
Acute PE
(during angio for thrombolysis)
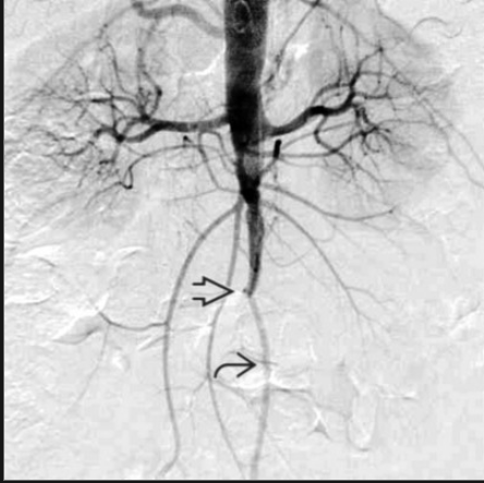
Patient presenting with absent femoral pulses, bilateral buttock claudication, impotence

Abdominal aortic occlusion//Leriche Syndrome

chronic, with collaterals (atherosclerosis, hypertension, diabetes mellitus, smoking history)
acutely can be caused by severe dehydration, hypercoagulable state, embolized atrial myxoma
Leriche syndrome = abdominal aortic or iliac artery occlusive disease that causes absent femoral pulses, bilateral buttock claudication, and impotence. Surgical therapy (aorto-bi-iliac or aorto-bifemoral bypass) is the treatment of choice.
pic here showing IMA continues as the superior hemorrhoidal artery and communicates with multiple gluteal collaterals that reconstitute a faintly opacified right common femoral artery . There are also iliolumbar and deep circumflex femoral artery collaterals present