Liver Flashcards

(173 cards)

1
Q

What cavitiy of the body does the liver reside in?

A

Intraperitoneal

How well did you know this?
1
Not at all
2
3
4
5
Perfectly
2
Q

What is the largest organ in the body?

A

Liver

How well did you know this?
1
Not at all
2
3
4
5
Perfectly
3
Q

Which quadrant is the liver reside in?

A

RUQ

Or

Right hypochondrium, Epigastrum, LT Hypochondrum

How well did you know this?
1
Not at all
2
3
4
5
Perfectly
4
Q

What does the Liver bounded superiorly by what?

A

Diaphragm

How well did you know this?
1
Not at all
2
3
4
5
Perfectly
5
Q

What surfaces of the liver are bounded to the diaphragm?

A

Superior, anterior, and posterior surfaces

How well did you know this?
1
Not at all
2
3
4
5
Perfectly
6
Q

What is the inferior surface of the liver in contact with?

A

Abdominal organs
posterior surface indented by the right kidney

How well did you know this?
1
Not at all
2
3
4
5
Perfectly
7
Q

Which vessel is posterior to the liver?

A

IVC

How well did you know this?
1
Not at all
2
3
4
5
Perfectly
8
Q

Pathology can do what to livers?

A

Alter position, size, and shape

How well did you know this?
1
Not at all
2
3
4
5
Perfectly
9
Q

What is the largest section of the liver?

A

Right lobe, its 2-3x larger than the left

How well did you know this?
1
Not at all
2
3
4
5
Perfectly
10
Q

What is the caudate/RT lobe ratio?

A

<0.65

How well did you know this?
1
Not at all
2
3
4
5
Perfectly
11
Q

What is the caudate/RT lobe ratio used for?

A

Liver cirrhosis

How well did you know this?
1
Not at all
2
3
4
5
Perfectly
12
Q

Liver enlarged if the right lobe goes where?

A

RT lobe extends below the lower pole of Right kidney

How well did you know this?
1
Not at all
2
3
4
5
Perfectly
13
Q

What are the two methods of dividing the liver?

A
  1. Anatomical
  2. Functional
How well did you know this?
1
Not at all
2
3
4
5
Perfectly
14
Q

What is the anatomical method based on? 2

A
  1. Based on external markings
  2. Falciparum ligament and an “H” configuration are the boarders
How well did you know this?
1
Not at all
2
3
4
5
Perfectly
15
Q

How many lobes does the liver have in the anatomical method?

A

Four lobes
1. RT
2. LT
3. Caudate
4. Quadrate

How well did you know this?
1
Not at all
2
3
4
5
Perfectly
16
Q

What does the falciform ligament do in the anatomical method?

A

Divides the right and left lobes anteriorly

How well did you know this?
1
Not at all
2
3
4
5
Perfectly
17
Q

What is the functional method based on?

A

Blood supply and biliary drainage

How well did you know this?
1
Not at all
2
3
4
5
Perfectly
18
Q

What are significant landmarks for the functional method? 3

A
  1. Ligaments
  2. Fissures
  3. Gall bladder
How well did you know this?
1
Not at all
2
3
4
5
Perfectly
19
Q

How many lobes and segments are available in the functional method?

A

3 lobes and 4 segments

How well did you know this?
1
Not at all
2
3
4
5
Perfectly
20
Q

What are the three lobes o the functional method?

A
  1. Left
  2. Right
  3. Caudate
How well did you know this?
1
Not at all
2
3
4
5
Perfectly
21
Q

The right and left portal veins course within what?

A

The segments (intersegmental fissures)

How well did you know this?
1
Not at all
2
3
4
5
Perfectly
22
Q

The right, left and middle hepatic veins course between what/

A

The lobes and segments (intersegmental or interlobar)

How well did you know this?
1
Not at all
2
3
4
5
Perfectly
23
Q

The right lobe is separated from the left lobe by what?

A

Main lobar fissure

How well did you know this?
1
Not at all
2
3
4
5
Perfectly
24
Q

Superiorly what courses through the main lobar fissure?

A

Middle hepatic vein

How well did you know this?
1
Not at all
2
3
4
5
Perfectly
25
The Right lobe is divided into what segments?
Anterior and posterior segments by the right intersegmental fissure
26
What flows through the right intersegmental fissure? 2
1. Right hepatic vein 2. Right portal vein
27
The anterior Right portal vein course within what area of the right lobe?
Anterior Right lobe
28
The posterior Right portal vein courses within what area of the right lobe?
The posterior right lobe
29
What does the left lobe divided into?
Medial and lateral segments by the Left intersegmental fissure
30
What courses through the left intersegmental fissure?
1. Left hepatic vein 2. Ascending left portal vein
31
What is the medial left lobe equal?
Quadrate lobe
32
The caudate lobe receives PV and HA blood from where?
Right and left
33
Where is the caudate lobe located? (Aspect of the liver)
Posterior aspect of the liver
34
What is the posterior landmark of the caudate lobe?
IVC
35
What is the anterior landmark of the caudate lobe?
Ligamentum venosum
36
What is the inferior landmark of the inferior caudate lobe?
Main portal vein
37
What is the caudate process? What does it lie between?
Extension of CL between IVC and portal vein
38
What is the papillary process?
A Caudal projection of the caudate lobe
39
Where is the papillary process located?
It lies along the ligamentum venosum and above the porta hepatis
40
What may the papillary process mimic sometimes?
A lymph node or pancreatic mass
41
Couindaud’s liver is divided into how many segments?
8 segments
42
Who uses Couinaud’s?
Surgeons
43
Couinaud’s lobe has a what at it's center? What is it bound by?
Portal vein at its center bounded by a hepatic vein
44
Instead of memorizing the couinauds division what pneumonic can we use?
The fist method. 1. Make a fist 2. Your thumb is the caudate 3. Each space between your fingers is a hepatic (left, main, right) 4. Your first Knuckle is the main portal vein
45
What four questions should we ask to find which section couinaud’s are we in?
1. Is it the caudate? 2. Is it the right or left lobe? 3. IF left lobe is it medial or lateral? IF right if posterior or anterior? 4. Is it superior of inferior?
46
Right portal veins are considered what kind of landmarks?
Anterior/ superior
47
In the left lobe the ligamentum tere’s is considered what kind of landmark?
Superior
48
If you can see the right portal vein or the kidney which anatomical position are you in?
Inferior
49
The right hepatic vein is what kind of landmark?
Superior
50
Label the Couinaud's Division
1. Caudate lobe 2. Left Lateral segment- superior 3. Left Lateral segment- inferior 4. Left medial lobe 5. Right anterior segment- inferior 6. Right posterior segment - inferior 7. Right posterior segment- superior 8. Right anterior segment - superior
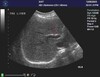
51
What does the main lobar fissure do?
Divides functional left and right
52
What landmarks are used for the main lobar fissure?
GB and IVC used as landmarks
53
A short portion of the MLF is seen between what landmarks?
The right portal vein and gallbladder neck
54
What vein courses through the main lobar fissure?
Main hepatic vein
55
The right intersegmental fissure divides what?
The right lobe into anterior and posterior
56
What courses through the Right intersegmental fissure?
Right hepatic vein and a portion of the right portal vein courses through it
57
What does the left segmental fissure divide?
The left lobe into the medial and lateral
58
What are the three sections the left intersegmental fissures are divided into?
1. Left hepatic vein 2. Left portal vein 3. Teres- caudal
59
What does the ligamentum venosum divide?
The left lateral segment of liver from the caudate
60
What does the fissure for the ligamentum venosum contain? 2
1. ligamentum venosum 2. Hepatogastric ligament
61
What is a fossae?
Depression or indentation
62
What does the GB fossa contain?
The GB
63
Where is the GB located in relation to the liver?
Posterior inferior surface of the liver
64
What does the IVC fossa contain?
A portion of the IVC
65
Where is the IVC fossa located?
Posterior liver, between caudate and bare area
66
What enters the porta hepatis?
Vessels and biliary ducts exit and enter liver at this point
67
The CBD and HA are anterior to what?
The PV
68
What is the Glisson's capsule?2
1. connective tissue surrounding liver 2. Thickest at IVC and porta hepatis
69
What is the hepatoduodenal ligament? What is it the anterior boundary of? What does it contain?
1. Fold of lesser omentum 2. anterior boundary of epiploic foramen 3. **Contains the MPV, hepatic artery, CBD**
70
What does the falciform ligament conduct? What does it extend from?
1. **conducts umbilical vein in fetus** 2. Extends from umbilicus to liver
71
What is the ligamentum teres shaped like? Where is it located? What is its origin?
1. Round ligament 2. Inferior margin of left lobe 3. **Atrophied umbilical vein**
72
What is the ligamentum venosum? Where is it located?
1. Remnant of the fetal ductus venosum 2. Anterior boarder of the caudate lobe
73
What surface of the liver does the coronary ligaments connect to the diaphragm?
Posterior superior surface of liver to diaphragm
74
What ligament is the upper portion of the coronary ligaments continuous with?
Falciform ligament
75
What ligaments does the coronary ligaments form?
Left and right triangular ligaments
76
The Coronary ligaments define what part of the liver?
Bare area of liver
77
What does the portal vein carry?
Oxygenated blood
78
How does the portal vein travel?
Intrasegmentally
79
What kind of walls does the portal vein have?
Echogenic reflective walls due to connective sheath
80
The vessel caliber of the portal vein is greater near what?
Porta hepatis
81
What is the main portal vein a conjunction of? (what forms it?)
SV, SMV, and IMV
82
How does the main portal vein travel?
Right, cephalic, and oblique
83
What does the main portal vein divide into?
Into right and left at the porta hepatis
84
What does the right portal vein divide into?
Divide the anterior and posterior branches
85
How does the right posterior portal vein travel?
Posterior and caudal
86
How can the right portal vein appear? An elongation of what?
A elongation of the Main portal vein
87
How does the left portal vein move?
Cranially along the anterior surface of the caudate lobe and then turns anterior
88
What does the left portal vein divide?
Into medial and lateral branches
89
What landmark is associated with the left portal vein?
Steers head
90
What does the hepatic veins do?
Carry deoxygenated blood away from the liver to the IVC
91
How does the hepatic vein travel?
Intersegmentally
92
What does the caliber of the hepatic veins do as they approach the diaphragm?
Increases
93
What are the walls of the hepatic veins like compared to the portals?
They are less echogenic than the portals
94
Which hepatic vein is the largest?
Right hepatic vein
95
Which hepatic vein is the smallest?
Left hepatic vein
96
What is the sonographic appearance of parenchyma of the liver? What is the level of echoes like? What is it in comparison to the right kidney? What of the fissures, ligaments , and PVs?
1. Parenchyma homogenous 2. Fine to medium level echoes 3. **Slightly hyperechoic to, to isoechoic to, the right renal cortex** 4. Fissures, ligaments, and PV walls highly echogenic
97
What is the patient prep for liver scans?
1. Overnight fast 2. NPO for at least six hours
98
What positions do we use for the liver scan?
Supine and LLD
99
Where do we place the probe for the liver scan?
Subcostal and intercostal approach
100
Generally what will help get better images?
Getting the patient to breathe in and hold
101
What kind of probe will we use for the liver scan?
2-6 Mhz probe
102
What kinds of plane assessments can we do for liver scans?
Sag and trans views
103
What things do we need to pay attention to for liver scans? 4
1. Size 2. Texture 3. Vasculature 4. Biliary structures
104
What are some indications for ultrasound for livers? 8
1. RUQ pain 2. Suspected liver enlargement 3. Masses, abscesses 4. Metastases 5. Abnormal LFT's 6. Portal hypertension 7. Portal/ HV thrombosis 8. Pre/post op hepatic surgery
105
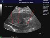
Label the structure from left to right
1. Right portal vein 2. Main lobar fissure
106
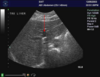
From left to right label the structures
1. Left Hepatic vein 2. Ligamentum venosum 3. Main portal vein (inferior boundary of the caudate lobe)
107
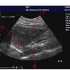
From top down what are the structures
1. Left lobe 2. GE junction 3. Aorta
108
From left to right label the structures
1. GE junction 2. IVC
109
What is the structure?
Left portal vein
110
What structure is this?
Right portal vein
111
What is the functional unit of the liver?
Lobule
112
What is the structure of the Lobule, and how big is it?
1-2 mm diameter hexagon shape
113
What does the lobule consist of? 6
1. Hepatocytes 2. Central hepatic vein 3. Sinusoids 4. Kupffer cells 5. Bile canaliculi 6. Portal triad
114
What makes up most of the liver parenchyma?
Hepatocytes
115
Hepatocytes are organized into how many layers?
two layered columns
116
Hepatocytes converge toward what?
Central vein
117
What kind of blood are hepatocytes in contact with?
Sinusoid blood
118
What does Hepatocytes do?
Liberate substances in the blood
119
What are sinusoids?
Highly permeable blood capillaries **with free flow of blood to cells**
120
What does sinusoids do?
Transfer of products into blood
121
Blood enters the lobule's periphery and moves how?
Moves to central vein via sinusoid
122
Where are sinusoids located?
between the hepatocyte columns
123
What is the mixture in the sinusoids?
80% portal venous 20% hepatic arterial
124
Where are Kupffer cells located?
Scattered along the sinusoids
125
What are Kupffer cells also called?
Reticuloendothelial (RE) cells
126
What does Kupffer cells do?
Exhibit phagocytosis (ingest and destroy bacteria, old RBCs and WBCs to cleanse blood)
127
What are bile canuliculi?
Small bile ducts between the two layers of the hepatocyte columns
128
What is the smallest division of the biliary duct?
Bile Canuliculi
129
What does the bile canuliculi do?
Collect bile produced by hepatocytes
130
Does bile mix with sinusoid blood?
No
131
The bile canculiculi converge to form what?
Larger ducts that unit to form the right and left hepatic ducts
132
What are the portal triad formed of?
1. Bile duct 2. Portal vein 3. Hepatic artery
133
Where is the portal triad found?
Outer edge of each lobule
134
Several portal triads serve what?
A single lobule
135
Blood enters periphery of lobule and travels where?
To central hepatic vein via sinusoids
136
The blood in the central hepatic vein is cleansed of what?
Toxins and rich in liver secretions
137
The central hepatic veins converge to form what?
hepatic veins
138
Where does the central hepatic veins drain into?
IVC
139
What is the function of the liver?
1. Primary center of metabolism 2. Performs more than 500 separate activities
140
Most of the 500 separate functions are carried out by what structures in the liver?
1. Hepatocytes 2. Kupffer cells 3. Biliary cells
141
What does bile contain? 6
1. Bile salts 2. Cholesterol 3. Conjugates of steroid hormones 4. Amines 5. Water 6. Bilirubin
142
What is bilirubin?
Bile pigment which is a product of RBC breakdown
143
Bile salts are formed from what?
Cholesterol
144
Bile emulsifies fats and acids in what process?
The absorption of fatty acids
145
How much bile is formed each day?
700 - 1200 ml produced/ day
146
Where is bile stored?
Gall bladder
147
Unconjugated bilirubin is also known as
Indirect bilirubin
148
Conjugated bilirubin is also known as what?
Direct bilirubin
149
What is unconjugated bilirubin? 2
1. Fat soluble, not excreted in urine 2. Toxic to tissues
150
What is conjugated bilirubin? 2
1. Non-toxic, water soluble 2. Secreted by liver
151
What are reticuloendothelial functions?
1. Blood production in embryo (hemopoiesis) 2. Produces plasma proteins and antibodies (Albumin) 3. Removes foreign material and worn out RBCs 4. Recovers bile pigment
152
What is hemopoiesis?
Blood production in embryo
153
What Albumin prevent loss of?
Prevents plasma loss from capillaries
154
Liver plays a important point in the metabolism of what?
Macronutrients
155
What is the liver a storage depot for? 4
1. Vitamins 2. Glycogen, fats and amino acids 3. Ferritin 4. Minerals
156
What are some other functions for the liver? 4
1. Blood reservoir 2. Heat production 3. Detoxifies 4. Lymph formation
157
How much blood does the liver hold?
200- 400 ml
158
How much lymph does the liver form?
1/3 to 1/2 of the body's lymph
159
Why is the liver important for lab tests?
Useful to understand the major lab tests performed to evaluate liver function
160
What is lab test used for correlating? 3
1. Clinical history 2. Presenting symptoms 3. Sonographic findings
161
What is important to know in terms of enzymes in the liver?
Different cells produce different enzymes
162
If there is cell damage what happens to enzymes?
They are released
163
What are enzymes?
Proteins that catalyze chemical reactions
164
Increased enzyme levels can indicate what?
Damage or disease
165
What fluid can we find enzymes in for tests?
Blood (serum) and urine
166
What are some liver function tests?
1. ALT/SGPT 2. AST/SGOT 3. ALP or ALK PHOS 4. LDH 5. GGT 6. AFP 7. Bilirubin 8. PT (Prothrombin time) 9. INR 10. PTT 11. Protein 12. Hepatitis testing
167
What is important to know for ALT/SGPT?
Specific to hepatocellular damage
168
What is important to know about ALP or ALK PHOS?
Values in biliary obstruction
169
What is important to know about GGT?
Sensitive indicator of alcoholism
170
What is important to know about AFP?
Increase in hepatocellular carcinoma (HCC) and testicular carcinoma
171
What is important to know in terms of the Bilirubin liver function test?
Conjugated (direct) = extrahepatic biliary obstruction
172
What is important to know about INR?
> 1.2 - do not do liver biopsy
173
What is important to know about the protein liver function test?
Decreases in liver dysfunction