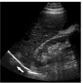
An artifact in this image is caused secondary to what property of the ultrasound waves?

attenuation
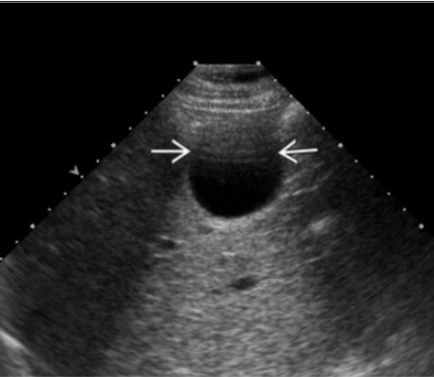
Shadowing artifact occurs secondary to the reflective and attentive properties of the imaged structure. As seen in this example, the gall bladder stone is highly attenuating and reflectiv3e leading to complete abscence of sound waves behind the stone.

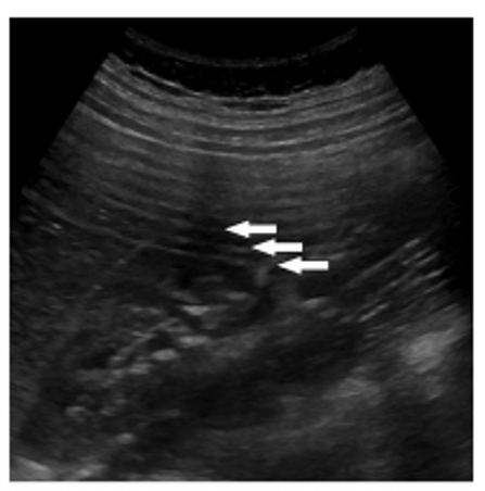
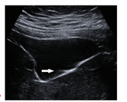
The artifact shown is reverberation caused by back and forth reflection of the ultrasound beam between 2 closely spaced interfaces. These reverberation echoes appear as multiple equally spaced lines, which decrease in intensity with increasing depth. This artifact is often caused by highly reflective interfaces, e.g., metallic objects or calcification in tissues.

lso known as propagation velocity artifact, is a gray scale ultrasound finding that can be identified as an area of focal discontinuity and displacement of an echo deeper than that its actual position in an imaged structure.
occurs when the velocity of sound is decreased below the assumed 1540 m/s due to an attenuating lesion –> delay of returning echo. Image processor will erroneously place the tissue posterior to the attentuating lesion deeper than it is truly located
US beam related artifacts:

do side lobe artifacts happen more with linear or curved US arrays?
linear arrays
how do you decrease beam width artifact?
artifacts from multiple echoes:

reverberation artifact:
multiple equidistance echoes



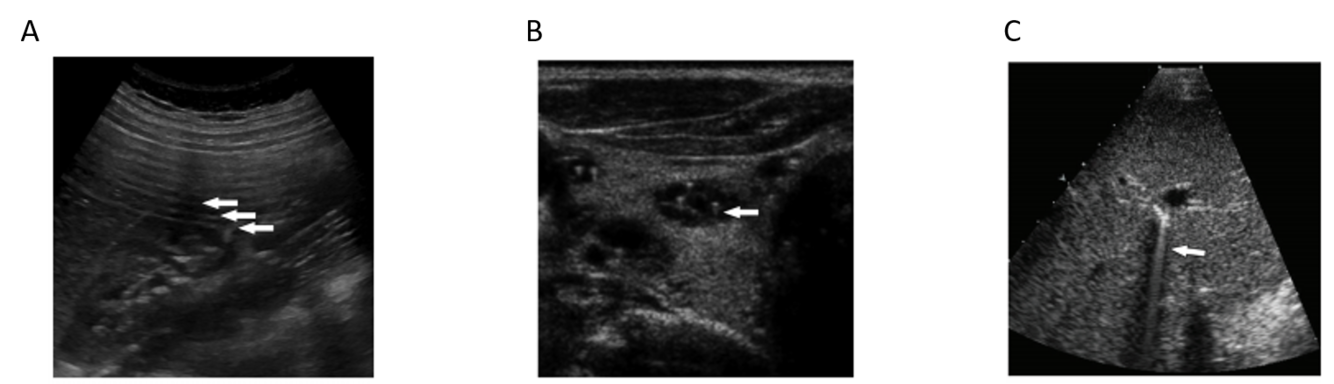
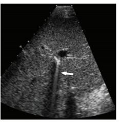
why do you get a tapering triangle in comet tail artifact?
comet tail artifact is a form of reverberation, but the two parallel highly reflective surfaces are closer together –> sequential echoes are closely spaced
spce between reflectors may be < SPL (minimal distance needed for axial res)
Reason you see a triangle and not a square: later echoes get attenuated and have decreased amplitutde. Decreased amplitude is manifested on the displayu as decreased width. So you get a tapering triangle

ring down artifact
sound wave encounters fluid trapped between a tetrahedron of air bubbles. The vibrations create a nearly continuous sound wave transmitted back towards the probe


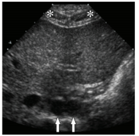
mirror image artifact.
the diaphragm almost ALWAYS causes mirror image artifact due to the difference in acoustic impedance between air and liver.
*If NO mirror image artifact is seen in the lung base —> PLEURAL EFFUSION



refraction artifact


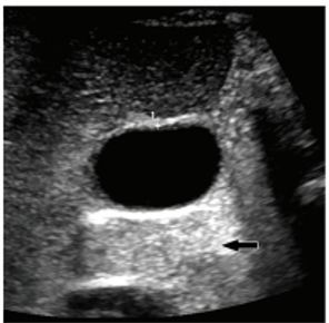
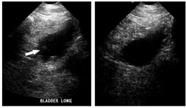
increased through transmission (acoustic enhancement)
opposite of shadowing. beam runs into material (fluid) that attenuates sound LESS than the surrounding tissue and strength of the beam distal to the structure appears BRIGHTER than the surrounding field