Bocio Flashcards

(9 cards)

1
Q

Definición y epidemiología

A

Agrandamiento difuso de la glándula tiroides
Surge como un mecanismo compensador
30-40% mujeres
20-30% hombres
Puede ser esporádico o endémico (zonas con deficiencia de yodo)

How well did you know this?
1
Not at all
2
3
4
5
Perfectly
2
Q

FR

A

Deficiencia de yodo (sustrato necesario para la síntesis de H tiroideas) como respuesta glándula hace hiperplasia

How well did you know this?
1
Not at all
2
3
4
5
Perfectly
3
Q

Etiología (alimentos bociógenos)

A
How well did you know this?
1
Not at all
2
3
4
5
Perfectly
4
Q

Tabaquismo:

A

Generación de tiocianato que compite con el NIS
En los estudios se encuentra asociación entre el tabaquismo y el bocio en áreas con deficiencia de yodo

How well did you know this?
1
Not at all
2
3
4
5
Perfectly
5
Q

Fisiopatología

A

Genetica y def yodo aumenta TSH que puede o generar hipertrofia (adaptación eficiente) o hiperplasia (no hay adecuada adaptación ante metabolismo de yodo que altera síntesis de HT)

How well did you know this?
1
Not at all
2
3
4
5
Perfectly
6
Q

Grados de bocio

A
How well did you know this?
1
Not at all
2
3
4
5
Perfectly
7
Q

DX USG

A

Volumen tiroideo: medidas (longitud x altura x AP) x 0.52
Más de 15 ml mujeres
Más de 18 ml hombres

How well did you know this?
1
Not at all
2
3
4
5
Perfectly
8
Q
A

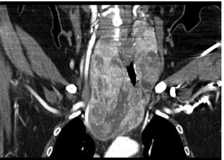
TC otro método de valoración que sirve para ver extensión de biocio hacia mediastino como en la imagen

How well did you know this?
1
Not at all
2
3
4
5
Perfectly
9
Q

Tratamiento

A

Conservador: Paciente sin: disfagia, disfonía, disnea (sx compresivos)

How well did you know this?
1
Not at all
2
3
4
5
Perfectly