow down and approach the nucleus, the distance from the nucleus determines the energy given off.
there is a spectrum energies of xrays emitted

Amount of k-shell characteristic xrays at the following kVps
kVp manipulation trivia:
below 69.5 kVp =
Between 80-150 kVp =
Between 150-300 kVp =
Above 300 kVp =
below 69.5 kVp = Zero k-shell characteristic xrays
Between 80-150 kVp = 10-25% K shell characteristic xray contribution
Between 150-300 kVp = Progressive decrease in contribution
Above 300 kVp = negligible contribution
Photon with energy > _______eV is ionizing
15 eV
What is the effect on the heel effect when you make a steeper target angle?
Greater heel effect
Less material for the electron beam to pass through

xray wavelength
0.01 - 10 nm