Image labelling assignment 2 Flashcards

(42 cards)

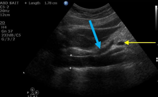
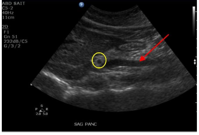
1
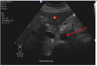
Q

Label the red and yellow arrows

A

Red arrow: Left Hepatic vein
Yellow arrow: Pancreas neck

How well did you know this?
1
Not at all
2
3
4
5
Perfectly
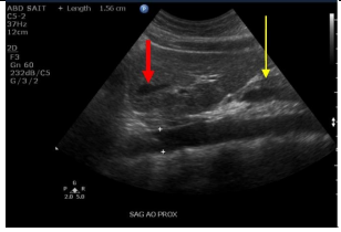
2
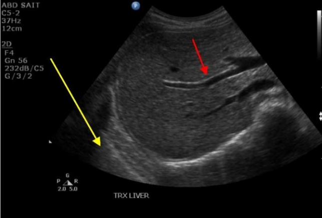
Q

Label the red arrow and the stars Counaud’s liver segment

A

Red: Aorta
Star: Couinaud segment 2

How well did you know this?
1
Not at all
2
3
4
5
Perfectly
3
Q

Label the Blue and red arrows

A

Blue: Portal confluence
Red: SMA

How well did you know this?
1
Not at all
2
3
4
5
Perfectly
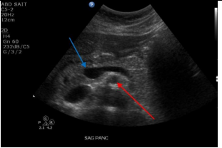
4
Q

Label the Red and blue arrows

A

Red: Body of pancreas
Blue: GE junction

How well did you know this?
1
Not at all
2
3
4
5
Perfectly
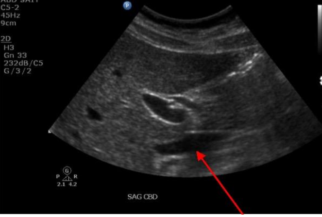
5
Q

Label the red arrow

A

Right hepatic vein

How well did you know this?
1
Not at all
2
3
4
5
Perfectly
6
Q

What does the red arrow point to?

A

IVC

How well did you know this?
1
Not at all
2
3
4
5
Perfectly
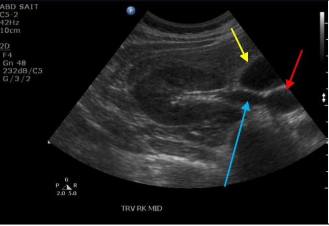
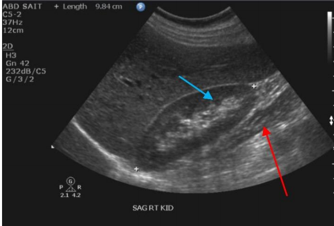
7
Q

Label the Red and blue arrows

A

Red: Right quadratus laborum
Blue: Right kidney pyramid of the medulla

How well did you know this?
1
Not at all
2
3
4
5
Perfectly
8
Q

Label the structure

A

Pancreas tail

How well did you know this?
1
Not at all
2
3
4
5
Perfectly
9
Q

Label the blue and yellow arrows

A

Blue: Celiac axis
Yellow Splenic vein

How well did you know this?
1
Not at all
2
3
4
5
Perfectly
10
Q

Label the red, blue, and yellow arrows

A

Red: Body of pancreas
Blue arrow: IVC
Yellow: Splenic vein

How well did you know this?
1
Not at all
2
3
4
5
Perfectly
11
Q

Label the Red arrow and the yellow circle

A

Red arrow: SMV
Yellow circle: Splenic artery

How well did you know this?
1
Not at all
2
3
4
5
Perfectly
12
Q

What structure (at yellow arrow) is causing the shadow over LK?

A

RIbs

How well did you know this?
1
Not at all
2
3
4
5
Perfectly
13
Q

Label the red and yellow arrows

A

Red: Right Psoas muscle
Yellow: Right quadratus lumborum

How well did you know this?
1
Not at all
2
3
4
5
Perfectly
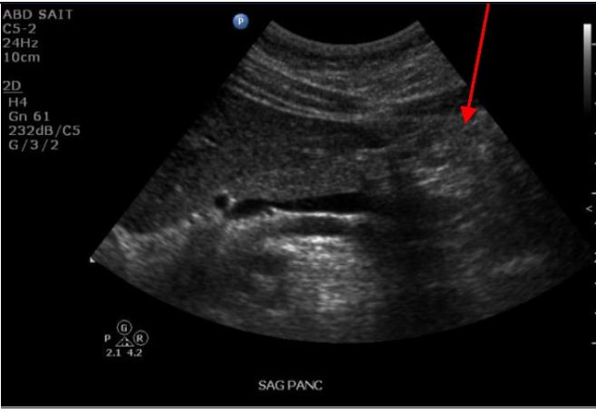
14
Q

Which direction would you angle the transducer to demonstrate pancreatic tail?

A

Angle to patient left

How well did you know this?
1
Not at all
2
3
4
5
Perfectly
15
Q

Label the red arrow

A

Pylorus

How well did you know this?
1
Not at all
2
3
4
5
Perfectly
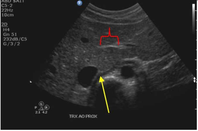
16
Q

Which ligament is the red bracket indicating? And label the yellow arrow

A

Red bracket: Ligamentum venosum
Yellow arrow: Right crux of the diaphragm

How well did you know this?
1
Not at all
2
3
4
5
Perfectly
17
Q

Label the red arrow

18
Q

Label the red and yellow arrow

A

Red arrow: Right portal vein
Yellow arrow: right pleural space

19
Q

What term best describes the echogenicity of the liver?

A

Hyperechoic to the kidney

20
Q

Label the blue and red arrows

A

Blue: main lobar fissure
Red arrow: Right kidney

21
Q

Label the blue arrow

A

Left hypertrophied columns of bertin

22
Q

Label the blue, red, and yellow arrows

A

Blue: Right renal vein
Red arrow: IVC
Yellow: Gallbladder

23
Q

Label the blue arrow

A

Superior pole of right kidney

24
Q

Label the Red arrow

A

Right medulla pyramid

25
Label the red arrow
IVC
26
Which space is the blue line indicating?
Right subphrenic space
27
Label the red arrow and describe which couinaud liver segment is the yellow start in?
Red arrow: Left hepatic vein Star: Segment 8
28
Which couinaud liver segment is the red star indicating?
Segment 4
29
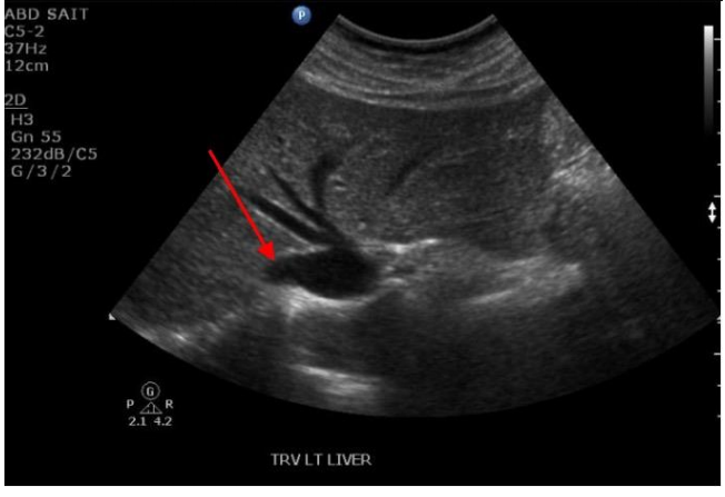
Label the red and yellow arrow
Red: Right hepatic vein Yellow: gallbladder
30
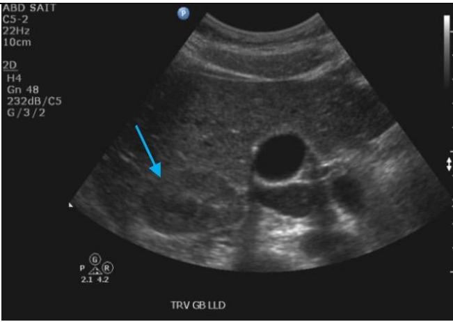
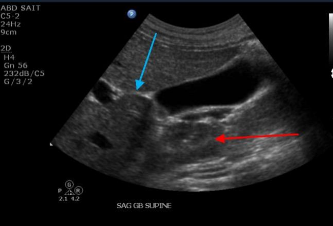
Which gallbladder variant is demonstrated in this image?
Junctional fold
31
Which renal variant is this image indicating?
Hypertrophied columns of bertin
32
Which organ is the arrow indicating?
Spleen
33
Is this image demonstrating the renal hilum?
No
34
Label the yellow arrow
Ciliac
35
Label the yellow arrow
Medial branch
36
Label the yellow arrow
Ligamentum teres
37
Label the red and yellow arrows
Red: Left portal vein Yellow arrow: Tail of the pancreas
38
Label the yellow arrow
Hepatic flexure
39
Label the blue rectangle
Duodenum
40
Label the yellow, red, and blue arrow
Yellow: Ligamentum teres Red arrow: Left renal vein Blue arrow: Left renal vein
41
What potential space is the blue arrow pointing to? and which area of the bladder is the red arrow indicating?
Blue: Space of Retzius Red: Apex
42
Label the blue and yellow items. Based on the bladder shape, which direction is the transducer angled?
Blue: Right seminal vesicle Yellow circle: Left ureterovesical junction And it is angled inferior