what are these structures and what weight are the scans

T1-weighted sagittal scans (fluid will be dark)
before and after admin of contrast
increased visibility of blood vessels within brain

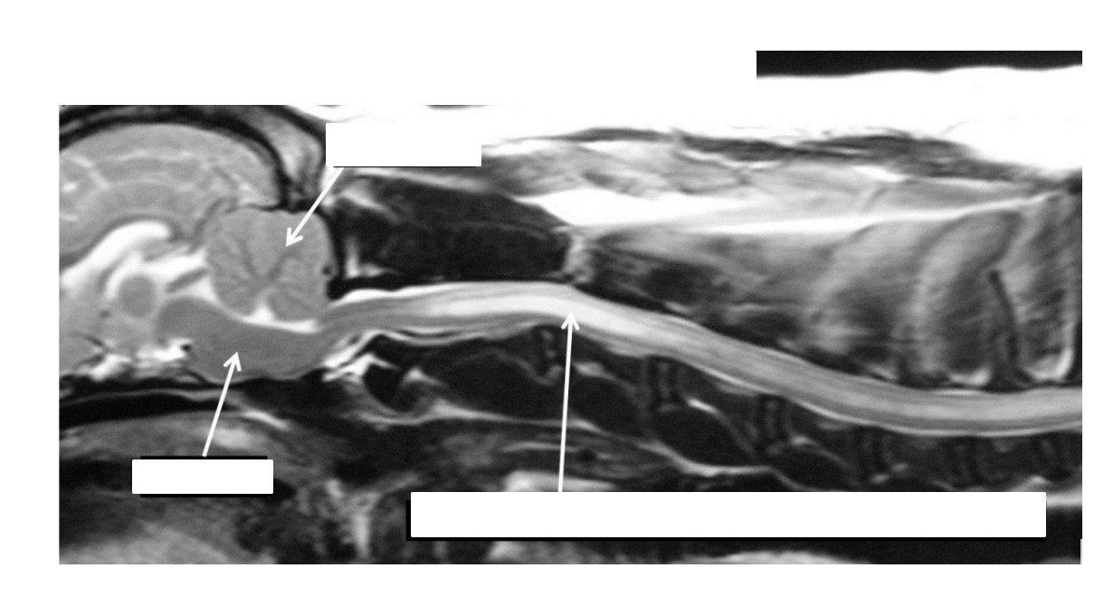
what are these structures and what weight is this scan

T2 weighted scan of the brain and cervical spine
increased signal (hyperintensity) in middle of spinal cord in cervical region –> extending from level of the 2nd cervical vertebra (C2- the axis) well into the thoracic region of the spine
hyperintensity = fluid due to syringomyelia
associated with Chiari-like malformation –> undeveloped caudal fossa of the skull causing compression of the cerebellum and forcing CSF along the central canal of the spinal cord rather than subarachnoid space –> causes dilation of central canal and distortion of the spinal cord
dogs presenting with neck pain or signs of scratching at neck

identify the lateral ventricles, pituitary, cerebellum, cerebral hemispheres, brainstem, eyeballs


how does fluid appear on T1w and T2w scans
T1w = hyperintense
T2w = hypointense
what are the structures shown


identify the structures


what are the species differences between cat and dog (shape, proportional sizes of the cerebral hemispheres and cerebellum)
the lateral ventricles are smaller in cats than in dogs
what is the green, blue, yellow, silver pins
green: falx cerebri
blue: tentorium cerebelli
yellow: rostral fossa
silver: tissue of the caudal fossa
what are the red pin, blue

red: left and right cerebral hemispheres
blue: longitudinal fissure
what are the structures shown
blue: interthalamic adhesion
red: brain stem
silver: spinal cord
identifty the interthalamic adhesion, brain stem, spinal cord
