Vascular images review Flashcards

(9 cards)

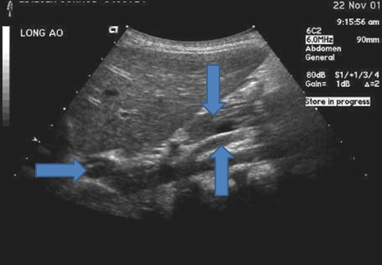
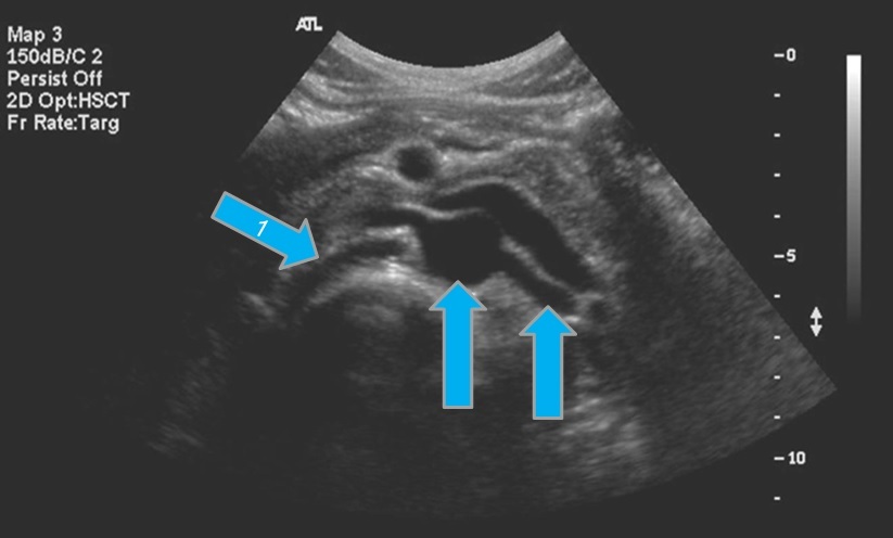
1
Q

From the left to right label the structures

A
  1. IVC
  2. Aorta
  3. Left Renal Artery
How well did you know this?
1
Not at all
2
3
4
5
Perfectly
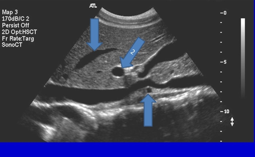
2
Q

From the left to right label the structures

A
  1. Middle hepatic vein
  2. Right portal vein the gallbladder is beside it and the gallbladder is a right structure
  3. Right renal Artery
How well did you know this?
1
Not at all
2
3
4
5
Perfectly
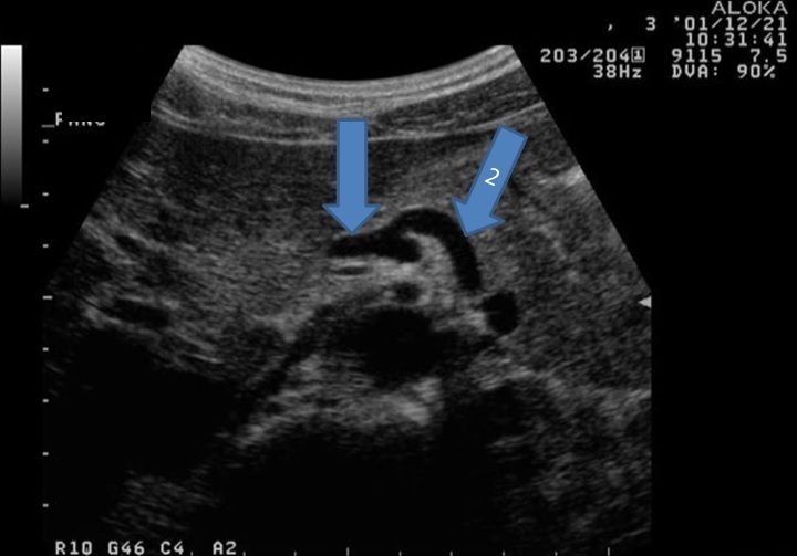
3
Q

From top down label the structures

A
  1. Right Renal vein
  2. Right Renal artery
How well did you know this?
1
Not at all
2
3
4
5
Perfectly
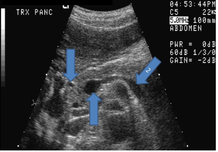
4
Q

From the left to right label the structures

A
  1. Gastroduodenal artery this is in the head of the pancreas
  2. Porta of confluence
  3. Splenic vein
How well did you know this?
1
Not at all
2
3
4
5
Perfectly
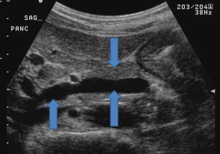
5
Q

From top down what is the structures?

A

This image is the pancreas is sag view
1. Pancreatic neck
2. SMV
3. Main portal vein it is heading into the liver

How well did you know this?
1
Not at all
2
3
4
5
Perfectly
6
Q

From left to right label the structures

A
  1. GE junction
  2. Pancreas body of the pancreas
  3. SMA
How well did you know this?
1
Not at all
2
3
4
5
Perfectly
7
Q

From left to right label the structures

A
  1. Common hepatic artery
  2. Splenic artery
How well did you know this?
1
Not at all
2
3
4
5
Perfectly
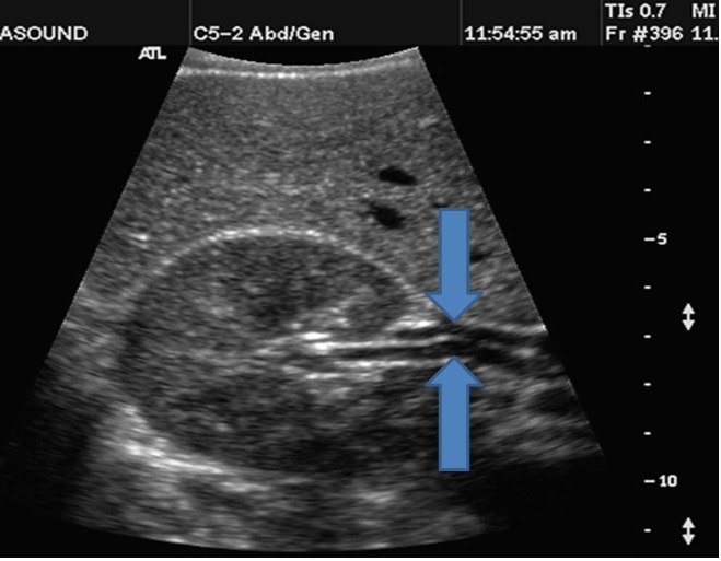
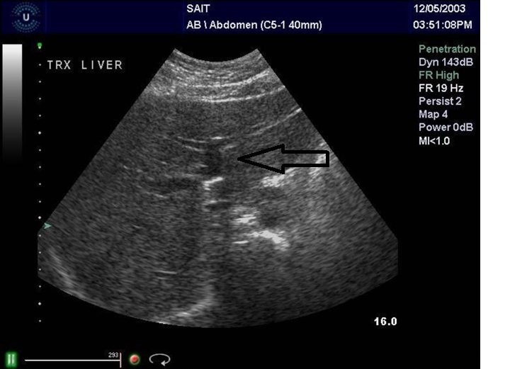
8
Q

What is the structure?

A

Left portal vein

How well did you know this?
1
Not at all
2
3
4
5
Perfectly
9
Q

From left to right label the structures

A
  1. Right portal vein
  2. IVC
How well did you know this?
1
Not at all
2
3
4
5
Perfectly