how is the nervous system divided
how is the CNS divided

what are the variations in the cerebral cortex between species
higher mammals the cerebrum have many hills (gyri) and valleys (sulci)
deeper fissures/sulcus provide boundaries of the lobes –> lower mammals have smooth surfaces
folding greatly enhance the surface area and increases the potential for neural networks
what is the telencephalon
each cerebral hemisphere can be divided into lobes

what structure is shown here

telencephalon
what structure is shown here

2 cerebral hemispheres
telencephalon
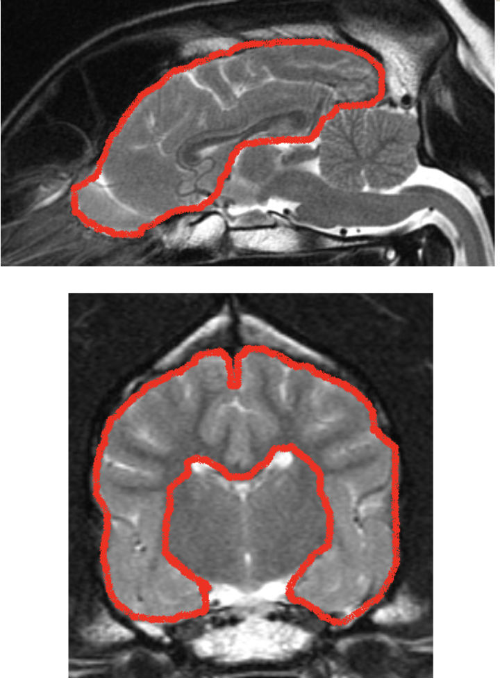
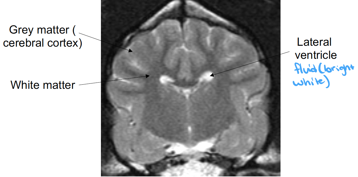
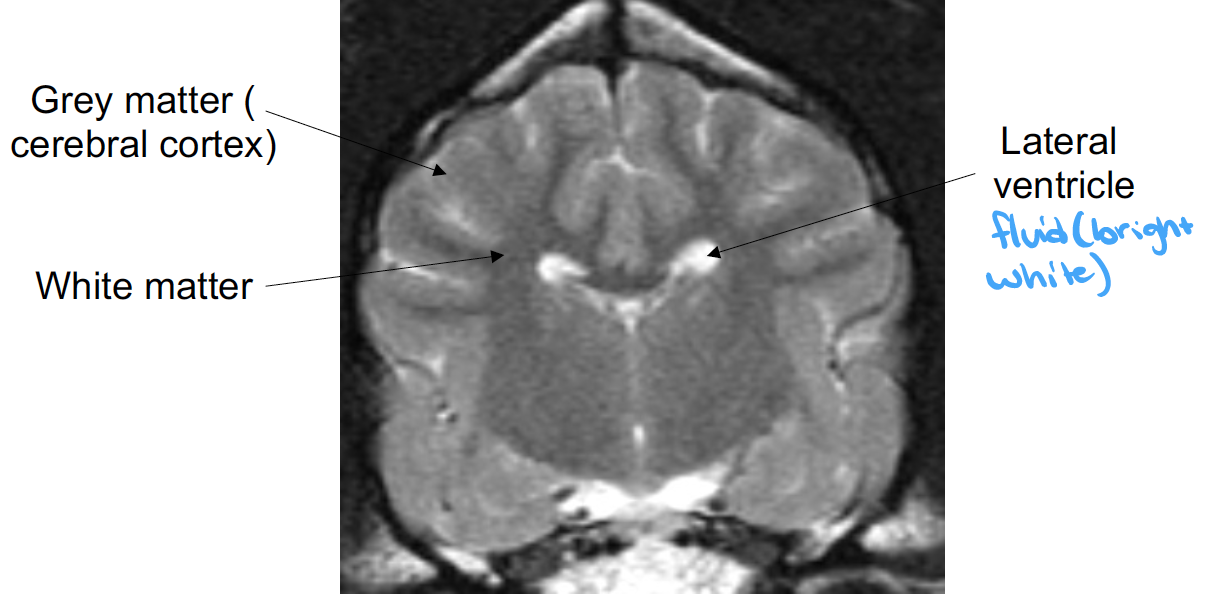
what is the cerebral hemisphere made up of
surface grey matter –> called cerebral cortex
underlying white matter and deep masses of grey matter –> called basal nuclei
each hemisphere contains a cavity –> lateral ventricle

what structures are shown


what structures are shown

corpus callosum (left)
internal capsule (right)
what structure is shown here

corpus callosum
what is the function of corpus callosum
transfer of information
connects forebrain with brain stem
what is in the cerebral white matter
1. corpus callosum: a mass of fibres that connect right and left cerebral hemispheres
2. internal capsule: fibres running to and from the brainstem
what structure is this

corpus callosum
what structures are shown here

internal capsule
corona radiata
what structure is shown here

diencephalon
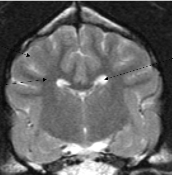
what structures are shown here

diencephalon
what does the diencephalon give rise to
the optic nerve
what does the diencephalon contain
third ventricle –> pocket of fluid
what is on the roof of third ventricle
pineal gland is on the dorsal roof of the third ventricle
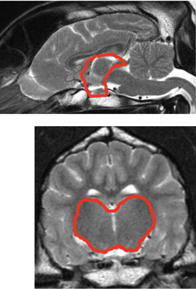
what can the diencephalon be divided into
four regions
what is on the ventral part of the third ventricle
pituitary gland
what structures are shown


what structures are shown

mesencephalon
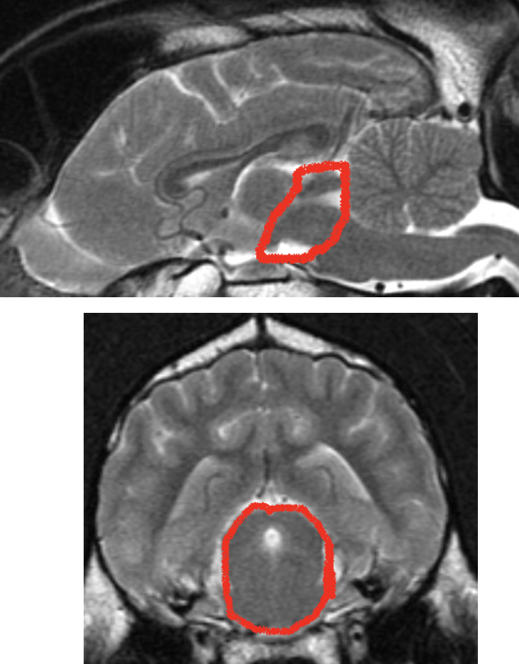
what structures are shown

mesencephalon