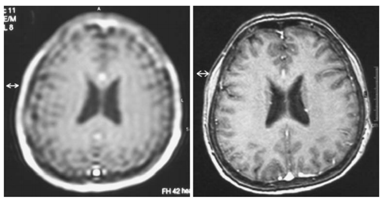
How can Gibbs artifact be minimized
Truncation errors (Gibbs artifact) can be minimized by increasing the number of phase-encode steps or by reducing the field of view.
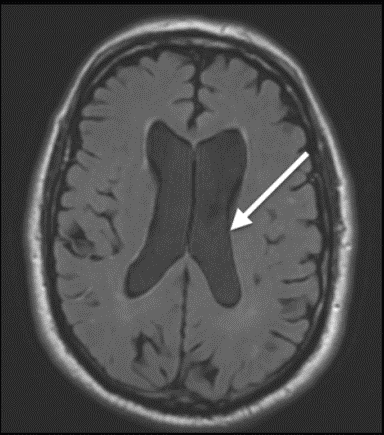
What was the most likely step taken to eliminate the artifact seen in the first image?

Increasing the matrix size decreased truncation artifact (aka Gibbs, or ringing).
choosing a smaller FOV can also help eliminate this artifact


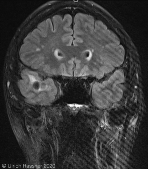
aliasing
also called Moire fringe artifact, commonly seen in GRE sequences and is a result of alternating constructive and destructive interference
Moire fringe artifact is commonly associated with what sequence?
GRE

aliasing (ear lobe into middle of image)

flow artifact

Bounce point artifact



How do you decrease aliasing on MRI?



Why should we always get OOP before IP in the clinical setting?


water saturation
The accidental water saturation can be focal or affect an entire slice or even many slices. Watch for bright fat and very dark or black watery tissues.

Swap artifact with Dixon Fat suppression
what is this artifact and what can be done to fix it?

k-space data error (herringbone)
A single erroneous data point (spike) in k-space creates a line pattern through the image
if data point is on the x-axis the lines will be verticle, if the data point error is on the y-axis the lines will be horizontal. If the lines are diagonal, the data error is not on an axis.
how to fix: Repeat the scan without parameter changes (usually due to random error). But, if it occurs frequently as faulty coil may be the problem



k-space data error (herringbone artifact)
Due to a data flitch/ reconstruction error
To fix this just reconstruct again and hopefully the error in k-space will resolve

chemical shift artifact, of the first kind
occurs in the frequency encoding direction.
black –> white is the direction of the frequency encoding direction.








