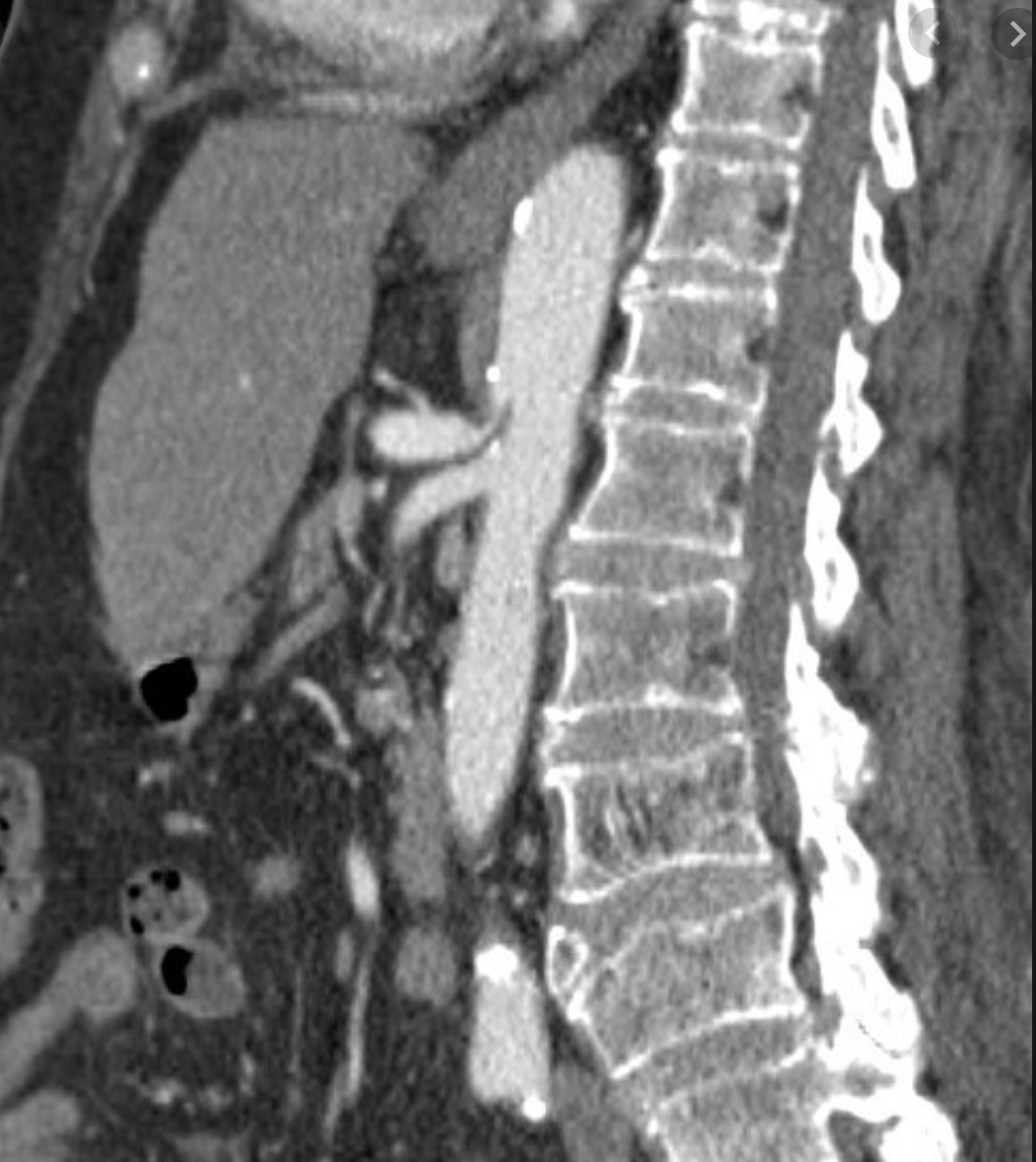
Abdominopelvic compression syndromes: MALS


Abdominopelvic compression syndromes: SMA syndrome

Abdominopelvic compression syndromes: nutcracker syndrome

Abdominopelvic compression syndromes: retroaortic L renal vein or circumAo renal collar, aka atypical nutcracker Sx
Abdominopelvic compression syndromes: May-Thurner

Distal aorta, iliac, pelvic & leg arteries: iliac atherosclerotic disease:
1.
1.
Distal aorta, iliac, pelvic & leg arteries: iliac artery aneurysm:
1.
1.
Distal aorta, iliac, pelvic & leg arteries: persistent sciatic artery:


Distal aorta, iliac, pelvic & leg arteries: pelvic vascular trauma:
1.
*