Liver anatomy


Liver anatomy: caudate

Liver anatomy: caudate hypertrophy


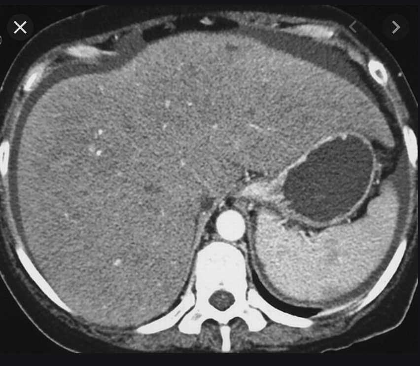
CT of the liver

MRI of the liver:

MR contrast agents: extracellular
MR contrast agents: hepatocyte-specific

Diffuse liver disease: NAFLD
Px: 2 types; components of metabolic syndrome (4).
Ex: prevalence.
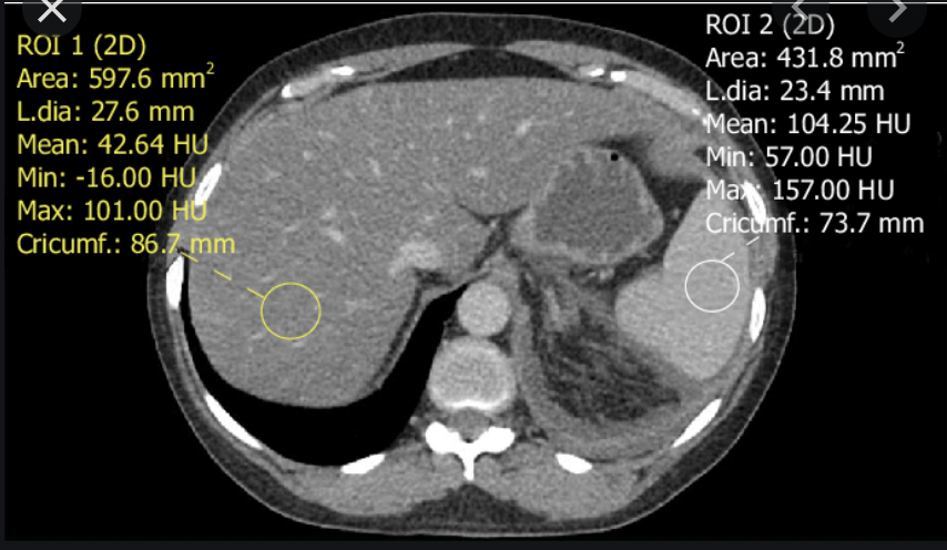
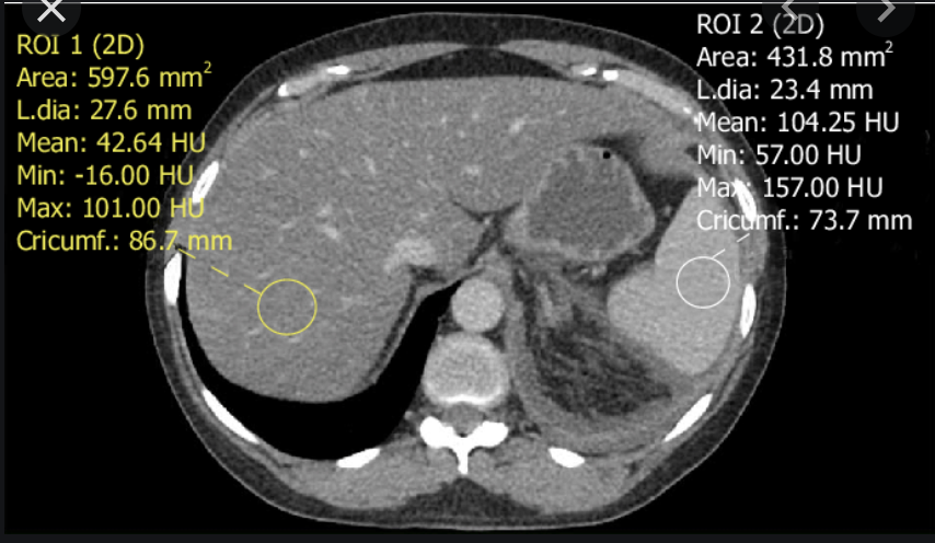
Ix: NCCT normal app of liver relative to spleen; HUs.
Px: steatosis, steatosis w/inflammatory activity (steatohepatitis); NAFLD, obesity, insulin resistance, dyslipidemia.
Ex: 15%.
Ix: liver should be slightly hyperattenuating relative to spleen; normal liver 10HU < spleen.

DDx hypoattenuating liver (2)
DDx hyperattenuating liver (4)
DDx diffuse/focal hepatic steatosis (5)?
Normal liver attenuation

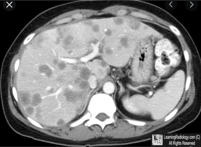
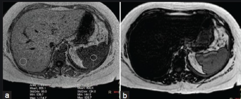
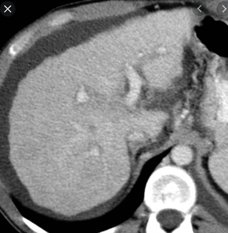
Diffuse liver disease: focal fat
Px: why does this form.
Ix: 3 features compared to real masses.
Px: variations in PV supply delivers fat differently, and third inflow (aberrant R gastric venous drainage, veins of Sappey, vein of Burow).
Ix:

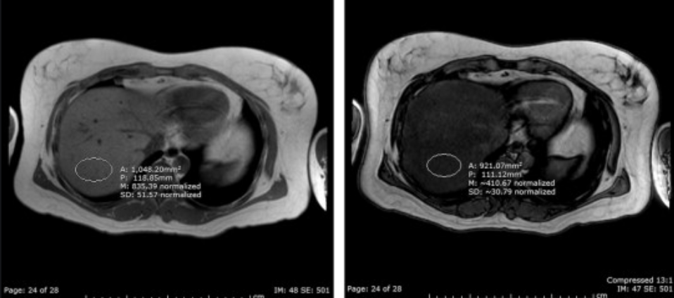
Diffuse liver disease: NAFLD
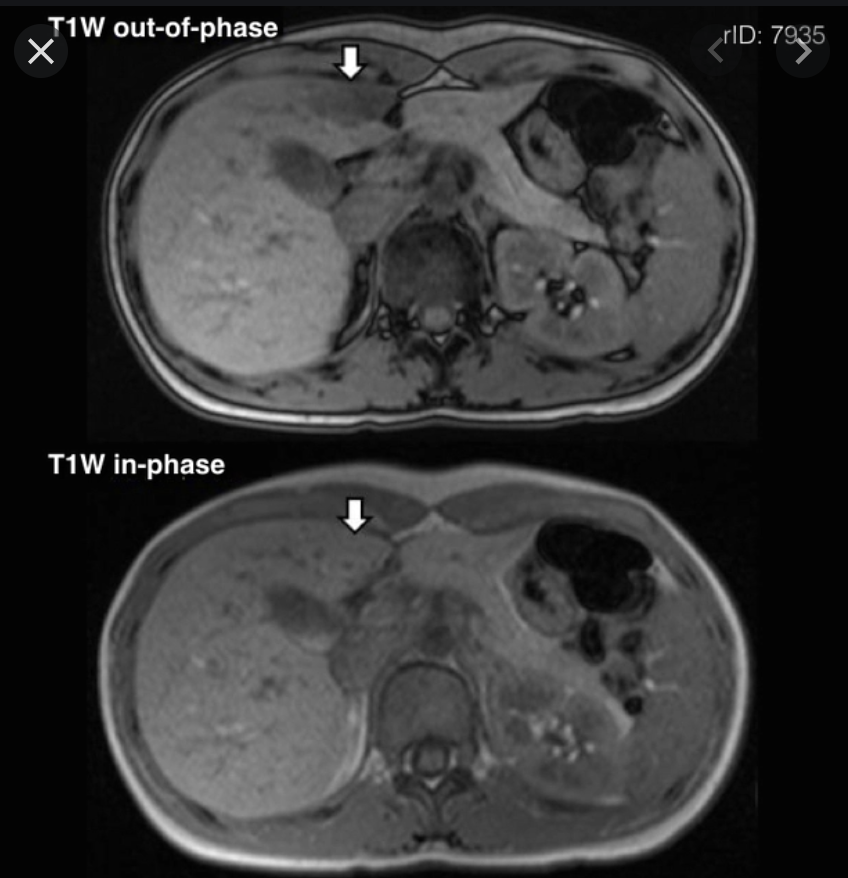
Ix: How MR in/out works.
Ix: when water & fat protons are in the same MR voxel the fat/water signals are summed in in-phase, subtracted in out-of-phase.

Diffuse liver disease: amyloid
Ex: common in liver?
Ix: CT: typical app.
Ex: no, uncommon in liver.
Ix: CT: decreased attenuation, hepatomegaly, “lardaceous liver”.

Diffuse liver disease: Wilson disease
Px: cause; genetics; where else does the deposn occur; most common manifestation in childhood; hepatic sequelae.
Ix: general findings; unique hepatic findings in Wilson’s.
Px: copper accumulation; AR genetic defect; liver, basal ganglia, cornea.
Ix: general: hyperattenuation + cirrhosis

Diffuse liver disease: hepatic iron overload

Diffuse liver disease: hepatic iron overload, hemosiderosis
Hepatic infection: viral hepatitis
Ix: most sens sign

DDx multiple tiny hepatic hypoattenuating lesions
Hepatic infection: candidiasis
Px: which organs often involved.
Ex: almost always seen in who & in particular?
Ix: CT app.
Tx: mortality?
Px: liver + spleen; invade the intestinal mucosa during periods of marked neutropenia & invade liver through the portal circulation.
Ex: immunocompromised pts., especially those w/hematologic malignancies + chemo.
Ix: CT: tiny hypoattenuating foci which may be rim-enhancing.
Tx: mortality high (30%) despite antifungals.

Hepatic infection: abscess
Px: most common general cause; common causes; less common cause; most common organism.
Ix: CT-1
MR-4
Px: bowel process; diverticulitis, appendicitis; ascending cholangitis; E. coli.
Ix: CT: ring-enhancing lesion
MR: T2 central hyperintensity, irregular wall that enhances late, perilesional enhancement.
