
Cleidocranial Dysplasia

AD
Also get wormian bones
Frond like fatty tissue affecting the joint or bursa

Lipoma Arborescens
5th-7th decades
Bright on T1 and T2 and saturates on fat sat sequences

Enchondromas
Syndromes:
Ollier’s (multiple enchondromas), Mafucci’s (multiple enchondromas + hemangiomas/so you see phleboliths)

Fibrous Dysplasia
Syndromes:
McCune Albright (polyostotic fibrous dysplasia, precocious puberty and cafe au lait spots)
Mazabraud (fibrous dysplasia and soft tissue myxomas)
2.5 year old boy who won’t bear weight

Osteomyelitis
typical appearance and location for osteomyelitis.
Extension into the epiphysis is typical; may be seen with tumors but more common with osteomyelitis.
The diffuse sclerosis surrounding the lytic lesions represents typical host reaction to the infection.
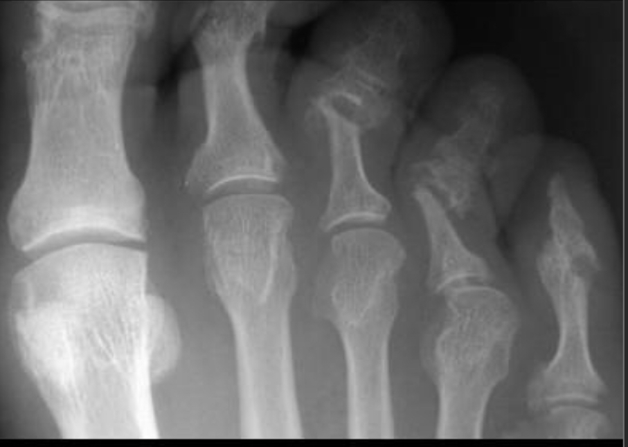
34M with forefoot pain

Psoriatic Arthritis
erosions in the metatarsophalangeal (MTP) and interphalangeal (IP) joints is nonspecific.
However, the florid periostitis strongly suggests either psoriatic arthritis or chronic reactive arthritis.

Haglund deformity
”pumps bump”
postero-superior calcaneus from high heels usually

Synovial chondromatosis

synovial proliferation leading to multiple cartilaginous loose joint bodies–some ossify
1*– 4th-5th decades, M >F, unknown cause, Knee>Hip>elbow>shoulder
2*– to degenerative changes, fewer and larger fragments, older population, other degenerative findings\
T1

CRMO
Multiple sites of osteomyelitis
dx of exclusion

Brody abscess
rim lining of an abscess cavity with higher signal intensity than that of the main abscess on T1–>penumbra sign, subacute OM
Define:
sequestrum
involucrum
cloaca
sinus tract

What type of arthritis?
Characteristics?

Erosive OA
old women
See Erosions–> Gull wing deformity
predominantly the IPs, (1st CMC cannot get erosive OA)
Stress fractures in healthy young adults vs insufficiency fractures of the hip
locations
Young otherwise healthy adult: basicervical femoral neck (medially)
Old osteopenic/porotic people: subcapital

Bennett lesion?
posterior excrescence on the glenoid
seen in pitchers

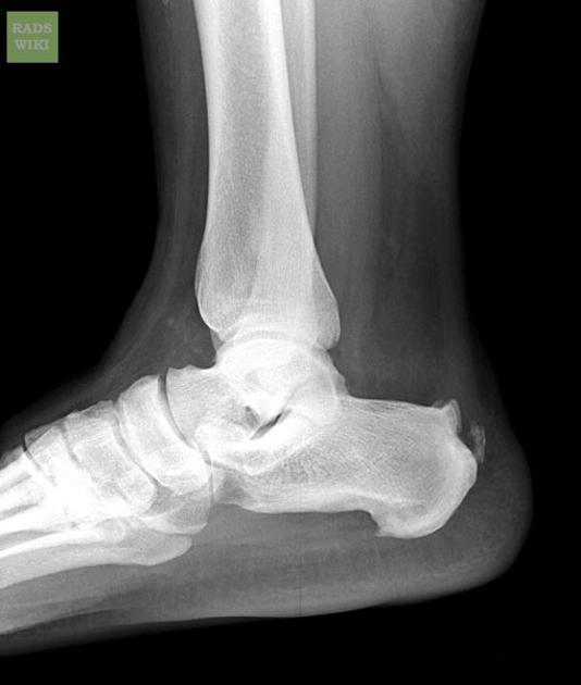
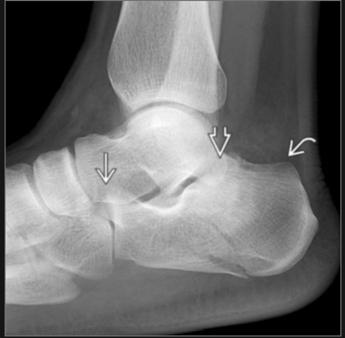
how do we know if this fracture is intraarticular in extension?

Boehler angle is reduced (normally 20-40, here is 10)
CT can confirm (sanders classification)
boutonniere deformity
flexed PIP with extended DIP
disruption of middle slip of extensor tendon
can also fracture

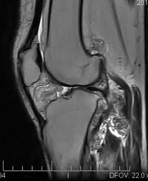
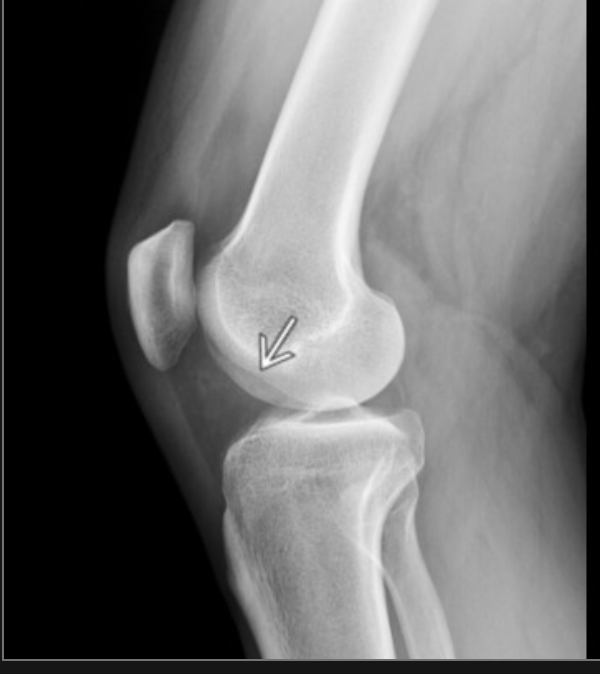
what is this structure

lateral femoral condylar recess OR condylopatellar sulcus
so its the left femoral condyle
if this is >2mm it is suggestive of ACL injury

pencil in cup deformity
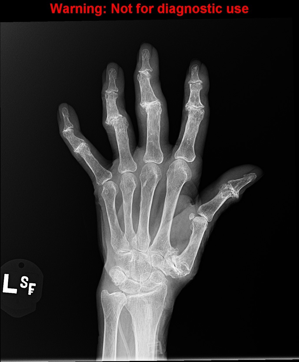
Psoriatic Arthritis
Almost always accompanies skin disease, especially nail changes
Mostly involves DIP joints of hands > feet

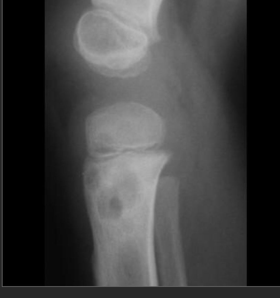
widened physis in an active ped (like a gymnast)

Salter harris I
trauma related osteolysis
Wrists in gymnasts, ankles in runners, proximal humerus in pitchers
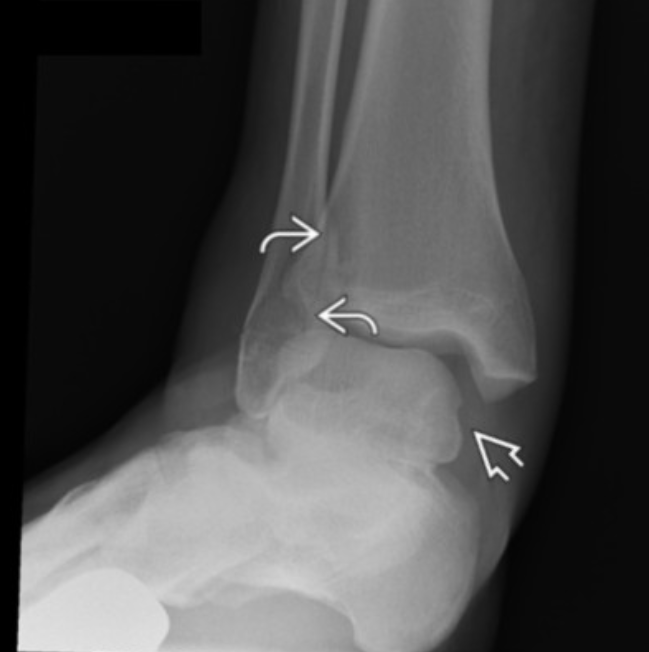
maisonneuve fracture?
medial malleolar fracture (or deltoid ligament rupture) and syndesmotic disruption extending up the leg with high fibular fracture
deltoid ligament rupture:
presumed with valgus stress, see opening of the medial joint clear space, **Deltoid ligament has to be completely ruptured to allow opening of the joint space
soft tissue swelling location distal to malleolus
(pic is of unstable weber B fracture with deltoid rupture)

chronic navicular fracture with remodeling and altered morphology?
Muller-Weiss disease

Ulnar variance–what happens with postive and negative?
Positive ulnar variance can cause ulnar impaction syndrome: proximal lunate develops sclerosis, subchondral cysts, and osteophytes
negative ulnar variance: get ulnar impingement syndrome: see edema and degenerative change in ulna/radius.
Can also see lunate osteonecrosis (keinboch malacia..sclerosis + edema in lunate)
cortical endosteal and periosteal reaction in a bilateral symmetric distribution

progressive diaphyseal dysplasia
(Engelman Camerati)
what do you think of?

Teres muscle edema: think axillary nerve pathology and
quadrilateral space syndrome