56yo male has an abnormal GB identified on a CT scan. What is the approx. likelihood that he will develop GB carcinoma?

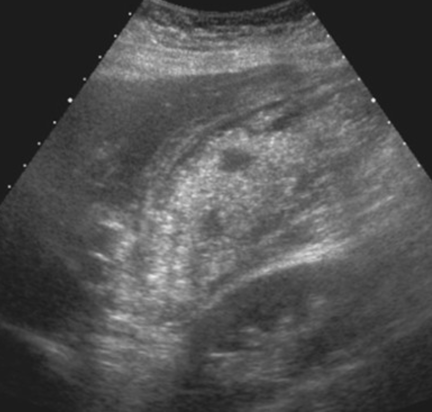
This patient had abdominal pain + fever & a gallstone that was seen on US.
What is the name of this sign?
Dx?

34yo female w/abdo pain + fever, but negative Murphy.

Dx: gangrenous chole.

This gallstone is in the duodenum.

Dx?
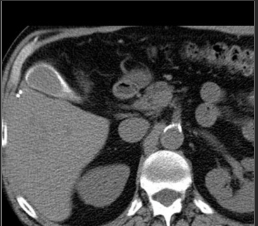
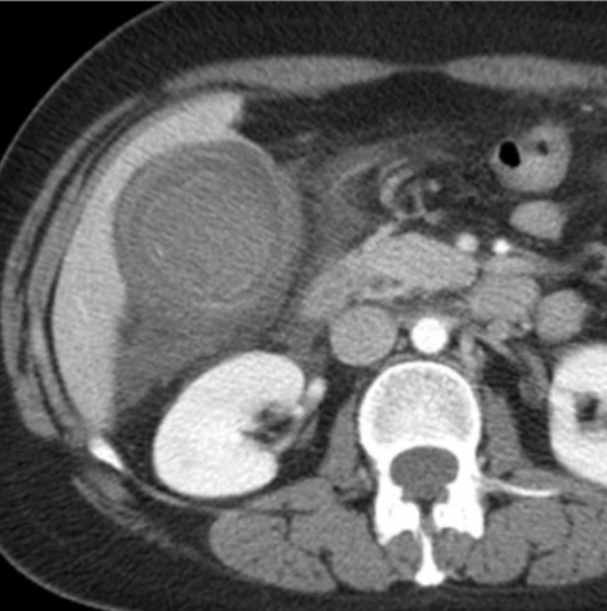
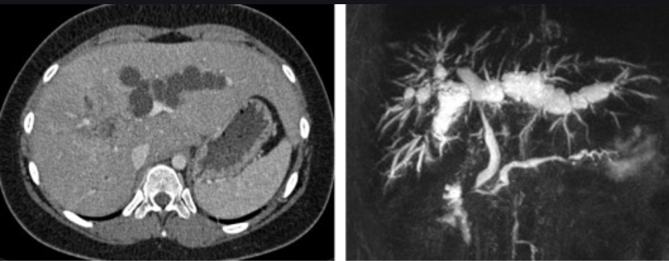
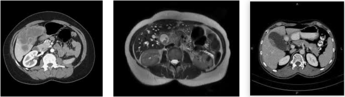
Caroli syndrome.

Dilated ducts Dx
Dx?


Biliary MR

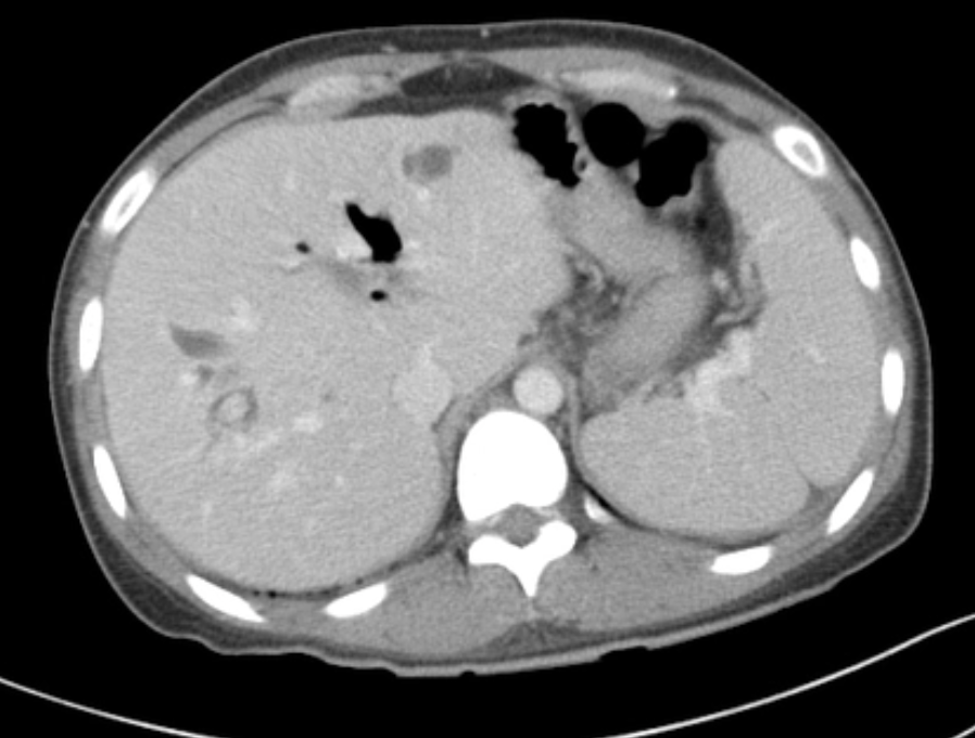
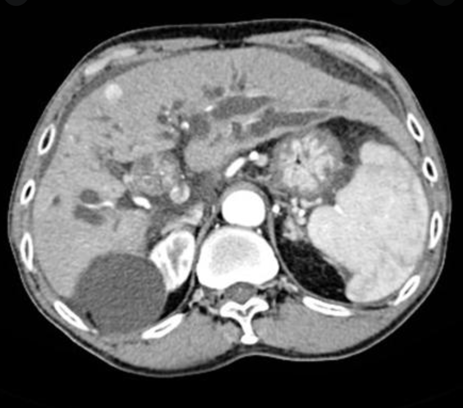
DDx cystic hepatic lesion
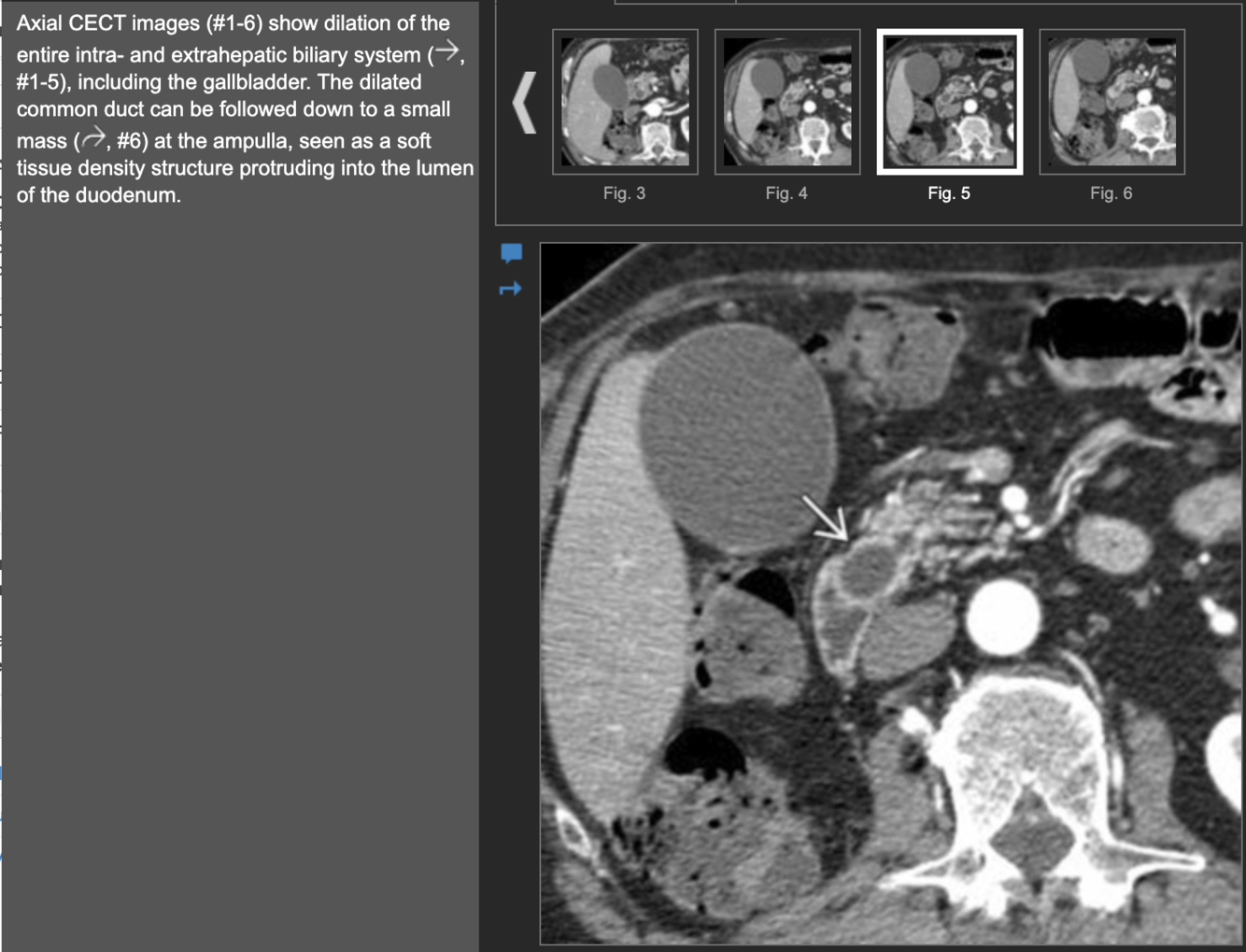
Choledochal cysts

Biliary anatomical variants

Bile duct infection/inflammation:
Bile duct infection/inflammation: ascending cholangitis
Px: general cause, most common cause.
Sx: clinical triad. Clinical pentad.
US-2
CT-2
Tx-3; prognosis.
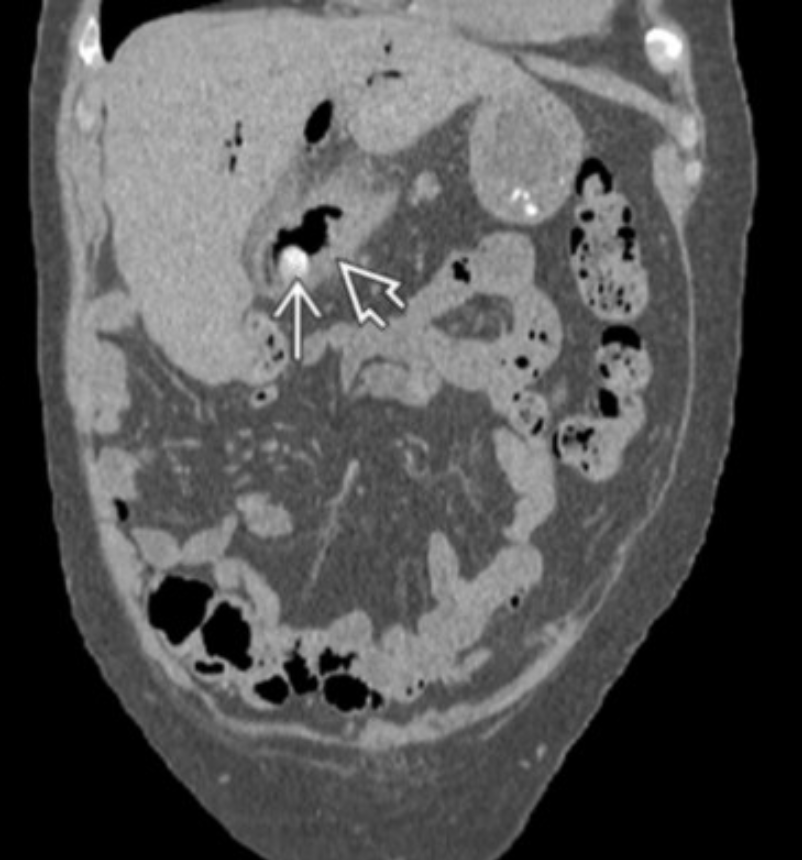
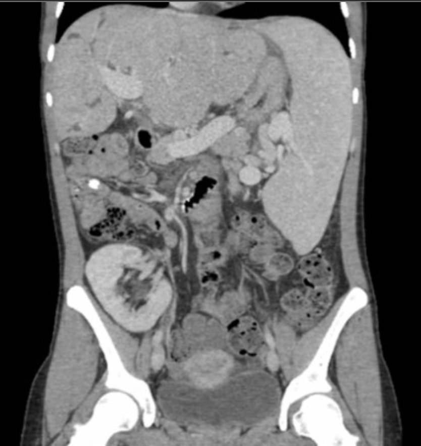
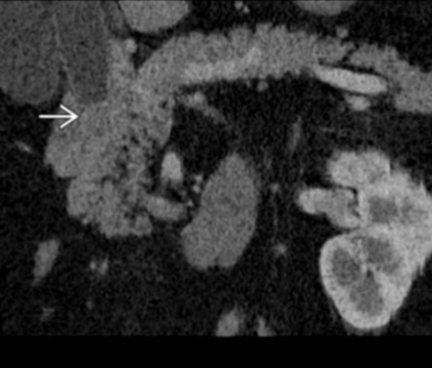
Px: general = biliary tree blockage; most common cause = choledocholithiasis.
Sx: Charcot’s triad (Charco = yello): jaundice, RUQ pain, fever.
US: thickened bile duct walls +/- debris w/in the biliary system may be present.
CT: hyperenhancement & thickening of bile duct walls often w/a CBD stone.
Tx: initially w/Abx & fluids, & if refractory, ERCP: stone removal & sphincterotomy.

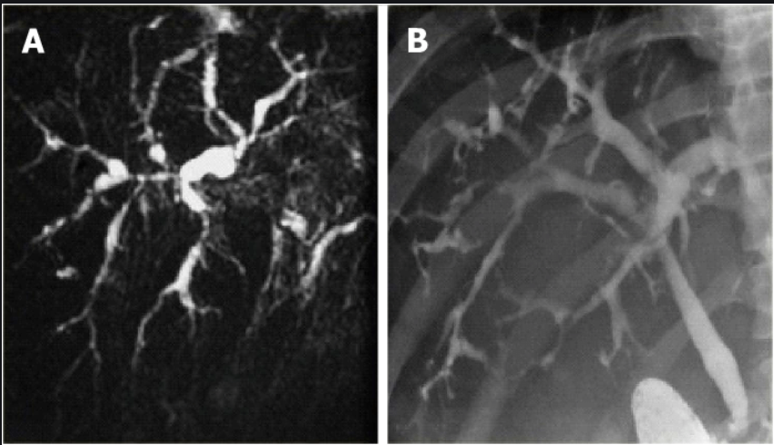
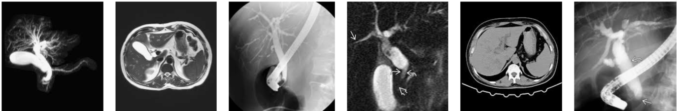
Bile duct infection/inflammation: PSC
Px: 1
Ex: IBD assocn; sex;
ERCP/MRCP: app; which parts of the biliary tree most affected?
How differs from HIV cholangiopathy?
Long-term complications-3

Bile duct infection/inflammation: PBC (primary biliary cholangitis, but used to be cirrhosis)
Px: which ducts affected?
Ex: who?
Sx: common initial presentation?
Sequela?
Px: unlike PSC, this affects smaller ducts (women are smaller).
Ex: middle-aged women; (mnemonic: PBC; B stands for “broads”).
Sx: pruritis, but also fatigue.
Sequela: cirrhosis.

Bile duct infection/inflammation: AIDS cholangitis/cholangiopathy
Px: 2 bugs involved.
Ix: common feature & unique; % of cases w/the unique feature.

Bile duct infection/inflammation: chemoTx-induced cholangiopathy/cholangitis
Px: cause.
Ix: ducts affected/spared.

Bile duct infection/inflammation: recurrent pyogenic cholangitis (Oriental cholangiohepatitis)
Px: bug involved; what does this lead to?
Ex: where?
Ix: triad.
Sequela-1

Biliary neoplasia: biliary cystadenoma
Px: cell type; does it communicate w/the biliary tree?
Ex: sex?
Ix: general appearance; how to differentiate from other similar entities.
Tx:
Sequela.

Biliary neoplasia: cholangiocarcinoma

Thorium dioxide:
Biliary neoplasia: GB carcinoma

Biliary neoplasia: GB mets



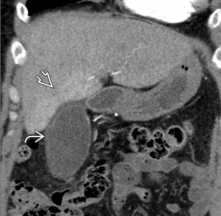
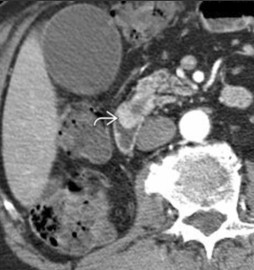
Dx?

Dx: type 4A choledochal cyst.
