BIRADS descriptors for margins on mammo?
Spiculated: presence of radiating lines extending from the margins of the mass into surrounding tissue
Indistinct: fuzzy appearance of margins
Obscured: indicates overlapping tissue that precludes defining the margin
Well-circumsribed
BIRADS descriptors margins US?
Circumscribed and Non-circumscribed
Noncircumscribed includes: indistinct, microlobulated, angular, and spiculated
best classification of calcs?

Punctate
usually benign, but watch how they change over time, may diffx BIRADS 3 (watch and wait) from BIRADS 4 (Bx)
dystrophic calcifications?
Dystrophic calcifications are essentially very densely calcified oil cysts
part of the spectrum of fat necrosis
Most likely?

Fibrocystic changes
found in mammographically dense breasts with scattered punctate calcifications and fluctuating cysts

secretory calcifications
dense, thick, continuous rod-like calcifications (usually bilateral) that radiate from the nipple in a ductal distribution.
typically ≥ 1 mm diameter and 3-10 mm long

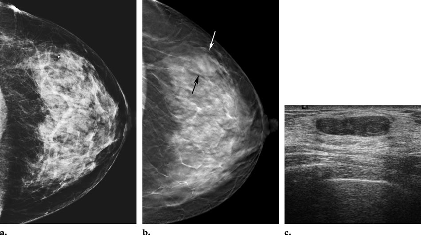
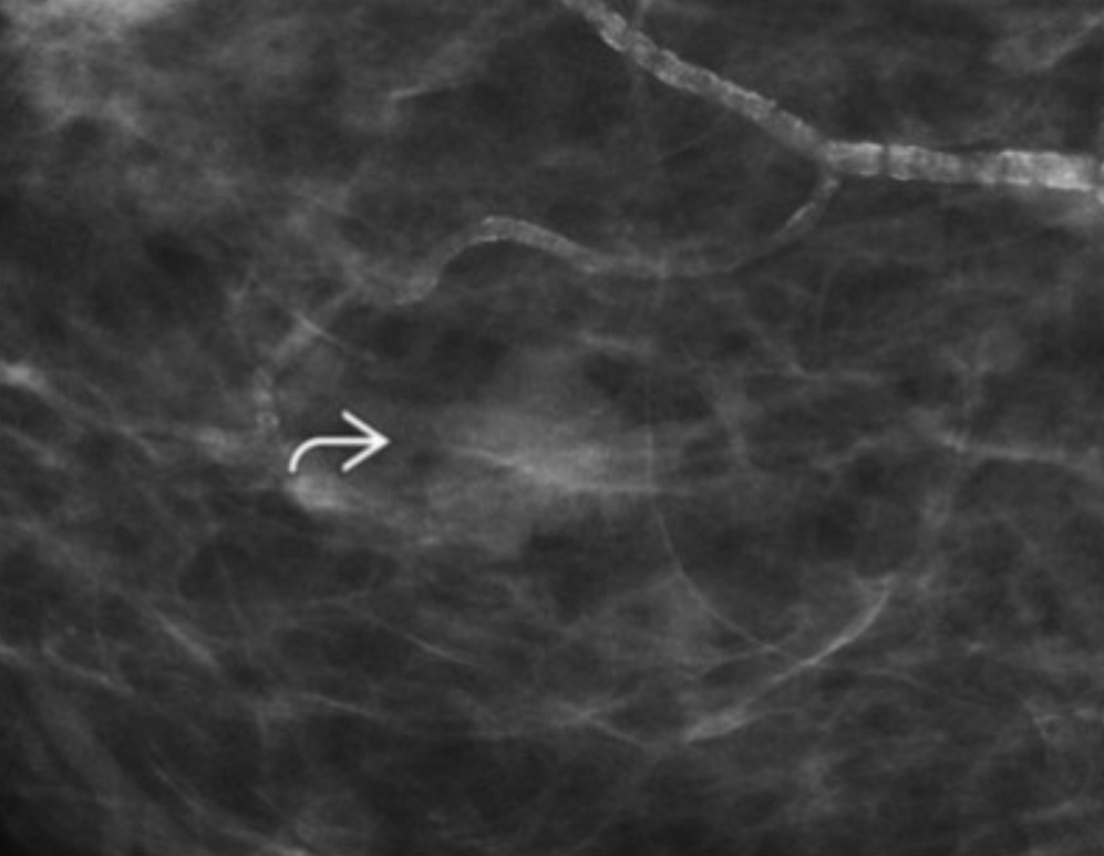
Normal fibroglandular tissue, island
feathery appearance with intervening lucent areas of this finding suggests that this is an island of glandular tissue rather than a mass, and its stability would support a BI-RADS 2 (benign) or BI-RADS 1 (negative) assessment
**here called a focal asymmetry bc normal CC view doesn’t image this portion of the breast-need an extended CC view
BIRADS 3 gives what probability
“Probably benign”
should have less than a 2% risk of malignancy and is not expected to change over the follow-up interval.
For example, a nonpalpable, circumscribed mass on a baseline mammogram is considered BI-RADS 3, unless it can be shown to be a cyst. Other examples of BI-RADS 3 include a focal asymmetry which becomes less dense on spot compression views, or a cluster of punctuate calcifications.
Amorphous vs pleomorphic calcs in benign distribution - which is worrisome/warrants bx
pleomorphic
most suspicious fx trumps others
Diffuse calcifications related to benign processes are commonly punctate and amorphous with random groups, but pleomorphic or fine linear morphology should prompt consideration of biopsy because of the possibility of extensive DCIS
What BIRADS

BIRADS 3
an oval, circumscribed, nonpalpable mass on a baseline mammogram constitutes 1 of the accepted BI-RADS 3 (probably benign) lesions.
Others:
focal asymmetry that becomes less dense on spot compression view
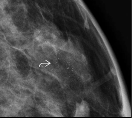
cluster of punctate calcifications
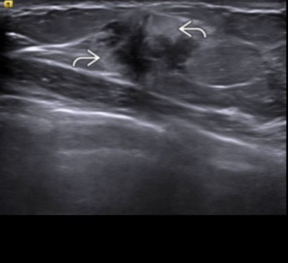
What is the echogenic halo secondary to?

Unresolved speculation and/or tumoral edema
Abrupt margins more likely to be benign
echogenic halo more likely to reflect malignancy (around70%)
(or wide transition zone)
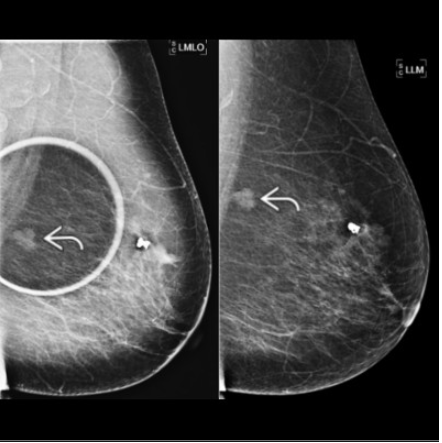
where is this lesion?

Lower Inner breast
“Muffins rise, Lead sinks’
to tell if a lesion is medial, lateral, or central in the breast from true 90* (LM) lateral to MLO view.
–> MLO first, where does it go on LM
Examples of BIRADS 3 findings
Less than 2% chance of malignancy
Examples
nonpalpable, circumscribed mass on a baseline mammogram
focal asymmetry that becomes less dense on spot compression view
or a cluster of punctate calcifications.
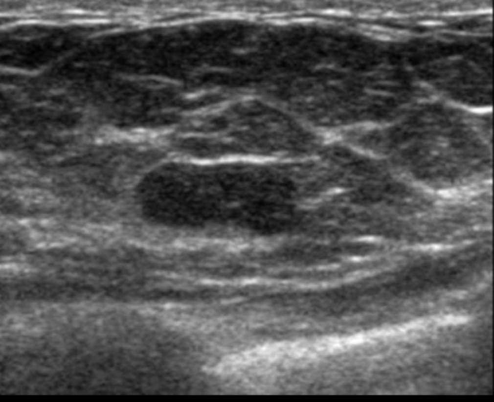
What do you expect to find on US?

Clustered microcysts
we see a lobular mass with microlobulated borders, isodense with no fat internally
Ddx in a woman who recently stopped breastfeeding

Galactocele
Hamartoma
Both fat containing
galactocele can classically have fat/fluid level from inspissated milk