Biliary Tree Flashcards

(88 cards)

1
Q

Biliary tree begins where?

A

Liver Lobules Bile Canaliculi

How well did you know this?
1
Not at all
2
3
4
5
Perfectly
2
Q

What is the biliary tree?

A

Intercommunicating network located between hepatocytes

How well did you know this?
1
Not at all
2
3
4
5
Perfectly
3
Q

The Rt and Lt Hepatic ducts are formed by the union of what?

A

Lobular ducts

How well did you know this?
1
Not at all
2
3
4
5
Perfectly
4
Q

Intrahepatic ducts should measure no longer than what? And exhibit what?

A

2mm in diameter and exhibit a branching pattern that parallels the portal veins

How well did you know this?
1
Not at all
2
3
4
5
Perfectly
5
Q

The sonographic appearance of dilated intrahepatic duct is often referred to as what?

A

Too many tubes

How well did you know this?
1
Not at all
2
3
4
5
Perfectly
6
Q

At the Porta hepatis the RT and LT duct join to form what?

A

Common hepatic duct

How well did you know this?
1
Not at all
2
3
4
5
Perfectly
7
Q

Where is the Common hepatic duct located anatomically in relation to the PV and the right hepatic artery?

A
  1. Anterior to PV
  2. Anterior and lateral to right hepatic artery
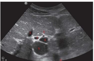
How well did you know this?
1
Not at all
2
3
4
5
Perfectly
8
Q

How is the common bile duct formed?

A

When the Common hepatic duct joins the cystic duct

How well did you know this?
1
Not at all
2
3
4
5
Perfectly
9
Q

CBD length is determined by what?

A

Insertion point

How well did you know this?
1
Not at all
2
3
4
5
Perfectly
10
Q

The CBD travels how in relation to the MPV?

A

Anterior and lateral

How well did you know this?
1
Not at all
2
3
4
5
Perfectly
11
Q

What is the normal diameter of the CBD?

A

4mm

How well did you know this?
1
Not at all
2
3
4
5
Perfectly
12
Q

What would change or vary the CBD diameter?

A
  1. Age
  2. Surgery
How well did you know this?
1
Not at all
2
3
4
5
Perfectly
13
Q

What would be the diameter of a post cholecystectomy patient?

A

Up to 10mm

How well did you know this?
1
Not at all
2
3
4
5
Perfectly
14
Q

What ligament does the CBD travel through?

A

Hepatoduodenal ligament

How well did you know this?
1
Not at all
2
3
4
5
Perfectly
15
Q

Where is the HA located in relation to the MPV?

A

Anterior and left micky mouse

How well did you know this?
1
Not at all
2
3
4
5
Perfectly
16
Q

How is the CBD located in relation to the MPV?

A

Anterior and right micky mouse

How well did you know this?
1
Not at all
2
3
4
5
Perfectly
17
Q

CBD is divided into how many parts?

A

4 parts relating to its position to the duodenum

How well did you know this?
1
Not at all
2
3
4
5
Perfectly
18
Q

Label the structures

A
  1. GB
  2. BD
  3. MPV
  4. IVC
    **the arrow points towards the HA
How well did you know this?
1
Not at all
2
3
4
5
Perfectly
19
Q

Label the structures

A
  1. GB
  2. BD
  3. HA
  4. MPV
  5. IVC
  6. AO
How well did you know this?
1
Not at all
2
3
4
5
Perfectly
20
Q

The 4th part of the CBD is called what?

A

Intraduodenal

How well did you know this?
1
Not at all
2
3
4
5
Perfectly
21
Q

The 4th part of the CBD enters what part of the Duodenum and inserts into what?

A

Enters the 2nd part and inserts into the ampulla of vater

How well did you know this?
1
Not at all
2
3
4
5
Perfectly
22
Q

The 4th part of the CBD has the sphincter of oddi, what does it do?

A

Regulates bile flow

How well did you know this?
1
Not at all
2
3
4
5
Perfectly
23
Q

What is the narrowest part of the extrahepatic biliary tract?

A

4th part of the CBD

How well did you know this?
1
Not at all
2
3
4
5
Perfectly
24
Q

What does the CHD join above the duodenum?

A

The cystic duct 1-2 cm above the duodenum

How well did you know this?
1
Not at all
2
3
4
5
Perfectly
25
The cystic duct arises from what?
The superior aspect of the neck of the GB
26
What is the shape of the cystic duct?
S shaped
27
What is the dimensions of the cystic ducts?
3mm diameter/ 4 cm in length
28
What valves does the Cystic duct contain?
The valves of heister
29
What are the valves of heister?
Mucosal folds that prevents the duct from over distending or collapsing
30
Where is the gallbladder located?
Posterior inferior surface of right liver in the GB fossa
31
In relation to the MLF where is the GB located?
Posterior and caudal
32
The position of the GB body and fundus varies with what?
Patient position
33
Which cavity is the gallbladder located?
Intraperitoneal
34
What are some landmarks for the GB? 4
1. MLF 2. RPV 3. Duodenum 4. Rt kidney
35
What is the shape of the gallbladder?
Pear or tear drop shape
36
What is the dimensions of the gallbladder? (Length and Diameter)
Length: 8-9 cm Diameter: 3-5 cm
37
What is the gallbladder sections? 3
1. Fundus 2. Body 3. Neck
38
what is the widest part of the gallbladder?
Fundas
39
Which section of the GB is the most dependent and fixed?
The neck
40
The GB wall should measure how much in a fasting state?
less than 3mm in a fasting state
41
What are the 4 layers of the GB wall?
1. Mucosal layer 2. Muscular layer 3. Subserous Layer 4. Serosa
42
What is the mucosal layer of the GB wall?
Inner epithelial Lining, concentrates bile
43
What is the muscular layer of the GB wall?
Muscle
44
What is the Subserous layer?
Connective tissue
45
What is the Serosa layer of the GB wall?
Outer layer in contact with the peritoneum
46
What are the Rokitansky- Aschoff (RA) sinuses?
Multiple folds along the inner border of the GB
47
Is the Rokitansky- Aschoff (RA) sinuses normally seen?
Not normally seen on U/S unless there is pathology
48
What is the function of the Bile ducts?
Drain the liver of bile and carry it to the GI system
49
What does the GB do? 2
1. Reservior for bile (where bile is stored until required for digestion 2. Concentrates bile by secreting mucous and absorbing water
50
How much bile does the GB hold?
~ 40-70 ml
51
Bile secretion is controlled by what?
Hormones
52
When would the duodenum release Cholecystokinin (CCK)?
With the ingestion of fats and amino acids
53
Cholecystokinin (CCK) stimulates the GB and the sphincter of Oddi to do what?
The GB to contract and the sphincter of Oddi to relax
54
GB contraction occurs when?
Within 30 minutes following a meal
55
What happens when the GB has been removed? 3
1. Initially the sphincter of Oddi loses its tone 2. Bile flows in the duodenum during fasting and non fasting states 3. Some bile also remains in the ducts
56
After ~ 6 months after the GB has been removed, what happens to the sphincter?
It regains tone
57
After the GB has been removed the CBD may appear how?
Dilated (up to 10mm)
58
What is the bile?
Yellow- green liquid produced by hepatocytes
59
What does bile do?
Emulsifies fats and helps absorb fatty acids
60
How much bile salts are produced by the liver in a day?
1 gram/day
61
What is a precursor of bile salts?
Cholesterol
62
How do we get cholesterol in the body? 2
1. Supplied by diet 2. Synthesized by the liver
63
What is bilirubin?
Bile pigment which is the end product of hemoglobin decomposition
64
Where is bilirubin conjugated?
Liver
65
What is jaundice?
Yellowish tint seen in the body tissue due to large quantities of bilirubin
66
What is the arterial supply to the GB?
Cystic artery
67
What is the venous drainage of the GB?
Cystic vein (which drains into the portal venous system)
68
What are some variants of GB? 4
1. Junctional fold 2. Hartman's pouch 3. Phrygian pouch 4. Septations
69
What is this variant of the GB?
Junctional Fold
70
What is this variant of the GB?
Hartman's Pouch
71
What is this GB variant?
Phrygian cap
72
What is this GB variation?
Septation
73
What is this GB variation?
Septation
74
Label the structures
1. RPV 2. MLF 3. GB
75
What is the sonographic appearance of the GB?
1. Anechoic/ nearly anechoic structure 2. Well defined, thin, echogenic walls
76
What is the sagittal shape of the GB?
Pear Shaped
77
What is the Transverse appearance of the GB?
Anechoic circle
78
What is the Patient prep for GB exams?
NPO for 6-8 hours
79
What probe do we use for GB exams?
2-6 MHz probe
80
What positions should the patient be in for GB exams?
1. Supine 2. LLD
81
Erect and prone positions can be used to rule out what?
Stones lodge in the neck and cystic duct
82
What do we Look for in GB exams? 5
1. Size 2. Shape 3. Content 4. Wall thickness 5. Area surrounding GB
83
What are some techniques used to scan GB?
1. Use harmonics to optimize 2. Windows are important to minimize reverberation artifacts
84
How should we position Patients for Bile ducts?
LPO or decubitus
85
What do we measure in bile ducts?
1. Porta hepatis area 2. The duct inner wall to inner wall ** do not measure at the point where the duct crosses the HA**
86
Label the structure
1. CBD 2. PV 3. HA
87
Label the structures
1. CBD 2. CHD 3. HA 4. PV
88
What are some lab test/ Other imaging we use for GB?
1. Bilirubin (indirect/ direct) 2. ALP 3. Leukocytes (WBC) infection 4. HIDA - Nuclear medicine 5. ERCP - Fluoroscopy