Brain Image Pack SECTIONAL Flashcards

(27 cards)

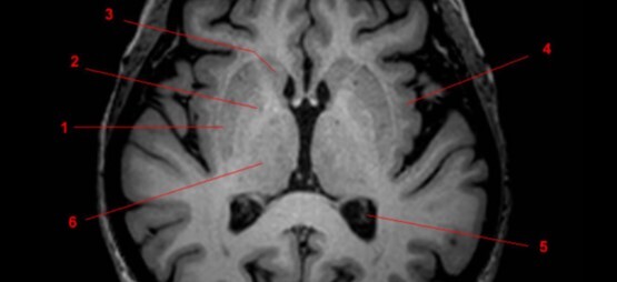
1
Q

Label 1-5

A
  1. Rt putamen
  2. Rt globus pallidus
  3. Rt Caudate nucleus
  4. Lt Insula
  5. Choroid plexus of left lateral ventricle
How well did you know this?
1
Not at all
2
3
4
5
Perfectly
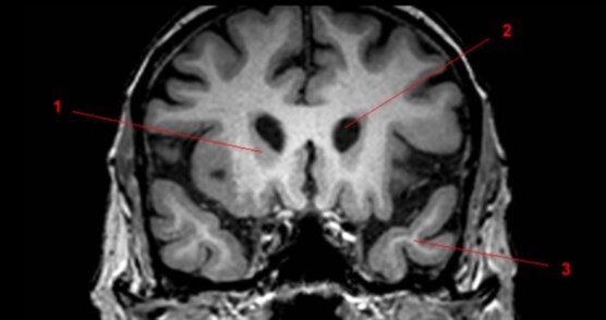
2
Q

Label 1-3

A
  1. Rt caudate nucleus
  2. Lt lateral ventricle
  3. Lt temporal lobe
How well did you know this?
1
Not at all
2
3
4
5
Perfectly
3
Q

Label 1-4

A
  1. Rt lateral ventricle
  2. Lt caudate nucleus
  3. Lt lentiform nucleus
  4. Lt temporal lobe
How well did you know this?
1
Not at all
2
3
4
5
Perfectly
4
Q

Label 1-6

A
  1. Rt lateral ventricle
  2. Lt caudate nucleus
  3. Lt putamen
  4. Lt globus pallidus
  5. Rt temporal lobe
  6. Rt Sylvian fissure
How well did you know this?
1
Not at all
2
3
4
5
Perfectly
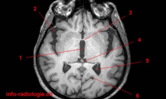
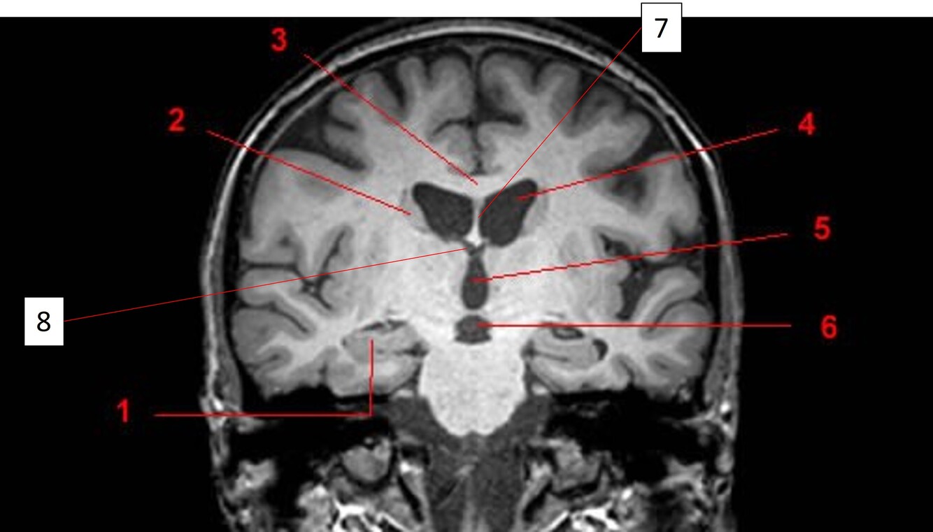
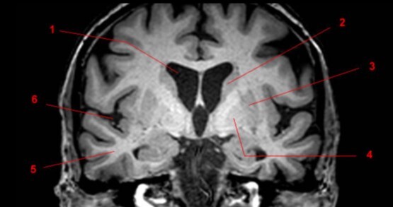
5
Q

Label 2,3,4,5,7,8

A

2=Rt Caudate nucleus
3=Corpus callosum
4=Lt lateral ventricle
5=Third ventricle
7= Septum Pellucidum
8= Rt Interventricular foramen

How well did you know this?
1
Not at all
2
3
4
5
Perfectly
6
Q

Label 1-4

A
  1. Lentiform nucleus
  2. Caudate nucleus
  3. Lateral ventricle
  4. Cerebellum
How well did you know this?
1
Not at all
2
3
4
5
Perfectly
7
Q

Label 1-4

A
  1. Head of Caudate nucleus
  2. Lateral ventricle
  3. Thalamus
  4. Cerebellum
How well did you know this?
1
Not at all
2
3
4
5
Perfectly
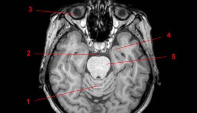
8
Q

Label 1-5

A
  1. Vermis of cerebellum
  2. Basilar artery
  3. Rt globe of eye
  4. Lt temporal lobe
  5. Pons
How well did you know this?
1
Not at all
2
3
4
5
Perfectly
9
Q

Label 1-5

A
  1. Rt cerebral peduncle of midbrain
  2. Rt middle cerebral artery
  3. Midbrain
  4. Cerebral aqueduct
  5. Lt optic tract
How well did you know this?
1
Not at all
2
3
4
5
Perfectly
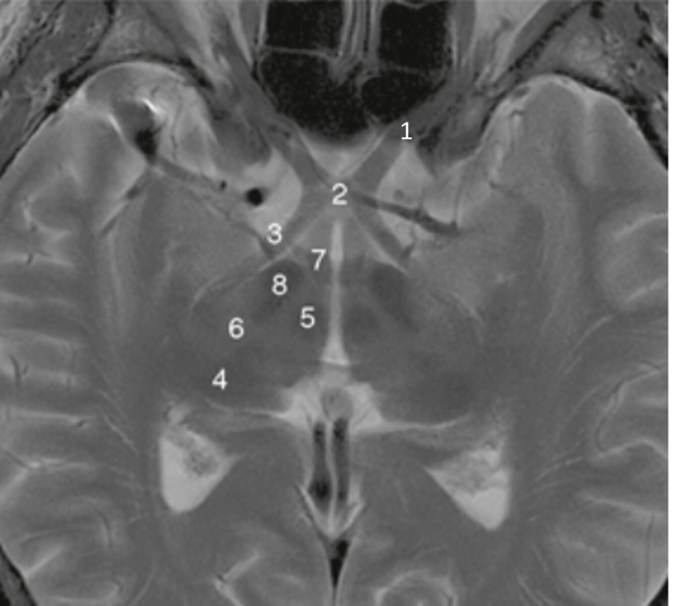
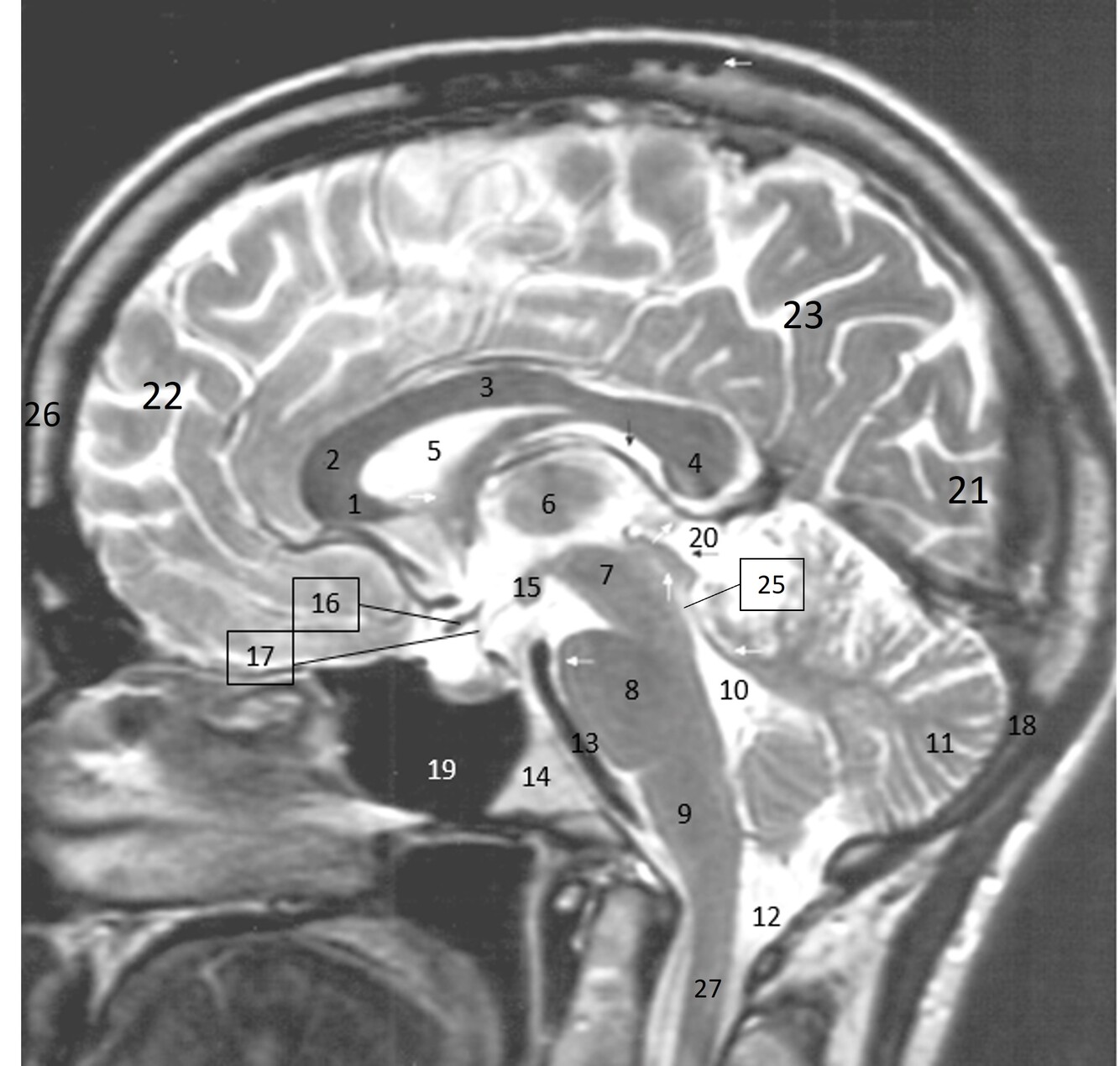
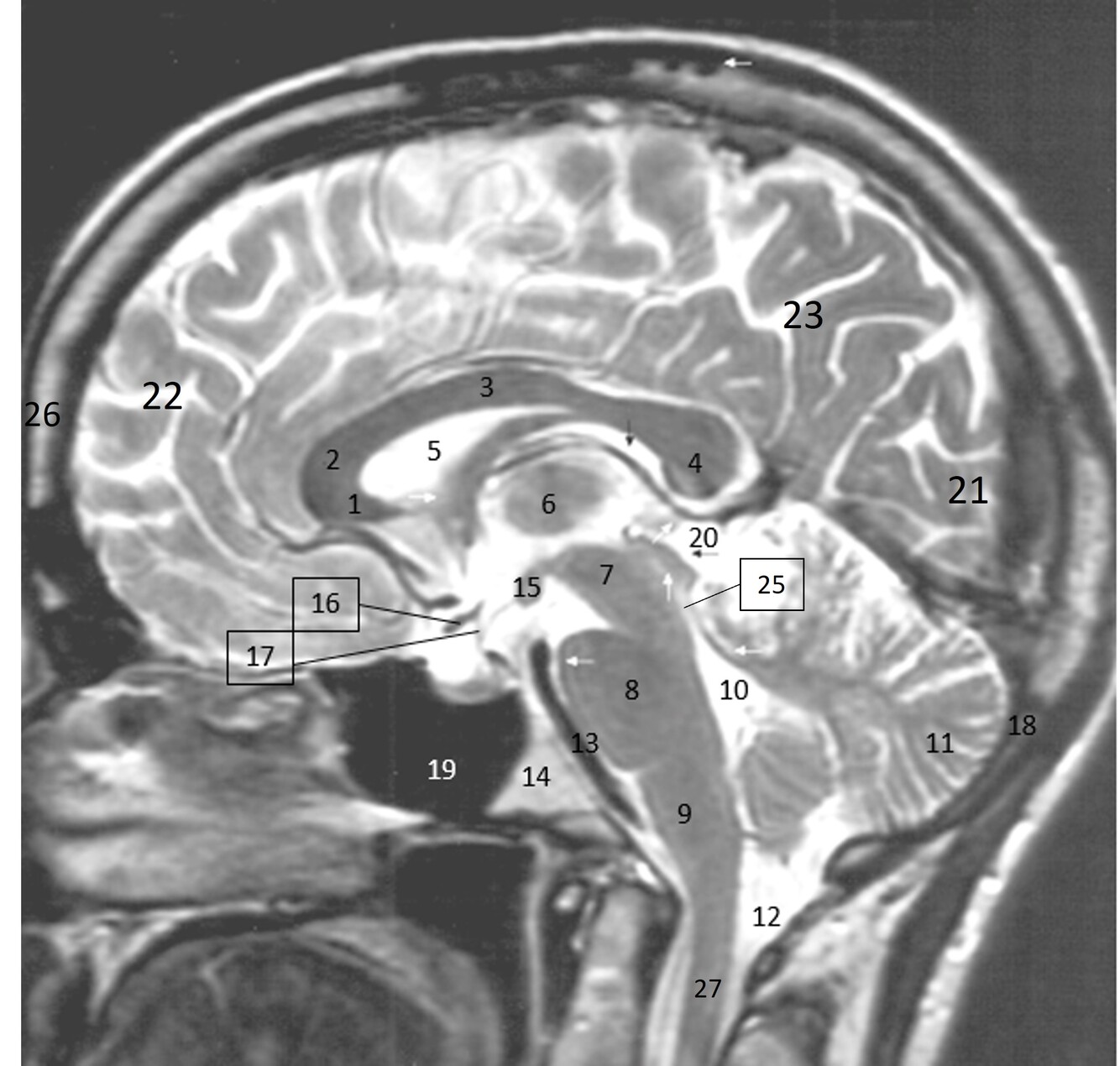
10
Q

Label 1,3,4,5,7

A

1=3rd ventricle
3-Anterior commissure
4=Pineal gland
5=Choroid plexus
7=Posterior commissure

How well did you know this?
1
Not at all
2
3
4
5
Perfectly
11
Q

Label 4,5,6,8,9

A

4=Genu, CC
5=Lt lateral ventricle (body)
6=Head of Rt caudate nucleus
8-Rt Lentiform nucleus
9=Lt lateral ventricle (post. horn)

How well did you know this?
1
Not at all
2
3
4
5
Perfectly
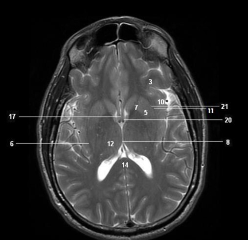
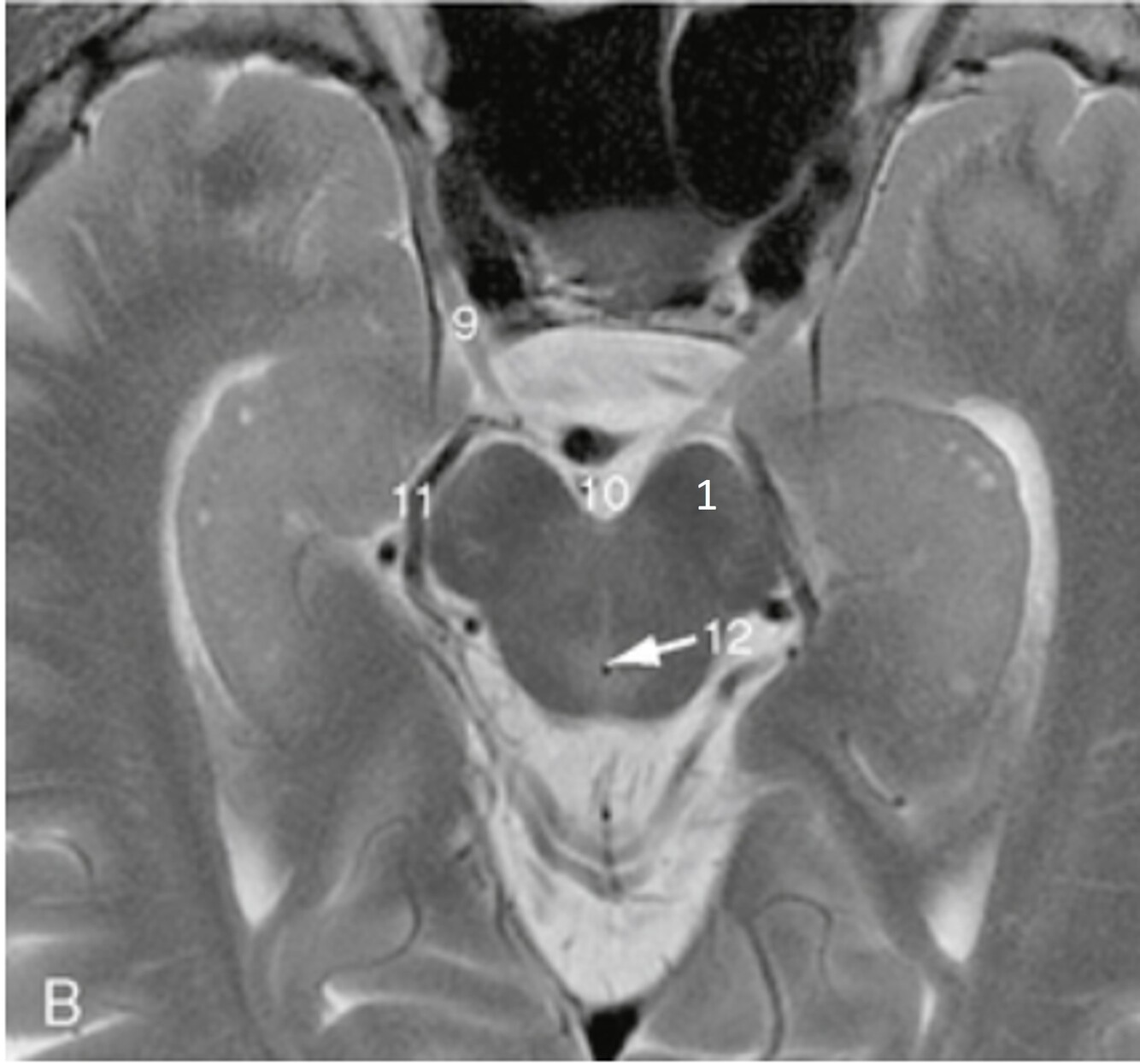
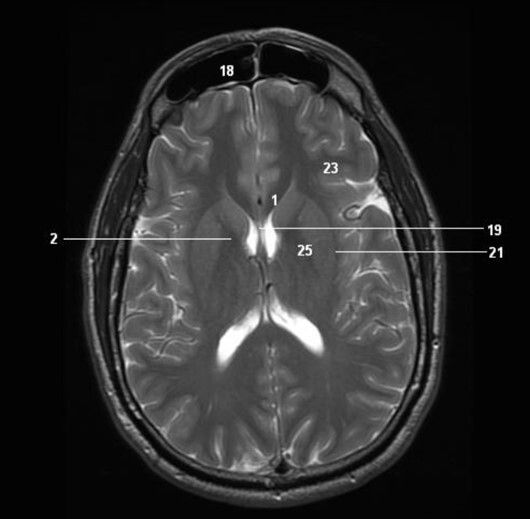
12
Q

Label 2,18,19,21

A

2=Rt internal capsule
18=Frontal sinus
19=Septum pellucidum
21=Lt external capsule

How well did you know this?
1
Not at all
2
3
4
5
Perfectly
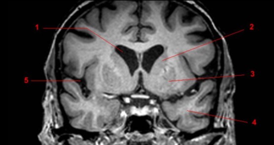
13
Q

Label 3,5,7,10,11,12,14,20

A

3=Lt frontal lobe
5=Lt Lentiform nucleus
7=Lt internal capsule
10=Insula
11=Lt Claustrum
12=Rt Thalamus
14=Splenium, CC
20=Lt Interventricular foramen

How well did you know this?
1
Not at all
2
3
4
5
Perfectly
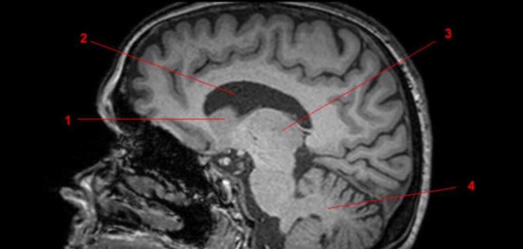
14
Q

Label 1-9

A

1=Rostrum (CC)
2-Genu (CC)
3-Body (CC)
4=Splenium (CC)
5=Lateral ventricle
6=Thalamus
7=Midbrain
8=Pons
9-Medulla oblongata

How well did you know this?
1
Not at all
2
3
4
5
Perfectly
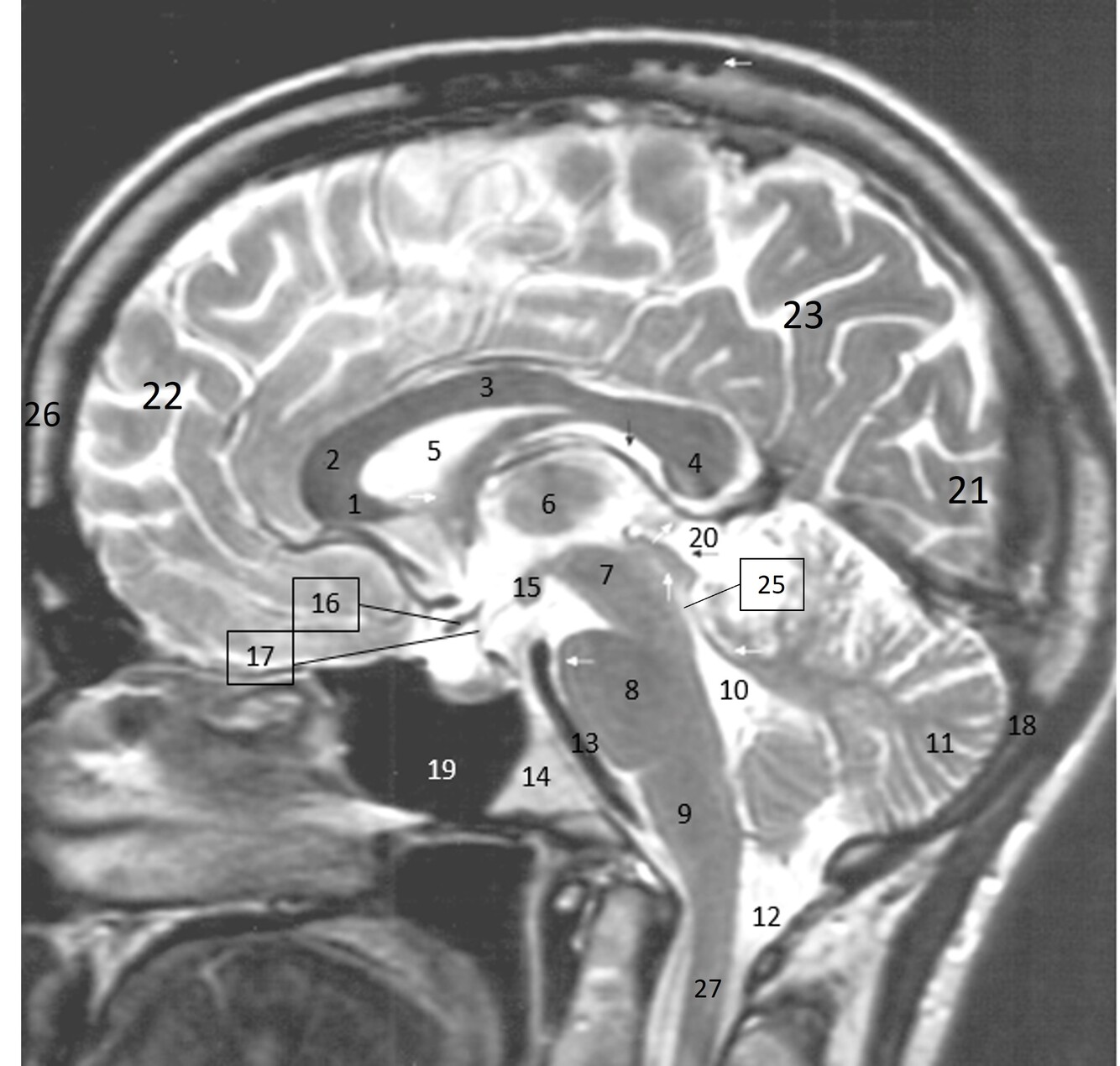
15
Q

Label 10-18

A

10-4th ventricle
11=Cerebellum
12=Cisterna Magna
13=Basilar artery
14=Clivus
15-Mamillary body
16=Optic chiasm
17=Infundibulum
18=Occipital bone

How well did you know this?
1
Not at all
2
3
4
5
Perfectly
16
Q

Label 19-27

A

19=Sphenoid sinus
20=Quadrigeminal cistern
21=Occipital lobe
22-Frontal lobe
23-Parietal lobe
25-Cerebral aqueduct
26-Frontal bone
27-Spinal canal

17
Q

Label 1-3

A

1-Lt Optic nerve
2-Optic chiasm
3-Rt Optic tract

18
Q

Label 1,10,12

A

1=Lt cerebral peduncle (midbrain)
10=Interpeduncular cistern
12=Cerebral aqueduct

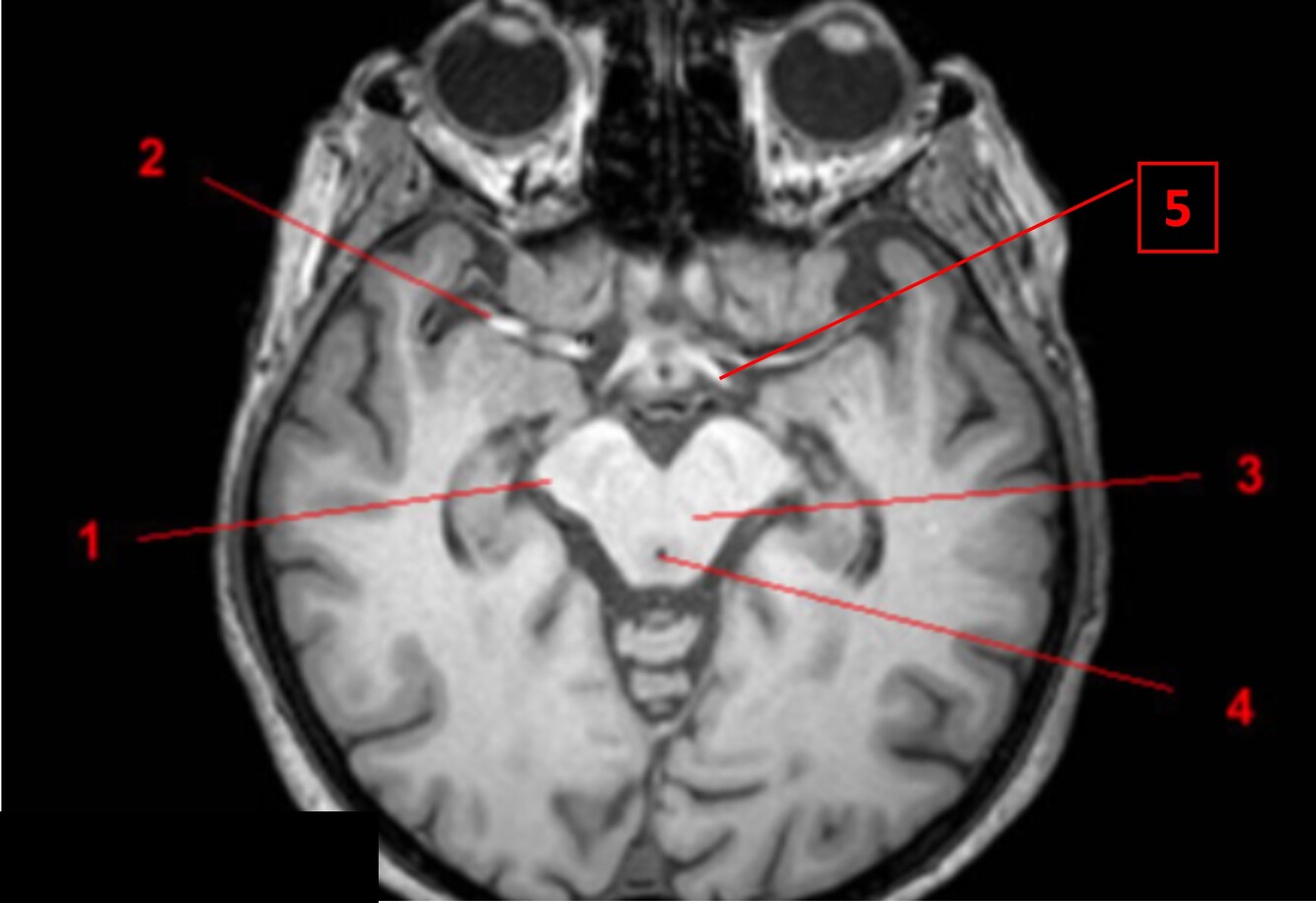
19
Q

Label 7-11

A

7=Rt Internal carotid artery
8=Optic chiasm
9=Pituitary gland
10-Lt lateral ventricle
11=Lt Cavernous sinus

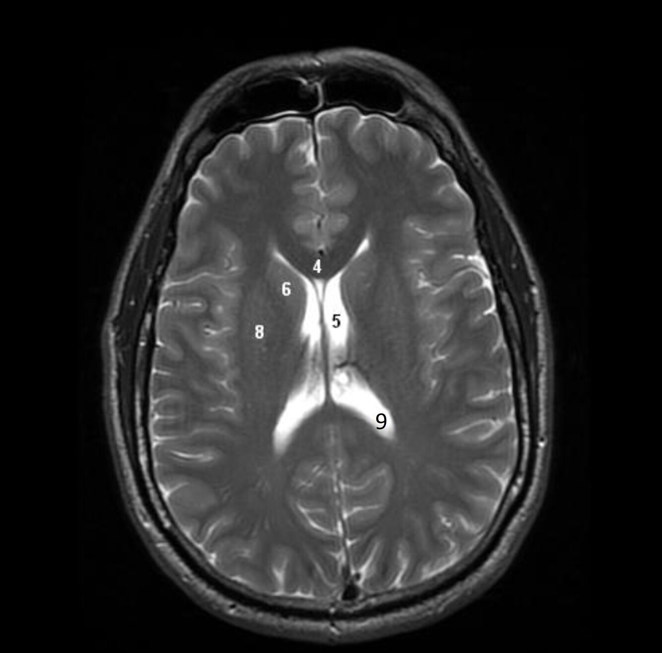
20
Q

Label 1-6

A

1=Frontal bone
2-Falx cerebri
3-Left frontal lobe
4-Left anterior cerebral artery
5-Right temporal lobe
6-Temporal horn of left lateral ventricle

21
Q

Label 7-11

A

7=Basilar artery
8-Right posterior cerebral artery
9-Internal occipital protuberance
10-Midbrain
11-4th ventricle

22
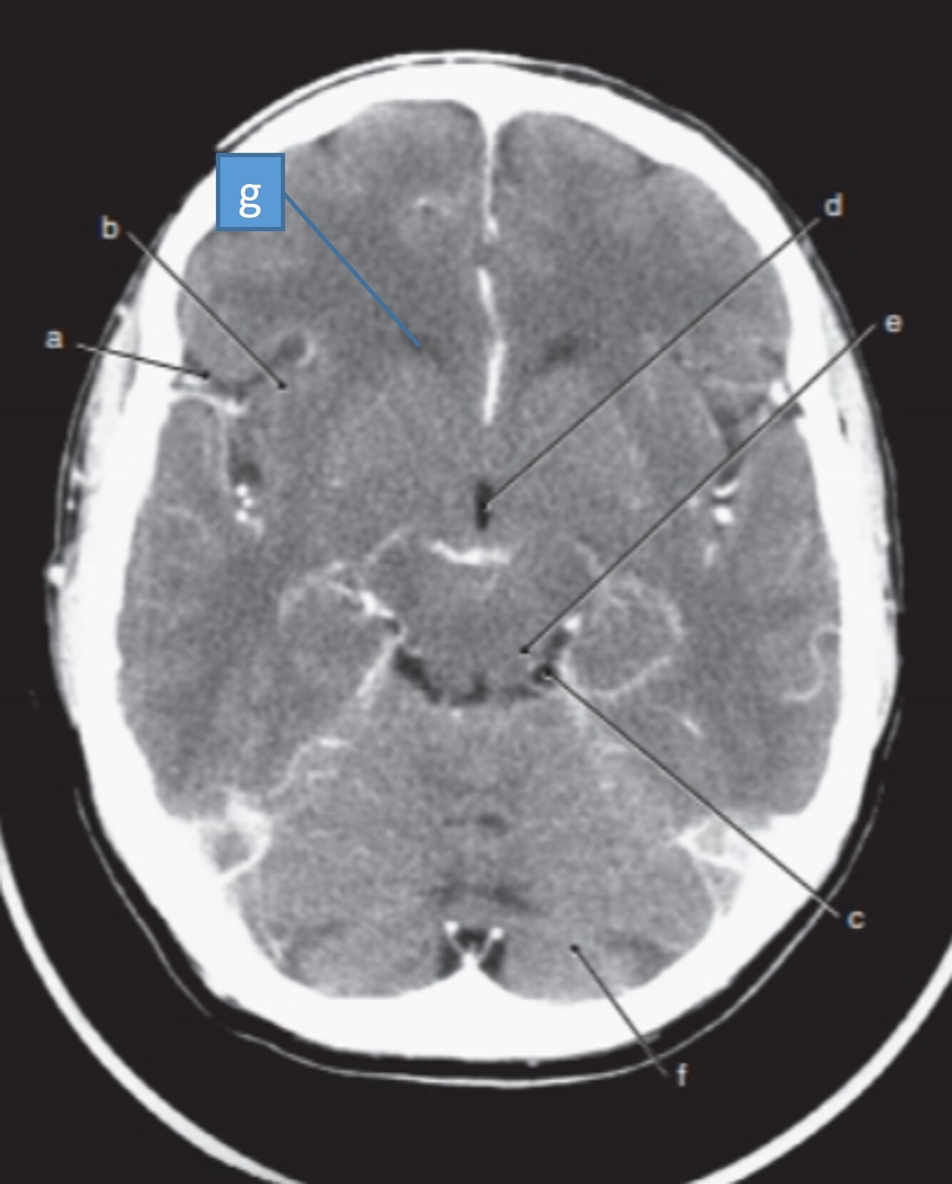
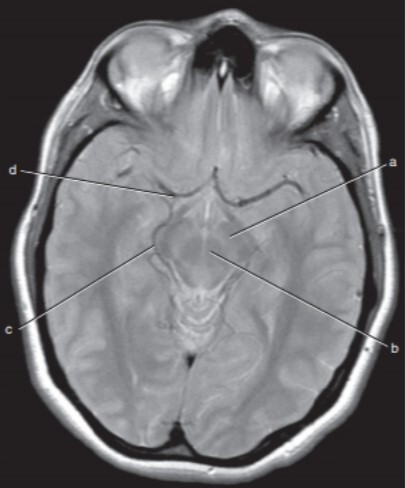
Q

Label a,c,d

A

a=Left cerebral peduncle (of Midbrain)
c=Right ambient cistern (with Rt posterior cerebral artery)
d=Right middle cerebral artery

23
Q

Label a,b,c,d,f,g

A

a-Rt lateral fissure
b=Insula
c=Quadrigeminal cistern
d-3rd ventricle
f-Cerebellum
g=Anterior horn (of rt lateral ventricle)

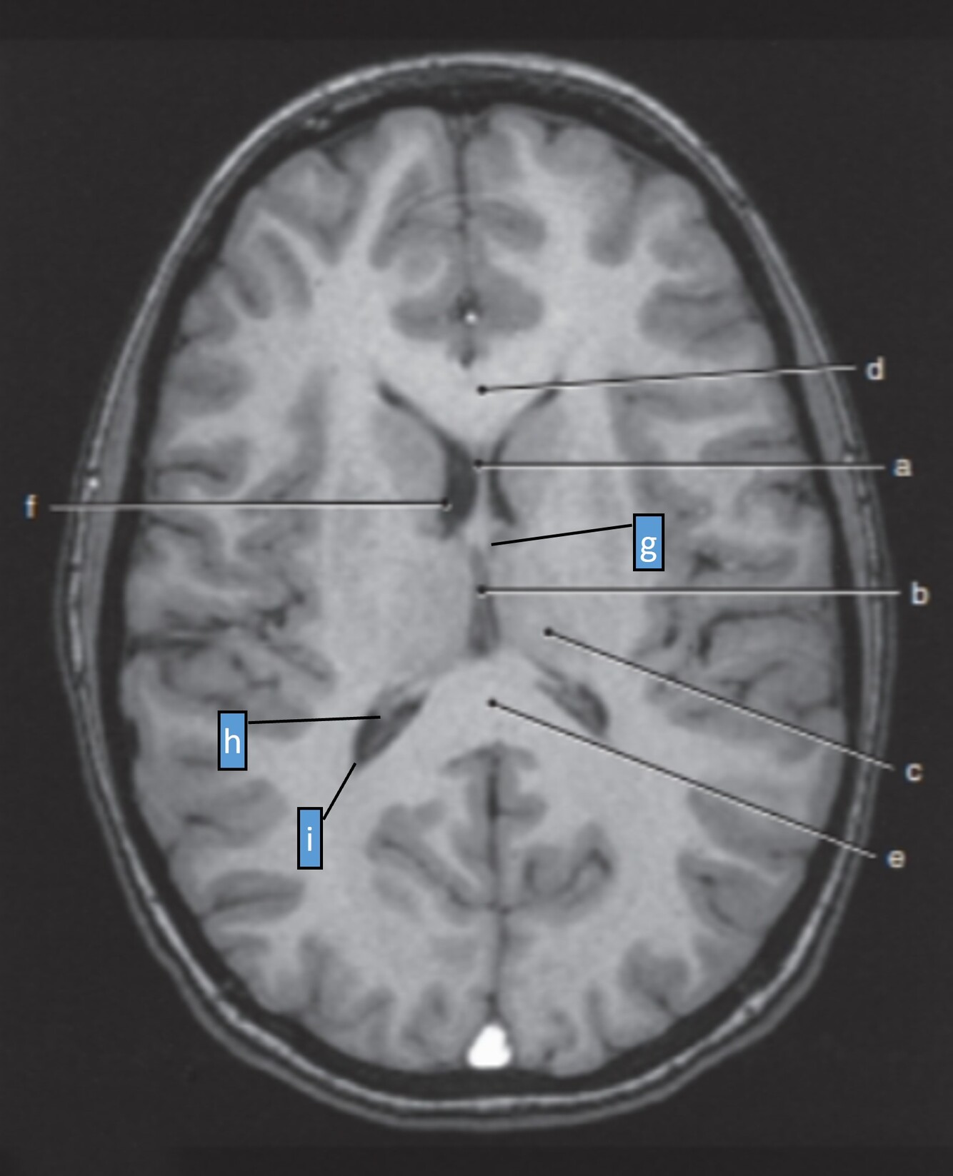
24
Q

Label a-e

A

a=Septum pellucidum
b=3rd ventricle
c=Lt Thalamus
d=Genu of corpus callosum
e=Splenium of corpus callosum

25
Label f-i
f-Rt lateral ventricle g=Lt foramen of Monro (interventricular foramen) h=Choroid plexus (of rt lateral ventricle) i=Posterior horn (rt lateral ventricle
26
Label a-d
a-Superior sagittal sinus b-Vein of Galen c-Sigmoid sinus d-Straight sinus
27
Label e-h
e-Inferior sagittal sinus f-Internal cerebral veins g-Confluence of sinuses h-Transverse sinus