Fundamentals (not Normal) Flashcards

(55 cards)

1
Q

How do we identify abnormalities? 2

A
  1. Pathology can distrust the normal textual appearance
  2. Sonographers role is to recognize normal from abnormal
How well did you know this?
1
Not at all
2
3
4
5
Perfectly
2
Q

When identifying abnormalities, tissue changes can be what? 2

A
  1. Focal
  2. Diffuse
How well did you know this?
1
Not at all
2
3
4
5
Perfectly
3
Q

What are focal changes? 3

A
  1. Localized changes in a structure (organ)
  2. Circumscribed (confined to a limited area)
  3. Mass
How well did you know this?
1
Not at all
2
3
4
5
Perfectly
4
Q

Are focal changes single or multiple?

A

Can be both

How well did you know this?
1
Not at all
2
3
4
5
Perfectly
5
Q

What are diffuse changes? 3

A
  1. Changes that affect the overall organ parenchyma
  2. Subtle
  3. Infiltrative
How well did you know this?
1
Not at all
2
3
4
5
Perfectly
6
Q

What are some examples of diffuse changes that affect the overall organ parenchyma? 4

A
  1. Echotexture
  2. Size, shape
  3. Organ position
  4. Influence on adjacent structures
How well did you know this?
1
Not at all
2
3
4
5
Perfectly
7
Q

What are some key information for characterizing an abnormality? 8

A
  1. Location
  2. Size
  3. Shape
  4. Wall definition/ contour
  5. Internal echo pattern
  6. Attenuation characteristics
  7. Vascular ray
  8. Compression/ displacement
How well did you know this?
1
Not at all
2
3
4
5
Perfectly
8
Q

What does diffuse mean in terms of location of an organ?

A

May change the position of an organ

How well did you know this?
1
Not at all
2
3
4
5
Perfectly
9
Q

In terms of location what does focal mean?

A

Reference relational anatomy; use directional terminology

How well did you know this?
1
Not at all
2
3
4
5
Perfectly
10
Q

What does diffuse mean in terms of size? 2

A
  1. Change in organ size
  2. Measure of organ
How well did you know this?
1
Not at all
2
3
4
5
Perfectly
11
Q

What does focal mean in terms of measurements and imaging?

A
  1. 2 planes
  2. 3 measurements
How well did you know this?
1
Not at all
2
3
4
5
Perfectly
12
Q

What are some measurements we take?

A

Length, width, height (AP)

How well did you know this?
1
Not at all
2
3
4
5
Perfectly
13
Q

In terms of diffuse what does shape mean?

A

Organ contour changes

How well did you know this?
1
Not at all
2
3
4
5
Perfectly
14
Q

What does shape mean in terms of focal?

A
  1. Round or oval
  2. Irregular
How well did you know this?
1
Not at all
2
3
4
5
Perfectly
15
Q

In terms of wall definition/ contour what does diffuse mean? 2

A
  1. Capsule changes
  2. Contour changes (nodular)
How well did you know this?
1
Not at all
2
3
4
5
Perfectly
16
Q

In terms of definition/ contour what does focal mean? 2

A
  1. Describes the wall and outline
  2. Scan in multiple planes
How well did you know this?
1
Not at all
2
3
4
5
Perfectly
17
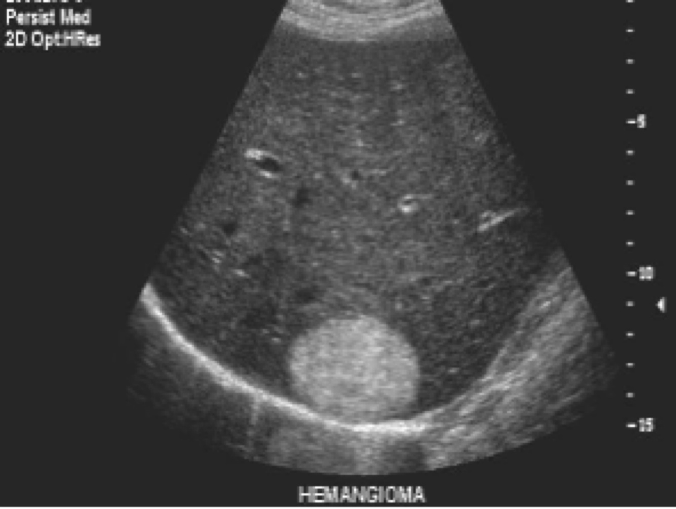
Q

What is the wall definition of this image?

A

Well defined

How well did you know this?
1
Not at all
2
3
4
5
Perfectly
18
Q

What is the all definition of this image?

A

Poorly defined or ill defined

How well did you know this?
1
Not at all
2
3
4
5
Perfectly
19
Q

What is the wall definition of this image?

A

Encapsulated (surrounded by a capsule

How well did you know this?
1
Not at all
2
3
4
5
Perfectly
20
Q

What is the wall contour of this image?

A

Smooth

How well did you know this?
1
Not at all
2
3
4
5
Perfectly
21
Q

What is the wall contour of this image?

A

Lobulated

How well did you know this?
1
Not at all
2
3
4
5
Perfectly
22
Q

What is the wall contour of this image?

A

Irregular

How well did you know this?
1
Not at all
2
3
4
5
Perfectly
23
Q

In terms of internal echo pattern what does adjusting machine settings appropriately do?

A

Determine “real” echoes

24
Q

In terms of internal echo pattern what does inadequate gains do?

A

It could cause a solid structure to appear falsely cystic

25
In terms of internal echo patterns what does excessive gains do?
It could cause a cystic structure to look falsely solid
26
In terms of a diffuse disease what is evaluated?
Overall echogenicity and echotexture of an organ
27
In terms of diffuse disease what does echotexture changes mean?
Heterogeneous: irregular or patchy parenchyma
28
In terms of diffuse disease what does echogenicity changes mean? 4
1. Hyperechoic 2. Hypoechoic 3. Anechoic 4. Isoechoic
29
Focal diseases mass lesions can usually be divided into 3 categories what are they?
1. Cystic: fluid filled 2. Solid: Tissue 3. Mixed or complex: Fluid and tissue
30
What are for criteria of a simple cyst?
1. No internal echoes (anarchic) 2. Strong back wall 3. Posterior enhancement 4. Round or oval shape
31
What kind of cyst is this?
Simple cyst (breast in this image)
32
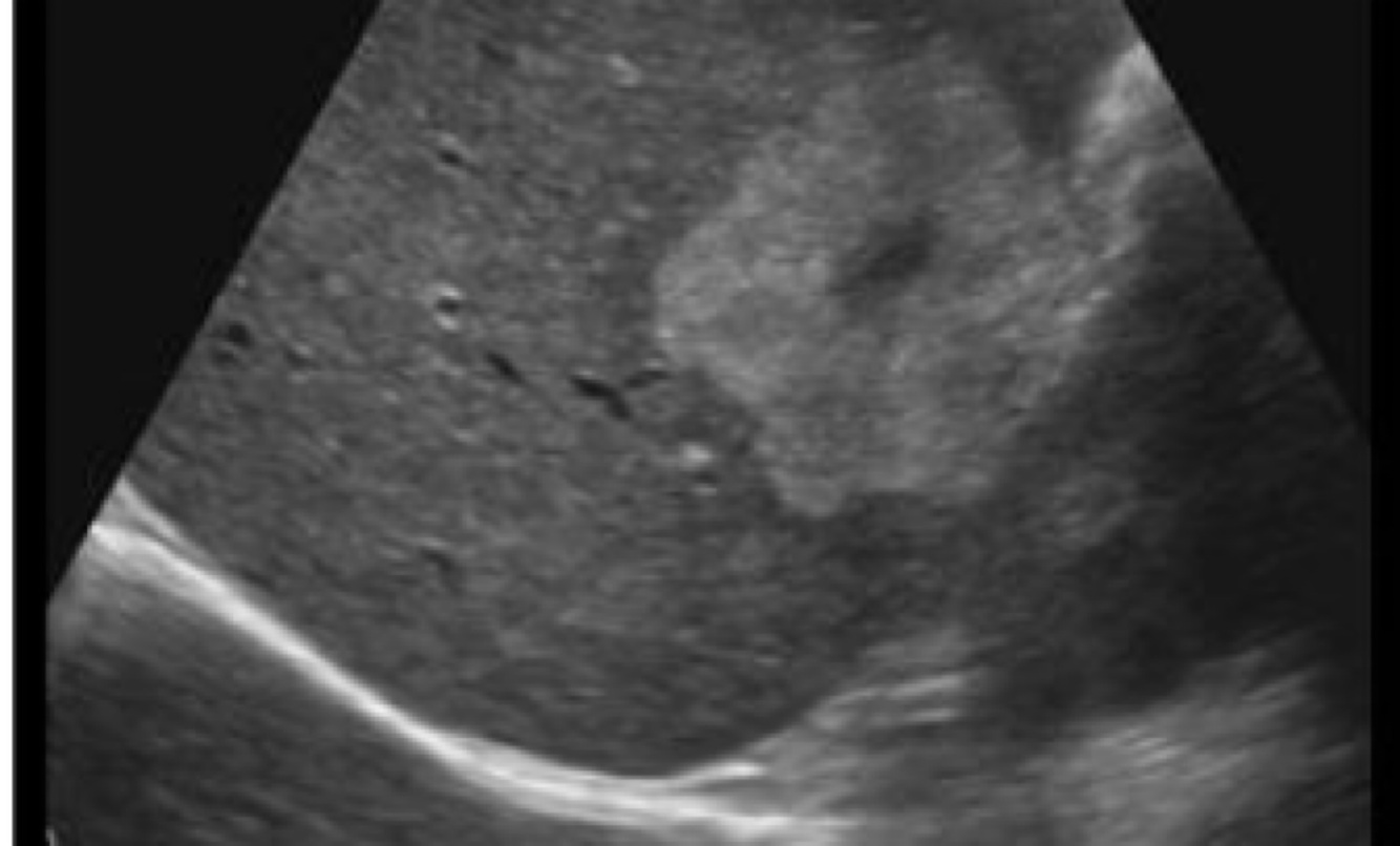
What kind of mass is this?
Hyperechoic
33
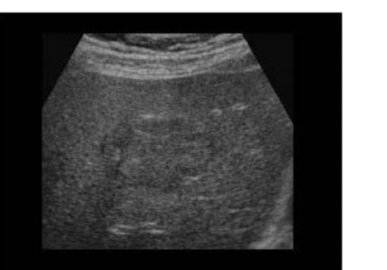
What kind of mass is this?
Hypoechoic mass
34
In terms of echogeniciry, what kind of mass is this?
Isoechoic
35
In terms of echotexture, what kind of mass is this?
Homogenous
36
In terms of echotexture, what kind of mass is this?
Heterogenous
37
What are complex masses?
1. Contains fluids and solid areas that are anechoic and echogenic 2. Mostly cystic 3. Mostly solid
38
In terms of complex masses what does mostly cystic means?
1. Small solid nodules 2. Separations 3. Debris
39
In terms of complex masses what does mostly solid mean?
Mostly solid mass containing a smaller cystic component
40
In this of the cystic structure what is this image?
Mostly cystic solid nodule
41
In terms of septations what does this image prove?
Thick septations
42
What does this image prove in terms of septations?
Thin septations
43
What does this mostly cystic structure prove?
Debris
44
What does this cystic structure prove?
It is mostly solid
45
What are attenuation characteristics?
Refers to the amount of sound passing through a structure causing an effect posterior to the structure
46
When are attenuation characteristics identified?
Posterior to the mass
47
What is acoustic enhancement?
An increased area of brightness underneath fluid resulting from lack of impedance when sound waves move through fluid
48
What does this image demonstrate?
Acoustic enhancement
49
What does this image demonstrate?
Acoustic shadowing
50
What do we look for in terms of vascularity?
1. Amount of blood flow 2. Location of blood flow
51
How do we look for vascularity?
1. Spectral 2. Colour 3. Power doppler
52
What is compression or displacement in terms of diffuse disease?
May compress/ displace adjacent organs or structures
53
What is compression or displacement in terms of focal disease?
1. Compress/ displace adjacent organs or structures 2. Compress/ displace vasculature of affected organ
54
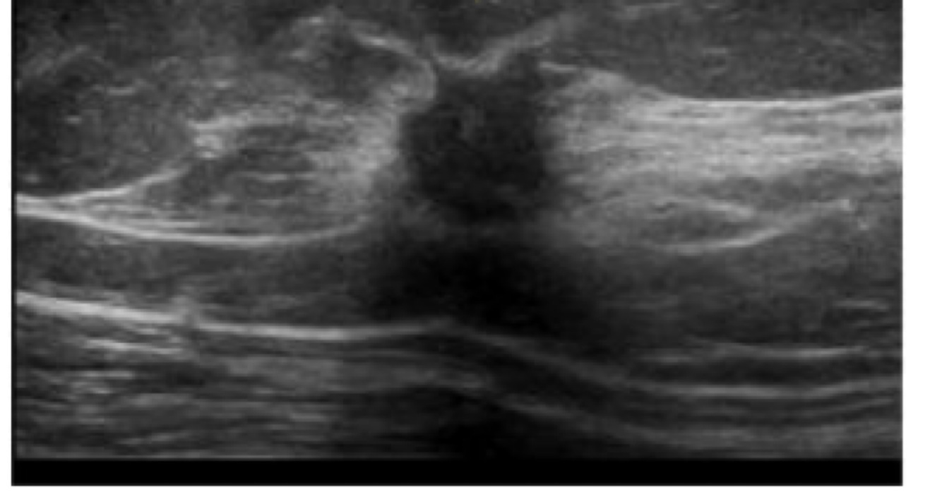
What does this image demonstrate?
Compression of adjacent organs
55
What does this image demonstrate?
Displacement of an organ/ vasculature structure