
Spatial resolution phantom

noise CT phantom
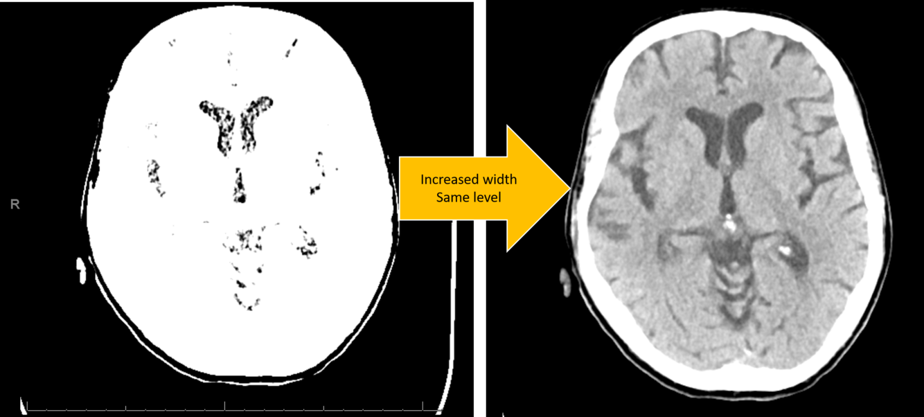
CT brain image has level of 2 HU and window of 2 HU. Altering what parameter will improve contrast?

increasing the width HU will improve contrast

detection of a large low contrast object can be improved by:
The term “effective mAs” refers to
The term “effective mA” or “effective mAs” is used in helical CT scanning and is the mAs/pitch. As the pitch increases with all other settings remaining constant, the number of x-ray photons contributing to the slice data will decrease (effective mAs). The effective mAs determines the dose to the slice (CTDIvol) and signal to noise.

How does pitch affect effective mAs?
The term “effective mA” or “effective mAs” is used in helical CT scanning and is the mAs/pitch. As the pitch increases with all other settings remaining constant, the number of x-ray photons contributing to the slice data will decrease (effective mAs). The effective mAs determines the dose to the slice (CTDIvol) and signal to noise.

what generation are most CT scanners?
3rd generation
which means the xray tube and the detector spin around the patient in syncrony
what is the typical CT tube current?
1000 mA
(regular general radiography is 200-800 mA)
large or small focal spot on the CT xray tube anode?
large focal spot to handle all the power
what filter is typically used in CT?
copper or aluminum (6mm) to filter the xray beam
what is a bow tie filter?
used to compensate for the uneven attenuation of the beam by the patient and attenuate less in the center and more on the edges
They are made of low Z materials (like Teflon) to reduce hardening differences
where are collimators positioned in CT scanners?
both the xray tube and detector to shape the xray beam
also reduces some scatter
what is filtered back projection?
an analytic reconstruction algorithm designed to overcome the limitations of conventional back projection; it applies a convolution filter to remove blurring. It was, up until recently the primary method in cross-sectional imaging reconstruction.
It utilizes simultaneous equations of ray sums taken at differing angles of a sine wave to compute the values of attenuation coefficients within a cross section.

what is minimal slice thickness determined by?
detector element aperture
what is a ray
a measure of total xray attenuation along a line from the focal point to a single detector
what is a projection?
all rays at a given angle of the xray tube (a series of rays that pass through the patient)
what kind of xrays are used with CT?
highly filtered, high kV (average energy 75 keV)
what is the matrix size for CT? each pixel is?
matrix is 512 x 512
each pixel representing 4096 possible shades of gray (12 bits)
2x
212 = 4096
what is the relationship between pixel width and height to voxels?
that are the same
Pixel W x H = voxel W x H
voxel has a third dimension, voxel is a cube and pixel is a square
How do you calculate pixel size?
pixel size = FOV/matrix
what is a “kernel”?
convolution algorithm, refers to the process used to modify the frequency contents of projection data prior to back projection during image reconstruction in a CT scanner
How do you improved spatial resolution in CT?
Decrease pixel size
Pixel size =FOV/Matrix
what happens to the images if you turn down mAs?
less mAs = more noise
(decreased SNR)
what is pitch?
the distance the table moves in a single revolution
pitch = table movement/beam width