Urinary system images PATHO Flashcards

(48 cards)

1
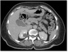
Q

What pathology is seen here?

A

Unilateral Renal Agenesis

How well did you know this?
1
Not at all
2
3
4
5
Perfectly
2
Q

What pathology is seen here?

A

Unilateral Renal Agenesis

How well did you know this?
1
Not at all
2
3
4
5
Perfectly
3
Q

What pathology is seen here?

A

Unilateral Renal Agenesis

How well did you know this?
1
Not at all
2
3
4
5
Perfectly
4
Q

What pathology is seen here?

A

Unilateral Renal Agenesis

How well did you know this?
1
Not at all
2
3
4
5
Perfectly
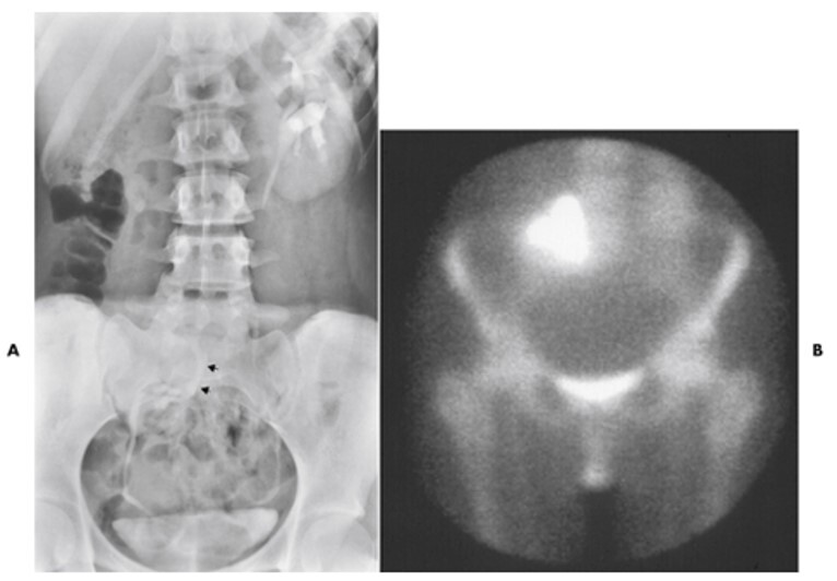
5
Q

What pathology is seen here?

A

Hypoplastic Kidney

How well did you know this?
1
Not at all
2
3
4
5
Perfectly
6
Q

What pathology is seen here?

A

Hypoplastic Kidney

How well did you know this?
1
Not at all
2
3
4
5
Perfectly
7
Q

What pathology is seen here?

A

Supernumerary Kidney

How well did you know this?
1
Not at all
2
3
4
5
Perfectly
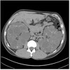
8
Q

What pathology is seen here?

A

Ectopic Kidney

How well did you know this?
1
Not at all
2
3
4
5
Perfectly
9
Q

What pathology is seen here?

A

Ectopic Kidney

How well did you know this?
1
Not at all
2
3
4
5
Perfectly
10
Q

What pathology is seen here?

A

Ectopic Kidney

How well did you know this?
1
Not at all
2
3
4
5
Perfectly
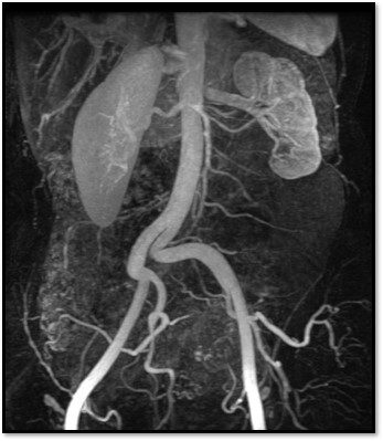
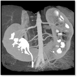
11
Q

What pathology is seen here?

A

Horseshoe Kidney

How well did you know this?
1
Not at all
2
3
4
5
Perfectly
12
Q

What pathology is seen here?

A

Horseshoe Kidney

How well did you know this?
1
Not at all
2
3
4
5
Perfectly
13
Q

What pathology is seen here?

A

Bifid ureter

How well did you know this?
1
Not at all
2
3
4
5
Perfectly
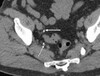
14
Q

What pathology is seen here?

A

Ureterocele

How well did you know this?
1
Not at all
2
3
4
5
Perfectly
15
Q

What pathology is seen here?

A

Ureterocele

How well did you know this?
1
Not at all
2
3
4
5
Perfectly
16
Q

What pathology is seen here?

A

Ureterocele

How well did you know this?
1
Not at all
2
3
4
5
Perfectly
17
Q

What pathology is seen here?

A

Glomerulonephritis

How well did you know this?
1
Not at all
2
3
4
5
Perfectly
18
Q

What pathology is seen here?

A

Pyelonephritis

How well did you know this?
1
Not at all
2
3
4
5
Perfectly
19
Q

What pathology is seen here?

A

Cystitis

How well did you know this?
1
Not at all
2
3
4
5
Perfectly
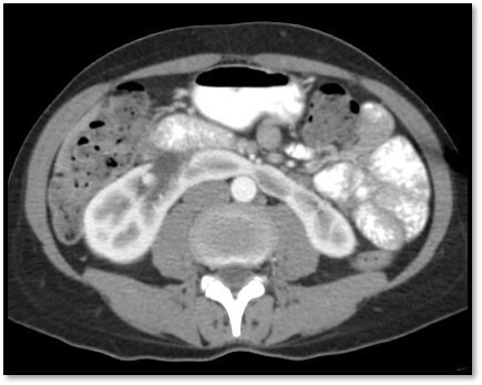
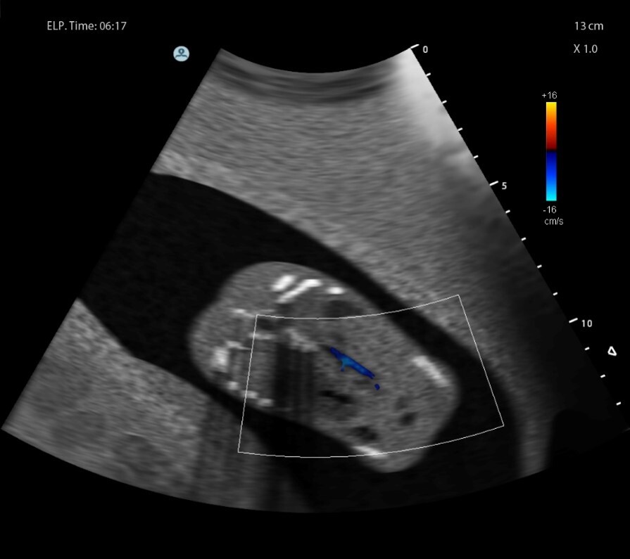
20
Q

What pathology is seen here?

21
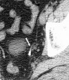
Q

What pathology is seen here?

A

Urinary Calculi

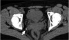
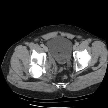
22
Q

What pathology is seen here?

A

Urinary Calculi

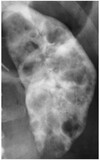
23
Q

What pathology is seen here?

A

Urinary Calculi

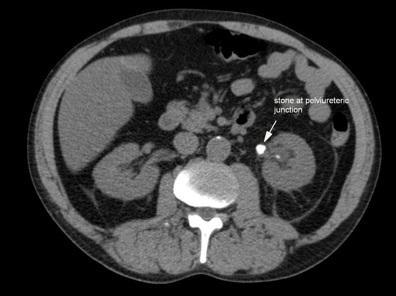
24
Q

What pathology is seen here?

A

Urinary Calculi

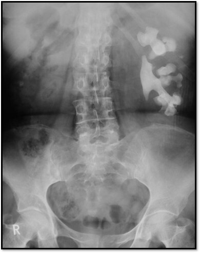
25
What pathology is seen here?
Urinary Calculi
26
What pathology is seen here?
Urinary Calculi
27
What pathology is seen here?
Phleboliths
28
What pathology is seen here?
Phleboliths
29
What pathology is seen here?
Phleboliths
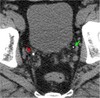
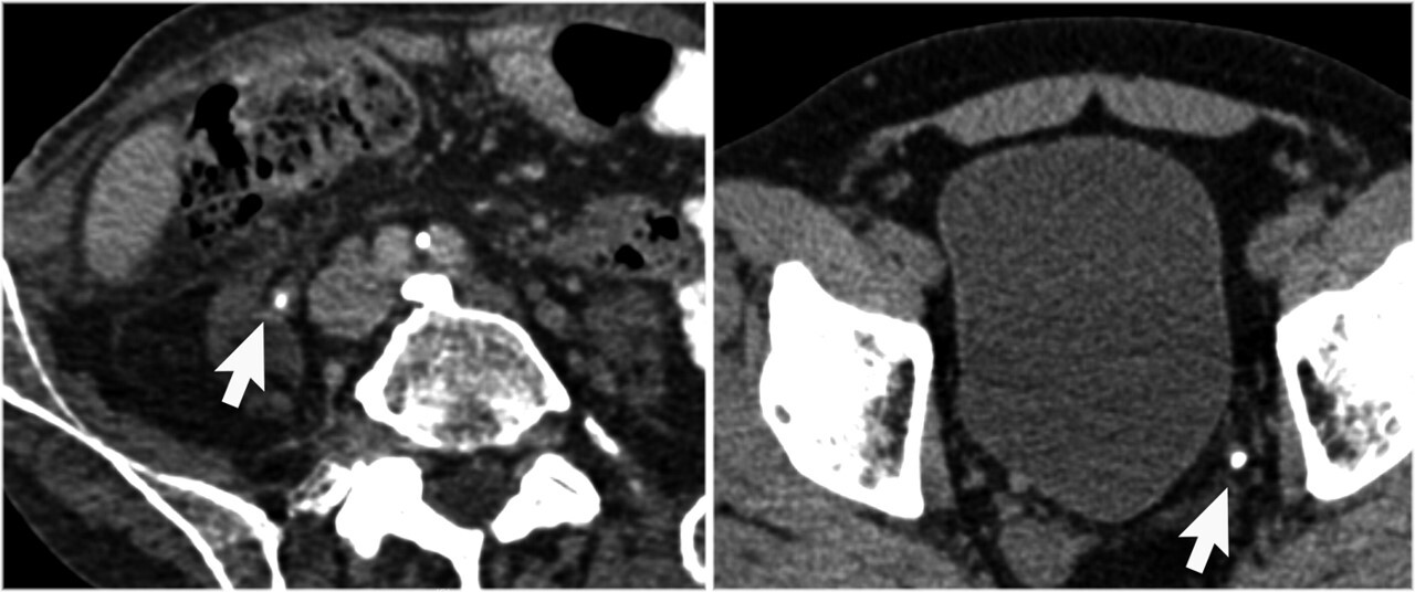
30
What are the red and green arrows poining to?
Green: Stone Red: Phleboliths
31
What is the dotted and solid arrow pointing to?
Dotted arrow: Kidney stone (urolith) Solid arrow: Phleboliths
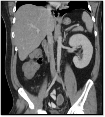
32
What pathology is seen here?
Renal Cyst
33
What pathology is seen here?
Renal Cyst
34
What pathology is seen here? ## Footnote urinary system
Renal Cyst
35
What pathology is seen here?
Polycystic Kidney Disease
36
What pathology is seen here?
Polycystic Kidney Disease
37
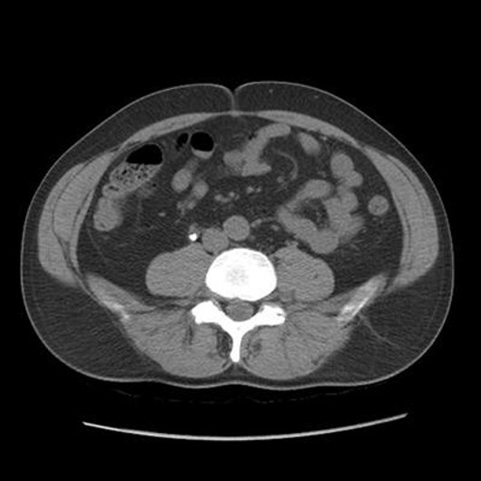
What pathology is seen here?
Renal Carcinoma
38
What pathology is seen here?
Renal Carcinoma
39
What pathology is seen here?
Renal Carcinoma
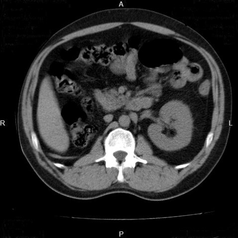
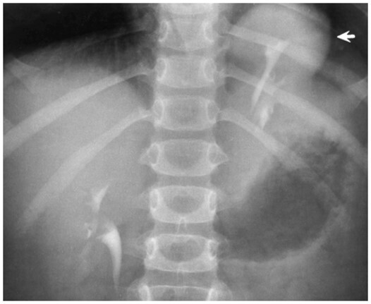
40
What pathology is seen here?
Wilms’ Tumour (Nephroblastoma)
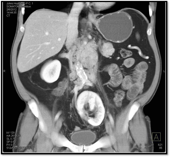
41
What pathology is seen here?
Wilms’ Tumour (Nephroblastoma)
42
What pathology is seen here?
Carcinoma of the Bladder
43
What patholgy is seen here?
Carcinoma of the Bladder
44
What pathology is seen here?
Prostatic Hyperplasia
45
What pathology is seen here?
Prostatic Hyperplasia
46
What pathology is seen here?
Prostatic Hyperplasia
47
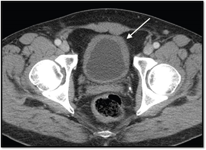
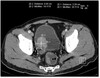
What pathology is seen here?
Chronic Renal Failure
48
What pathology is seen here?
Chronic Renal Failure