Which enzyme may be elevated in pancreatic ductal adenocarcinoma?
CA19-9
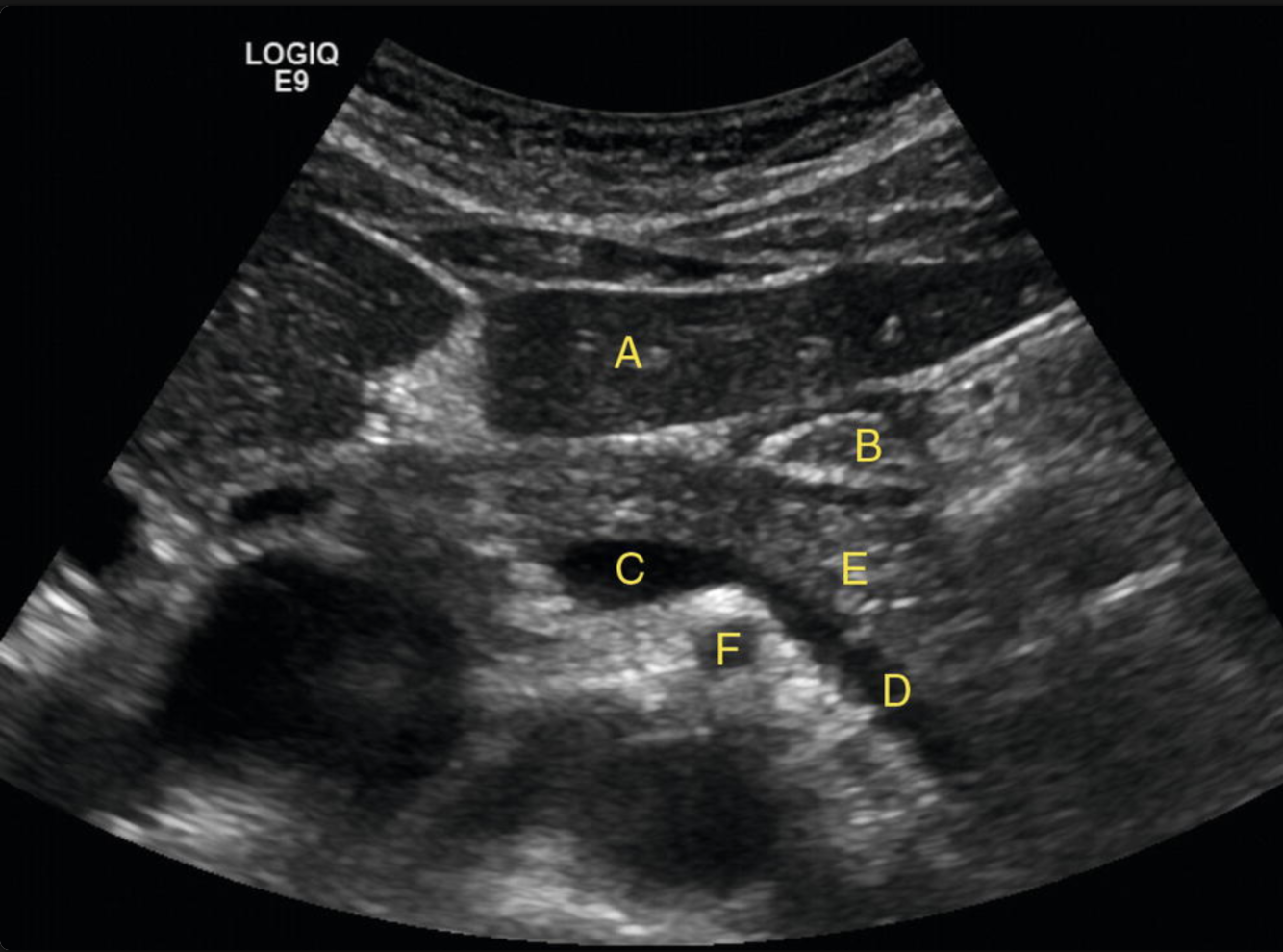
Identify the following structures:

D: celiac a.
E: SMA
F: splenic v.
G: pancreas
H: distal esophagus
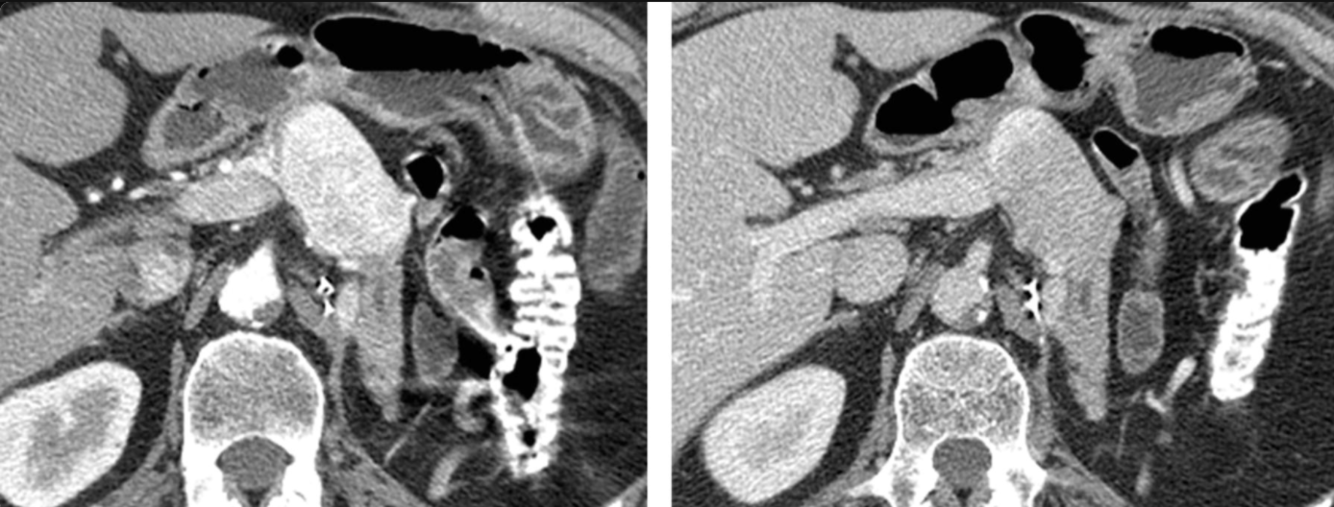
Most common cause of this?

“Double duct” sign = pancreatic adenocarcinoma at the pancreatic head.
Name the most common met to the pancreas
RCC!


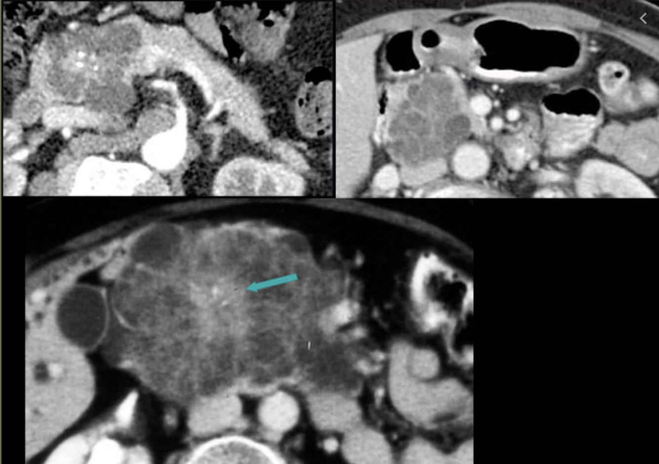
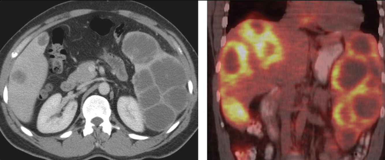
What is the most likely etiology for these findings?

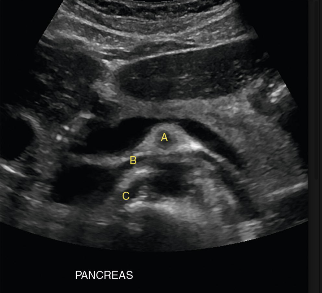
Identify the following structures:

A: liver
B: stomach
C: portosplenic confluence
D: splenic vein
E: pancreatic body
F: SMA
Name the most common benign splenic tumour.
Hemangioma.

68yo female; Dx?

Dx: pancreatic serous cystadenoma.
Identify the following structures:

A: SMA
B: L renal vein
C: R renal artery
Name the most common primary to met to the spleen
Melanoma
These splenic findings are most commonly associated w/what process?

Gamna-Gandy bodies = PHTN.
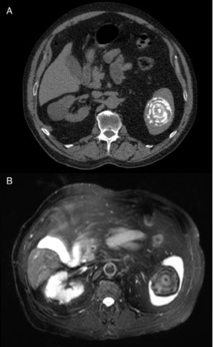
Dx?

Angiosarcoma of the spleen & liver: complex cystic appearance w/central necrosis & irregular foci of internal nodularity.
What is the most common GI tract site for sarcoidosis?
Gastric antrum

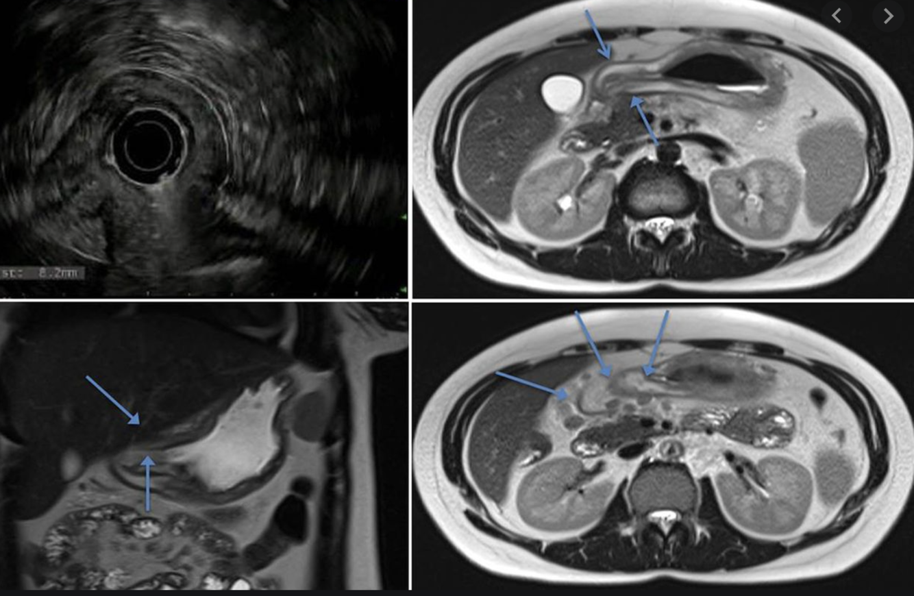
If you see isolated gastric varices, what should you think of?
Splenic vein thrombosis.

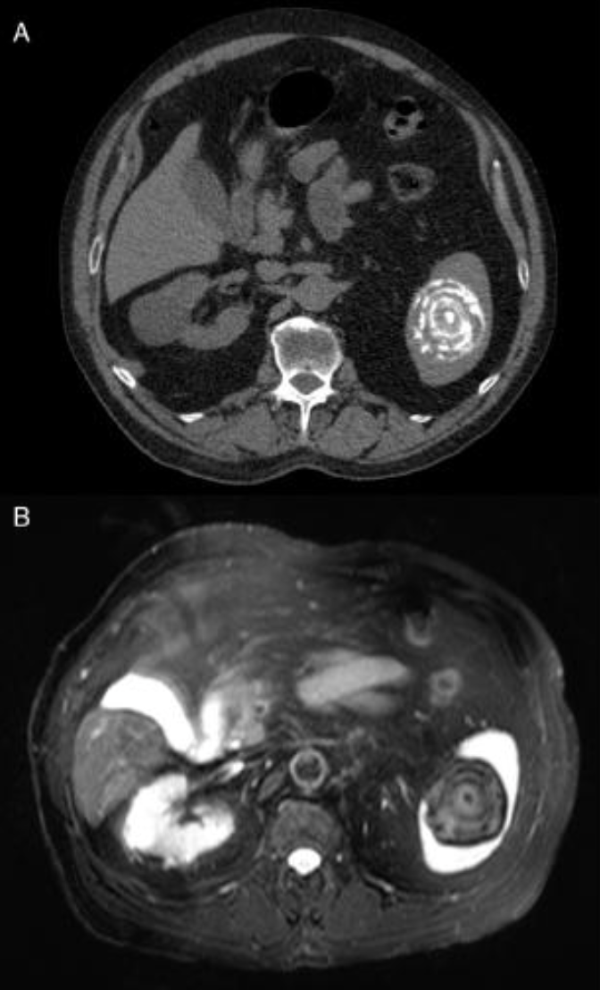
Dx?

Brucellosis: solitary, large (>2cm) targetoid calcified, splenic lesion.

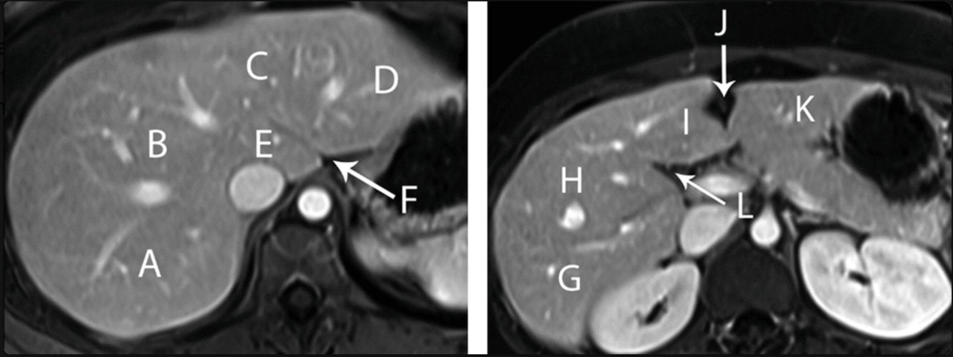
Name each of the structures

A: seg 7
B: seg 8
C: seg 4A
D: seg 2
E: seg 1/caudate
F: fissure of ligamentum venosum
G: seg 6
H: seg 5
I: 4B
J: fissure for falciform ligament
K: seg 3
L: interlobar fissure (for the GB, separates R & L lobes_
DDx hyperdense hepatic parenchyma

List the LI-RADS major features favouring HCC.

On what side of the bowel do jejunal diverticula occur?
Mesenteric

Dx?

von Meyenburg complex: tiny T2 hyperintensities throughout the hepatic parenchyma.
What is the generic name for Bayer HealthCare’s Eovist?
Gadoxetate