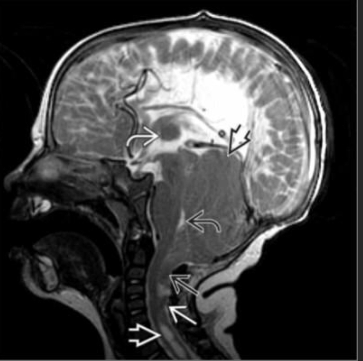
Infant with bilateral calcified orbital lesions, pineal gland lesion and drop met
Trilateral Rb
–can get bilateral calcified orbital masses, and the ‘tri’ in trilateral is pineal involvement (rare, ~5%)
–>retinal astrocytoma can be bilateral and calcify (in tuberous sclerosis) but would have ependymal tubers and no pineal/leptomeningeal involvement
Dumbbell shaped mass extending from intra-abdominal into large exophytic perineal mass in a newborn.
may have cystic elements
sacrococcygeal teratoma
–> high rate of in utero hydrops and hemorrhage –> can be controlled at birth with immediate resection of exophytic component
rhabdomyosarcoma can also present as large pelvic mass but would be older child (2-6 years) and wouldn’t extend into perineum
infantile fibrosarcoma can have solid and cystic components in a newborn but more often in head/neck and extremities
suprasellar mass in a child w/cystic components, calcs, foci of T1 shortening that are not fat but proteinaceous fluid, and some enhancement
Craniopharyngioma
9% of peds intracranial neoplasm
peak 8-12yo, p/w sx of hydrocephalus or mass effect
adamantinomatous subtype seen in peds
–> germinoma is another suprasellar mass, but usu is more solid than cystic and p/w diabetes insipidus
–>hypothalamic-chiasmatic glioma usu a/w neurofibromatosis (lower grade)
areas of atalectasis, barotrauma, and ropelike opacities in a newborn term infant
Meconium Aspiration
–> neonatal pneumonia can also happen in term babies but is more focal and no barotrauma + pleural effusions
–> TTN also in term babies but w/Csx bc it’s retained fetal fluid
premature baby w/diffuse GGO, lack of pleural fluid and low lung volumes
RDS/Surfactant deficiency disease
TTN, neonatal PNA, and meconium aspiration tend to have hyperinflated lungs

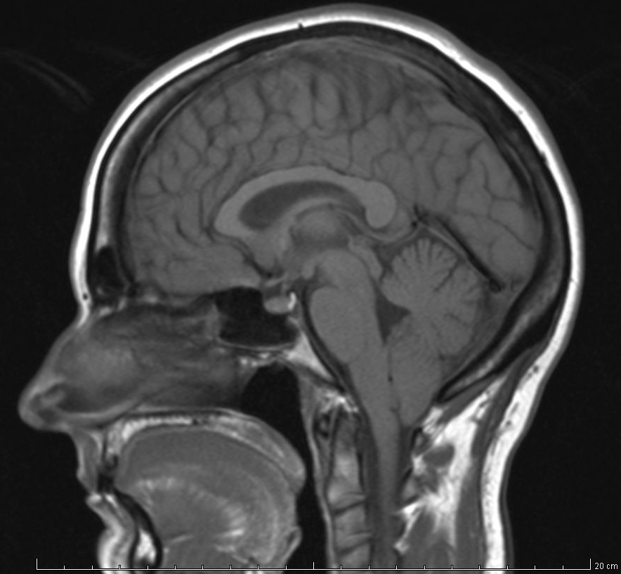
Chiari II malformation
Sagittal T2WI MR shows an inferiorly herniated cerebellar vermis below the foramen magnum, an elongated and flattened 4th ventricle , a low-lying cervicomedullary junction with kinking , an upper cervical spinal cord syrinx , a towering cerebellum , and an enlarged massa intermedia, tectal beaking, stenogyrea (elongated and flattened gyri), dysgenesis fo the corpus callosum
result of myelomeningocele w/CSF loss and ‘sump’ type effect on posterior fossa

Chiari I Malformation
isolated low lying cerebellar tonsils
usu don’t need surgery
occasionally has a syrinx

Club Foot (talipes equinovarus)
M>F, 50% bilateral
4 components: hindfoot varus, calcaneus equinus *(en pointe), metatarsus adductus, and talonavicular subluxation

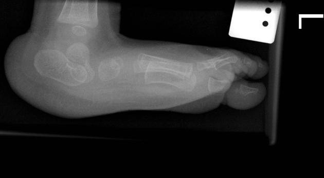
Rocker Bottom Foot
A/w TS18, TS13, 18 Deletion, spina bifida, arthrogriposis
components: fixed equinus (rigid flat foot)
vertical talus *they both look en pointe
forefoot valgus

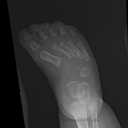
Metatarsus adductus
hindfoot is fine in this one, they usually self resolve
MC than clubfoot

Caffey disease (infantile cortical hyperostosis)
self limited
flat bones MC mandile > clavicles > scapulae
in long bones only affects diaphysis –> bone becomes spindle shaped
^ uptake bone and Gallium scans in acute phases

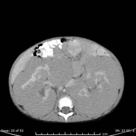
Nephroblastomatosis
multifocal/diffuse nephrogenic rests–> persistence of metanephric blastema
precursor to wilms
Associated with: BW, WAGR, and hemihypertrophy
kiddo

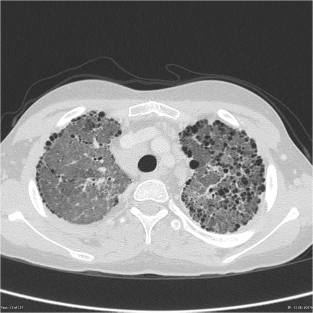
NEHI
Neuroendocrine Cell hyperplasia of Infancy
one of the peds ILDs
Central GGO, lingular and RML MC

Canal of Nuck Hydrocele

On US can just look like a cyst in the labia
*analogous to patent processus vaginalis in male
ddx includes indirect inguinal hernia +/- bowel or ovary
vascular paratesticular mass in a kiddo
think of?
Rhabdomyosarcoma
comes from epididymis or cord


Klippel Feil syndrome
vertebral segmentation anomalies (more than two)
short neck, low hairline and restricted neck motion
A/w sprengel deformity (congenital elevation of the scapula)


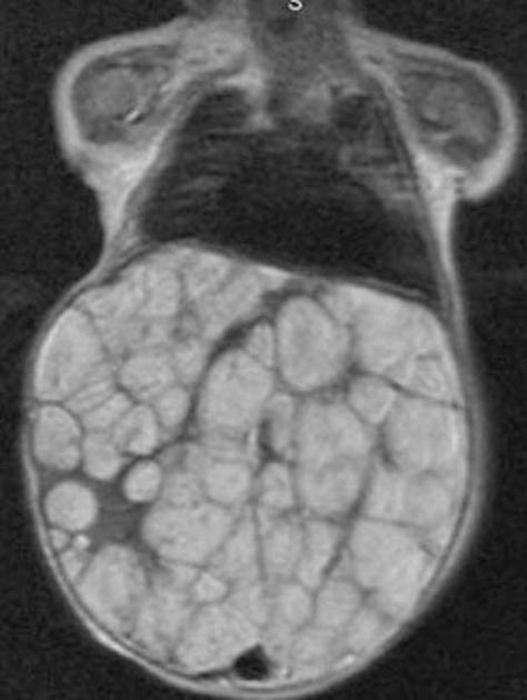
Mesenchymal hamartoma
Classically large, cystic mass w/internal septations
2nd MC benign hepatic tumor after hemangioma
AFP ^
If more solid can confuse w/hepatoblastoma

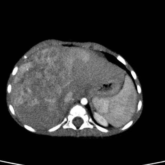
infantile hemangioma

lesion composed of large endothelial-lined vascular channels seen in fetuses and neonates
can p/w kasabach merritt syndrome or p/w unexplained HOHF if not detected in utero
rapid proliferative growth first 6mo of life then involute
**Congenital and acquired (congenital more likely to be single, skin, acquired more likely to be multiple and check the liver)
rapidly growing vascular tumors in peds can cause what syndrome
kasabach merritt
thrombocytopenia, microangiopathic hemolytic anemia and consumptive coagulopathy.
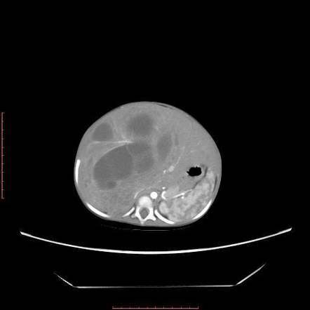
well defined heterogenous mass, hypointense in a ped

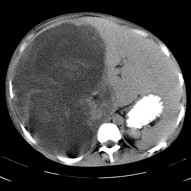
Hepatoblastoma
MC primary malignant liver tumor in peds <4
^ AFP and painless abd mass
Most sporadic but can be a/w BW, hemihypertrophy
patient under 15 w/normal AFP levels

undifferentiated embryonal sarcoma
Rare
a kiddo

Subpleural cysts
A/W
Down’s syndrome
Truncated sacrum and inability to pass NGT

Caudal Regression Syndrome
results from hypogenesis of the embryologic caudal cell mass.
more severe type (type 1, seen here) = shortened vertebral column with high position of a truncated conus medullaris. Higher likelihood severe associated anomalies like VACTERL, omphalocele and currarino triad (anal atresia and presacral mass)
type 2= tethered cord with low conus position.
VACTERL sequence (vertebral anomalies, anal atresia, cardiac anomalies, tracheoesophageal fistula, esophageal atresia, renal anomalies, and limb malformations),

Pilomatricoma
peds -benign neoplasm of hair follicle cells
painless hard mobile mass in an area where there is hair
*often calcified, at junction of dermis and subcutaneous fat